Cookie Consent byPrivacyPolicies.comDeux petites endos du jour - Eugenol

Deux petites endos du jour

padawanjedi

22/06/2009 à 03h16

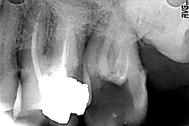
hello la compagnie , perso je trouve l'obturation mixte superbe et pratique( mais c la moins étanche les publications le confirment contrairement au touch n heat et Système B et Thermafil) les variation de technique tiennent de l'empirisme la technique initialement décrite parle de :
1-Maitre cône ISO
2-Condensation latérale au finger spreaders.
3-Deux ou 3 Cônes voir 4 dans las canaux larges .
4-Gutta condensor a LT -3 ou4 mm pour une bonne friction puis faire tourner au CA bleu.
5-Gardez le contacte avec la racine, laisser remonter et ça done de jolies obturations!.

Donc les "endos a ma sauce" sont des avis d'auteurs et peu reproductibles.
a vos limes ...

ps: ci-joint quelques exemples.

R25 hhso99 - Eugenol
R21 odf6ud - Eugenol
R6 pdwrxu - Eugenol

200106 10150128247663588 709988587 6466236 5598391 n d7mksb - Eugenol
hallboy

22/06/2009 à 12h22

Ters joli;)

par contre tu peux gagner bcp de temps avec un cone 6% au lieu de cones iso.


LdL

22/06/2009 à 14h06

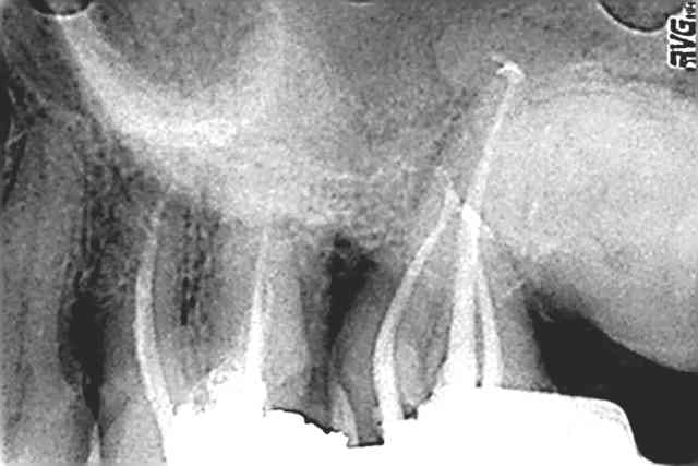
Bon je sais que le fil est lancé sur la mixte, mais comme aujourd'hui j'inaugure le thermaprep qu'un (très) gentil confrère m'a prété, voilà ma première obturation au thermafill. Je sais que sur le plan paro cette dent n'a pas beaucoup d'avenir mais bon... Qui ne tente rien ne tente rien, hein ?

Question: vous la mettez où la pâte ? sur le tuteur en sortie de four ? Dans le chambre (au risque de rien voir ?)

Francis - Eugenol
Francis - Eugenol

200106 10150128247663588 709988587 6466236 5598391 n d7mksb - Eugenol
hallboy

22/06/2009 à 15h09

LdL écrivait:
-------------
> Bon je sais que le fil est lancé sur la mixte, mais comme aujourd'hui j'inaugure
> le thermaprep qu'un (très) gentil confrère m'a prété, voilà ma première
> obturation au thermafill. Je sais que sur le plan paro cette dent n'a pas
> beaucoup d'avenir mais bon... Qui ne tente rien ne tente rien, hein ?
>


ça le fait ;)


Grueavatar nptrc9 - Eugenol
Le Choixpeau magique

23/06/2009 à 00h54

Superbe Ldl, même si effectivement amha exo 27-28 ;)


Audi tt 2007 jzsdts - Eugenol
sbire

23/06/2009 à 01h41

pas mal!! :)


Image odged8 - Eugenol
ploc

24/06/2009 à 05h14

LDL, bienvenue au club des "blonde et dépensière" selon marc:))


Bing surfboards tm mark pcsd1h - Eugenol
jayetche

24/06/2009 à 14h51

superbe endo pour un premier essai au thermafill
(moi ma premiere en bouche je l'avais bien merdée a cause de la proximite des canaux)
Pour la pâte,je la mets avec un cône de papier un autre truc, avec une lame de bistouri je vire la gutta du thermafill qui ne rentrera pas dans le canal pour eviter que les autres canaux soient noyés
et pour finir faire super gaffe de virer le spray sur la turbine quand tu utilise le thermacut


Dent masqu e petite f0pbaj - Eugenol
dudule

27/06/2009 à 14h30

J'utilise également des cones ISO Stériblue 6% diamètre 30... mais les différents fabricants m"ont dit qu'ils n'étaient pas vraiment calibrés ?
Les revérifiez-vous avec une jauge ? Pour l'instant je ne le fais pas pour ma Mc Spaden


Grueavatar nptrc9 - Eugenol
Le Choixpeau magique

27/06/2009 à 16h49

dudule écrivait:
----------------
> J'utilise également des cones ISO Stériblue 6% diamètre 30... mais les
> différents fabricants m"ont dit qu'ils n'étaient pas vraiment calibrés ?
> Les revérifiez-vous avec une jauge ? Pour l'instant je ne le fais pas pour ma Mc
> Spaden

Tes cones ne sont pas d'une précision extrème, mais ta préparation non plus... Perso je regarde si mon cone va bien à la longueur que j'ai choisie, et si ce n'est pas le cas je coupe quand trop long, et je reprépare quand trop court.
Avec les finishers protaper manuels, on arrive quand même à être bon du premier coup 9 fois sur 10, à condition d'utiliser des cones corrects (= pas des protapers officiels).


Wolford hm5yx3 - Eugenol
Doc lyonnaise

03/08/2009 à 15h43

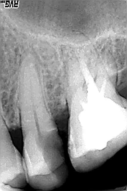
pendant que vous vous la pétez aux Seychelles (pffff) je me la pète au Termafil :-) héhé

Docly1 kuiilr - Eugenol
Docly2 d2fquu - Eugenol
Docly3 oj62e3 - Eugenol
Docly4 srsyfh - Eugenol

200106 10150128247663588 709988587 6466236 5598391 n d7mksb - Eugenol
hallboy

03/08/2009 à 17h14

c'est un bout de lime en mesial de la 46, a mi hauteur?


Wolford hm5yx3 - Eugenol
Doc lyonnaise

03/08/2009 à 17h35

hallboy écrivait:
-----------------
> c'est un bout de lime en mesial de la 46, a mi hauteur?

ben non, c'est le Thermafil....


Image odged8 - Eugenol
ploc

03/08/2009 à 18h08

hall,on s'en fiche:c'était là avant sur la radio de depart,elle a pu instrumenter et désinfecter au delà,l'obturation l'a englobé,dc tout va bien


200106 10150128247663588 709988587 6466236 5598391 n d7mksb - Eugenol
hallboy

03/08/2009 à 18h31

Donc je ne la feliciterai pas pour etre passée a coté d'un morceau cassé.)

Désolé Doc , mais c'est Ploc qui veux pas... moi je voulais...;)


19066 1223810679128 1344811835 30546764 2261510 n medium ozxaxj - Eugenol
vitalic

03/08/2009 à 19h02

et pour le patient de l'endo 16....y a plus ka l'envoyer en rubrique paro...


Wolford hm5yx3 - Eugenol
Doc lyonnaise

03/08/2009 à 19h22

hallboy écrivait:
-----------------
> Donc je ne la feliciterai pas pour etre passée a coté d'un morceau cassé.)
> Désolé Doc , mais c'est Ploc qui veux pas... moi je voulais...;)

allez mes p'tits, chuis pas rancunière, tournée de Macarons pour tout le monde....;-))))

Macaronssssssssssss rvp747 - Eugenol

Grumpy cat ifik8s - Eugenol
radich_a_tord

03/08/2009 à 20h44

Je veux bien un macaron aussi !

(Des fois l'endo ça marche. Protaper + Gutta condensor)

Reste plus qu'à faire la même sur tous mes cas...

R5 ngbr3g - Eugenol

200106 10150128247663588 709988587 6466236 5598391 n d7mksb - Eugenol
hallboy

03/08/2009 à 20h54

Ben j'ai le mm pB: " tous les cas.."


Image odged8 - Eugenol
ploc

24/08/2009 à 17h14

qui va se transformer en implant...un jour(ne souhaite pas couronner dit elle ..après!)

dommage,elle était attendrissante cette dent avec tous ses pufs

25 fini u7wvly - Eugenol
25 mq46cw - Eugenol

Smile beach jgh0a1 - Eugenol
Céramik

25/08/2009 à 03h02

ploc écrivait:
--------------
> qui va se transformer en implant...un jour(ne souhaite pas couronner dit elle
> ..après!)
>
> dommage,elle était attendrissante cette dent avec tous ses pufs



Manque de Puff, la molaire...

--
Céramik


prinzmetal

25/08/2009 à 14h40

je suis nouveau , je vous felicite pour vos endos!!
petite question , moi je travaille avec limes manuelles Kfiles et c'est pas mal mais j'ai l'impression que je suis dans les années 70 alors que je veux evoluer et aller plus vite

j'hesite entre acheter un moteur endo couplé a un localisateur d'apex (que mon furnisseur veut me vendre)
ou acheter un CA reducteur (quelle marque svp?) quelle difference dans les couleurs (bleu , verte?) avec un localisateur d'apex (morita r00tzx est il le meilleur? et pourquoi?)

sinon serait il mieux de travailler avec les PR0taper manuels ou les mecanisés?? 0u encore hero shaper??

mais ma question est surtout tout ce qui conserne le materiel...
merci aux AS de l'endo qui vont me repondre !!


Image odged8 - Eugenol
ploc

25/08/2009 à 15h04

Céramik écrivait:
>
> Manque de Puff, la molaire...
>

la molaire, quelle molaire?
reprise de ttt? cé quoi une reprise de ttt?
la molaire ,c'est sans moi,les soins des autres secteurs aussi d'ailleurs:une fois schmock,pas toujours schmok!

curieusement j'ai depuis qqes temps des Mgen qui viennent faire les soins et ne peuvent "faire de suite la Prothèse"
curieusement j'ai un confrère qui a signé le protocole mais "ne fait pas de soins"
aurais je mauvais esprit?

>


200106 10150128247663588 709988587 6466236 5598391 n d7mksb - Eugenol
hallboy

25/08/2009 à 15h31

prinzmetal écrivait:
--------------------
> je suis nouveau , je vous felicite pour vos endos!!
> petite question , moi je travaille avec limes manuelles Kfiles et c'est pas mal
> mais j'ai l'impression que je suis dans les années 70 alors que je veux evoluer
> et aller plus vite
>
> j'hesite entre acheter un moteur endo couplé a un localisateur d'apex (que mon
> furnisseur veut me vendre)
> ou acheter un CA reducteur (quelle marque svp?) quelle difference dans les
> couleurs (bleu , verte?) avec un localisateur d'apex (morita r00tzx est il le
> meilleur? et pourquoi?)
>
> sinon serait il mieux de travailler avec les PR0taper manuels ou les mecanisés??
> 0u encore hero shaper??
>
> mais ma question est surtout tout ce qui conserne le materiel...
> merci aux AS de l'endo qui vont me repondre !!


pas de moteur couplé.
le nouveau loc de chez morita qui est plus petit que l'ancien.
Protaper ou Mtwo. melange de manuels et de mecanisé.
C/A anthogyr choisir le facteur de demultiplication en fonction de la vitesse a laquelle tu utilise ton CA bleu pour ne pas avoir a changer la vitesse en passsant de l'un a l'aute.
des bouquins. ( pertot simon ou les mementos de Simon.)
Des stages d'endos.
endo en une seance.
javel.
6 % minimum.
25 mieux que 20
30 si retraitement.
voila, t'as les grandes lignes;)


prinzmetal

25/08/2009 à 16h11

merci pour ta reponse rapide,
mais sinon endo en une seule seance? je préfere ca0h2 puis gutta ...