Cookie Consent byPrivacyPolicies.comCommentez cette endo !! - Eugenol

Commentez cette endo !!

pimalaï

18/06/2009 à 20h06

bonjour,
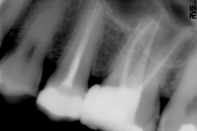
cette premiere molaire est asymptomatique.
que pensez-vous de cette endo ? satisfaisante ou non ?
faut il refaire le traitement endo avant de couronner la dent ?
nb : il n'y a aucun instrument fracturé

Endo njrss3 - Eugenol

PopHip

18/06/2009 à 20h46

Selon Saint Machtou, en l'absence de signe clinique ou de paro apicale, et au feeling, je raisonnerai ainsi:

- l'endo a-t-elle 15 ans ? => retraitement (la définition de l'endo est bien le traitement et la prévention des parodontites apicales)
- l'amalgame est-il infiltré ? Le traitement endo aussi (sauf s'il a 3 semaines) => retraitement
- l'amalgame est-il de bonne qualité ? Quand un amalgame (avec un tel volume) a été négligé, je suppose que le traitement endo aussi => retraitement

Good luck


Mordancage Fatal

18/06/2009 à 20h47

Pour moi tu devrais la reprendre à partir du moment ou tu te sens capable de l'améliorer.
Elle est "radiologiquement jolie" mais si tu ne l'as pas faite toi même tu ne sais pas si la désinfection par la solution d'irrigation a été efficace.


pimalaï

18/06/2009 à 20h56

INFO
- je l'ai faite moi meme
- sous digue et instrumentation alternée par irriguation à l'hypo
- elle a 1 mois
- c'est un cavit et non un amalgame


Avatar transparent iqadnc - Eugenol
adhoc

18/06/2009 à 20h58

Je me joins aux deux posts plus haut. Je rajouterais cependant:

Bien avertir le patient:
-des risques encourrus pour la dent en cas de reprise de traitement (fracture, casse et tutii quanti)
-des bénéfices qu'il est susceptible d'obtenir (ca sent bon :-))

L'évaluation de ce quotient décisionnel nous appartient, certes, mais un petit peu au patient aussi , non? (sauf si c'est un gros bourrin! :-)))

Ca semble tout beta, mais combien de fois manquons nous dans la précipitation de la plus élémentaire communication?


Avatar transparent iqadnc - Eugenol
adhoc

18/06/2009 à 20h59

Coquin, va!
Bé , si elle est neuve, ton obtu, elle est choucarde, fonce :-))


Avatar transparent iqadnc - Eugenol
adhoc

18/06/2009 à 21h01

Tu noteras que PopHiP a bien spécifié:
l'endo a-t-elle 15 ans ? =>


pimalaï

18/06/2009 à 21h09

bon, puisque vous suivez, voici un complement d'info :

cette endo à été faite il y a 1 an.
la patiente a demenagé et vu sans attendre (car elle savait qu il fallait couronner la dent) 1 autre dentiste.
Celui ci a decidé de reprendre le traitement qu'il considerait manquer de densité.
resultat des courses : pate ds le sinus, extraction de la dent pour "tenter de recuperer la pate" (??), infection sinusienne, chir ORL, et Bridge 3 dents !
La patiente me questionne aujourd'hui sur la qualité initiale de mon ttt endo ...
alors ... ??


PopHip

18/06/2009 à 21h31

pimalaï écrivait:
-----------------
> INFO
> - je l'ai faite moi meme
> - sous digue et instrumentation alternée par irriguation à l'hypo
> - elle a 1 mois
> - c'est un cavit et non un amalgame

Donc rapport bénéfice/risque hyper faible si tu reprends l'endo dans ces conditions. Moi je n'y toucherai pas...

Mais mais... si tu demandes un avis, peut-être est-ce parce que tu doutes de quelque chose ?


PopHip

18/06/2009 à 21h36

pimalaï écrivait:
-----------------
> bon, puisque vous suivez, voici un complement d'info :
>
> cette endo à été faite il y a 1 an.
> la patiente a demenagé et vu sans attendre (car elle savait qu il fallait
> couronner la dent) 1 autre dentiste.
> Celui ci a decidé de reprendre le traitement qu'il considerait manquer de
> densité.
> resultat des courses : pate ds le sinus, extraction de la dent pour "tenter de
> recuperer la pate" (??), infection sinusienne, chir ORL, et Bridge 3 dents !
> La patiente me questionne aujourd'hui sur la qualité initiale de mon ttt endo
> ...
> alors ... ??

Aaaahhh ok on comprend mieux :)

Tu as traité la dent semble-t-il dans les règles, la patiente te lâche (donc ton traitement est interrompu car le but est bien de ne pas juste dépulper), un autre dentiste y met sa patakanal, mutile et encaisse (elle sont comment les endos adjacentes ?)... tu te reproches quelque chose ?


pimalaï

18/06/2009 à 21h37

relis mon dernier message PopHip !


pimalaï

18/06/2009 à 21h41

non, mais tu comprends que la patiente puisse imaginer que quelqu'un à merder à un moment ou a un autre. C'est pourquoi je demande votre jugement impartial à la vue de cette radio !


Avatar transparent iqadnc - Eugenol
adhoc

18/06/2009 à 21h48

8.5 sur 10 si tu veux quantifier radiologiquement.

Tous les dentistes aimeraient bien avoir cette moyenne satisfaisante à TOUTES leurs endos plutot que des ecarts type (echecs et parfois le super super rendu radio) AUTOUR de cette note!!!!






pimalaï

18/06/2009 à 21h51

merci adhoc. Bien sur un jugemement a la seule vue de la radiographie ne peut etre exhaustif, mais cela reste un element determinant d'appreciation tout de même.


S2y2o1v7q53ws4r5wy6ou8czrpom - Eugenol
pxav

18/06/2009 à 22h45

8,5 +0,5 pour la digue.
mais je ne critique pas l'autre dentiste pour le retraitement, par contre il y a des moyens plus simples que l'extract pour aller chercher un peu de pate dans les sinus.

--
xbk


pimalaï

18/06/2009 à 23h02

oui d'autant que l'infection sinusienne ayant indiqué la chir orl semble avoir été posterieure à l'extraction.