Cookie Consent byPrivacyPolicies.comLa loi des séries... - Eugenol

La loi des séries...

La linea jygxfy - Eugenol
wodka

17/07/2009 à 20h21

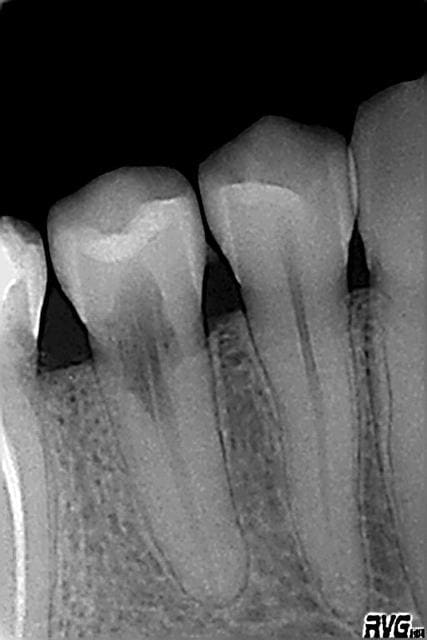
... des résorptions internes.

R3 aowxja - Eugenol
R1 mxudgr - Eugenol

Sans titre tztxfv - Eugenol
Monet

19/07/2009 à 23h25

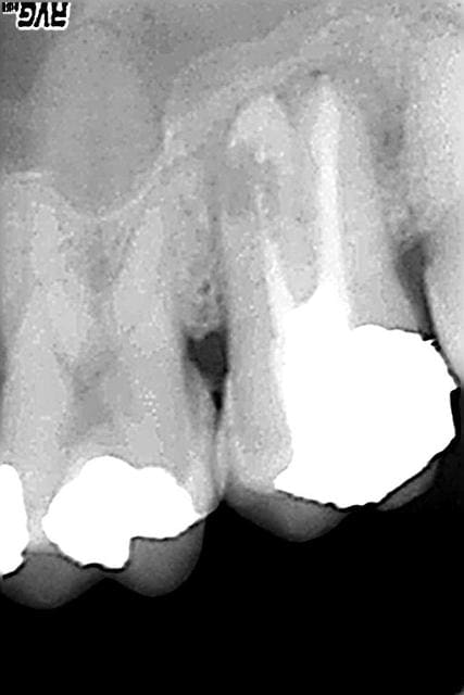
Pronostics...?