Cookie Consent byPrivacyPolicies.comJe suis désolé semaine sympa bis! - Eugenol

Je suis désolé semaine sympa bis!

S2y2o1v7q53ws4r5wy6ou8czrpom - Eugenol
pxav

24/07/2009 à 19h07

ce que je considère comme pas simple du tout expansion symphise.
ce fut long (pas loin de trois heures) mais bon!

--
xbk

Planche1 jqnd1p - Eugenol
Planche2 f1xyig - Eugenol
Planche3 ojevvg - Eugenol
Planche4 ory8gd - Eugenol
Planche5 s3tdnz - Eugenol
Planche6 kqfba8 - Eugenol
Planche7 j3fqvk - Eugenol

Fresh watermelon 640x562 udulqz - Eugenol
gulguch

24/07/2009 à 19h20

Putain, c'est beau.


S2y2o1v7q53ws4r5wy6ou8czrpom - Eugenol
pxav

24/07/2009 à 19h29

gulguch écrivait:
-----------------
> Putain, c'est beau.
merci monseigneur, j'ai vraiment pris un pied d'enfer, je crois que c'est la premiere fois que je reussis ça sans faire de decharges vestibulaire.
pouvu que tout se passe bien .

--
xbk


Fresh watermelon 640x562 udulqz - Eugenol
gulguch

24/07/2009 à 19h30

A propos pourquoi 3 heures? Tu tournes trés trés lentement les expanseurs? Pause avant les implants?
Ce cas là, tu as mis les vis transgingivales ou tu as fermé par dessus?
A+


Fresh watermelon 640x562 udulqz - Eugenol
gulguch

24/07/2009 à 19h37

Et si je n'abuse pas avec mes questions, c'était une bonne vraie symphyse en os D1, ou tu as choisi exprés Mme Ostéoporose qui a du D2 en bas devant?

Je penche pour la première option...


S2y2o1v7q53ws4r5wy6ou8czrpom - Eugenol
pxav

24/07/2009 à 21h13

gulguch écrivait:
-----------------
> Et si je n'abuse pas avec mes questions, c'était une bonne vraie symphyse en os
> D1, ou tu as choisi exprés Mme Ostéoporose qui a du D2 en bas devant?
>
> Je penche pour la première option...
3 h car je laisse l'os travailler , il faut qu'il "s'ecarte" lentement sinon craque.
pas du D1, sans fenetre laterale ça ne marcherais pas, par contre fin.

--
xbk

Ma fezqny - Eugenol

Img 8465 fqhxid - Eugenol
noahaxeltiger-olivier

24/07/2009 à 23h57

superbe boulot !! As usual !!
Merci de partager tout ca avec nous pxav.

Juste une petite requête puisque je n'utilise pas Vitalos : aurais tu des clichés radios en baseline puis en suivi 1 an, 2 ans et plus de cas d'expansion crestale comblée au Vitalos. Merci.

Amicalement
Olivier.


S2y2o1v7q53ws4r5wy6ou8czrpom - Eugenol
pxav

25/07/2009 à 00h51

noahaxeltiger-olivier écrivait:
-------------------------------
> superbe boulot !! As usual !!
> Merci de partager tout ca avec nous pxav.
>
> Juste une petite requête puisque je n'utilise pas Vitalos : aurais tu des
> clichés radios en baseline puis en suivi 1 an, 2 ans et plus de cas d'expansion
> crestale comblée au Vitalos. Merci.
>
> Amicalement
> Olivier.

un compliment de toi, c'est toujours un plaisir.
je dois avoir des scanns avant apres mais je ne suis plus au cab. à cette heure ci.
si je trouve le temps je chercherais, mais en aucun cas il ne faut penser que c'est autre chose que ce que je fais.
praticien obstiné oui, chercheur avec toutes les competences non.
je ne sais montrer que ma pratique, adaptable certe mais sans force de loi.


--
xbk


TAUPON

25/07/2009 à 01h59



C'est moi qui suis désolé pour la semaine derniére.

Superbe!!!!
jean paul


gerard

26/07/2009 à 13h01

bonjour, ce cas d expansion est superbe, on peut pas toujours et cette situation clinique avec une crete hyperfine +concavite juste en dessous mais plus de nonosse plus bas m a fait preferer une petite greffe classique, facile puisque une seule zone deonneuse receveuse.les implants prevus dans 5 mois.

0001 zghvam - Eugenol
Dsc 0002 yf6kii - Eugenol
Dsc 0003 jm0won - Eugenol
Dsc 0004 cdk74o - Eugenol
Dsc 0005 wsggsc - Eugenol
Dsc 0006 xrs298 - Eugenol
Dsc 0007 akrgwi - Eugenol
Dsc 0008 thdbcv - Eugenol

S2y2o1v7q53ws4r5wy6ou8czrpom - Eugenol
pxav

26/07/2009 à 14h15

gerard écrivait:
----------------
> bonjour, ce cas d expansion est superbe, on peut pas toujours et cette situation
> clinique avec une crete hyperfine +concavite juste en dessous mais plus de
> nonosse plus bas m a fait preferer une petite greffe classique, facile puisque
> une seule zone deonneuse receveuse.les implants prevus dans 5 mois.
je respecte ton choix, qui n'aurais pas été le mien, car l'os parait"travaillable" (D2) et comme j'essaye toujours de faire au plus "simple" j'aurais tenté le travail sur la crête )
mais le plus important c'est que ton cas (tres beau) se passe bien et que ton patient soit content de son praticien et du résultat.


--
xbk


Photo pluton1b h9n4ea - Eugenol
pluton

26/07/2009 à 17h32

+1 pxav...j'aurais moi aussi commencé par sortir la trousse d'expansion...et seulement si çà passe pas fait une greffe...


gerard

27/07/2009 à 02h21

bonjour, merci de vos reponses.dans le cas presente, le patient porte un stellite inf que je laisse en place pendant les qq mois d attente des implants.
je ne suis pas expert en expansion mais si ce cas avait ete traite par une expansion et pose dimplants simultanee, auriez vous mis en charge ces implants de suite compte tenu du fait que
1/ l occlusion ant est de type classe 2 2 donc gros recouvrement incisif et donc guidage anterieur serieux
2/la prothese prevue est un bridge ant de 4 elements sur 2 implants
3/ meme avec expansion, la prothese impose des implants de petit diametre [3.25] donc risque biomecanique en MCI[??]

jai choisi l option greffe car je veux du D! en cervical quand je vais planter mes piliers de bridge et assurer une MCI de ces implants par la presence d un os dense dont l ancrage et la resorption me paraissent plus controles par cette approche.

[merci pxav pour tes posts qui partagent ton experience ]


3f3boxni50k58rq7e9ce9ddqrxgk - Eugenol
dentiste57

27/07/2009 à 02h32

les écoutes pas , c'est tous des méchants qui font rien que des conn.....

:)

non, bravo pour ta greffe que je trouve d'excellente qualité.

j'aurai quelques questions...
comment fais tu pour suturer ? plan profond puis plans superficiels ?
mets tu un pansement cutanée de contention ?
quels complications as tu déjà rencontré dans ce genre de greffe issu du ramus ?


gerard

27/07/2009 à 03h47

pour suturer pas de problemes de plans -le lambeau part du sulcus des dents et dans ce cas precis au milieu de la crete edentee. pour les prelevements symphysaires je suis les conseils des "anciens" et je prefere sauf contre indications faire une incision niveau sulcus ; c est a peine plus long pour le decollement mais les fibres musculaires sont dans le lambeau et jusqu a present peu de suites post op.
le repositionnement du lambeau est simple et qq sutures simples suffisent.
les complications que j'ai rencontrees sont essentiellement au niveau des sites receveurs a la mandibule avec des petites expositions tardives au niveau des vis . au niveau du ramus , plutot de l' oedeme post op essentiellement mais des greffons plus longs et essentiellement du cortical donc interessant au maxillaire en apposition, une meilleure acceptation du site pour le patient qui peut faire l analogie avec une dds.
j ai fait qq prelevements au piezo sur la symphyse et c est tres econome d'os mais j'ai trouve que c etait trop long compare a une fraise fissure qui prend qq minutes, au ramus par contre les inserts coudes sont super pour la tranchee inf.
jai utilise aussi la scie oscillante-voir fichier joint- mais vu les vibrations plus jamais sous locale, bloc seulement , c est trop de stress pour le patient.
menfintout ca c est du blabla on a aujourdhui des references en chir qui publient des trucs excellents comme tulasne ou khoury mais bon, donner un avis de petit dentiste ca change un peu...

Scie oscillante 7 c5xine - Eugenol

gerard

27/07/2009 à 03h52

ah oui, je precise pour moi de l autre cote de la planete, il est 2h de l apres midi et pas du matin... tiens d ailleurs je vais faire un petit coup de surf , on a des belles vagues aujourdhui.


S2y2o1v7q53ws4r5wy6ou8czrpom - Eugenol
pxav

27/07/2009 à 09h58

gerard écrivait:
----------------
>si ce cas avait ete traite par une
> expansion et pose dimplants simultanee, auriez vous mis en charge ces implants
> de suite compte tenu du fait que
> 1/ l occlusion ant est de type classe 2 2 donc gros recouvrement incisif et donc
> guidage anterieur serieux
> 2/la prothese prevue est un bridge ant de 4 elements sur 2 implants
> 3/ meme avec expansion, la prothese impose des implants de petit diametre [3.25]
> donc risque biomecanique en MCI[??]
>
si expansion, à priori pas de MCI avec un os "tendre" comme
dans ton cas.
en principe je ne descend pas en dessous de 3,5 pour les implants. (3,4 avec les Axioms).
le risque est surtout de trop "charger" l'os, il ne faut pas trop lui en demander,déja un stellitte dessus ce n'est pas top.

et écoutes (pas) les conseils de D57, il sait de quoi il parle!

--
xbk


S2y2o1v7q53ws4r5wy6ou8czrpom - Eugenol
pxav

27/07/2009 à 10h14

gerard écrivait:
----------------
> tiens d ailleurs je vais faire un petit coup de surf ,
> on a des belles vagues aujourdhui.

ça c'est lamentable!
--
xbk


Blason dql7mj - Eugenol
growler

27/07/2009 à 11h06

perso j'ai tendance à faire comme Gérard car je ne parviens pas à obtenir une expansion assez ample dans ces zones. Les flexions et compressions durant l'expansion ne sont-elles pas préjudiciables à la micro-vascularisation de l'os lui même?
De plus la crête édentée étant en général résorbée de façon centripète, parviens-tu, pvax, à n'expanser que le pan vestibulaire de façon à compenser cette résorption centripète?

dans le cas présenté par gérard (le surfeur néo-calédonien?), si on utilise des implants disons de 3.3 mm de diamètre pour être en accord avec la prothèse( http://www.implantologie-fr.com/images_IM/666827001248676120.jpg ) il faut au moins 1.5 mm d'os en lingual et vestibulaire soit 6.3 mm de largeur de crête ce qui est quand même assez important:

autres solutions:

-soit combiner expansion et rog
-soit découpe du pan vestibulaire, pose des implants comme montré par noahaxelolive ici: http://www.eugenol.com/sujets/385319-greffe-expansion?page=3
- soit utilisation de greffons cortico-spongieux type biobank afin d'éviter la morbidité des prélèvelents symphysaires

j'ai tendance à penser que l'expansion (la simple sans décharges osseuses) est une bonne solution quand on ne lui en demande pas trop ou qu'elle est utilisée en combinaison avec la ROG. J'ai l'impression que lorsqu'on expanse et que l'implant est mis en place on obtient souvent une fine lamelle osseuse dans la partie cervical vestibulaire et palatine de l'implant ce qui ne peut pas être forcément rassurant quant à l'avenir de cet os?

bref, je me pose pleins de questions sur cette technique, j'ai pleins de doutes quant à son utilisation systématique et exclusive, doutes qui ne demandent qu'à être levés.

@++


S2y2o1v7q53ws4r5wy6ou8czrpom - Eugenol
pxav

27/07/2009 à 13h21

growler écrivait:
-----------------

>
> bref, je me pose pleins de questions sur cette technique, j'ai pleins de doutes
> quant à son utilisation systématique et exclusive, doutes qui ne demandent qu'à
> être levés.
>
> @++
>
etre ou ne pas etre, expanser ou ne pas expanser!
telle est la question.
je maintiens que je fais tout pour simplifier, et que je ne suis pas "la science", je fais des choix comme tout le monde, mais j'ai aussi mon lot de doutes, d'echecs, et d'erreurs.
je suis opposé au greffon d'origine bio., de temps en temps je fais aussi des greffes, mais je trouve cela lourd pour le patient (sympa pour le chir par contre).
et franchement j'ai une moyenne de résultats qui m'autorise a continuer dans ce sens.
le cas que nous allons faire en novembre avec D57 est l'exemple type de doutes, avec tous les risques d'une chir en directe, mais montrer des cas simples n'est pas mon choix.
Qui peut le + peux le -, et les confreres en tireront j'espere l'experience qui leurs permettra d'agrandir le panel de solutions.

--
xbk


S2y2o1v7q53ws4r5wy6ou8czrpom - Eugenol
pxav

28/07/2009 à 17h26

le pano
cicatrisation OK
pas de douleurs
pour le moment RAS
la suite le 25/08

--
xbk

Mat gu28.07 - Eugenol

Logo vuaztn - Eugenol
mac

28/07/2009 à 18h19

c'est quoi le plan de traitement?


S2y2o1v7q53ws4r5wy6ou8czrpom - Eugenol
pxav

28/07/2009 à 18h27

mac écrivait:
-------------
> c'est quoi le plan de traitement?
ben poser des implants, il faut que je fasse mon chiffre!
après on verra si elle est sage, et qu'elle demande gentillement, peut etre une ou deux dents dessus.
--
xbk


S2y2o1v7q53ws4r5wy6ou8czrpom - Eugenol
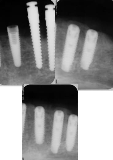
pxav

25/08/2009 à 22h47

la suite
combiné de mini expansion et classique implants courts 8 et 6 mm 4 et 4,6 de diam.
fente verticale, decharges latérales expanseurs, forets pour finir, implants lisse et pose de 3 Axioms

--
xbk

100 5267 a5ohh9 - Eugenol
100 5281 ptrjd6 - Eugenol
100 5308 vamiso - Eugenol
100 5318 bedc6x - Eugenol
100 5319 dxj4ua - Eugenol
100 5253 rioevo - Eugenol
100 5289 c3rvuv - Eugenol

Humator t9r5wy - Eugenol
humator

26/08/2009 à 12h38

sympa!

peux tu me préciser ce que tu veux dire par: "implants lisses"?

sinon, l'axiome, tes impressions? avantages? inconveniants?
merci

--
N.Hum


12