Cookie Consent byPrivacyPolicies.comurgence Summers - Eugenol

urgence Summers

Fouilla h6plsy - Eugenol
fouilla

18/09/2009 à 16h25


>
> > On n'a une petite idée en tête pour 2010, avec les précités, pour le moment ce
> n’est qu’un brouillons, et les âmes charitables seront les bienvenues, car c'est
> lourd une telle organisation.
>
>
> --
> xbk
pas vu l'autre post pas facile de vous suivre , mais bon vous terminez tard et commencez tôt...


S2y2o1v7q53ws4r5wy6ou8czrpom - Eugenol
pxav

18/09/2009 à 20h25

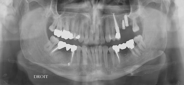
dommage je voulais poser le deuxieme 20mm mais la corticale etait pas d'accord pour laisser passer les osteotomes de Tatum alors adaptation.
les deux implants ne sont pas l'un sur l'autre mais un palatin et l'autre vestibulaire.

--
xbk

Fojer xjtk2e - Eugenol
Fo jer  2  18.09 - Eugenol

3f3boxni50k58rq7e9ce9ddqrxgk - Eugenol
dentiste57

19/09/2009 à 13h35

URGENCE SUMMERS !!

c'est amusant comme titre, on se croirait dans la série qui porte le même nom. Sauf que les toubibs y sont moins beau.
:)



Blason dql7mj - Eugenol
growler

19/09/2009 à 13h37

comment çà "ils sont moins beaux" !!


S2y2o1v7q53ws4r5wy6ou8czrpom - Eugenol
pxav

19/09/2009 à 14h30

dentiste57 écrivait:
--------------------
> URGENCE SUMMERS !!
>
> c'est amusant comme titre, on se croirait dans la série qui porte le même nom.
> Sauf que les toubibs y sont moins beau.
> :)
>
>ça c'est lamentable!

tu me rajoute une oreille, deux tasses de café, et ma femme dit que Doug est mon clone.

Bon d'accord c'est ma femme qui le dit, mais quand même.

http://www.urgences-la-serie.com/index.php3?rub=Ross&rp=acteurs

à propos peut tu faire passer le fichier Dicom de nomm à Posit?
je ne l'ai pas sur place.

--
xbk


Blason dql7mj - Eugenol
growler

04/10/2009 à 21h30

j'ai vu pas mal de trucs au congrès de l'EAO

3 systemes coréens pour les lift par voie crestale, dont celui-ci:

http://eng.dentis.co.kr/product/vodplay.asp?cateCode=030204#

(cliquer sur la première vidéo dans la liste)

@+


Smile beach jgh0a1 - Eugenol
Céramik

04/10/2009 à 21h59

cool, même si mon coréen est un peu limité...
On peut acheter le truc ?

A+


--
Céramik


Blason dql7mj - Eugenol
growler

04/10/2009 à 22h13

attends , t'emballe pas, j'ai vu aussi d'autres trucs sympa.

notamment une fraise spéciale qui effracte le plancher sans léser la membrane, si vous êtes gentil je vous donne le lien:))


Smile beach jgh0a1 - Eugenol
Céramik

04/10/2009 à 22h17

C'était où l'EAO ?

Tient, j'ai trouvé cela il y a 3 minutes.

Hey, tu attends quoi pour l'autre lien pffff...


http://www.ds-system.com/



--
Céramik


Logo vuaztn - Eugenol
mac

04/10/2009 à 22h26

growler écrivait:
-----------------
> j'ai vu pas mal de trucs au congrès de l'EAO
>


tu m'as vu et ça c'est déjà beaucoup!


S2y2o1v7q53ws4r5wy6ou8czrpom - Eugenol
pxav

04/10/2009 à 22h33

Céramik écrivait:
-----------------
> cool, même si mon coréen est un peu limité...
> On peut acheter le truc ?

> A+
>--
> Céramik

peut etre un petit souci pour la sté mais sinon belle evolution du systeme balloon.
je suis séduit
--
xbk


Avatar ow44t3 - Eugenol
Chicot

04/10/2009 à 22h36

http://www.ds-system.com/

Céramik, J'ai déjà essayé le drill system, c'est une simple buté comme dans d'autre système (Nobel, Serf,..)

--
;O)


Blason dql7mj - Eugenol
growler

04/10/2009 à 23h22

mac écrivait:
-------------
> growler écrivait:
> -----------------
> > j'ai vu pas mal de trucs au congrès de l'EAO
> >
>
>
> tu m'as vu et ça c'est déjà beaucoup!


eh oui, c'était émouvant!
je ne dirais à personne que tu dormais durant la plus belle conférence :))


Blason dql7mj - Eugenol
growler

04/10/2009 à 23h35

http://www.implantium.com/USR_main.asp??=PRODUCT/INSTRUMENTS/DASK/list


exemple clinique:

http://4.bp.blogspot.com/_Ni-dKS6hvs4/SiDTbWI47KI/AAAAAAAAHfs/H4OHW5f5AtQ/s1600-h/DASK2.png

http://2.bp.blogspot.com/_Ni-dKS6hvs4/SiDTK2Xkc0I/AAAAAAAAHfk/81EC11XUZxI/s1600-h/DASK1.png


Blason dql7mj - Eugenol
growler

04/10/2009 à 23h53

et enfin le dernier:

http://www.recursosmedicos.com/htm/eng/productos/gbr/sca.html

avec la video


dov

04/10/2009 à 23h53

Je comprends pas le coreen...alors qu'est ce qui est "injecte"pour elever la mb sinusienne?


Blason dql7mj - Eugenol
growler

05/10/2009 à 00h10

du sérum physiologique


Blason dql7mj - Eugenol
growler

05/10/2009 à 00h33

Céramik écrivait:
-----------------
> C'était où l'EAO ?


à Monaco, temps superbes, belles confs, j'ai vu mac (il a fait une arrivée grandiose en hélico avec ses amis insulaires, quelle classe ce mec!)

pleins d'exposants et une entrevue très sympathique avec olivier noahaxeltiger, un type charmant d'une gentillesse remarquable.

et puis un mémorable dîner gastro avec bill

bref, 4 jours bien sympas

rendez-vous l'année prochaine à Glasgow


Smile beach jgh0a1 - Eugenol
Céramik

05/10/2009 à 02h23

2010, Glasgow, UK – 7 to 9 October 2010
2011, Athens, Greece – 13 to 15 October 2011

Glasgow...hummmm
Athènes...j'aimerais bien !

Sinon ICOI :

ICOI World Congress XXVII
August 26 - 28, 2010
Hamburg, Germany

ou + exotique

First Global Congress of Chinese Dentists/
13th Congress of ICOI Asia Pacific Section
ICOI-CSA Implant Symposium
December 1 - 4, 2010
Xiamen, China



--
Céramik


Logo vuaztn - Eugenol
mac

05/10/2009 à 23h59

growler écrivait:
-----------------
j'ai vu mac
quelle classe ce mec!


enfin quelqu'un d'intelligent sur eugenol!


sinclair

11/11/2009 à 22h49

on peut avoir des informations sur le DASK en francais sur la site www.dentogem.com, qui le distribue en france


1...45