Cookie Consent byPrivacyPolicies.comQuestion sur la nécrose aseptique après traumatisme - Eugenol

Question sur la nécrose aseptique après traumatisme

Dent clr a8dwyo - Eugenol
Lounille

25/04/2009 à 15h57

Coucou tout le monde, petite question que je me pose...

Une nécrose aseptique due a un traumatisme (par rupture du paquet vasculo nerveux) entraine t'elle un abcès péri apical?

Car je crois avoir lu quelque part que les DPI ne répondant pas au test de vitalité peuvent avoir une nécrose aseptique et que justement l'absence de l'image péri apical donne le diagnostic de rupture du paquet vasculo nerveux...
Mais je n'avais lu ça nul part ailleur et je retrouve pas ou je l'ai lu...
Alors si vous pouvez l'éclairer...

Merci :D
Biz à tous


Grueavatar nptrc9 - Eugenol
Le Choixpeau magique

25/04/2009 à 16h23

Salut, pour qu'il y ait pathologie apicale, il faut que tu ais des bactéries dans le canal.
Une non réponse aux tests de vitalité après traumatisme ne caractérise pour autant pas la nécrose, la sensibilité pouvant mettre jusqu'à un an à revenir. En l'absence d'autres données, il faut de toute façon s'abstenir d'intervenir, nécrose aseptique ou pas.


Dent clr a8dwyo - Eugenol
Lounille

25/04/2009 à 16h33

Cest bien ce que je me disais abcès = bactéries donc nécrose aseptique pas d'abcès...ok !!! :D
Ensuite le temps de latence pour la DPI ca je savais mais donc par exemple si pas de réponse pendant 2 ans et pas d'abcès la on peut dire nécrose aspetique? si cest accompagnée en plus d'une dyschromie ?


Et sur nécrose aseptique on faire l'endo? (enfin ou l'apexification si ele n'est pas mature ) ?????????????


Grueavatar nptrc9 - Eugenol
Le Choixpeau magique

25/04/2009 à 16h50

La dyschromie peut être dûe à l'oblitération de la lumière canalaire, sans qu'il y ait pour autant nécrose....
Je me trompe peut être, mais que tant qu'on n'a pas de signe de pathologies radios, tels que résorptions, lésion osseuse, ou de signes cliniques, je ne vois pas l'intérêt d'intervenir, par contre surveillance obligatoire.
Si le préjudice esthétique est le motif de consultation, la cat est sans doute différente, une dent immature grisâtre qui n'a pas bougé depuis une paire d'années peut amener à faire quelque chose.
Dans tous les cas, le traitement actif d'une nécrose sur dent immature passe par une barrière apicale au MTA, et donc il peut être intéressant d'adresser à quelqu'un qui sait faire.


Dent clr a8dwyo - Eugenol
Lounille

25/04/2009 à 16h54

Encore une qestion de pédo mais une nécrose arrete la fermeture apicale et le développement de la dent non ? je ne sais pas du coup si on détecte une nécrose ou qu'on suspecte...il faut bien quelle se ferme cette dent ...donc obligé d'intervenir non?

Enfin je ne suis pas sur de mon postulat : une nécrose arrete la fermeture apicale et le développement de la dent ?


Grueavatar nptrc9 - Eugenol
Le Choixpeau magique

25/04/2009 à 17h16

Une nécrose arrête normalement la formation de la racine... bien que, avec les cellules de la gaine de Hertwig, il me semble que là encore en l'absence de pathologie, tu puisses encore avoir un certain potentiel de croissance...
La question est de savoir si une dent ainsi nécrosée va rester longtemps aseptique ?
Je peux me tromper là aussi, mais le seul intéret de la fermeture de l'apex, c'est de pouvoir obturer la dent... quoi que tu fasses, tu ne feras pas repousser la racine.


Dent clr a8dwyo - Eugenol
Lounille

25/04/2009 à 17h28

Cest sur mais le gamin il ne va pas garder toute sa vie une dent ouverte...Elle va finir par sé nécroser septiquement cette fois surtout qu'en cette période de maturation les tissus sont lâches et un tromblon est plus a meme de laisser entrer les bastéries...Je pense effectivement qu'une dent comme ça ne restera pas lontemps aseptique...Il faut alors atendre l'image apicale pour l'apexification...Moui ca me parait pas mal comme conclusion non?? Je voudrais pas écrire des conneries sur ma copie..


Stéphane

25/04/2009 à 17h57

Le Choixpeau magique écrivait:
------------------------------
> Une nécrose arrête normalement la formation de la racine... bien que, avec les
> cellules de la gaine de Hertwig, il me semble que là encore en l'absence de
> pathologie, tu puisses encore avoir un certain potentiel de croissance...

Plus que les cellules epitheliales de la gaine de hertwig, ce sont les cellules souches de la papille apicale qui persistent malgré la lésion et qui sont suceptibles d'induire la neo foramtion de nouveaux odomtoblastes


> La question est de savoir si une dent ainsi nécrosée va rester longtemps
> aseptique ?

A priori, c'il n'y a pas de voie d'entrées, cela devrait. Sauf que la moindre felure peut devenir une porte d'entrée


> Je peux me tromper là aussi, mais le seul intéret de la fermeture de l'apex,
> c'est de pouvoir obturer la dent... quoi que tu fasses, tu ne feras pas
> repousser la racine.

En fait, la fermeture de la dent par apexogenese est une consequence de ce que l'on recherche vraiment, a savoir recréer un tissu vital dans le canal. C'est la technique de revascularisation qui consiste, apres desinfection du canal, de créer un saignement dans le canal et faire remonter ces cellules de la papille. Dans certains cas, elles sont suceptibles de se differencier en neo odontoblastes et reprendre leur fonction de secretion. (il n'est pas non plus exclu que les cellules de la gaine d'hertwig n'interveiennent pas dans le processus de differenciation). Alors, la radiculogenese peut se poursuivre et induire l'apexogenese.

Si j'ai bien compris, c'est une etudiante qui pose la question en vu de passer un examen. J'aurais tendance a l'inciter a na pas rentrer dans ces concepts qui sont encore tres novateurs et peu appréhendés. C'est complexe, et elle risque de se faire bouler par le correcteur.

Donc pas de signe pulpaires apres 12 mois (avec test electrique), ou presence de symptomatologie ou image radiologique, impliquent la nécessité de traitement endodontique.

La dyschromie liee a un exces de dentinogenese engendre en general une teinte jaune de la dent. Si elle est liée a une hemorragie intracanalaire, la dyschromie est plutot grise.


Dent clr a8dwyo - Eugenol
Lounille

25/04/2009 à 18h20

Merci beaucoup...Cest vrai que cest très complexe mais comme ca minteresse bcp jessaie den savoir un peu plus !! Mais bon je m'en tiendrais a ta conclusion...Merci bcp pour cette réponse

Une petite dernière pour la route :
Dent grise = hémorragie intrapulpaire = chox par exemple...
Mais dent jaune = dentigonèse réactionnelle = dans quel cas par exemple ?

:p

Mercii :D


Marque a3 orange fyvhyq - Eugenol
Marc Apap

26/04/2009 à 10h43

Lounille écrivait:
------------------

> Dent grise = hémorragie intrapulpaire = chox par exemple...
> Mais dent jaune = dentigonèse réactionnelle = dans quel cas par exemple ?
>
> :p
>
Un choc également, mais moins fort : pas de section du paquet vasculonerveux au niveau de la constriction apicale, et stimulation des odontoblastes qui fabriquent alors de la dentine réactionnelle. Ca arrive sur les incisives définitives. La pulpe disparait plus ou moins à la radio : on en a déjà parlé ici dans d'autres messages.


Avatar hjdsnm - Eugenol
TiGabi

02/06/2010 à 18h49

Bonjour,

Patiente de 30 ans qui consulte pour bilan. 21 est dyschromique (brune) et ne répond absolument pas au test au froid. La lumière canalaire est rétrécie dans les 2/3 apicaux. La dent est asymptomatique. ATCD de choc il y a 8 ans.

Quelle est votre attitude ? Une abstention et surveillance est-elle acceptable ?

R5 rekpdx - Eugenol

Little shop of horrors brzqjx - Eugenol
chatondecarte

02/06/2010 à 18h59

oui, tu peux attendre un abcès, une fistule, une ryzalyze ou un cellulite...

Ou bien tu peux faire l'endo... c'est vite fait et même pas besoin d'anesthésier (Ça te permettra de bien objectiver ta nécrose)


Dent clr a8dwyo - Eugenol
Lounille

02/06/2010 à 19h29

Les elements qui sont décrits pris indépendamment
ne donnent pas de diagnostic précis si le choc datait de 6 mois..la, 8 ans après, je trouve que ces plutôt pas mal danticiper non ?


--
Lounille


Avatar hjdsnm - Eugenol
TiGabi

02/06/2010 à 21h33

Mon problème n'est pas vraiment la conduite à tenir : c'est juste que je n'ai pas eu assez confiance en moi (débutant) et en mon diagnostic pour "oser" ouvrir cette belle incisive intacte qui n'a jamais causé souci à la patiente.

Du coup, je lui ai dit qu'on allait juste surveiller, ce qui a posteriori est idiot. Je la revois mercredi prochain, je ferai l'endo.


Dent clr a8dwyo - Eugenol
Lounille

02/06/2010 à 21h47

Tout dépend selon moi si la patiente est demandeuse ou pas.
Son incisive la gêne car discolorer : Madame, nous pouvons profiter de votre demande esthétique pour soigner la dent puis mettre une CCM Ou une CC ou par la suite faire un blanchiement interne et externe, nous pouvons également seulement faire le blanchiementou une facette mais nous ne traiterons pas la cause. Je pense que la meilleure solution est...parce que...

Si pas de demande esthétique, selon moi, il faut en parler ac elle :
Madame, vous avez une dent abimée et nécrosée. Soit on y touche pas et on surveille mais vous risquez l'abcès a tout moment... Soit on traite

--
Lounille


Little shop of horrors brzqjx - Eugenol
chatondecarte

02/06/2010 à 21h54

Ou tu lui dis que sa dent est rempli d'un tissu mort qui ne va pas tarder à pourrir, se gangréner et détruire l'os autour... Tu vas voir elle va prendre la bonne décision toute seule.

Sinon si tu n'est pas sur de toi, rien ne vaut le test de cavité. Si douleur tu fais un compo à tes frais, si tu tombe sur une cavité pulpaire vide, tu fais une endo.


Smile beach jgh0a1 - Eugenol
Céramik

03/06/2010 à 01h19

1-Rien ...
2-Endo + blanchiment
3-Endo + blanchiment + facette (si besoin)

Pas de couronne, trop agressif

--
Céramik


Blondie

03/06/2010 à 10h11

Pas de symptômes, lumière canalaire rétrécie en direction apicale (en comparaison avec l'autre centrale), dans un premier temps je ne ferais pas de traitement endo et tenterais un blanchiment externe ou une facette en cas d'échec du premier traitement. Si la patiente est sous surveillance régulière, rien n'empêche d'être plus invasif ensuite, et dans le cas présent pas d'urgence.


Grumpy cat ifik8s - Eugenol
radich_a_tord

04/06/2010 à 21h55

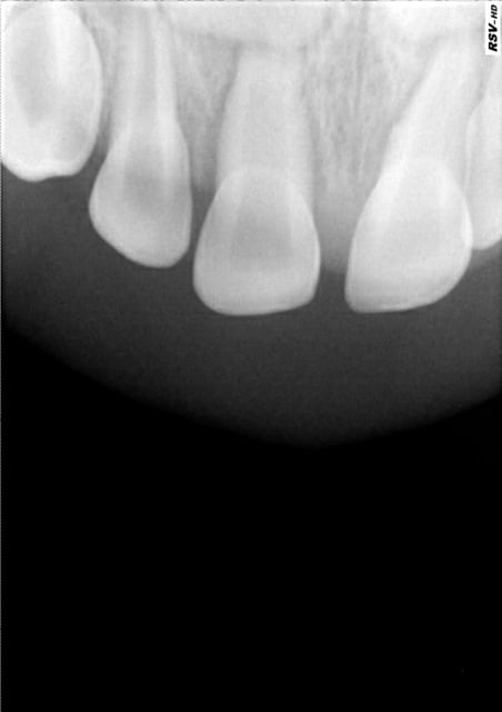
Un autre cas bizarre.

JH 19 ans
Pas d'antécédents de chute ni de traumatisme
Se plaint de douleurs constantes sur 12 depuis 1 semaine
Percussion +
Pas de mobilité
Test de morsure sur coton très douloureux
Test au froid négatif, positif sur la dent voisine
Jamais de soins sur la dent

Je note une inflammation gingivale avec un peu de plaque. Je lui fais une ordonnance avec AB et antalgiques. ça calme très rapidement les douleurs.

A l'arrêt des antibiotiques tout va bien.

Voici les radios R1,R2,R3 :
jour de la consult, 10j après, et 1 mois après.

Je remarque que la lumière canalaire est "perturbée" et je vois une zone radioclaire en évolution à l'apex, en distal, mais bon comment une dent saine comme ça peut se nécroser ?

C1 g2n8g4 - Eugenol
R1 m5veo2 - Eugenol
R2 zgij8h - Eugenol
R3 cr3v8t - Eugenol

heron

08/06/2011 à 20h01

petit garçon de 2 ans tombé il y a 3 semaines.
Pas de douleur,pas de déplacement mais 51 qui devient déjà grise.
Que faire ?
Si j'ai bien compris ce post il faux s'abstenir et surveiller mais n'est-ce pas dangereux pour la dent def si l'infection arrive et qu'elle n'est pas découverte à temps ?

A p phjoh6 - Eugenol

Avatar 46 aoi1yc - Eugenol
HononLulu

08/06/2011 à 22h34

N'y touche pas en l'absence d'infection. Cela ne signe pas forcément une nécrose mais un hématome pulpaire qui se résorbera tout seul car vascularisation importante.
La dentine restera teintée.
Juste surveillance .....


Grueavatar nptrc9 - Eugenol
Le Choixpeau magique

08/06/2011 à 22h55

heron écrivait:
---------------
> Si j'ai bien compris ce post il faux s'abstenir et surveiller mais n'est-ce pas
> dangereux pour la dent def si l'infection arrive et qu'elle n'est pas découverte
> à temps ?

Si, c'est pour ça qu'il faut revoir régulièrement 15 jours, un mois, deux mois...
Tu demandes aux parents de regarder la gencive en regard de l'apex, de surveiller si leur enfant mange normalement, en sachant qu'en général ça a un maximum de chances de foirer dans la première année.


Avatar hjdsnm - Eugenol
TiGabi

09/06/2011 à 00h07

Rachid_a_tort, il me semble voir sur la radio la projection d'une anomalie morphologique, une fissure d'un sillon palatin communiquant avec la pulpe, non ?


celse

09/06/2011 à 00h54

Oui ça me rappelle un cas récent d'une 12 avec un sillon très profond qui a induit une nécrose avec à la clé une "belle" cellulite qui a valu un passage à l'hopital à une jeune patiente... /-:

L'évolution rapide de l'image apicale donne envie d'intervenir de même rapidement pour faire le ttt endo en tout cas, nan?

Pour les dents temporaires, mon fils étant tombé l'année dernière à 18 mois, sa 51 a grisé quelques jours après mais heureusement elle a retrouvé sa teinte initiale une ou deux semaines après, tout a l'air d'être rentré dans l'ordre, ouf!!!