Cookie Consent byPrivacyPolicies.comCas clinique odf - Eugenol

Cas clinique odf

calou340

21/08/2009 à 18h33

la patiente est globalement insatisfaite par ses dents et son visage. je suis tout a fait en accord avec toi belette lorsque tu dis que le maxillaire ne doit pas etre reculé. le gros probleme se situe au niveau du menton et la patiente présente une deviation importante du milieu incisif inf vers la droite en raison de la perte de la 46 (déviation de la taille d'une incisive inf). le seul moyen de retablir ce milieu serait d'extraire la 36 et de retablir une full cl II bilat, pour enfin finir avec un obwegeser d'avancée mandib ...

mais si il y a d'autres alternatives, je suis preneur!


1 eugenol dmj5np - Eugenol
Dancha

21/08/2009 à 21h03

belette écrivait:
-----------------
> Pourquoi vouloir lui bouger le maxillaire sup?
>
> Là j'ai juste coupé vite fait la hauteur et rajouté le morceau devant.
> ..

Bien vu, Belette. Nous sommes d'accord là-dessus, c'est la raison pour laquelle nous avons bien parlé de génioplastie et éliminé l'idée d'un Lefort qui reculerait chirurgicalement le maxillaire supérieur (désolé, Adhoc).


Daniel


1 eugenol dmj5np - Eugenol
Dancha

21/08/2009 à 21h11

calou340 écrivait:
------------------
> tu me fais languir ! a quoi penses tu?

A un traitement asymétrique de l'arcade supérieure. Par exemple avulsion 15, 26 et 36 avec mésialisation maximale des dents postérieures pour affecter le moins possible la position antérieure des incisives supérieures tout en récupérant les milieux et une classe I canines bilatérale.

Daniel


calou340

21/08/2009 à 21h51

ok, je te suis, ce serait en effet une solution de compromis si la patiente ne desire pas de chir orthognatique


Picture1111 zburnd - Eugenol
saidkholoki

22/08/2009 à 13h09

Bonjour,
Je suis desole je suis abscente un peu et voila je trouve le tour est joue. Quand j'ai dit un simple traitement ortho avec genioplastie je ne voulais pas dire que le traitement ortho est simple mais la solution en generale est beaucoup plus simple d'une chirurgie uni ou bimaxilaire et surtout pas un lefort III comme j'ai lu plus haut. Le traitement orthodontique est un compromis a faire, cela depend d'ou vient la deviation et de combien, d'ou l'importance des photos de tres bon centrage et de bonne qualite ainsi qu'une radio frontale bien centree et le tout supporte par un examen clinique detaille. Une classe II therapeutique unilaterlae n'est pas interdite, l'usage des mini vis avec des Elastiques afin de centrer les milieux n'est pas exclus. Bref je ne suis pas la pour detailler le plan de traitement mais j'evoque des possibilites seulement.

--
A suivre...
Said


1 eugenol dmj5np - Eugenol
Dancha

22/08/2009 à 13h33

Toujours d'accord avec toi, Saïd.
Juste une précision afin qu'il n'y ait pas d'ambiguïté pour personne : lorsque tu parles d'une classe II thérapeutique unilatérale, tu parles d'une classe II molaires, bien entendu. Les canines étant, elles, mises en classe I.

Daniel


Picture1111 zburnd - Eugenol
saidkholoki

22/08/2009 à 17h24

Merci Daniel pour cette precision, tu as tout a fait raison. Il s'agit de classe II therapeutique molaire mais classe I canine et lignes medianes alignees.
--
A suivre...
Said


ameli

24/08/2009 à 15h02

Excusez l'intervention d'un profane, mais j'ai une petite observation à faire, qui n'a peut-être aucune importance.
J'y vais sur des oeufs, car je me trompe peut-être !

Sur photo de face, on constate un "décentrage" d'une dent complète. La patiente est en occlusion.
Sur la pano, à moins que je me gourre, cette déviation ne me semble pas dépasser une 1/2 dent. La patiente n'est pas en occlusion, mais au repos.
Comment ce fait-ce ? pourquoi ce chemin de fermeture en biais ? ATM, anatomie originale, ou plus bêtement occlusion fausse mais de convenance ?
D'autre part, sur la photo profil, il me semble que le mouvement est "forcé", ce qui m'a fait penser à la piste de l'occlusion.

Bref, la question que je me pose est celle-ci : l'occlusion présente est-elle juste ?
Est-ce qu'il n'y aurait pas un gros problème de contact prématuré qui fausse tout ? Si oui, en recherchant une meilleure occlusion, est-ce qu'on n'obtiendrait pas un petit glissement mandibulaire qui améliorerait l'ensemble esthétique et fonctionnel ?... et éviterait peut-être une intervention lourde de conséquence (on ne sait jamais !)


1 eugenol dmj5np - Eugenol
Dancha

24/08/2009 à 18h03

Bonjour Ameli...

Tu as peut-être raison, ça vaut la peine de vérifier et je suis certain que notre ami Calou340 va le faire avec attention.
Cependant, lorsque tu dis que la patiente est au repos sur la panoramique, ce n'est pas tout à fait exact car elle mord sur une cale de positionnement. Étant donné que ses incisives n'ont pas un bord libre rectiligne, il est fort possible qu'elle ait déplacé sa mandibule un peu latéralement pour tenir la cale correctement.
Sur la photo de profil, je pense que ce qui apparaît forcée n’est pas l’occlusion mais plutôt la contraction du houppe du menton pour obtenir une fermeture labiale.

Daniel


EloD

24/08/2009 à 19h27


Ah j'ai hate d'avoir l'avis de Bjc, et puis là, si ça continue, daniel et saïd...ça va finir par un mariage ;-))

ça y est...à peine rentrée..vlà d'jà k'jdi des queuneries

Bon, plus sérieusement,

calou340 écrivait:
------------------
> la patiente est globalement insatisfaite par ses dents et son visage.


Il faut effectivement voir les desirs de cette patiente, mais si son visage lui pose problème, je pense qu'une chirurgie d'avancée mandibulaire donnera un meilleur résultat qu'une simple génioplastie, qui risque fort de se transformer en "menton en galoche"...


1 p3qrc4 - Eugenol
Bjc.

25/08/2009 à 16h25

salut,

ils pataugent dans les daviers, les bistouris et les tronçonneuses !!!
sans vraiment aucune solution satisfaisante
pourtant Améli a eu un doute occlusal sur la Pano,
regardez la forme des tètes condyliennes, en pain de sucre, signe de souffrance
ce cas demande une analyse occlusale approfondie avant d’aller plus loin, photos des modèles d’étude, examen clinique du chemin d’ouverture, etc… et un montage en articulateur ne me semble pas superflu

l’orthodontie et l’éventuelle chirurgie sera au service de l’occlusodontie pour répondre à la demande de la patiente

@+ Bjc.


EloD

25/08/2009 à 17h26

Bjc. écrivait:
--------------

> pourtant Améli a eu un doute occlusal sur la Pano,
>
La pano peut servir a beaucoup de choses...sauf, en autre, pour les éclipses solaires et...l'occlusion.

Ainsi que le faisait très judicieusement remarquer Daniel, se baser sur une pano pour évaluer un rapport dento-dentaire ou maxillo-maxillaire est une erreur de jeunesse.

Mais quand Bjc parle d'occlusion, je pense qu'il veut dire "articulation"...même si la pano n'est pas encore l'investigation de choix pour la connaissance de la bonne ou mauvaise relation mandibulo-temporale.


1 p3qrc4 - Eugenol
Bjc.

25/08/2009 à 17h55

Quand on parle de contacts dentaires, on parle occlusion, pour l’articulation, on parle de relation

il ne s’agit pas d’occlusion à voir sur la pano, il s’agit de déviation
lorsque l’on fait mordre le patient sur une cale pour prendre la Pano, il désoccluse en Post., souvent lorsqu’on a une déviation due à une prématurité, il se recentre sur la cale, mais pas toujours, et lorsqu’il le fait, ce peut être en plus ou en moins, ce n’est qu’un signe d’alerte qui doit nous faire vérifier l’occlusion
sur une Pano, on peut aussi regarder les tètes des condyles, dans ce cas, il me semble qu’un examen complémentaire d’A.T.M. ne serait pas inutile, de m qu’un montage en articulateur

avec juste les éléments fournis, il me parait osé, dans ce cas, de faire un plan de TTT.

@+ Bjc.


Bul

26/08/2009 à 16h24

concrètement, tu ferais quoi bjc?


EloD

27/08/2009 à 14h25

Bjc. écrivait:
--------------

> il ne s’agit pas d’occlusion à voir sur la pano, il s’agit de déviation
> lorsque l’on fait mordre le patient sur une cale pour prendre la Pano, il
> désoccluse en Post., souvent lorsqu’on a une déviation due à une prématurité, il
> se recentre sur la cale, mais pas toujours, et lorsqu’il le fait, ce peut être
> en plus ou en moins, ce n’est qu’un signe d’alerte qui doit nous faire vérifier
> l’occlusion

Oui , laissons l'occlusion dans le domaine de l'examen clinique (voir paraclinique avec la mise en arti). L'observation d'une déviation par cliché pano interposé est anecdotique.


1 eugenol dmj5np - Eugenol
Dancha

28/08/2009 à 18h17

Bjc. écrivait:
--------------
> salut,
>
> ils pataugent dans les daviers, les bistouris et les tronçonneuses !!!
> sans vraiment aucune solution satisfaisante

Sympa, comme entrée en matière. Merci.

> ..
> regardez la forme des tètes condyliennes, en pain de sucre, signe de souffrance
> ..

> ..
> sur une Pano, on peut aussi regarder les tètes des condyles, dans ce cas, il me
> semble qu’un examen complémentaire d’A.T.M. ne serait pas inutile, de m qu’un
> montage en articulateur
>
> avec juste les éléments fournis, il me parait osé, dans ce cas, de faire un
> plan de TTT.
> ..

Pensez-vous vraiment qu’il soit nécessaire de faire tout cela avant de proposer ici un plan de traitement ?
Le problème a été clairement défini par Calou340.
Je lui fais personnellement confiance (principe positif) et suis certain que si son patient avait eu une dysfonction articulaire, il (elle) l’aurait détectée et même traitée avant de nous montrer ses documents. Je suis donc convaincu que les rapports occlusaux montrés sont corrects.
La forme soi-disant «en souffrance » de la tête des condyles ne sort-elle pas tout droit de l’imagination de notre ami bjc ? J’en ai très fortement l’impression.
De plus, un montage en articulateur dans ce cas ne pourrait qu’être erroné et n’apporterait absolument rien avant que le problème articulaire lui-même n'ait été traité.

Enfin, même si nous admettions par simple hypothèse qu’il puisse y avoir un dysfonctionnement articulaire, est-ce que son traitement pourrait modifier d’une manière substantielle les rapports de classe II à droite et supprimer l’hyperdivergence ?

Il n’est donc absolument pas « osé » de faire ici un plan de traitement.

Daniel


1 p3qrc4 - Eugenol
Bjc.

28/08/2009 à 22h53

Cher Bul,


Constriction molaire
décalage du point inter-incisif, les freins semblent également décalés, donc soit on a une branche horizontale plus courte, soit une malposition des tètes condyliennes dans les cavités glenoïdes
l’image de la Pano me ferait pencher pour la 2° hypothèse
il faudrait pour vérifier : une tomo des ATM., les photos des modèles et des arcades afin de d’envisager de traiter le recentrage des points inter-incisifs sans extraction

@+ Bjc.


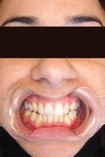
leonardo

29/08/2009 à 02h03

Salut,
Le cas est intéressant.
En l'absence de télé frontale, une photo de face avec les écarteurs aurai été très utile (voir exemple). Je l'ai intégrée au bilan photo pour objectiver la déviation des milieux par rapport a la face.
Je pense que cette patiente peut être traitée de diverses manières:
1- L'option chirurgicale : (OSBM d'avancée avec ou sans Lefort et extraction de la première molaire inférieure restant sur l'arcade) est peut etre le meilleur choix (esthétique et fonctionnel). Techniquement, l'emploi de minivis est requis.
2- On peut aussi prescrire une chirurgie en procédant a une simple extraction de prémolaire.(Mécanique plus simple).
3- On peut encore compenser avec extraction de 3 prémolaires (1 en bas et deux en haut) et en prescrivant une profiloplastie (Genioplastie de réduction verticale et d'avancement avec ou sans plastie nasale).
Je me suis amusé a simuler une genio simple pour voir...
Bonne continuation.



Facesym pk4cv1 - Eugenol
Simulationgenio jgfxr6 - Eugenol

1 eugenol dmj5np - Eugenol
Dancha

29/08/2009 à 14h15

leonardo écrivait:
------------------
> ..
> Techniquement, l'emploi de minivis est requis.
>

Pourrais-tu expliciter la mécanique et où tu les placerais ?

Merci

Daniel

P.S.: Bienvenue au club des "ils pataugent dans les daviers, les bistouris et les tronçonneuses !!! sans vraiment aucune solution satisfaisante" (dixit bjc ) !


Picture1111 zburnd - Eugenol
saidkholoki

29/08/2009 à 18h50

bonjour a tous,
Puisque nous sommes en train d'imaginer et de deviner a partir d'une simple pano des choses que nous ne voyons que cliniquement, comme une deviation fonctionnelle et souffrance articulaire..., je vais alors donner mon point de vue. Selon la radio panoramique je peux confirmer que la deviation des linges medianes est d'origine mandibulaire. Le septum et la ligne mediane sup sont presque alignes. La perte de la 46 a permis une distalisation de toute l'hemi arcade mandibulaire droite ce qui a permis un alignement spontanne et une deviation de la ligne mediane. Ceci est a deviner aussi sur la photo indubuccale ou on peut voir l'inclinisaison du frein, on ne voit pas le frein vraiment et je ne sais pas comment bjc a pu determiner que le frein est aussi decale!!! Bref on peut penser que le sommet du frein est a droite par rapport a sa base. Ceci confirme plutot l'hypothese d'une deviation d'origine alveolodentaire et non pas squelettique. Si on peut avoir des photos des arcades dentaires cela peut confirmer ou non cette idee.
En tous cas les photos des moulages avec les arcades dentaires ne peuvent pas confirmer la presence d'un probleme articulaire comme bjc le suggere. Pour diagnostiquer un probleme articulaire il faut beaucoup plus que cela, en plus d'un examen clinique assez solide.
Mainetnant comme plan de traitement je suggere prendre le cas enmain avec l'ordre suivant:
1- Traiter le probleme articulaire, si il y en a, selon un diagnostique pousse et en utilisant les moyens adaptes a ce diag.
2- Analyser le probleme orthodontique et voir quel est le resultat, dentaire et esthetique, a obtenir avec un traitement ortho seul.
3- Faire une VTO ortho-chirurgicale afin de visualiser les resultats a obtenir avec une option chirurgicale. Il faut fair deux VTO l'une avec genioplastie, l'autre avec une chirurgie des branches montantes. Et enfin discuter avec la patiente, sa famille et le chirurgien pour choisir la meilleure solution a adopter et ensuite commencer le traitement ortho-chirurgical sur des bases bien fondees et bien determinees.
Enfin un conseil, les cas chirurgicaux sont des cas tres complexes et demandent beaucoup d'experience afin de faire le meilleur choix pour le patient, il faut savoir trancher entre l'ideal, le possible et le faisable.
Bonne chance en tous cas
































--
A suivre...
Said


EloD

31/08/2009 à 17h21

saidkholoki écrivait:
---------------------
> pour le patient, il faut
> savoir trancher entre l'ideal, le possible et le faisable.

...oui mais si idéalement il est possible de le faire, je pense qu'il faut faire son possible pour l'idéal.


Picture1111 zburnd - Eugenol
saidkholoki

31/08/2009 à 19h42

Merci EloD c'est tres joliment dit, il reste de le faire.

--
A suivre...
Said


Bul

01/09/2009 à 00h19

bjc pourrait avoir raison ?
tres drole !!!


1 p3qrc4 - Eugenol
Bjc.

02/09/2009 à 21h50

je vais quand mm préciser que (dans ce cas) la tomo sert surtout à voir la forme des tètes condyliennes

@+ Bjc.


Bul

02/09/2009 à 22h38

pourquoi ne pouvez vous pas parler d'un sujet sans vous agresser?