Cookie Consent byPrivacyPolicies.comCas du jour - Eugenol

Cas du jour

Smile beach jgh0a1 - Eugenol
Céramik

14/05/2009 à 05h54

Petit après midi sympa...
une arcade, à la Céramik.

--
Céramik

C ramik 50 b6hyy6 - Eugenol

S2y2o1v7q53ws4r5wy6ou8czrpom - Eugenol
pxav

14/05/2009 à 10h07

c'est tres joli ceramik, quelle technique, quelle type de céram?

--
xbk


200106 10150128247663588 709988587 6466236 5598391 n d7mksb - Eugenol
hallboy

14/05/2009 à 10h30

Si tu as qq autre photos? ( maquette ou empreinte ) et qq details??


Pa050055 igyagy - Eugenol
mark

14/05/2009 à 14h46

oui, parce que là, ça fait vitrine de chez Chaumet...


Smile beach jgh0a1 - Eugenol
Céramik

14/05/2009 à 15h13

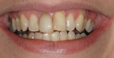
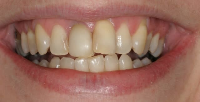
Postérieur : Lava + E-Max
Antérieur : Empress
La 46 est sur implant


Si je montre les photos cliniques, on me dira que c'est trop complexe, risqué, etc...
;-)


Photo avec vue intrados et céramique rose
--
Céramik

37 47 gvmbnw - Eugenol

200106 10150128247663588 709988587 6466236 5598391 n d7mksb - Eugenol
hallboy

14/05/2009 à 15h21

je m'en tape.

C'est toujours des beaux boulots, toujours interessant et a une echelle plus petite, il y a toujours qq chose à en retenir.

Et si c'est pour voir des trucs que je sais faire, ça risque de pas vraimùent boulverser les chaumiéres ;))

A ce compte là, autant interdire a Noah, ou PErtot de poster ;)


Images eb1m5g - Eugenol
tonio

14/05/2009 à 15h39

joli.

Ce serait sympa de voir une photo des cérams sur les modèles, les tailles, une vue post op...


S2y2o1v7q53ws4r5wy6ou8czrpom - Eugenol
pxav

14/05/2009 à 16h08

Si je montre les photos cliniques, on me dira que c'est trop complexe, risqué, etc...

Le fait de se faire prier, ça c'est le top de la parano!

Comment veux tu que nous les petits nous ayons un jour le pouvoir de faire un tout petit peu comme toi si tu ne montre pas tout.

S’il y a des critiques ça te permettra de faire encore mieux.

Question ?
pour les Emax press le prothésiste, pardon le céramiste, fait un montage Céram sur les chapes pressées ou il presse les dents complète et maquille en surface?
--
xbk


Marque a3 orange fyvhyq - Eugenol
Marc Apap

14/05/2009 à 16h42

tonio écrivait:
---------------
> joli.
>
> Ce serait sympa de voir une photo des cérams sur les modèles, les tailles, une
> vue post op...

J'aimerais aussi beaucoup voir les vues préop. Juste pour savoir pourquoi.


003 penrd2 - Eugenol
Cingulum

14/05/2009 à 16h50

dans le meme genre, un petit avant aprés réussi, tout en CCM (bridge à gauche et unitaire à droite...)
on attaque le bas...
--
Dr Cingulum
-----Ancien interné----
----Attaché à l'apex----

Img 7062  large  h8brdg - Eugenol
Img 7376  large  tdtiyd - Eugenol
Img 7371  large  wtddk5 - Eugenol

S2y2o1v7q53ws4r5wy6ou8czrpom - Eugenol
pxav

14/05/2009 à 18h34

Les dents sont féminines, les 3 poils sous le nez moins!
Un cas traité à l'ancienne (si on veut) que je trouve bien réalisé.
Félicitations


--
xbk


003 penrd2 - Eugenol
Cingulum

14/05/2009 à 19h11

et pourtant c'est une femme ... ;)

Ceramik, c'est de l'emax sur implant ? t'as pas peur ? surtout une molaire... c'est pressé sur un pilier zircone ?


--
Dr Cingulum
-----Ancien interné----
----Attaché à l'apex----


Bing surfboards tm mark pcsd1h - Eugenol
jayetche

14/05/2009 à 20h26

magnifique boulot cingulum
je serai curieux de voir les preparation que tu as faites les as tu en photos?


Pa050055 igyagy - Eugenol
mark

14/05/2009 à 22h32

bravo cingulum, et merci.

ceramik, félicitations... pour ton prothésiste...


Marque a3 orange fyvhyq - Eugenol
Marc Apap

15/05/2009 à 02h19

Ca m'arrive aussi de faire des trucs : in ceram sur les centrales, composite (Artiste, Generic Pentron) sur les latérales.

01 initial lb7are - Eugenol
02 final zsqm9g - Eugenol

Smile beach jgh0a1 - Eugenol
Céramik

15/05/2009 à 03h24

Marc Apap écrivait:
-------------------
> Ca m'arrive aussi de faire des trucs : in ceram sur les centrales, composite
> (Artiste, Generic Pentron) sur les latérales.



Super, une photo de Marc.
Sans blague, c'est bien.
J'espère seulement que le problème d'occlusion postérieure (récessions, abrafractions, mal-occlusion) est pris en charge.


Pour le pourquoi...et bien pourquoi pas...
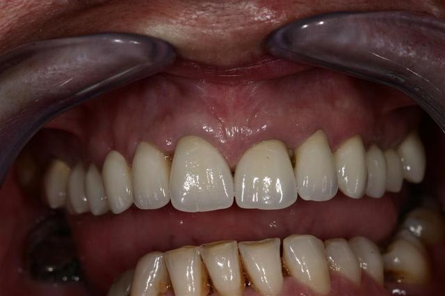
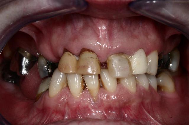
J'ai proposé divers plans de Tx, et le patient a fait un choix. Il est venu me voir, après la pose de 4 implants par un autre dentiste, pour une évaluation globale esthétique et fonctionelle. Il avait usé ses dents de plusieurs mm.
Récessions, abfractions, perte de DV, dents brisées, amalgames cassés, fractures de molaires (2 des 4 implants),
perte de 12 et 11 (trauma). Bref un beau mélange qu'il a décidé de réparer en entier. J'ai fais 28 unitées, en 2 temps, après greffes gencives, paro, gestion de la DV, etc, etc.


Pour la question de la 46 sur implant, pilier métal, couronne Lava (Zircone) et céramique.

J'ai fais pas mal de Zircone depuis 7 ans. Plusieurs sur implants. Un seul cas de fracture d'armature (couronne 36 et 37 jumellées...J'ai refais en Zircone encore et ça tient (la patient ne voulait AUCUN métal gris dans sa bouche).



--
Céramik

 mg 9702  large  dci2et - Eugenol

Smile beach jgh0a1 - Eugenol
Céramik

15/05/2009 à 06h02

mark écrivait:
--------------
> bravo cingulum, et merci.
>
> ceramik, félicitations... pour ton prothésiste...


Merci, de sa part.
;-)
--
Céramik


S2y2o1v7q53ws4r5wy6ou8czrpom - Eugenol
pxav

15/05/2009 à 10h16

sous reserves de l'intepretation des photos, il me semble qu'il y a un leger manque sur certains joints, ce qui est un des probleme de la pressée, même si il est bien moindre que pour les cadcam.
Mais cette remarque n'est que du pinaillage et le cas est vraiment bien
tu n'a pas repondus maquillage ou montage ceram en partant d'une chape presée?

--
xbk


Marque a3 orange fyvhyq - Eugenol
Marc Apap

15/05/2009 à 10h17

Céramik écrivait:
-----------------

> Super, une photo de Marc.
> Sans blague, c'est bien.
> J'espère seulement que le problème d'occlusion postérieure (récessions,
> abrafractions, mal-occlusion) est pris en charge.
>

Ca va de soi ! Et je lui ai aussi pris un rendez vous avec un chirurgien de mes amis, parce que j'ai remarqué qu'elle avait le sein droit plus bas que l'autre d'un centimètre.


S2y2o1v7q53ws4r5wy6ou8czrpom - Eugenol
pxav

15/05/2009 à 10h21


c'est pourtant simple à traiter: tu l'allonges et ça s'équilibre!
--
xbk


Marque a3 orange fyvhyq - Eugenol
Marc Apap

15/05/2009 à 11h38

Pas assez cher mon fils !


Smile beach jgh0a1 - Eugenol
Céramik

16/05/2009 à 03h15

pxav écrivait:
--------------
> sous reserves de l'intepretation des photos, il me semble qu'il y a un leger
> manque sur certains joints, ce qui est un des probleme de la pressée, même si il
> est bien moindre que pour les cadcam.
> Mais cette remarque n'est que du pinaillage et le cas est vraiment bien
> tu n'a pas repondus maquillage ou montage ceram en partant d'une chape presée?
>
> --
> xbk

Il n'y a pas de joint sur les modèles non taillés, je fais un essai sur modèle maître et un essai en bouche à sec un par un, ensuite en groupe et finalement en entier.

J'ai parlé à mon céramiste pour tes infos :
Lava + Lava-Céram en montage (Pas pressée comme mentionné).

3M et Lava se dirige vers quelque chose de différent (selon mon labo, centre LAVA). Chape usiné Zircone et enveloppe de céramique usinée, les 2 collées ensembles...concept inovateur....reste à voir...


Marc, tu as des photos pour les seins ?


--
Céramik


S2y2o1v7q53ws4r5wy6ou8czrpom - Eugenol
pxav

16/05/2009 à 11h09

Bonjour
Je suis allé sur :

http://www.zir-techcenter.com/content/view/34/60/

Je ne suis pas un fan du cadcam mais à mon avis cette façon de faire est la meilleure pour le moment, la machine pour la préparation de la chape est de très bon niveau et c’est comme cela qu’il faut procéder à mon avis.

L’investissement est tel qu’il n’est pas possible pour le moment d’avoir ce genre de service au cab ou dans le labo lambda.

Mon seul « reproche » est que pour compenser les problèmes:

Le fraisage de l'armature, dont la taille a été augmentée afin de compenser la rétraction liée au frittage, est fritté dans un four spécifique à haute température, permettant ainsi à une restauration de haute résistance avec un excellent ajustage.(dixit zir-tech)

Comme pour toutes cadcam, mais là au moins l’ajustage périphérique semble très très correcte.
Si ton prothésiste peut donner un avis sur les problèmes (s’il y en a) ce serait sympa.


Marc; les seins, les seins!
--
xbk


Smile beach jgh0a1 - Eugenol
Céramik

16/05/2009 à 23h12

pxav écrivait:
--------------
> Bonjour
> Je suis allé sur :
>
> http://www.zir-techcenter.com/content/view/34/60/
>
> Je ne suis pas un fan du cadcam mais à mon avis cette façon de faire est la
> meilleure pour le moment, la machine pour la préparation de la chape est de très
> bon niveau et c’est comme cela qu’il faut procéder à mon avis.
>
> L’investissement est tel qu’il n’est pas possible pour le moment d’avoir ce
> genre de service au cab ou dans le labo lambda.
>
> Mon seul « reproche » est que pour compenser les problèmes:
>
> Le fraisage de l'armature, dont la taille a été augmentée afin de compenser la
> rétraction liée au frittage, est fritté dans un four spécifique à haute
> température, permettant ainsi à une restauration de haute résistance avec un
> excellent ajustage.(dixit zir-tech)
>
> Comme pour toutes cadcam, mais là au moins l’ajustage périphérique semble très
> très correcte.
> Si ton prothésiste peut donner un avis sur les problèmes (s’il y en a) ce serait
> sympa.
>
>
> Marc; les seins, les seins!
> --
> xbk



PXAV

J'utilise des couronnes/bridges CAD-CAM depuis 2003.
Les systèmes actuels (3M Lava par exemple) ont une précision très bonne. Pour moi, fini le temps de se poser des questions sur cette façon de faire.

Le frittage réduite le volume de la chape usinée, mais la précison est sans reproche.

L'avenir, c'est les empreinte optique et le Cad-Cam intégré.
Et oui, c'est le concept Cerec, mais poussé plus loin.
Empreinte d'arcades, fichier numérique directement envoyé au labo, confection virtuelle.

Avec la façon de faire conventionnelle :
1-Empreinte
2-Couler du modèle
3-Cirage
4-Couler du métal et contraction
5-Application céramique et cuisson

Beaucoup d'étape avec des imprécisions ET des facteurs humains et des variations (ratio poudre-liquide, température, humidité, etc)

Empreinte optique = 8-10 microns
Usinage = 10 microns
On peut même choisir l'épaisseur pour le ciment (au micron près) lors de l'usinage. Avec l'espaceur placé sur le modèle au pinceau, c'était très très alléatoire.

Si on presse la céramique sur les marges, on a une restauration superbe (solide et esthetique, et même plus étanche, car la marge est collée à la résine.


J'ai fais aussi plusieurs E-Max usiné (Monobloc) , l'adaptation est superbe, la couleur, aussi et on peux coller à la résine.

Mon labo de grosseur moyenne,a décidé de foncer et d'acquérir un centre d'usinage Lava, et bien, il fonctionne à pleine capacité, et la demande pour le céramo-métal baisse tous les mois.

Pour un petit lab, les chapes peuvent être usinées à l'extérieur, et la finition fait maison.

--
Céramik


S2y2o1v7q53ws4r5wy6ou8czrpom - Eugenol
pxav

17/05/2009 à 00h06

Si on presse la céramique sur les marges, on a une restauration superbe (solide et esthétique, et même plus étanche, car la marge est collée à la résine.

Une ceramo-métal avec margin (joint céram) peut aussi être collée à la résine

Mon labo de grosseur moyenne, a décidé de foncer et d'acquérir un centre d'usinage Lava, et bien, il fonctionne à pleine capacité, et la demande pour le céramo-métal baisse tous les mois.

Pour le moment je pense que la limite sérieuse est au bridge 3 à 4 éléments ce qui ne condamne pas la céramo-métal
J’aime bien le principe de la Céram pressée en particulier sur métal car elle combine certains avantages mais je ne vois encore pas encore de solution universelle

Pour un petit lab., les chapes peuvent être usinées à l'extérieur, et la finition fait maison.

Solution qui m’intéresse mais que je n’ai pas encore essayée


--
xbk