Cookie Consent byPrivacyPolicies.comConseils svp - Eugenol

Conseils svp

Ikimine xg3119 - Eugenol
foulazh

10/05/2009 à 01h04

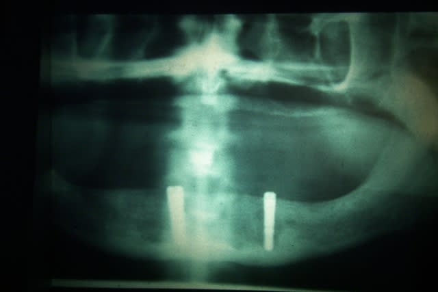
étant debutant je vous demande de me conseiller pour ce cas:femme 48 ans en bonne santé,désire implants mandibulaire pour stabiliser sa pothèse,mais j'hésite car crête fine ,
qu'en pensez-vous.
MERCI.

Photo 1 ulbewp - Eugenol
Photo 2 vehdvs - Eugenol
Dsc00463 qa4u21 - Eugenol

Grueavatar nptrc9 - Eugenol
Le Choixpeau magique

10/05/2009 à 01h17

Je trouve qu'on ne voit pas assez l'os pelvien sur la télé.
La photo aurait besoin d'un tout petit peu de sharpen.


S2y2o1v7q53ws4r5wy6ou8czrpom - Eugenol
pxav

10/05/2009 à 11h05

si tu est vraiment débutant il doit y avoir plus simple pour commencer !
sinon je pencherais pour 4 implants voir 6 pour prévoir l’avenir (à 48 ans elle à déjà bien avancé pour la perte osseuse) , avec une barre et cavalier plutôt que boutons
Si la crete est vraiment fine : expansion, condensation (pas simple de 33 à 43)
Tatum te dirait que c’est un joli cas de cadre ramique mais il ne travaille pas sur la même planète.


--
xbk


Blason dql7mj - Eugenol
growler

10/05/2009 à 11h17

on ne voit pas très bien sur ton cliché, mais il y a souvent moyen de ratiboiser la partie trop fine de la crête pour retrouver une largeur acceptable tout en conservant assez de hauteur (les extrémités des implants peuvent, si besoin, s'insérer jusque dans la corticale inférieure de la symphyse)

@+


S2y2o1v7q53ws4r5wy6ou8czrpom - Eugenol
pxav

10/05/2009 à 11h26

Il y a souvent moyen de ratiboiser la partie trop fine de la crête

Je trouve ça dommage de perdre de l'os pour rien, alors que même sans faire compliqué il est possible en général "d'écarter" plutôt que de "ratiboiser"


--
xbk


Blason dql7mj - Eugenol
growler

10/05/2009 à 12h03

si c'est vraiment fin avec une concavité je trouve que c'est pas facile du tout d'expanser dans cette zone généralement fortement corticalisée. C'est pourquoi, si la hauteur le permet, je préfère "ratiboiser".

tu y arrives toi à expanser facilement et suffisamment cette zone? comment fais-tu?


Canin

10/05/2009 à 12h55

c'est quoi cette téléradiographie de profil bizarroïde? j'ai jamais vu ça, c'est ininterprétable, c'est à refaire.

ton bilan radio est faussé dès le départ, sinon fait un scanner de la mandibule.

la chirurgie symphysaire peut présenter des risques hémorragiques du côté du plancher lingual, il faut impérativement connaître l'anatomie de la région avant de planter surtout si tu dis que la crête est fine. faut bien visualiser l'orientation de ta symphyse...

je crois que ceci est d'autant plus vrai quand on est débutant.


--
Canin


S2y2o1v7q53ws4r5wy6ou8czrpom - Eugenol
pxav

10/05/2009 à 14h56

D’accord pour le bilan radio scan indispensable
sinon pour la mise en place des implants je n’utilise pas souvent les système conventionnels, (forets, tarauds) je commence en principe avec un foret initial de 0,75 à 0,95 et ensuite j’utilise des spreaders qui présentent l’intérêt de repousser l’os au lieu d’en faire des copeaux (j’ai une préférence pour les Meissinger) et si besoin tu fait une saignée, soit au disque (0,3mm) soit avec le piezo, pour éviter la rupture puis tu pose tes implants, le tout à 50 t/mn max et en général sans irrigation car il n’y a pas d’échauffement
quand tu comprend bien le principe tu peux sans souci le faire en flapless complet.
Dans ce cas l’idéal pourrait être de faire du bi cortical (implants long) mais la il faut être précis car les spreaders ne te donnent pas la même sensibilité que des ostéotomes impactés ou même un foret


--
xbk


S2y2o1v7q53ws4r5wy6ou8czrpom - Eugenol
pxav

10/05/2009 à 14h57


oui je sais je me repete

--
xbk


Blason dql7mj - Eugenol
growler

10/05/2009 à 15h58

c'est ce protocole?
http://www.bone-management.com/eng/bm_sortimente_anw_split_eng.htm


jouk

10/05/2009 à 16h27

pxav écrivait:
--------------

> quand tu comprend bien le principe tu peux sans souci le faire en flapless
> complet.
> Dans ce cas l’idéal pourrait être de faire du bi cortical (implants long) mais
> la il faut être précis car les spreaders ne te donnent pas la même sensibilité
> que des ostéotomes impactés ou même un foret
>
>
> --
> xbk

Le flapless sur un cas comme celui ci est plus que osé.Je pense que au contraire ,un lambeau au niveau vestibulaire est souhaitable pour permettre de bien orienter tes implants car il ne reste plus de dents.


S2y2o1v7q53ws4r5wy6ou8czrpom - Eugenol
pxav

10/05/2009 à 18h30



Pour growler :
Oui au départ c'est ce protocole, mais je l’ai adapté et je n’utilise pas leurs fraises diamantées ni les autres forets mais uniquement un foret initial (1mm max. qui sert en endo d’ailleurs) et les expanseurs, sauf os D, et le disque diamanté ainsi que la scie qui est sur la brochure

Pour jouk je dis :
Quand tu comprends bien le principe tu peux sans souci le faire en flapless complet.
En général pas spécialement dans ce cas, sans voir le patient, je ne sais rien faire.
Par flapless complet j’entends sans bistouris, directement au foret initial

Dans ce cas l’idéal pourrait être de faire du bi cortical (implants long) mais la il faut être précis car les spreaders ne te donnent pas la même sensibilité que des ostéotomes impactés ou même un foret
Avec lambeaux si besoin bien sur et dans tous les cas avec une expérience minimum bien sur

--
xbk


Logo vuaztn - Eugenol
mac

10/05/2009 à 19h09

pxav écrivait:
--------------

> Dans ce cas l’idéal pourrait être de faire du bi cortical (implants long)


non c'est pas l'idéal, on a des taux de succès moins bon en bi-cortical.


19066 1223810679128 1344811835 30546764 2261510 n medium ozxaxj - Eugenol
Vitalic

10/05/2009 à 19h49

La téléradio doit impérativement être à 5 m pour être à l'echelle 1 (enfin je crois), on dirait que celle ci a été shootée à 100m!
Sinon, pour stabiliser une PAT, 2 implants ca suffit et c'est tres rare qu'il y ait pas la place.
J'ai jamais fait d'expansion, je peux pas trop en parler car en fait je n'en ai JAMAIS eu besoin pour traiter un edenté total mandibulaire, il y a toujours la place de mettre 5 implants entre les 2 foramen (foramina pour les puristes) et un bridge transvissé. Quand au concept bicortica: abandonné aucun interet à part prendre un risque chir du genre artère sous mentale ou sub linguale (le seul cas au monde repertorie de patient decede des suite d'une chir mimplant: hémorragie post op plusieurs heures aprés la chir gonflement et etouffation! cause identifiée: déchirage de l'atrère sub linguale;; Je vous renvoie au bouquin de GAUDY sur l'anatomie appliquée à la chir implant). Il vaut mieux mettre des implants courts...

A +


Img 8465 fqhxid - Eugenol
noahaxeltiger-olivier

10/05/2009 à 19h58

foulazh écrivait:
-----------------
> étant debutant je vous demande de me conseiller pour ce cas:femme 48 ans en
> bonne santé,désire implants mandibulaire pour stabiliser sa pothèse,mais
> j'hésite car crête fine ,
> qu'en pensez-vous.
> MERCI.

Bonjour foulazh.

pourrais tu nous en dire en peu plus sur l'anamnèse de cette patiente. A la vue de la téléradio de profil la crête est sacrément résorbée pour une femme de 48 ans!

Ton cas est loin très simple pour commencer en implanto :
- résorption importante de la crête ce qui induit plusieurs difficultés : d'une part la proximité du plancher avec toutes les complications que cela peut engendrer, d'autre part un placement implantaire délicat si tu ne tiens pas compte de la résorption centrifuge de la mandibule par rapport au maxillaire.
- tes traits d'incision distaux devront être également réfléchis compte tenu de la proximité crestale du foramen mentale.
- penses à l'environnement gingival periimplantaire et évites de placer tes implants dans la muqueuse du plancher buccal. Il est pas impossible que de la muco préimplantaire soit indiquée dans ton cas (difficile à apprécier avec la photo clinique fournie ;-D )

La hauteur de crête est très rarement un probléme au niveau de la symphyse mandibulaire. Je ne vois donc pas trop l'intérêt de s'embêter avec une expansion crestale horisontelle (surtout si tu veux faire un overdenture comme tu sembles l'avoir dit dans ta présentaion initiale du cas). Compte tenu du terrain très certainement parodontopathique de ta patiente je te conseille fortement d'aplatir ta crête de facon à obtenir un volume osseux vestibulo-lingual suffisant et une crête plate (te permettant ainsi de positionner tes implants sur un même plan horisontal)

Je ne vois pas trop l'intérêt d'aller chercher un ancrage bi-cortical dans ce cas là. Surtout quand on débute en implanto.

Pour résumer foulazh je ne critique absolument pas le fait que tu oses te lancer en implanto, au contraire, je trouve cela très bien. Ceci dit le cas que tu présentes n'est pas des plus simples. Dans tous les cas bon courage et n'oublie pas de nous raconter la suite.

Amicalement
Olivier


Ikimine xg3119 - Eugenol
foulazh

10/05/2009 à 22h10

Salut,je vous remercie tous pour vos réponses ,aprés mûre réflexion ,j'ai décidé de l'orienter vers un confrére plus expérimenté.
MERCI.


P1010130 jpci1f - Eugenol
MarcB6

10/05/2009 à 22h24

Bonsoir,

je suis tout à fait d'accord avec Olivier, ce n'est pas un cas simple du tout.
Olivier a bien énuméré tous les risques.
c'est pas l'idéal pour débuter en implanto.
ta décision est très sage de l'adresser à un confrère plus expérimenté et de gérer la prothèse après.
Tu sera beaucoup plus ZEN
cordialement.

--
marcB6


S2y2o1v7q53ws4r5wy6ou8czrpom - Eugenol
pxav

11/05/2009 à 01h13

J’ai eu un bug informatique qui m’a empeché de repondre + tot
Je ne donnais en aucun cas l’idée de l’expansion comme la chose à faire dans ce cas, mais je n’utilise pratiquement que les condenseurs et presque pas les forets donc je suis fatalement orienté.
Même chose pour le flapless c’est une bonne technique surtout en expansion car on ne touche pas du tout à l’intégrité du périoste, et personnellement ça ne me pose pas de problème d’axe puisque l’absence de dents t’oblige à bien savoir ce que tu veux obtenir
Mais ce n’est pas une méthode de début.

Pour ce cas les éléments radios photos sont insuffisants pour un avis d’expert que je ne suis pas en plus, ce qui est presque sur c’est que ce n’est pas un cas de début ou alors en binôme assisté par un confrère qui connait la prothèse et l’implanto

Pour la stabilisation de complet je ne suis pas partisan de 2 implants, car les patients sont très inconstants dans les obligations théoriques de suivi à moyen et longs termes.

D’après mac le bi cortical n'est pas l'idéal, on a des taux de succès moins bon en bi-cortical.

Je dirais « de sources sures » ou alors cites tes stats et dans quelles conditions elle sont faites perso je n’ai pas d’avis sur le bi cortical mis à part que je trouve que c’est un bel excercice,


--
xbk


Img 8465 fqhxid - Eugenol
noahaxeltiger-olivier

11/05/2009 à 01h57

pxav écrivait:
--------------

> D’après mac le bi cortical n'est pas l'idéal, on a des taux de
> succès moins bon en bi-cortical.

Je pense que mac fait référence à l'article de Renouard qui dans une étude avec anlyse d'éléments finis avait montré une tendance de stress plus élevé pour des implants longs et avec un ancrage bicortical. A noter que dans cette étude la longueur maximale d'implant utilisé était alors de seulement 12mm !!

> Je dirais « de sources sures » ou alors cites tes stats et dans
> quelles conditions elle sont faites perso je n’ai pas d’avis sur
> le bi cortical mis à part que je trouve que c’est un bel excercice,

Si au maxillaire les complications du bicortical sont très gérables en cas de perforations, il en est une toute autre paire de manches à la mandibule. En plus d'un risque hemorragique pouvant être mortel, il y a aussi un risque de fracture symphysaire et parasymphysaire.
C'est pour ces raisons que cette technique n'est à mon avis pas trop indiquée quand on débute.
Par contre après quelques heures de vol, comme tu as pxav à la vue des techniques avancées bien menées que tu nous as montré dans d'autres posts, ce type d'ancrage peu rendre bien des services quand il est mesuré et maitrisé.

Amicalement.
Olivier


Logo vuaztn - Eugenol
mac

11/05/2009 à 10h52

pxav écrivait:
--------------

>
> D’après mac le bi cortical n'est pas l'idéal, on a des taux de succès moins bon
> en bi-cortical.
>
> Je dirais « de sources sures » ou alors cites tes stats et dans quelles
> conditions elle sont faites perso je n’ai pas d’avis sur le bi cortical mis à
> part que je trouve que c’est un bel excercice,
>



non c'est pas d'après mac, c'est d'après la littérature, effectivement olivier je parle de l'article de renouard et de l'article d'Ivanoff dans le JOMI en 2000.

alors c'est vrai ces articles ne sont pas parfaits, mais j'en ai pas trouvé qui montrent des taux de succès meilleurs pour le bi-cortical.

explique moi en quoi c'est l'idéal et quelles sont tes sources.


S2y2o1v7q53ws4r5wy6ou8czrpom - Eugenol
pxav

11/05/2009 à 11h43

Si au maxillaire les complications du bicortical sont très gérables en cas de perforations, il en est une toute autre paire de manches à la mandibule. En plus d'un risque hémorragique pouvant être mortel, il y a aussi un risque de fracture symphysaire et parasymphysaire.
C'est pour ces raisons que cette technique n'est à mon avis pas trop indiquée quand on débute.
Par contre après quelques heures de vol, comme tu as pxav à la vue des techniques avancées bien menées que tu nous as montré dans d'autres post, ce type d'ancrage peu rendre bien des services quand il est mesuré et maitrisé.
Amicalement.
Olivier
Merci pour les heures de vol, elles me permettent de reconnaitre que ta connaissance et ta maitrise de l’art ne sont pas tombées du ciel. Peut être la fée clochette ?
Comment pourrais je te contredire Olivier, il est certain que le bicortical n’est pas une technique de début.
Bien que je ne pense pas que la partie chirurgie soit le gros problème en implanto.
Je crois que pour débuter il faut prendre les choses par le début (tiens ça parait idiot ce que je dis) et considérer la bouche dans son ensemble, Paro, DO, prothèse et implanto.
Trop souvent même chez les « bons » (malheureusement chez moi aussi) tu vois des panos avec le bel implant et une absence de soins de l’autre coté, voir juste à coté.

non c'est pas d'après mac, c'est d'après la littérature, effectivement olivier je parle de l'article de renouard et de l'article d'Ivanoff dans le JOMI en 2000.
alors c'est vrai ces articles ne sont pas parfaits, mais j'en ai pas trouvé qui montrent des taux de succès meilleurs pour le bi-cortical.
Explique-moi en quoi c'est l'idéal et quelles sont tes sources.

Je vous le jure m’sieur l’agent j’ai jamais dis que c’était l’idéal, j’ai juste dit qu’au niveau du frisson pour moi ça représente un gros moment


--
xbk


S2y2o1v7q53ws4r5wy6ou8czrpom - Eugenol
pxav

11/05/2009 à 11h45

la solution que je n'aime pas trop : 2 implants

--
xbk

Vin116 nawjvt - Eugenol