Cookie Consent byPrivacyPolicies.comQUE FAIRE ? - Eugenol
ceel

04/04/2009 à 14h05

bonjour à tous,
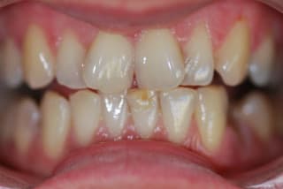
cette patiente la trentaine voudrait corriger le problème esthétique lié aux malpositions de 11 et 21. elle ne veux pas entendre parler d'orthodontie ( elle voudrait que le problème soit réglé pour son mariage en juin prochain).
pensez- vous que l'on puisse s'en passer ?
est ce qu'une coronoplastie avec adjonction de composite pourrait donner de bons résultats ?
couronnes tout céram ?
(un bruxisme léger contre-indique les facettes)
merci pour vos conseils

Mm2 k5nq7q - Eugenol
Mm1 b225bv - Eugenol

Gutt-A

04/04/2009 à 14h15

slt,
en effet, ça sent le cas foireux. Je dirai ortho ou rien, a voir d'autres avis...


Wolford hm5yx3 - Eugenol
Doc lyonnaise

04/04/2009 à 16h01

ceel écrivait:
--------------

> (un bruxisme léger contre-indique les facettes)

non, en aucun cas, si y a une gouttière livrée en même temps ;-)
j'opterai pour des facettes sur 11/12/21/22...fais faire un wax-up avant...


200106 10150128247663588 709988587 6466236 5598391 n d7mksb - Eugenol
hallboy

04/04/2009 à 16h07

Vu a quel point ça se recouvre, je sui pas sur que des facettes suffisent.

wax-up imperatif. et tu montres le resultat possible a ta patiente.


Image odged8 - Eugenol
ploc

04/04/2009 à 16h23

odf(en lingual)

devis chargé de 4ccc sur dents vivantes(histoire de la décourager) en insistant sur le fait que c'est une biiperie, et qu'elle regrettera sans doute son choix mais qu'il est irreversible une fois les dents taillées
lui conseiller de rencontrer un odf et de demander explications et devis
et de bien reflechir........
lui faire lire eugenol?


200106 10150128247663588 709988587 6466236 5598391 n d7mksb - Eugenol
hallboy

04/04/2009 à 16h33

et on la gagne comment ( et où ) la place d'içi juin ;)))

Et si elle doit faire des gatteries le soir de sa nuit de noces, le lingual, ça va être top!!!


1 p3qrc4 - Eugenol
Bjc.

04/04/2009 à 17h08

4 facettes provisoires,solidaires, collées à la cyanolite
çà devrait tenir pour le jour J


Squash u44zd8 - Eugenol
steph

04/04/2009 à 21h51

Doc lyonnaise, l'alliance de l'intelligence, du sens clinique et pratique.

C'est bon, je l'ai ma place pour la finale dames?


Wolford hm5yx3 - Eugenol
Doc lyonnaise

05/04/2009 à 02h50

steph écrivait:
---------------
> Doc lyonnaise, l'alliance de l'intelligence, du sens clinique et pratique.
>
> C'est bon, je l'ai ma place pour la finale dames?

héhé ;-)


Squash u44zd8 - Eugenol
steph

05/04/2009 à 12h16

Mais je ferais le même traitement que toi.


Logo vuaztn - Eugenol
mac

05/04/2009 à 12h28

4 facettes sans gouttière, c'est quoi un bruxisme léger?


200106 10150128247663588 709988587 6466236 5598391 n d7mksb - Eugenol
hallboy

05/04/2009 à 12h58

vous etes sur de passer en facettes avec un recouvrement pareil?

c'est un bruxisme leger qui a mis l'incisve du bas dans cet etat?


ceel

05/04/2009 à 18h11

j'ai appelé un bruxisme léger, un bruxisme qu n'apparait que par phase. il n'apparait que quelques semaines dans l'année.
quand vous parlez de facettes , faudrait il réaliser systématiquement un retour palatin ?


Wolford hm5yx3 - Eugenol
Doc lyonnaise

05/04/2009 à 18h21

ceel écrivait:
--------------
> quand vous parlez de facettes , faudrait il réaliser systématiquement un retour
> palatin ?

non!


Gutt-A

05/04/2009 à 19h16

il ya quand même une supraclusion et bruxisme, deux c.i. aux facettes, mais tu pe tjrs tenter le coup


200106 10150128247663588 709988587 6466236 5598391 n d7mksb - Eugenol
hallboy

05/04/2009 à 20h24

Comme ça bien enervée, la dame les petera le vendredi dans la nuit précédant le mariage ;)

empreinte, envoie au proth, wax et avis du proth.


S2y2o1v7q53ws4r5wy6ou8czrpom - Eugenol
pxav

05/04/2009 à 21h37

Sauf pour céder aux désirs de la patiente ou pour faire du blé, les facettes ne solutionneront qu’une partie du problème car l’occlusion n’a pas l’air tip top.
Ortho pour commencer et après pour le deuxième mariage elle pourra voir.


--
xbk


Cuisinier2 vnbbxx - Eugenol
jeff2

06/04/2009 à 00h29

t'as effacé la 34 avec photoshop?


EloD

06/04/2009 à 15h20

C'est terrible ce sens du bricolage dans la profession....
Pour moi, c'est ortho ou rien

Ou alors bridge complet ;-))


2bib

20/05/2009 à 16h04

moi je opterai pour un eclaircissement ,parfois le changement de couleur des dents donne de bons resultats( d ordre psychologique),
, mais apres le mariage elle lui faut un traitement ortho - occluso


ceel

20/05/2009 à 16h11

c'est effectivement ce que je fais. éclaircissement en cours. on verra aprés le mariage si elle est motivée


Smile beach jgh0a1 - Eugenol
Céramik

20/05/2009 à 16h30

Doc lyonnaise écrivait:
-----------------------
> ceel écrivait:
> --------------
>
> > (un bruxisme léger contre-indique les facettes)
>
> non, en aucun cas, si y a une gouttière livrée en même temps ;-)
> j'opterai pour des facettes sur 11/12/21/22...fais faire un wax-up avant...



Trop agressif...

--
Céramik


Wolford hm5yx3 - Eugenol
Doc lyonnaise

20/05/2009 à 16h59

Céramik écrivait:
-----------------
> Trop agressif...


Susceptible le canadien? ;-)
Comparons pas des choses incomparables...
Tu es allé mettre des "Céramik" de 14 à 24 chez un patient gêné par sa 33....8 céramiques en haut et une en bas" (cf: un cas complexe de Jeff2)
ça, je le trouve agressif ;-)))


S2y2o1v7q53ws4r5wy6ou8czrpom - Eugenol
pxav

20/05/2009 à 17h30

et si tu fais juste le minimum en composites, et tu conseil un décolté plongeant ou (et) une robe de mariée ras le bonbon et personne ne regardera ses dents!


--
xbk


200106 10150128247663588 709988587 6466236 5598391 n d7mksb - Eugenol
hallboy

20/05/2009 à 17h35

pxav écrivait:
--------------
> et si tu fais juste le minimum en composites, et tu conseil un décolté plongeant
> ou (et) une robe de mariée ras le bonbon et personne ne regardera ses dents!


personnequi soit capable de se rappeller son nom 5 minutes en tous cas: elle a 77 ans ;)


PS: c'est la femme de Tintin?


12