Cookie Consent byPrivacyPolicies.comJe suis désolé semaine sympa bis! - Eugenol

Je suis désolé semaine sympa bis!

Photo pluton1b h9n4ea - Eugenol
pluton

26/08/2009 à 13h40

hum, je vais te répondre à la place de pxav...puisque je l'ai vu à l'oeuvre...
il utilise des implants en titane lisse...c'est à dire non "sablé/mordancés" développés spécialement pour lui par anthogyr...
donc il ne les laisse pas en place...c'est juste des instruments...


S2y2o1v7q53ws4r5wy6ou8czrpom - Eugenol
pxav

26/08/2009 à 15h45

humator écrivait:
-----------------
> sympa!
>
> peux tu me préciser ce que tu veux dire par: "implants lisses"?
>
> sinon, l'axiome, tes impressions? avantages? inconveniants?
> merci
>
> --
> N.Hum


Donc comme dis pluton, implants lisses (outils) servant de calibre, et permettant de confirmer la hauteur et le diamètre en particulier lors d'expansion multiple, car il arrive que le vissage du dernier provoque l'expansion de la crête sur l'ensemble et un 4mm prend alors la place d'un 3,5.

Pour l'Axiom, je pense qu’ils ont fait un gros travail d'ergonomie (peu d'instruments, simplicité de préhension)

il faut bien faire attention au positionnement (pilier d'essai) puisqu'il s'agit d'une connexion cône morse.

Je développe ma technique expansion avec (très légèrement cylindro conique) en simplifiant au max.

Je fais même des cas avec implants courts, ce qui n’est pas ma "culture » mais ils semblent être bien adaptés

Pour le moment je suis satisfait, j’attends les premières prothèses pour avoir un avis complet


--
xbk


S2y2o1v7q53ws4r5wy6ou8czrpom - Eugenol
pxav

02/09/2009 à 15h06

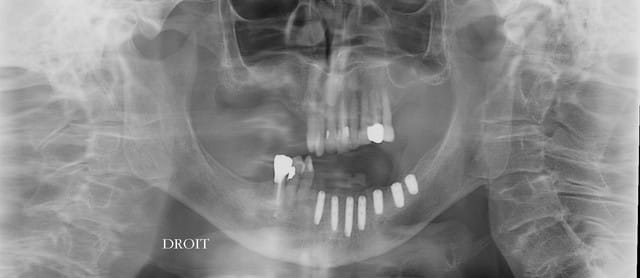
le pano

--
xbk

Ma guil 28 08 2009  1  re12hi - Eugenol

12