Cookie Consent byPrivacyPolicies.comProblème sur 33 - Eugenol

Problème sur 33

1 p3qrc4 - Eugenol
Bjc.

28/04/2009 à 23h46

si ce cas de CL. III. t'intéresse, je peux te le montrer, bien qu'il soit en cours

@+ Bjc.

Img 0734 ixncf4 - Eugenol
Dscf0264 dyqal4 - Eugenol

denlv35

29/04/2009 à 11h12

Bjc. écrivait:
--------------
> si ce cas de CL. III. t'intéresse, je peux te le montrer, bien qu'il soit en
> cours
>
> @+ Bjc.
>

je suis preneur, toutes les techniques m'interressent



1 p3qrc4 - Eugenol
Bjc.

29/04/2009 à 14h16

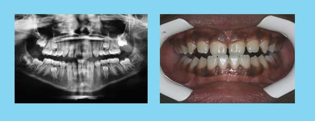
Dam. A.
Age :8 ans
Sexe M.
CL. III.

J’ai demandé à voir les parents, voici les dents du père !!!

@+ Bjc.

1 ippjkd - Eugenol

1 p3qrc4 - Eugenol
Bjc.

29/04/2009 à 14h51

Heureusement, mon petit chou recule sa Md. en R.C.
c’est le contact des Inc. Inf. avec la face V. des Sup. qui propulse la Md.

j’ai une chance, d'autant que les formes d'arcade ne sont pas défavorables

à suivre

1 ob1cis - Eugenol
2 onuvr0 - Eugenol

1 p3qrc4 - Eugenol
Bjc.

29/04/2009 à 15h11

je tente donc un Q.H. Crozat, sans rien d’autre

à suivre

Img 1 dz8npb - Eugenol

1 p3qrc4 - Eugenol
Bjc.

29/04/2009 à 18h21

au bout d'un mois, RIEN
quand ça passe, c'est très vite, je reprends mes modèles et mes photos ...
je pense à une surélévation post. par composite, j'aime pas trop car j'ai déjà eu des ingressions désagréables

à suivre


1 p3qrc4 - Eugenol
Bjc.

29/04/2009 à 22h05

finalement, la forme d'arcade Inf. bien qu'acceptable ne me plait pas, elle ne me parait pas en harmonie avec le haut,
aussi je décide, avant de faire une surélévation d'appareiller le bas avec un B.H.

à suivre

Img 1 gdssnw - Eugenol

1 p3qrc4 - Eugenol
Bjc.

29/04/2009 à 22h30

3 mois après

à suivre

Img 1 ympdjj - Eugenol

1 p3qrc4 - Eugenol
Bjc.

29/04/2009 à 23h58

maintenant, c'est un cas simple d'alignement, nivellement
a surveiller, bien sur!

questions, observations, discussion, réclamations?

@+ Bjc

P.S.: la dernière photo date d'hier

Img 2 vzebkb - Eugenol
Img 1 d16shf - Eugenol

EloD

04/05/2009 à 14h32

Bjc. écrivait:
--------------
> maintenant, c'est un cas simple d'alignement, nivellement
> a surveiller, bien sur!
>
> questions, observations, discussion, réclamations?
>
> @+ Bjc
>
> P.S.: la dernière photo date d'hier

Une question ? J'aimerais voir l'engrenement latéral ( canine et molaire ). Merci.


1 p3qrc4 - Eugenol
Bjc.

04/05/2009 à 18h19

Tu vas devoir attendre un mois, (le prochain rdv.)
en attendant, laissons denlv35 montrer les Rx. et les photos de son cas

@+ Bjc.


Bul

04/05/2009 à 20h40

Question :
Pourquoi as-tu mis un BH. Crozat Inférieur, au risque de verser les incisives, et non pas un BH. tout simplement ?


1 p3qrc4 - Eugenol
Bjc.

05/05/2009 à 15h39

jolie question, qui, si elle suscite beaucoup de commentaires pourrait encombrer le post de denlv, aussi je répondre sur un fil à part

@+ Bjc.


Img 0812 mvp6i0 - Eugenol
jeamba

05/05/2009 à 23h39

J'ai eu la même remarque que bul mais je m'étais abstenu d'intervenir. Alors maintenant peut on avoir une explication?


denlv35

07/05/2009 à 15h56

ci joint la télé, pour les photo il va falloir attendre le prochain rdv

Img p e b10lw9 - Eugenol

12