Cookie Consent byPrivacyPolicies.compeut on retablir une courbe harmonieuse ? - Eugenol

peut on retablir une courbe harmonieuse ?

pimalaï

20/06/2009 à 15h16

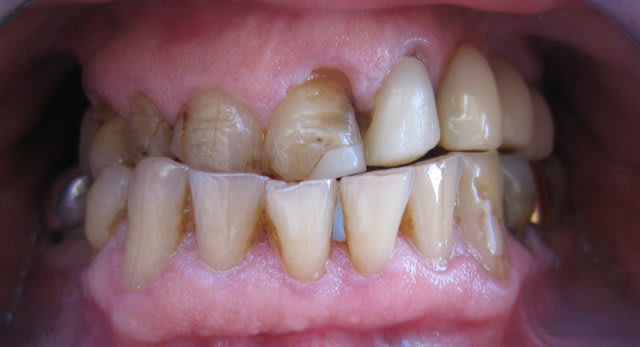
classe III
occlusion en montagne russe.
le patient souhaite une rehabilitation esthetique totale y compris les incisives inf) par protheses fixes.
Mais peut on retablir une courbe occlusale parfaite sans risques ?
le patient est bien sur un carbocalcique, qui dement pourtant etre bruxomane
merci de vos commentaires, conseils et astuces.


pimalaï

20/06/2009 à 15h17

oups, voici la photo !

Img 6559b zipbvf - Eugenol

200106 10150128247663588 709988587 6466236 5598391 n d7mksb - Eugenol
hallboy

20/06/2009 à 15h44

En premier faire un wax.


Gutt-A

20/06/2009 à 16h23

Il y a une égression de tout le secteur 1 à cause de l'abrasion + déviation des milieux, ça va être chaud ;). Faudra passer par des élongations coronaires pour réaligner la ligne du sourire.


Smile beach jgh0a1 - Eugenol
Céramik

20/06/2009 à 18h58

hallboy écrivait:
-----------------
> En premier faire un wax.


Faudrait un peu d'info plus qu'un photo...
Pano, photo arcades, occlusion postérieure, modèles montés, etc.

Un wax...basé sur quoi ?
Comment fais-tu tes wax stp ?
Comment trouves-tu ton occlusion ?
Merci

--
Céramik


200106 10150128247663588 709988587 6466236 5598391 n d7mksb - Eugenol
hallboy

20/06/2009 à 19h38

Tres connement ds un cas pareil.
Les C3 en general sont sur une espece de RC pure ( on peut pas pousser la Md en arriere ou a peine pour un bout a bout)mais sait on jamais , il y a peut etre qq chose a gagner.
Donc je fais passer les maquettes avec une petite ouverture; juste assez pour n'avoir aucune interference dentaire (moyco en une epaisseur )et le plus en arriere possible. ce qui m'importe le plus c'est de rester soigneusement dans l'axe sagittal median.

le wax va me dire ce qui va etre necessaire en modification d'axe et en hausse de la dimension d'ouverture pour passer en C1
Dis autrement, si c'est possible ( oui/non ), a quoi ça pourrait ressembler, et a quel prix (je ne parle pas d'argent mais de possible rampes d'inlay core ou d'ouverture trop importante ) .

avec ça j'ai une grosse partie de la reponse, parce qu'il y a forcement avec ce qui pourrait empecher de le faire.


pimalaï

20/06/2009 à 21h10

bon si g bien compris
wax up, validation esthetique
preparation des dents
elongation coronaire
pose d'un provisoire transitoire ...
recontruction en bout à bout avec peut etre une tres legere augmentation de DV (1mm maxi au niveau incisif)

autres suggestions ?

en tout cas, ce type d'occlusion ne vous fait pas peur pour la perenité de la prothese ?


200106 10150128247663588 709988587 6466236 5598391 n d7mksb - Eugenol
hallboy

20/06/2009 à 21h37

pimalaï écrivait:
-----------------
> bon si g bien compris
> wax up, validation esthetique
> preparation des dents
> elongation coronaire
> pose d'un provisoire transitoire ...
> recontruction en bout à bout avec peut etre une tres legere augmentation de DV
> (1mm maxi au niveau incisif)

je pense que tu peux passer en C1 avec un faible recouvrement, et tu peux de toute façon aller bien au dela de 1 mm: deja essaye d'evaluer ce que le gars a naturellement bouffer comme hauteur et tu peux largement ajouter 1 mm en post.

tu ne trouvera nullepart de vraie données chiffrées sur " de combien peut on rehausser une occlusion " car passer un point c'est patient dependant ( d'ou l'interet des prov pour valider ) mais qd tu met une gouttiere ou un jig tu l'augmente enormement jsutement pour que ça aille mieux.
>
> autres suggestions ?
discute bien avec ton proth: si il a un peu de bouteille, avec une dix ou 15 dentistes dans sa clientelle, il a du voir passer des cas comme ça. il t'evitera peut etre qq blagues.
>
> en tout cas, ce type d'occlusion ne vous fait pas peur pour la perenité de la
> prothese ?

non. j'ai deja fait. j'ai un cas comme ça qui doit tenir depuis une quinzaine d'année. les protheses sont toujours bien. comme je te le dis, je l'ai passé d'une tres legere C3 a une C1+ guide Incisif+ lateralité guidée sur la canine.
j'ai juste du faire un "timble " ( je sais mm pas si c'est le vrai nom ) eclat de ceram +++ donc tout taillé jusqu'a la chappe et une couronne en telescope par dessus, et une endo qui a merdé : l'annnée derniere jai perforé la couronne, reprise au travers puis compo pour boucher la face occlusale.


pimalaï

20/06/2009 à 22h57

concernant l'augmentation de DV : il n'est pas evident comme tu dis qu'en bouffant ces dents, il ait perdu tant de dv que ca. Il est possible que les dents aient compensées par egression. Donc je me mefie bcp des augmentation de dv systematique. Mais bien sur, je pense qu'on peux qd meme ouvrir un peu, mais 1 mm en posterieur ca semble vraiment beaucoup tu sais !!

autre interrogation d'ordre "nomenclaturale": pour les incisives inf par exemple qui sont "saines". Que vais codifier pour une CCM : HN ? et si je decide de mette un inlay core sur une dent non remboursée : l'inlay core est il codifiable SPR 50 ou HN ?


200106 10150128247663588 709988587 6466236 5598391 n d7mksb - Eugenol
hallboy

20/06/2009 à 23h04

pimalaï écrivait:
-----------------
> concernant l'augmentation de DV : il n'est pas evident comme tu dis qu'en
> bouffant ces dents, il ait perdu tant de dv que ca. Il est possible que les
> dents aient compensées par egression. Donc je me mefie bcp des augmentation de
> dv systematique. Mais bien sur, je pense qu'on peux qd meme ouvrir un peu, mais
> 1 mm en posterieur ca semble vraiment beaucoup tu sais !!

imagine que tu fasse une gouttiere: quele epaisseur aura t elle en post? ;)
des surelevations de cet ordre, je n'en ai jamais eu qui posent Pb.


pimalaï

21/06/2009 à 01h18

oui mais on est pas fait pour parler et manger avec une gouttiere dans la bouche !


200106 10150128247663588 709988587 6466236 5598391 n d7mksb - Eugenol
hallboy

21/06/2009 à 02h26

on est pas fait pour etre fermé tout le temps et l'ouverture max entre les incisives c'est 5 ou 6cm, alors 4.8 ou 5.8...

j'ai googlé pour trouvé un article, mais j'ai pas eu. SI Emma trainais par là, elle aurait pu nous en parler plus. Bcp de cas de surelevation . Bcp de cas prescrit par les Clauzadiens aussi . à la mimite ,on pet vite etre embarass par des efondrement de la DVo car ça peut ecraser le menisque, dasn l'autre sens faudrait vraiment rehausser d'un sacré paquet.

et une fois de plus, le wax sert à ça: on redistribue les crates et on observe sa main sans avoir besoin de toucher le patient: apres , on voit. Et a un certain point, ça reste du NNS comme dit un ortho du coin:Nose navigation system.


200106 10150128247663588 709988587 6466236 5598391 n d7mksb - Eugenol
hallboy

21/06/2009 à 02h40

Tiens: parfois on va chercher loinc equ'on a tout pres

http://www.eugenol.com/sujets/34155-gagner-de-la-dvo


gianni

05/07/2009 à 01h28

Et à quel moment on vérifie l' intégrité ( probablement altérée ) des ATM?
Je pense qu' il faut commencer plutot le TRAITEMENT par là avant de partir sur les tailles


gianni

05/07/2009 à 01h34

Parce que les déterminants dentaires de l' occlusion sont tellement anarchiques que sa mastication ne peut se faire aujourd'hui que par compensation et adaptation des structures musculo articulaires. Rectifier prothétiquement la position des dents est très louable mais si les autres determinants de l' occlusion sont KO on risque d' avoir des soucis sur les futures prothéses.


200106 10150128247663588 709988587 6466236 5598391 n d7mksb - Eugenol
hallboy

05/07/2009 à 03h17

pas de plaintes signalées donc on peut supposer qu'il y en a pas.

si pas de limitation d'ouverture, pas de trajet en baïonnette ou de douleurs a la palpation, ça veut dire que ça musculature supporte une occlusion deja bien anarchique.
Si tu restes soigneusement dans l'axe sagittal comme il est probablement vu sa classe 3 en rotation pure, t'as pas d'inquietude a avoir de ce coté là.
et mm si il a un PB: tu as un tryptique: ATM/ muscles/dents

l'atm fait ce que les muscles lui dictent
les muscles font ce que la tete lui dicte et les dents lui permettent.
Rend le schema occlusal simple ( pas de NT, contact regulier sur tout le bloc ant, disclusion canine et pm tout de suite apres ). Si tout ça ne suffit pas, il faudra t'occuper de sa tete ( relaxation, autohypnose, filtres + rem si affinité ) ou botter en touche avec des gouttieres.

les provisoires pourraient bien t'en apprendre bcp.


Cuisinier2 vnbbxx - Eugenol
jeff2

05/07/2009 à 11h02

Honnêtement Hallboy, as tu déjà vu au cours de ta longue carrière une classe III qui a des problèmes d'ATM ?


200106 10150128247663588 709988587 6466236 5598391 n d7mksb - Eugenol
hallboy

05/07/2009 à 12h02

pas que je me souvienne.

les avantages de la rotation pure? et pourtant , souvent trs musclés de la Md. le passage en CI avec recouvrement Incisif: light a peine dequoi desengrainer derriere et reparti sur tout le bloc.

mais Gianni etait inquiet.


gianni

05/07/2009 à 19h49

ok pour une cl III en " normocclusion" de cl III qui fonctionne bien! Vous etes sur que les ATM ne prennent pas dans ce contexte?


200106 10150128247663588 709988587 6466236 5598391 n d7mksb - Eugenol
hallboy

05/07/2009 à 21h42

pas de plainte du patient. apres toujours pareil: si il ouvre dans l'axe, que t'as un calage post, pas de limitation d'ouverture, pourquoi il y aurait PB?


Cuisinier2 vnbbxx - Eugenol
jeff2

05/07/2009 à 21h50

et si il n'ouvre pas dans l'axe et sans plainte tu fais quelque chose?


200106 10150128247663588 709988587 6466236 5598391 n d7mksb - Eugenol
hallboy

06/07/2009 à 01h06

me demander pourquoi il ouvre pas dans l'axe;)

mais on ne serait plus dans une simple grande reconstitution; mais dans un sadam
Donc la litanie habituelle: recherche de grosses surocc ou NT, REm/filtres, ou/et gouttierers relaxation, et surement pas l'equivalent de 2 bridges complets tant que le pb est pas reglé.
Si j'arrive a le regler. Comme il n'y a pas de plainte aon peut esperer que le pb ne soit pas profondement ancré, et donc etre raisonablement optimiste.

Tu ferais quoi?