Cookie Consent byPrivacyPolicies.cominsolite - Eugenol

insolite

Calvin and hobbes lr0gvh - Eugenol
larome

31/07/2009 à 19h11



--
La Rome

Malposition 45 fe0vb1 - Eugenol

Grumpy cat ifik8s - Eugenol
radich_a_tord

31/07/2009 à 20h17

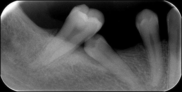
La vache !
C'est une partie de Mikado en fait, il faut en sortir une sans faire bouger l'autre !


colza2

31/07/2009 à 22h58

surtout ne pas toucher la 5 sinon la 7 tombe


Humator t9r5wy - Eugenol
humator

01/08/2009 à 10h56

sur des cas à forte inclinaison, certains sont partants pour l'orthodontie: cf ce vieux fil:
http://www.eugenol.com/sujets/19707-celui-la-il-est-pas-banal

--
N.Hum