Cookie Consent byPrivacyPolicies.comDeux petites endos du jour - Eugenol

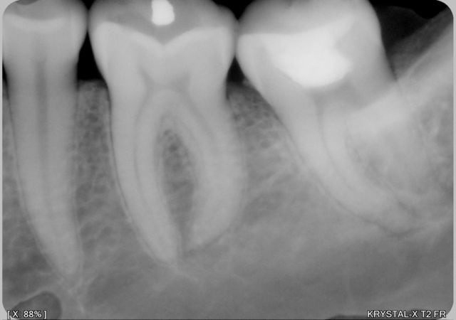
Deux petites endos du jour

Grueavatar nptrc9 - Eugenol
Le Choixpeau magique

06/05/2009 à 01h40

Bravo Hall !


 00041 v 1  wlw61t - Eugenol
Fredperpi

06/05/2009 à 17h24

Merci pour cette réponse, donc je vais essayer de plutot laisser remonter le compacteur de lui meme .
Mais concernant le cone de gutta, est ce que le cone gutta protaper adapté au F1 ,F2..n'est pas trop gros dans la mesure ou il est adapté à la préparation protaper d'ou la faible place en latéral dans les canaux fins comme le MV1 d'une 6 du haut pour descendre le compacteur.
Sinon ca serait d'utiliser un compacteur 30 avec son manque d'éfficacité. Merci.
Peut etre les cone steriblue 6% sont plus fin que les protaper ou la gutta plus maléable?


200106 10150128247663588 709988587 6466236 5598391 n d7mksb - Eugenol
hallboy

06/05/2009 à 17h32

pas de commpacteur de moins de 40 a mon avis et 20 000 tours.

qd tu coupes ton cone tu le ramollit un peu, et il y a toujours un peu d'espace sur le coté tu rentre a l'arret, là ou ça veut bien aller, tu met en marche et tu descend. tu attend que la gutta se ramolisse avant de faire ta remontée ou un legr pompage. tu sors lentement puis plugger.

j'ai essayé differentes marques de cone, pas de difference particuliere , steriblue c'est bien.


 00041 v 1  wlw61t - Eugenol
Fredperpi

06/05/2009 à 18h36

merci hallboy pour cette réponse si rapide...je commande des demain des compacteur de 45 (au lieu des 55 que j'ai) et je reéssaye en suivant tous ces bons conseils.


Blue eye thumb medium dx1i0w - Eugenol
bill

07/05/2009 à 01h47

Pourquoi ne faites vous pas tout simplement du thermafil ?
Simple, rapide, reproductible, no stress, fiable vs coût un peu élevé il est vrai mais bon, au point où on en est...


Blue eye thumb medium dx1i0w - Eugenol
bill

16/05/2009 à 02h41

Tiens du thermafil pas (trop) cher (chez dpi, par 8):

http://www.comparadent.com/search.php?product=THERMAFIL%20OBTURATEUR


Si il y en a qui ont mieux, ça serait sympa d'en faire profiter les copains... ;-)


Marque a3 orange fyvhyq - Eugenol
Marc Apap

16/05/2009 à 20h24

Chez DPI, page 12 du catalogue n°36 (2 mai/30 juin) c'est 19,50 € la plaquette par 8 (20,90 par 4).

Désolé, j'avais pas vu la petite fenêtre qui s'ouvre quand on passe sur le produit dans comparadent.


Blue eye thumb medium dx1i0w - Eugenol
bill

17/05/2009 à 03h08

Marc Apap écrivait:
-------------------

>
> Désolé, j'avais pas vu la petite fenêtre qui s'ouvre quand on passe sur le
> produit dans comparadent.



Pfff, Marc !

MDR !!!!!!!


joe1

24/05/2009 à 03h04

pendant que d'autres etaient en week end .....

005 vxfrtt - Eugenol
007 r9kvdp - Eugenol
009 kqiu0l - Eugenol

200106 10150128247663588 709988587 6466236 5598391 n d7mksb - Eugenol
hallboy

24/05/2009 à 03h12

muy Zoli!!

quelle sequence d'instruments?


liné

24/05/2009 à 03h20

très joli !
séquences instruments et techniques d'obturation ?
Merci


Smile beach jgh0a1 - Eugenol
Céramik

24/05/2009 à 04h04


Joli en 2D...
Faut une radio dans 6 mois...

--
Céramik


Manolito wom2of - Eugenol
manolito

24/05/2009 à 10h08

joli boulot, j'aimerais bien apprendre à négocier comme tu l'as fait, les crochets apicaux...


Grueavatar nptrc9 - Eugenol
Le Choixpeau magique

24/05/2009 à 10h27

Oui, moi aussi, beau boulot joe1 !

J'ai aussi eu toujours du mal à négocier ce genre de trucs. En général, avec un peu de bol, on arrive à passer la 10. Et puis, en bataillant un peu, parfois on arrive à passer la 15. Mais ça demande moulte précourbage, et trente secondes de recherche à chaque fois qu'on essaye de repasser la lime... Le problème, c'est que si on veut arriver à passer un F1, même manuel, il faut élargir le foramen et tout éclater... Enfin moi je ne sais pas faire autrement !
Des conseils ?


Image odged8 - Eugenol
ploc

24/05/2009 à 12h31

des endos ,encore des endos tjoujours des endos à l'apex,c'est d'un lassant
un peu de fantaisie....
et l'endo haubannée? vs aimez?

Endo  lsp4fs - Eugenol

Wolford hm5yx3 - Eugenol
Doc lyonnaise

24/05/2009 à 12h35

au moins c'est fait sous digue....
Stéphane serait fier de toi ;-)


S8ysxdzhdqgw00w4q6m07a5d47q2 - Eugenol
gai-luron

24/05/2009 à 12h38

ploc, tu avais bu, là ? :))


gianni

24/05/2009 à 15h16

vive le montage!!!
ça ressemble à une rx lime en place d' une 16 sur laquelle on aurait substitué l' image de la 36
j' ai bon?


Audi tt 2007 jzsdts - Eugenol
sbire

24/05/2009 à 16h57

bah, c'est juste un soucis d'axe radio non?


200106 10150128247663588 709988587 6466236 5598391 n d7mksb - Eugenol
hallboy

24/05/2009 à 17h09

je vois que ça


joe1

26/05/2009 à 00h26

j'ai preparé longtemps avec les protaper avant les crochets apicaux en irrigant beaucoup avec passage de la lime k 8 pour garder la perméabilité apicale puis lime k 8 10 a l'apex puis protaper manuels s1 s2 et verifier 20(qui est en fait un profile 4 pour cent beaucoup plus flexible qu'un F1)

obturation thermafil 20 en mesial et 25 en distal


1 pdnfdy - Eugenol
bob le moche

27/05/2009 à 02h54

Bonjour à tous,
Pour ma première participation sur le forum, j'espère ne pas dire de bêtise mais avec Mac Spadden, les éventuels canaux pulpo parodontaux du plancher pulpaire ne seraient-ils pas oubliés ?


200106 10150128247663588 709988587 6466236 5598391 n d7mksb - Eugenol
hallboy

27/05/2009 à 12h29

Le Pb de l'endo est le mm que celui de la paro: la charge bacterienne.
une fois ta desinfection realisée au mieux tu vas essayer de limiter les espaces de developpement accessibles au germes.

les methodes de gutta condensée offrent theoriquement une plus grande etanchéité en limitant la quantité de ciment potentiellement resorbable et une meilleure adaptation aux parois.

Personellement je ne connais pas de methode decondensation au niveau du plancher pulpaire .... mais je ne comprend peut-etre pas ta question??


1 pdnfdy - Eugenol
bob le moche

27/05/2009 à 17h51

Et bien un prof d'endo nous a toujours bien dit de ne pas oublier d'obturer les éventuels canaux pulpoparodontaux qui se trouvent au niveau du plancher pulpaire et qui partent de la zone de la furcation, en coupant les cônes de gutta (à la fin de notre obturation latérale à froid) avec une spatule à bouche chauffée au rouge et de profiter de la chaleur emmagasinée par les cônes pour les condenser avec un fouloir à amalgame au niveau du plancher.
Il nous était également dit que, dans les inconvénients de Mac Spadden (et de Thermafill aussi en fait), se trouvait la non-obturation de ces canaux.
(Je suis étudiant en thèse, donc avide d'informations et d'avis et de récits d'expériences personnelles)


Wolford hm5yx3 - Eugenol
Doc lyonnaise

27/05/2009 à 19h08

bob le moche écrivait:
----------------------
> Et bien un prof d'endo nous a toujours bien dit de ne pas oublier d'obturer
> les éventuels canaux pulpoparodontaux qui se trouvent au niveau du plancher
> pulpaire et qui partent de la zone de la furcation, en coupant les cônes de
> gutta (à la fin de notre obturation latérale à froid) avec une spatule à bouche
> chauffée au rouge et de profiter de la chaleur emmagasinée par les cônes pour
> les condenser avec un fouloir à amalgame au niveau du plancher.
> Il nous était également dit que, dans les inconvénients de Mac Spadden (et
> de Thermafill aussi en fait), se trouvait la non-obturation de ces canaux.

encore un de ces profs qui n'a jamais fait d'endo de sa vie :-P