Cookie Consent byPrivacyPolicies.comles danchas sont arrivés en Suède - Eugenol

les danchas sont arrivés en Suède

Img 8465 fqhxid - Eugenol
noahaxeltiger-olivier

02/05/2009 à 23h46

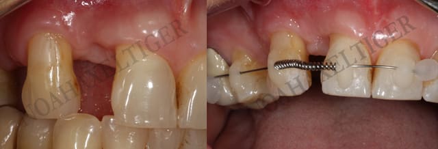
Ca y est ... mes 3 premiers cas de Dancha en pré implantaire.

Je sais je vais me faire lapider et critiquer mais c'est bien pour ca que je vous montre ces 3 cas.
je suis ouvert à toutes critiques à partir du moment où elles sont contructives ;-))

Merci à Daniel pour ses conseils en m.p.

Olivier

Cas 1 gqmhyu - Eugenol
Cas 2 nvktaa - Eugenol
Cas 3 dhflto - Eugenol

Images 1 qtgoxf - Eugenol
ciwil

03/05/2009 à 08h32

avec quel arc as-tu préparé la "gorge" de tes plots compo ?


Img 8465 fqhxid - Eugenol
noahaxeltiger-olivier

03/05/2009 à 12h34

ciwil écrivait:
---------------
> avec quel arc as-tu préparé la "gorge" de tes plots compo ?

Moi je n'ai absolument rien inventé, je dois toutes ces instructions à notre cher Dancha, qui a une fois de plus fait preuve de grande compétence et générosité. Merci daniel.

Pour le fil élastique, je l'ai commandé chez American Orthodontics et c'est du E-Z Tie Tubing (spool) .025


S2y2o1v7q53ws4r5wy6ou8czrpom - Eugenol
pxav

03/05/2009 à 14h06

Pourquoi tu veux une critique c’est plutôt sympa
Une petite expansion pour un joli bombé vestibulaire plutôt que des trous de foret et tu auras un super résultat
--
xbk


bruno 71

03/05/2009 à 15h48

c'est intéressant de voir qu'on peux traiter un cas d'otho avec des moyens simples .
Mais avec ce système tu ne peux pas controler l'axe de tes dents comme tu le voudrais tu peux faire la meme choses en posant des brackets ce n'est pas tellement plus compliqué.


1 p3qrc4 - Eugenol
Bjc.

04/05/2009 à 01h30

Petite remarque:

Sur ton cas N° 3, le ressort est boudiné, c’est le signe qu’il est trop puissant pour l’arc,
comme tu n’as pas de contrôle, tu risques des rotations indésirables

à surveiller


RépondreCiter
EloD

04/05/2009 à 14h29

Oui ... mais quel intérêt par rapport à l'ortho 3D ?


3f3boxni50k58rq7e9ce9ddqrxgk - Eugenol
dentiste57

04/05/2009 à 15h46

ortho 3D ? ??


belette

04/05/2009 à 15h48

ben oui, dancha c'est 2D...Pas de torque avec les danchamons (mais toutes les dents n'ont pas besoin d'être torquées)---> à la portée de tout le monde qui dispose d'un peu de composite , et qui veut redresser une ou plusieurs dents.


1 p3qrc4 - Eugenol
Bjc.

04/05/2009 à 16h01

ben non, dancha c'est 1D, c'est bien pourquoi les ressorts de Root sont risqués


RépondreCiter
1 eugenol dmj5np - Eugenol
Dancha

05/05/2009 à 14h23

Bravo Olivier.

Juste quelques petites remarques sur les commentaires que tes photos ont suscités :

À ceux et celles qui font remarquer que ce système n’est pas de l’ortho 3D et ne peut déplacer les apex, je répondrai que cette mécanique permet tout de même de contrôler les mouvements verticaux, coronaires mésio-distaux et vestibulo-linguaux ainsi que les rotations, ce qui n’est pas rien. Elle peut rendre service dans de nombreux cas sans être obligé d’acquérir tout un stock de braquets.

À Bjc qui affirme que le ressort est trop fort sur le cas n°3 parce qu’il apparaît boudiné, je répondrai que ceci n’est pas le signe d’une trop grande puissance mais simplement celui de la compression et qu’elle semble ici parfaitement correcte. Comment d’ailleurs ce ressort pourrait-il apparaître autrement que boudiné en étant comprimé ? Il faudrait que son diamètre interne soit quasiment celui du fil.
Quand il dit « ben non, dancha c'est 1D, c'est bien pourquoi les ressorts de Root sont risqués », il a tort car c’est bien du 2D comme l'a dit dit belette. Je rajouterai que parler du « ressort de Root », c’est bien, ça fait savant mais il serait intéressant qu’il explique ce que c’est aux béotiens que nous sommes.

Daniel


1 p3qrc4 - Eugenol
Bjc.

05/05/2009 à 18h55

Juste qq. petits commentaires sur les remarques de dancha

Avec un arc rond, on a trois cas de figure
arc rond dans un Bk. est équivalent à un arc rond dans un tube
arc rond dans un tube, qui permet des Mv. axiaux et des Mv. de rotation
arc rond dans un anneau, métal ou composite, ne permet que des Mv. verticaux, et de légères corrections de rotation dans les cas de grande malposition

apres, on peut rajouter de élastiques, des ressorts, mini implants, etc…mais si on travaille avec des arcs fins, donc tres souples, du fait du manque de contrôle, on risque des surprises pas tjs. agréables

maintenant, si la valeur extrinsèque d’une ou plusieurs dents sont modifiées, par des atteintes parondontales par exemple, les valeurs intrinsèques d’ancrage sont modifiées.
Et là c’est Bingo !

@+ Bjc.


RépondreCiter
1 eugenol dmj5np - Eugenol
Dancha

05/05/2009 à 20h30

Bjc. écrivait:
--------------
> ..
> on risque des surprises pas tjs. agréables
> ..
> maintenant, si la valeur extrinsèque d’une ou plusieurs dents sont modifiées,
> par des atteintes parondontales par exemple, les valeurs intrinsèques d’ancrage
> sont modifiées.
> Et là c’est Bingo !
>
> @+ Bjc.

C'est vraiment n'importe quoi !
L’essentiel est que ce système mécanique fonctionne, et il fonctionne remarquablement bien sans aucun effet délétère iatrogène. J’ai des dizaines de cas traités de la sorte avec prise de photos à chaque RV et contrôles radios systématiques en fin de traitement.
C’est sans aucun risque compte tenu de la légèreté des forces qui sont quasiment identiques aux forces naturelles physiologiques.
Tant pis pour les grincheux. Je n’ai aucune envie de polémiquer avec eux.

Daniel


belette

06/05/2009 à 00h44

Ouais, laisse tomber les grincheux...
Et viens polémiquer avec les autres, ça fait longtemps qu'on n'a pas vu un joli cas de "1D" (= un seul et unique Dancha! ;-))


1 p3qrc4 - Eugenol
Bjc.

14/05/2009 à 23h09

"J’ai des dizaines de cas traités de la sorte avec prise de photos à chaque RV et contrôles radios systématiques en fin de traitement.
C’est sans aucun risque compte tenu de la légèreté des forces qui sont quasiment identiques aux forces naturelles physiologiques."


ce n'est pas parce que les forces sont "légères!!!" qu'il faut les utiliser n'importe comment, avec n'importe quoi
j'espère que Noah ne fera pas comme toi, et nous montrera ses photos du prochain Rdv.

@+ Bjc.


RépondreCiter
1 eugenol dmj5np - Eugenol
Dancha

15/05/2009 à 19h01

Merci belette.

Ne te fais pas de soucis, Olivier et n’écoute pas les âneries de ce grincheux.

Voici en exemple le cas d’un adulte où la 12 est coincée derrière 11 et 13 etc… (je sais, ploc, j’ai déjà montré il y a quelques temps des photos de ce cas, inutile de me le rappeler gentiment).
14 et 24 sont avulsées.
L’appareillage mis en place est extrêmement simple, des danchamons, le fil NiTi le plus fin qu’on trouve sur le marché (acheté en bobine en « .012 », c’est à dire 0,3mm) et mis en forme avec le manche d’une précelle à la manière d’un bolduc, plus des surélévations molaires en verre-ionomère.
Deux mois plus tard, un élastique très léger est tendu entre les molaires et la canine.

La 13 va-t-elle partir en rotation maximale comme l’affirme le grincheux ?
Le fil utilisé est vraiment très fin. Va-t-il exercer une force suffisante pour vestibuler la 12 en cherchant à reprendre sa forme?
Il y a quelques soucis de nettoyage. Cela va-t-il entraîner des problèmes paro abominables ?

Ci-dessous, photos au départ, le jour de la pose et deux mois plus tard.
A suivre…

Daniel

11092 2 apqeje - Eugenol
11092 1 kuqaeg - Eugenol
11092 3 fgfvsg - Eugenol

belette

15/05/2009 à 19h23

Chic, chic!!! un cas comme on les aime. Ce petit fil qui passe partout, dessus, dessous, devant, derrière, va faire du joli boulot...
Merci !!!


1 p3qrc4 - Eugenol
Bjc.

15/05/2009 à 20h53

cette mécanique a été présentée il y a 4 ans, lors d'une conférence de Damon, par un praticien espagnol
il traitait son cas sans extraction

l'avantage du danchamon est qu'il nécessite des extractions.
on n'arrête pas le progrès

:-)))))))))

@+ Bjc.


RépondreCiter
Wolford hm5yx3 - Eugenol
Doc lyonnaise

15/05/2009 à 20h55

bon, c'est pas que chuis difficile hein, mais j'aime pas le médiocre...:-P


RépondreCiter
1 p3qrc4 - Eugenol
Bjc.

15/05/2009 à 20h57

on parle ressorts, daniel répond élastiques
je suis rassuré,

@+ Bjc.


RépondreCiter
1 eugenol dmj5np - Eugenol
Dancha

17/05/2009 à 21h08

Suite du traitement, à quatre mois et sept mois.

A 7 mois, le fil NiTi ultrafin est toujours le même, il n’a pas été remplacé.
Observez l’absence de rotation parasite de 13 et la 12 qui s’est déplacée en vestibulaire !
Remarquez la simplicité du dispositif eu égard aux résultats obtenus.
En réalité, rien n’obligeait ici à déplacer tout de suite l’apex des dents hormis l’idéologie (commercialement très rentable….).
Reste à reculer un peu l’apex de 13 pour paralléliser sa racine avec les autres et permettre de vestibuler celle de 12. Cela pourra être fait avec des petits accessoires supplémentaires sur un fil un peu plus épais.
La suite en juin par manque de disponibilité de ma part avant.

Daniel

11092 4 yvqafh - Eugenol
11092 5 uy8amj - Eugenol

EloD

18/05/2009 à 16h10

Bon...l'avantage des machins en composite...c'est qu'on voit mieux la plaque
;-))

Si vous acceptez un laisser-aller dans l'hygiène de vos patients, c'est que vous acceptez certainement aussi un laisser-aller dans votre traitement.


RépondreCiter
1 p3qrc4 - Eugenol
Bjc.

18/05/2009 à 21h02

bonsoir,

"Remarquez la simplicité du dispositif eu égard aux résultats obtenus."

Nous regrettons de ne pouvoir apprécier a sa juste valeur le résultat de cette mécanique amusante, connue depuis plusieurs année. lorsqu ‘elle a été présentée, je rappelle que c’était sur un cas sans extractions et avec toutes le photos et Rx. nécessaires pour apprécier les corrections globales et non pas sur un secteur cruenté pour la simplicité, sans Rx. ni photos des rapports occlusaux de départ ou en cours. il semble y avoir des rapports ant. défavorables …

Je vais vous présenter la semaine prochaine un cas complet, iconographié, de résultats de traitements simples (avec extraction) qui est venu consulter samedi

@+ Bjc.


RépondreCiter
1 p3qrc4 - Eugenol
Bjc.

19/05/2009 à 23h22

J’ai retrouvé le cas du Dr. Bogdan, qui date de 2002

Vous remarquerez que cette mécanique amusante n’est utilisable que dans les cas ou on a l’espace nécessaire, et en aucun cas ne va créer d’espace
dans les cas ou on pas d’espace, si on ne veut pas faire d’extraction, il va falloir choisir une autre mécanique

@+ Bjc.

1 xnkklo - Eugenol
2 jqtwvg - Eugenol

RépondreCiter
Img 8465 fqhxid - Eugenol
noahaxeltiger-olivier

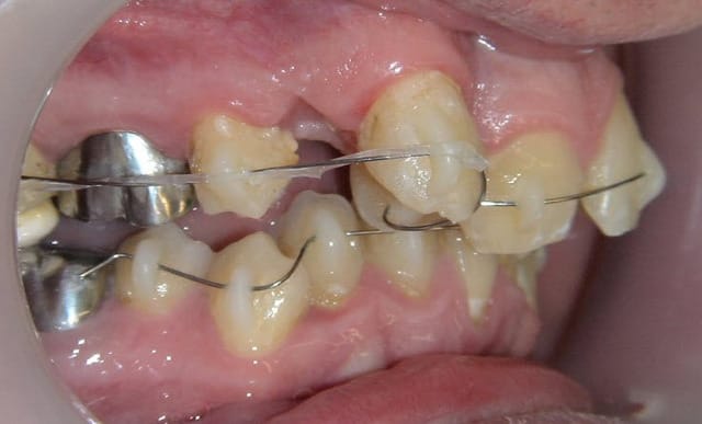
30/05/2009 à 23h15

Dancha écrivait:
----------------
> Ne te fais pas de soucis, Olivier et n’écoute pas les âneries de ce grincheux.

contrôle à 1 mois du cas numero 2. Tout marche comme prévu. Encore mille mercis Daniel. Ta technique a beaucoup plus à mes confrères suédois !

Cas nr 2 controle  1mois kps86j - Eugenol

12