Cookie Consent byPrivacyPolicies.comdiagnostic ? - Eugenol

diagnostic ?

pimalaï

23/06/2009 à 22h23

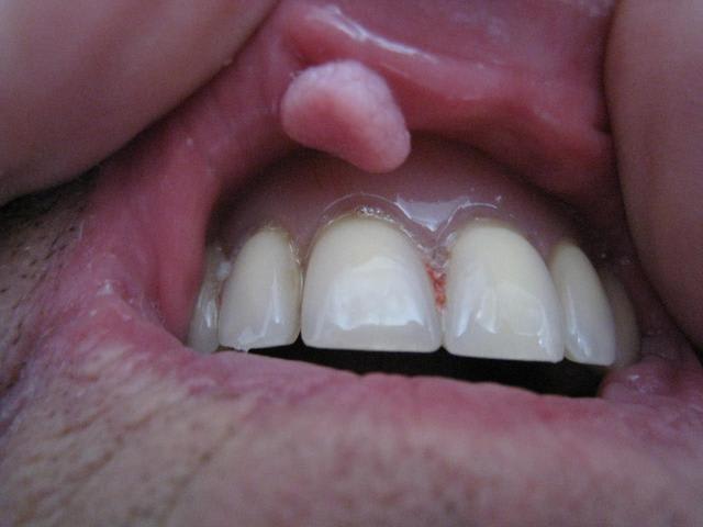
cette lesion bourgeonnante, asymptomatique, non inflammatoire, est appendue a la face interne de levre superieure en regard des dents prothetique 11 12.
Le patient est porteur de 2 PAC.
Il est a noter que la PAC inferieure provoque une ulceration par surchage dans le fond du vestibule en regard de 41 et 42, donc exactement en antagonisme avec la lesion labiale.

bon c'est une diapneusie , n'est ce pas ?

Img 6587 dn7el5 - Eugenol

Truffe

24/06/2009 à 00h23

Bonjour,
Cette lesion est elle "aspirée" entre les deux prothese ? si oui, c'est peutetre une diapneusie.
Sur ta photo, elle semble pédiculée. Est ce cas ?
La muqueuse est elle souple à la la base ? ou indurée? Il y a t'il des adenopathies ?


pimalaï

24/06/2009 à 00h54

oui la lesion est pediculée
la muqueuse autour n'est pas indurée.
pas d'adenopathie.
la lesion est en regard du collet de la 11.

En fait, je pense à une lesion par aspiration de la levre, comme pour mobiliser les pac et reduire la pression sur la muqueuse en regard de 41 42 qui est en surcharge.


dati

24/06/2009 à 10h09

diapneusie.
tu l'enleve et tu fais analyser.


 mg 0207 xwjxcl - Eugenol
Tillc

25/06/2009 à 00h40

fraise tagada


belette

09/07/2009 à 12h20

Dans la série : c'est quoi et que faut-il faire ?

cette patiente me dit que cette petite bille bleue est là depuis 1,5an. située à l'intérieur de la commissure des lèvres, très dure, pas d'évolution.

--
^ ... ^
Ô"""Ô
= o = .... ??? ...

Petite boule bleue fvkpkn - Eugenol

Avatar hjdsnm - Eugenol
TiGabi

09/07/2009 à 19h35

belette écrivait:
-----------------
...que faut-il faire ?

Mettre des gants ?


belette

09/07/2009 à 19h55

En mettre à la patiente? Ce sont SES (propres?) doigts ...

Y'a belles lurettes que je n'ai pas touché la moindre gencive sans gants. Merci du conseil quand même.

^ ... ^
Ô"""Ô
= o = ... pas la première fois qu'on me dit de mettre des gants... manquerais-je de délicatesse ??? ...


Dsc01433 2 qnf68y - Eugenol
Ramasoft

09/07/2009 à 20h54

ça ressemble à un angiome
assez fréquent sur la partie muqueuse des lèvres.
Lésion vasculaire bénigne - ne rien faire
L'excision est délicate car très hémorragique.


belette

10/07/2009 à 00h13

Ok, j'y touche pas!
Mais comme ça la gène et qu'elle se mord parfois, je vais l'adresser.


^ ... ^
Ô"""Ô
= o = ... et une bêtise évitée , merci !...