Cookie Consent byPrivacyPolicies.comCas clinique odf - Eugenol

Cas clinique odf

calou340

18/08/2009 à 12h11

chers confreres odf

j'aurais voulu avoir vos avis concernant ce cas: il s'agit d'une femme de 23 ans qui desire ameliorer son profil et son esthetique buccal

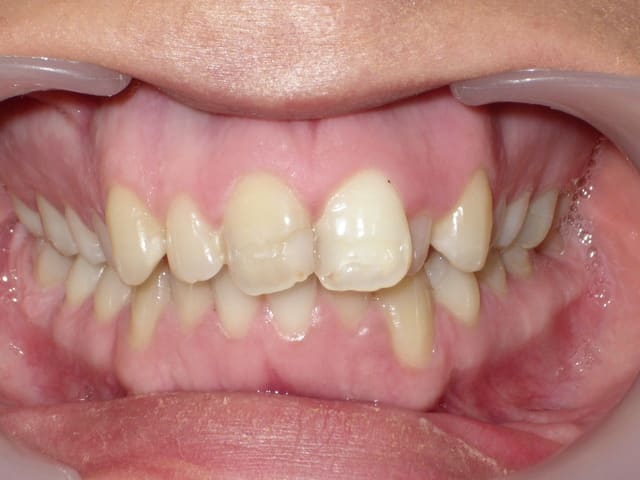
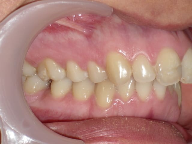
elle presente une full classe II subdivision droite associé a la perte de la 46, une deviation importante des milieux inf vers la droite, une retrogenie associée à un contexte hyperdivergent.

j'ai deja prevenu la patiente de l'éventualité d'un traitement ortho chir...

que pensez vous faire dans ce cas?

merci

Imgp8073 tu8sfe - Eugenol
Imgp8074 yhx9k4 - Eugenol
Imgp8075 q00cer - Eugenol
Imgp8076 fndbh4 - Eugenol
Imgp8077 ii2kd4 - Eugenol
Imgp8079 z5e7ob - Eugenol
 19860715 70245528 0 bjtqug - Eugenol
Trace ekml0w - Eugenol
 19860715 70283896 1 m6is8o - Eugenol

Avatar transparent iqadnc - Eugenol
adhoc

18/08/2009 à 12h42

Comme toi, évidemment, un LEFORT 3 et que ca saute!; ta patiente sera toute mignonne!


Wolford hm5yx3 - Eugenol
Doc lyonnaise

18/08/2009 à 13h25

c'est quoi cette image dans le secteur 4 ?


calou340

18/08/2009 à 13h36

je me pose egalement la question... un artefact? je vais l'envoyer chez un dentiste pour faire une retro-alveolaire


Wolford hm5yx3 - Eugenol
Doc lyonnaise

18/08/2009 à 13h39

calou340 écrivait:
------------------
> je me pose egalement la question... un artefact?

non...


1 eugenol dmj5np - Eugenol
Dancha

18/08/2009 à 14h50

C’est un cas bien intéressant, Calou. Je note que toi, au moins, tu fais un diagnostic. Même s’il synthétique, il est très parlant.
On est coincé ici par la perte de 46 avec déviation des inférieures à droite et la pseudo classe I dentaire à gauche dans ce profil rétrognathe.

J'aurais personnellement l’approche suivante :
Avulsion 36 pour pouvoir dans un premier temps reculer le secteur inférieur gauche à l’identique du coté droit et récupérer les milieux en créant une classe II dentaire globale, puis avancée mandibulaire chirurgicale de type Obwegeser avec génioplastie.

Pour Adhoc : dans ce cas-ci, il faut éviter de reculer le maxillaire supérieur à cause du nez. Exit donc le Lefot 3, ou alors uniquement en complément vertical.

Daniel


calou340

18/08/2009 à 16h13

merci Dancha, j'avais en effet opté pour le meme plan de traitement que toi a savoir:
-Avulsion 36
-correction des milieux
-création d' une classe II dentaire bilaterale et donc d'un surplomb antérieur suffisant pour permettre une chir d'avancée mandibulaire
-et enfin génioplastie.


Avatar transparent iqadnc - Eugenol
adhoc

18/08/2009 à 16h55

Pourtant, dancha, sans faire la tele, on a bien un SNA tres aggrandi, non?
Et une pyramide nasale en haut et en avant.Ce sont deux indications valables.
Un recul maxillaire va entrainer un mouvement de la pointe du nez en bas et en arriere, certes, mais c'est a mon avis desirable.
Une avancée mandibulaire conjointe pourrait etre discutée.
On pourrait profiter d'une disjonction immédiate pendant l'intervention si un disjoncteur est préparé et si les rapports tranversaux l'exigent.
Je ferais une etude sur cire (alignement haut et bas et correction des axes incisifs sans chercher de rapport d'occlusion) et demanderais une consultation conjointe avec un maxillo facial.


1 eugenol dmj5np - Eugenol
Dancha

18/08/2009 à 17h57

adhoc écrivait:
---------------
> Pourtant, dancha, sans faire la télé, on a bien un SNA très agrandi, non?

Si, tu as raison sur ce point.

> ..
> Un recul maxillaire va entrainer un mouvement de la pointe du nez en bas et en arrière..
> ..

En es-tu bien certain ?

Daniel


Picture1111 zburnd - Eugenol
saidkholoki

18/08/2009 à 18h10

Salut les amis,
S'agit il d'une patiente de typologie chinoise ou de race jaune? Dans ce cas la typologie ethenique donne des valeurs differentes du type caucasien et les analyses cephalometriques doivent etre prises avec prudence. L'etude morphologique doit primer dans ce cas la.

--
A suivre...
Said


calou340

18/08/2009 à 18h28

la patiente est marocaine...


Wolford hm5yx3 - Eugenol
Doc lyonnaise

18/08/2009 à 19h12

en tout cas profitez-en tant qu'il n'est pas là Bjc, pour donner vos avis ;-)))))


Avatar transparent iqadnc - Eugenol
adhoc

18/08/2009 à 20h53

Meu si mon dancha.
Voici un cas classique de la Salem's journal cranio deconio facial surgery qui met en évidence hypomaxilie et l'affaissement de la ligne naso labiale.

Hein, je t'en bouche un coin (coin), hein?


Avatar transparent iqadnc - Eugenol
adhoc

18/08/2009 à 20h58

J'oubliais l'ideconographie


Lefort2 tvwc2s - Eugenol

1 eugenol dmj5np - Eugenol
Dancha

20/08/2009 à 18h36

Excellent diagnostic, cher Adhoc.

Ici, je préconiserais personnellement une abstention thérapeutique orthodontique parce je trouve que le diastème naturel donne beaucoup de charme, par contre je serais tenté par une génioplastie et une nasectopie.

Daniel


1 eugenol dmj5np - Eugenol
Dancha

20/08/2009 à 18h47

Quand je te demandais si tu étais certain que le Lefort allait entraîner un mouvement de la pointe du nez en bas et en arrière, je t’avais lu un peu vite, mon cher Adhoc.
En chirurgie orthognathique, quand on parle de « Lefort », c’est quasiment toujours du « I » dont il s’agit. Je n’avais pas vraiment réalisé que tu parlais du « III », même si je l’ai réécrit moi-même en reprenant les mots que tu avais employés.
Dans mon esprit, tu parlais donc du « I » qui n’affecte pas directement le nez.
Mais ne crois-tu pas quand même qu’un Lefort III serait un peu lourd comme intervention pour une chirurgie orthognathique ?

Saïd a très opportunément et justement évoqué le problème ethnique.
Cette patiente est d’origine marocaine. Il faut savoir que dans certaines régions du Maroc certains autochtones sont hyperdivergentes++ dans un profil relativement convexe.
Si sa famille est elle-même de cette typologie, doit-on vraiment mettre cette jeune personne dans le moule caucasien ?
Quelle est alors la valeur diagnostique de la mesure d’un angle comme SNA, est-ce suffisant pour justifier une chirurgie ?
C’est là que le sens clinique est fondamental, et surtout la discussion avec le patient lui-même. Que désire-t-il vraiment ? Comment sont ses parents proches etc.. ?

Crois bien que j’apprécie de pouvoir parler sans me faire sauter dessus, Doc lyonnaise. Et surtout de pouvoir discuter calmement diagnostic et plan de traitement. Cela nous change des sempiternels « reformatage d’arcade » qui permettraient soi-disant une super-expansion ce qui, soit dit en passant, n’a jamais été prouvé scientifiquement. Une étude comparative récente (2008) tend même à prouver qu’il n’y en a pas plus qu’avec les techniques traditionnelles.

Daniel


Picture1111 zburnd - Eugenol
saidkholoki

20/08/2009 à 22h12

Tout a fait d'accord avec Daniel...

--
A suivre...
Said


Picture1111 zburnd - Eugenol
saidkholoki

20/08/2009 à 22h16

J'ai oublie que dans un cas pareil un traitement orthodontique associe a une simple genioplastie pourrait suffir si la patient et/ou sa famille sont d'accord.

--
A suivre...
Said


1 eugenol dmj5np - Eugenol
Dancha

21/08/2009 à 11h43

Absolument, Saïd. Mais dans ce cas, cela change complètement la donne et plan de traitement proposé.
Il n'est pas simplifié pour autant.
On partirait en cherchant à obtenir une classe I canines au lieu d'une classe II.
Peut-on traiter en asymétrique l'arcade supérieure ?
Le cliché de face avec le sourire n'est malheureusement pas tout à fait centré.
Calou340, pourrais-tu reprendre une photo du sourire parfaitement de face ? On pourrait alors mieux apprécier la position des incisives supérieures dans le visage.
Merci.

Daniel


calou340

21/08/2009 à 11h56

je vais en effet essayer de reprendre une photo sourire, toutefois si on decide comme Said l'evoquait, un simple traitement orthodontique associé à une genioplastie, on part alors du principe que la classe II et la déviation des milieux ne seront pas corrigées. je ne vois pas reellement l'interet d'un simple alignement dans ce cas. Ou alors ai je mal compris Said, et proposes tu un traitement avec avulsion de PM sup? dans ce cas, ne penses tu pas que ce serait esthétiquement préjudiciable pour le nez et la lèvre sup?


1 eugenol dmj5np - Eugenol
Dancha

21/08/2009 à 14h18

Tu ne crois vraiment pas, Calou340, qu'on puisse imaginer un traitement qui corrige à la fois la classe II dentaire droite et les déviations incisives sans massacrer le profil ?

Daniel


calou340

21/08/2009 à 15h29

Je peux envisager ce que tu dis mais dans ce cas précis ,le surplomb antérieur (sans chir) ne se corrigerait que par avulsion de prémolaires... Or je n imagine pas esthétiquement ouvrir l angle naso labial sans aggraver son profil ... Qu en penses tu ?


1 eugenol dmj5np - Eugenol
Dancha

21/08/2009 à 16h14

calou340 écrivait:
------------------
> Je peux envisager ce que tu dis mais dans ce cas précis ,le surplomb antérieur
> (sans chir) ne se corrigerait que par avulsion de prémolaires...
> ..

Pas tout à fait, il existe une autre solution, mais il faudrait une photo rigoureuse de face et des clichés occlusaux pour éventuellement la valider.

Daniel


calou340

21/08/2009 à 17h26

tu me fais languir ! a quoi penses tu?


belette

21/08/2009 à 17h54

Pourquoi vouloir lui bouger le maxillaire sup?

Là j'ai juste coupé vite fait la hauteur et rajouté le morceau devant.

Il faudrait corriger l'esthétique des incisives par quelque céramique appropriée et aligner un peu...

Je ne suis pas sûre que les points incisifs soient son problème ?

Mais quel est le "cahier des charges " précisément ?

--

--
^ ... ^
Ô"""Ô
= o =

Menton j0bfgc - Eugenol