Cookie Consent byPrivacyPolicies.comCas de Samedi, - Eugenol
1 p3qrc4 - Eugenol
Bjc.

22/05/2009 à 18h28

Sexe F. 30 ans
Modèles de départ
traité il y a 3 ans, avec extraction

les photos de samedi suivent

1 lkulwd - Eugenol
2 prgaof - Eugenol

Avatar transparent iqadnc - Eugenol
adhoc

22/05/2009 à 20h21

La récidive va etre gratinée? :-)


1 p3qrc4 - Eugenol
Bjc.

22/05/2009 à 23h03

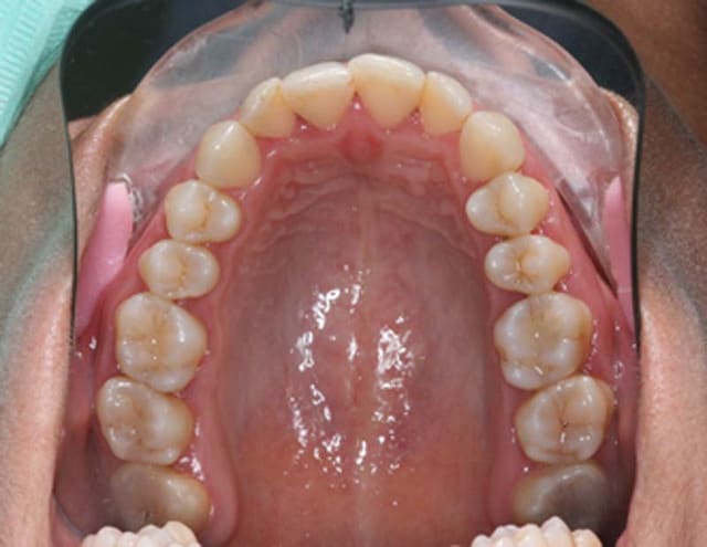
voici les photos en occlusion
avis d’occlusodontistes

à suivre

1 phnv5o - Eugenol

1 p3qrc4 - Eugenol
Bjc.

22/05/2009 à 23h05

et les photos d'arcades

la patiente est inquiète car malgré la contention Inf.
"ça revient comme avant"

2 s3z7di - Eugenol
3 aezt8f - Eugenol

Grueavatar nptrc9 - Eugenol
Le Choixpeau magique

22/05/2009 à 23h16

Le problème c'est l'asymétrie induite (ou conservée) par les extractions, c'est ça ?


1 p3qrc4 - Eugenol
Bjc.

22/05/2009 à 23h22

absolument, il y a 3 ans c'était un cas qu'on pouvait traiter sans induire d'asymétrie, à condition de ne pas faire d'extraction.
maintenant c'est un cas difficile, car on ne pourra pas récupérer tout l'espace perdu

@+ Bjc.


1 p3qrc4 - Eugenol
Bjc.

22/05/2009 à 23h50

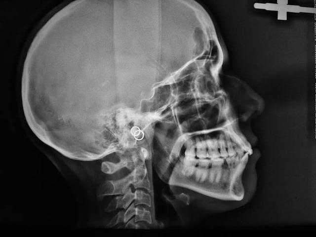
voici les Rx.

Dscf1239 sr849v - Eugenol
Dscf1237 oraxxm - Eugenol

1 p3qrc4 - Eugenol
Bjc.

23/05/2009 à 14h44

Au départ, il existait des Pbs. des deux cotés, inégalement répartis. maintenant le coté D. est bien, mais que dire du coté G. et du bloc Ant. qui évolue vers une Cl. II. 2, malgré une contention Inf.
comme quoi un TTT. ODF. peut présenter un joli résultat sur un secteur et désorganiser les autres secteurs
la contention Inf. ne peut pas empêcher l’évolution défavorable de ce cas
heureusement, je n’ai pas de Pbs. de d’ATM.

si j’arrive à redresser les arcades (reformage) et si je réouvre au niveau de 35, le Pb. se posera alors du remplacement de cette dent

cela fait beaucoup de si

voilà comment avec une extraction, on transforme un cas, au départ relativement simple, en cas compliqué

@+ Bjc.


Images 1 qtgoxf - Eugenol
ciwil

23/05/2009 à 14h57

elle n'a pas de parafonction ?
bjc, que ferais-tu si un tel cas se présentais maintenant ?
Damon + stripping ?


S8ysxdzhdqgw00w4q6m07a5d47q2 - Eugenol
gai-luron

23/05/2009 à 15h36

Pourquoi l'avoir mis en rubrique "implanto"?
tu envisages de rouvrir l'espace 35 et d'implanter?


1 p3qrc4 - Eugenol
Bjc.

23/05/2009 à 16h15

"elle n'a pas de parafonction ?"

curieusement, non!

"bjc, que ferais-tu si un tel cas se présentais maintenant ?
Damon + stripping ?"

tout à fait, c'est du reste ce que je vais tenter, avec un systeme à double friction: friction forte à D. car j'ai besoin d'ancrage pour friction faible à G pour expansion
j'ai besoin au départ de symétriser mes arcades avant de refaire l'occlusion G. qui sera sans doute avec une réouverture d'espace
tout cela en gardant un controle Ant.

si j'y arrive

@+ Bjc.



1 p3qrc4 - Eugenol
Bjc.

23/05/2009 à 16h20

"Pourquoi l'avoir mis en rubrique "implanto"?
tu envisages de rouvrir l'espace 35 et d'implanter?"

30 ans (33 ans exactement) quand je vais recentrer (au mieux) mes points inter-incisifs, l'espace de 34 va se réouvrir

la position des apex (33/35)est favorable pour implanter si je redresse, mais quel est l'implant le plus petit pour ce cas?

@+ Bjc.



200106 10150128247663588 709988587 6466236 5598391 n d7mksb - Eugenol
hallboy

23/05/2009 à 16h28

Bjc. écrivait:
--------------
> "Pourquoi l'avoir mis en rubrique "implanto"?
> tu envisages de rouvrir l'espace 35 et d'implanter?"
>
> 30 ans (33 ans exactement) quand je vais recentrer (au mieux) mes points
> inter-incisifs, l'espace de 34 va se réouvrir
>
> la position des apex (33/35)est favorable pour implanter si je redresse, mais
> quel est l'implant le plus petit pour ce cas?
>
> @+ Bjc.
>
>
>
Combien d'espace tu comptes liberer? faudrai au moins 6 mm
( implant de 3.5 ) je crois


200106 10150128247663588 709988587 6466236 5598391 n d7mksb - Eugenol
hallboy

23/05/2009 à 16h29

et il faudrait aussi que le patient soit d'accord en amont: si il decouvre a la fin qu'on lui a refait un trou et qu'il y en a pour 2000 euros rien que pour le reboucher qu'est ce qu'on fait si il veut pas?

un bridge ;)?


1 p3qrc4 - Eugenol
Bjc.

23/05/2009 à 17h03

elle et son mari (qui est de la confrérie) sont prévenus par écrit signé, que ce sera un bridge ou un implant en fonction de l'espace

je voudrais savoir quel est le plus petit diamètre pour un implant P.M. car je pense que je n'arriverai pas à 6 mm.
quoique ...

@+ Bjc.


1 p3qrc4 - Eugenol
Bjc.

23/05/2009 à 17h21

je pense que si ce cas se termine bien, il le sera avec un diastème de 4 mm. (environ)
la question que je me pose est: est-ce que je dois pousser ma technique à ses limites pour arriver aux 6 mm., pour mettre un implant, ou est-il préférable de faire un bridge

@+ Bjc.


200106 10150128247663588 709988587 6466236 5598391 n d7mksb - Eugenol
hallboy

23/05/2009 à 17h34

pose precisement cette question en impalnto: quel est l'espace minimal pour poser un implant? 3.5 d'impalnt + 2 mm pour ce que je crois savoir.

mais il y a des specialistes , dont je ne suis pas.

Et ton implanto: il en pense quoi?


1 p3qrc4 - Eugenol
Bjc.

23/05/2009 à 18h53

je pose la question aux implantos

et par la mm occasion en prothèse: actuellement, peut on faire de bridges inlay-onlay tout céramique?

@+ Bjc.


S2y2o1v7q53ws4r5wy6ou8czrpom - Eugenol
pxav

23/05/2009 à 19h40

Bjc. écrivait:
--------------
> je pose la question aux implantos
>
> et par la mm occasion en prothèse: actuellement, peut on faire de bridges
> inlay-onlay tout céramique?
>
> @+ Bjc.
>

Il n'y a pas de probleme sans solutions

le bridge inlay/onlay/ceram ça existe mais personnelement je pense que ça doit rester la solution de dernier recours
dents saines à coté

le diametre de l'implant n'est pas le problème, le probleme c'est la dimension de la dents ensuite

si ta patiente acceptes une "petite" dent no problème

je te mets un exemple de patiente qui ne voulais pas d'ortho

le resultat n'est pas tip top mais elle est enchantée

ce qui est le principal

note pà part:
si son mari est de la confrérie un implant en fonction de l'espace la pose est normalement (du moins pour les vieux comme moi)gratuite il n'y a que le matos à payer

--
xbk

100 1080 o1khfs - Eugenol
100 1506 csyprr - Eugenol

200106 10150128247663588 709988587 6466236 5598391 n d7mksb - Eugenol
hallboy

24/05/2009 à 14h21

http://www.eugenol.com/sujets/252882-distance-mini-entre-deux-implant?page=2#post_426310


1 p3qrc4 - Eugenol
Bjc.

24/05/2009 à 16h34

"le diametre de l'implant n'est pas le problème, le probleme c'est la dimension de la dents ensuite"

avec 4 mm. que peut-on faire?

@+ Bjc.


S2y2o1v7q53ws4r5wy6ou8czrpom - Eugenol
pxav

24/05/2009 à 16h38


ben une dent de 4mm!
mais tu peux peut etre gagner un peu? (je ne faits pas d'ortho)
les dents de sagesses? utiles?
--
xbk


1 p3qrc4 - Eugenol
Bjc.

24/05/2009 à 16h56

une dent de 4 mm. oui, mais un implant de combien?
quant aux dents de sagesse, le gain d'espace en distal est très aléatoire

@+ Bjc.


200106 10150128247663588 709988587 6466236 5598391 n d7mksb - Eugenol
hallboy

24/05/2009 à 17h02

miniimplant je crosi que ça fait 2.5.

mais en principe c'est pas fait pour mettre des dents, plutot pour stabiliser des complets je crois.


S2y2o1v7q53ws4r5wy6ou8czrpom - Eugenol
pxav

24/05/2009 à 17h16

si j'ai bien compris tu veux "une dent" qui bloque l'espace, alors il y a une solution (implant)
bien sur ce ne sera pas une molaire ni un outil pour ouvrir les bouteilles de biere.
ça s'appelle du "dépannage", mais ça marche sans problème

--
xbk