Cookie Consent byPrivacyPolicies.comCas clinique odf - Eugenol

Cas clinique odf

1 eugenol dmj5np - Eugenol
Dancha

02/09/2009 à 23h06

leonardo écrivait:
------------------
> ..l'emploi de minivis est
> requis.

Lorsque je te demandais la mécanique alors envisagée et où tu placerais les minivis, ce n'est pas une critique ni une agression, Leonardo. C'est simplement de l'intérêt car les ancrages osseux font partie des sujets qui me passionnent et dont j'ai moi-même développé l'usage.

Bjc. écrivait:
--------------
> je vais quand mm préciser que (dans ce cas) la tomo sert surtout à voir la
> forme des tètes condyliennes
>
> @+ Bjc.
>

La radio panoramique n'est-elle pas déjà une tomographie ?

Daniel


1 p3qrc4 - Eugenol
Bjc.

02/09/2009 à 23h43

Bjc. écrivait:
--------------
> je vais quand mm préciser que (dans ce cas) la tomo sert surtout à voir la
> forme des tètes condyliennes
>
> @+ Bjc.
>
La radio panoramique n'est-elle pas déjà une tomographie ?

tu vois bul, voici l’exemple typique d’ergotage, de discutaillerie qui ne sert à rien
j’aurais pu répondre :
tu te sers des tomo d’atm pour compter les dents,
ou pire …


ils n’ont pas vu que la Md. est en rotation, 31/41 sont bien centré sur le frein Inf. et ils veulent extraire 36 pour réaligner les Inc. Inf. avec les Sup., et comme cela va raccourcir la Md. et bien on extrait 16/26 avec pour conséquence un effondrement du profil ; pas de Pb. on rectifient le profil avec de la chirurgie ; (la pauvre)
ils sont agressifs parce qu’ils sont passé à coté du Pb. occlusal,de la rotation de la Md.,de la souffrance articulaire de l'A.T.M.(forme des tètes condyliennes)


@+ Bjc.


Image odged8 - Eugenol
ploc

03/09/2009 à 00h38

Dancha écrivait:
>
> La radio panoramique n'est-elle pas déjà une tomographie ?


"le type d'incidence radiologique d'une panoramique dentaire est affiné dans un deuxième temps par des clichés plus ciblés donc donnant lieu à moins d'incertitude.
comme par exemple
la tomographie (racine grecque tomê, coupe, et ainsi représentation en coupes) qui est une technique consistant à reconstruire le volume d'un objet ( à partir d'une série de mesures déportées à l'extérieur de l'objet. "



Modérateur

03/09/2009 à 01h19

Et tout le monde va se concentrer sur sa propre argumentation et comment la bétonner... Ce qui ne va pas etre si facile vu l'epaisseur du dossier.


1 p3qrc4 - Eugenol
Bjc.

03/09/2009 à 18h07

je dirai plutôt que sans éléments supplémentaires, ça ne va être si facile vu la minceur du dossier
;-))

@+ Bjc.


Phil Amant

04/09/2009 à 18h27

Panoramique = cliché orthopantomographique (OTP) = tomographie.
Donne une « une excellente image de l’ATM » (Château).

Phil.


1 eugenol dmj5np - Eugenol
Dancha

05/09/2009 à 10h37

Il semble effectivement que ploc confonde la tomographie simple et le scanner qui est une série de tomographies parallèles très rapprochées permettant secondairement une reconstruction volumique.

Daniel


1 eugenol dmj5np - Eugenol
Dancha

05/09/2009 à 14h01

EloD écrivait:
--------------
>
> Ah j'ai hâte d'avoir l'avis de Bjc,

Tu l’as maintenant. Merci pour Calou340 qui est certainement heureux d’avoir enfin pu obtenir grâce à lui un plan de traitement clair et cohérent.

Daniel


bjc

10/09/2009 à 02h50

un plan de traitement peut etre clair, cohérent et

aventureux....

je garde l aventure pour mes vacances
@+ Bjc.






1 eugenol dmj5np - Eugenol
Dancha

15/09/2009 à 18h54

bjc écrivait:
-------------
> un plan de traitement peut être clair, cohérent et
>
> aventureux....
>
> je garde l’aventure pour mes vacances
> @+ Bjc.
>

Tu as raison bjc, pas de plan de traitement du tout, c’est sûrement mieux.

Calou34, que feras-tu finalement quand tu auras le fameux scanner préconisé par bjc ? Penses-tu vraiment qu’il t’apportera des informations suffisantes pour modifier ton approche thérapeutique globale ?

Daniel

P. S. : Avant de discuter d’un autre cas, je pense qu’il serait intéressant de terminer la discussion de celui-ci.


bjc

16/09/2009 à 02h33

je prefere dans ce cas, qui est a mon avis un cas limite donc difficile,
je prefere avoir plus de renseignements, qui peuvent aussi etre utiles a calou340

-Montage en articulateur
-Tomo des ATM.
sinon je prefere m'abstenir
désolé Daniel

@+ Bjc>


Picture1111 zburnd - Eugenol
saidkholoki

16/09/2009 à 05h31

bjc écrivait:
-------------
> je prefere dans ce cas, qui est a mon avis un cas limite donc difficile,
> je prefere avoir plus de renseignements, qui peuvent aussi etre utiles a
> calou340
>
> -Montage en articulateur
> -Tomo des ATM.
> sinon je prefere m'abstenir
> désolé Daniel
>
> @+ Bjc>
>
Penses-tu vraiment qu'un montage sur articulateur avec le verrouillage qu'elle a donnera de resultat fiable? Est-il preferable dans ce cas de deverouiller d'abord ou faire porter une gouttiere de relachement avant de faire le montage?
Il est claire que le plan de traitement dependra de la situation articulaire, mais jusqu'au moment nous n'avons pas eu la reponse à la question articulaire: y a-t-il à l'examen clinique des signes de troubles articulaires (claquements, douleurs, limitation de mouvements mandibulaires, deviation de chemin d'ouverture, testes posturaux perturbés,...etc)????

--
A suivre...
Said


1 eugenol dmj5np - Eugenol
Dancha

16/09/2009 à 14h31

saidkholoki écrivait:
---------------------
> ...
> Penses-tu vraiment qu'un montage sur articulateur avec le verrouillage qu'elle a donnera de résultat fiable? Est-il préférable dans ce cas de déverrouiller
> d'abord ou faire porter une gouttière de relâchement avant de faire le montage?
> ..
> a-t-il à l'examen clinique des signes de troubles articulaires (claquements, douleurs, limitation de mouvements mandibulaires, déviation de chemin
> d'ouverture, testes posturaux perturbés etc.) ????
> ..

Saïd a parfaitement raison. C'est une question de bon sens.
Un montage en articulateur exploitable nécessite que le soi-disant problème articulaire soit d'abord résolu. Je dis "soi-disant" parce que ce n’est qu’une affirmation gratuite de bjc.

Daniel


1 p3qrc4 - Eugenol
Bjc.

16/09/2009 à 15h05

La pano montre des tetes condyliennes usées, une tomo des ATM. nous donnera plus de renseignements

Le montage en articulateur (avec JIG. de Lucia) nous permettra de voir l'ampleur de la déviation on OC.

un examen clinique du chemin d'ouverture fermeture ne serait pas superflu

etc...

il ne faut pas mettre la charrue avant les b...

notre ami calou340 ne semble pas disposé a approfondir son examen clinique, c'est son droit
la discussion devient stérile et perd son interet

Bjc.


Grueavatar nptrc9 - Eugenol
Le Choixpeau magique

16/09/2009 à 15h25

Mettons qu'il y ait des atm toutes massacrées avec moultes claquements, qu'est-ce que ça va changer à votre plan de traitement ? Qu'appelez vous "résoudre le problème articulaire" ?


1 eugenol dmj5np - Eugenol
Dancha

16/09/2009 à 18h10

Bjc. écrivait:
--------------
> La pano montre des tetes condyliennes usées, une tomo des ATM. nous donnera plus
> de renseignements
>

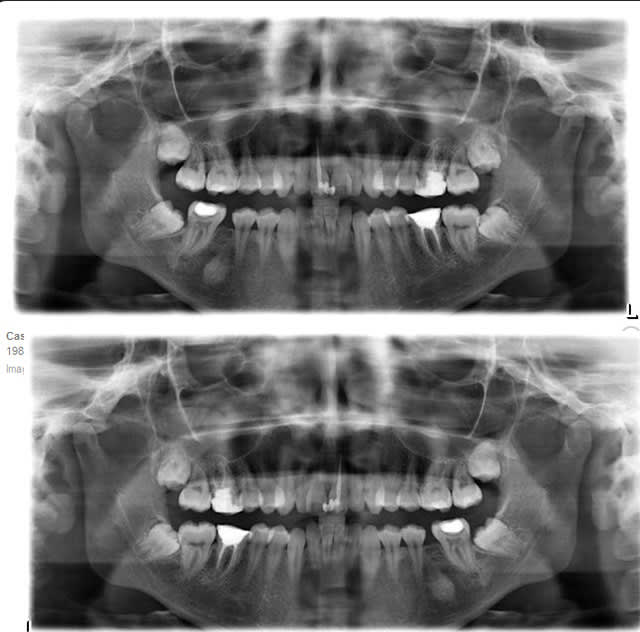
Personnellement je ne vois aucun signe particulier d’usure, les têtes condyliennes m’apparaissent tout à fait normales
Je me suis amusé d’autre part à retourner la panoramique pour comparer les deux coté et objectiver une éventuelle différence de morphologie des deux condyles (image ci-dessous). Il n’y en a quasiment pas.

Phil l’a bien dit : panoramique = tomo.
Ploc et bjc confondent tomo et scanner.
Je ne me vois pas, moi, demander un scanner pour ça. Je pense que le radiologue rigolerait !

Le Choixpeau magique écrivait:
------------------------------
> Mettons qu'il y ait des atm toutes massacrées avec moultes claquements,
> qu'est-ce que ça va changer à votre plan de traitement ? Qu'appelez vous
> "résoudre le problème articulaire" ?

Excellentes questions.
Pour ma part à la première je répondrai : rien.
A la seconde, « résoudre le problème articulaire » consiste pour moi à retrouver une position de référence mandibulaire avec un disque en place.

Mais faut-il encore qu’il y ait effectivement un problème articulaire et c’est l’examen clinique qui l’objective.

Calou340 ?

Daniel

Pano calou ewx8a4 - Eugenol

1 p3qrc4 - Eugenol
Bjc.

16/09/2009 à 22h37

"Je me suis amusé d’autre part à retourner la panoramique pour comparer les deux coté et objectiver une éventuelle différence de morphologie des deux condyles (image ci-dessous). Il n’y en a quasiment pas."

je connais un tres bon opticien ;-))


1 p3qrc4 - Eugenol
Bjc.

16/09/2009 à 22h48

ce cas n'ayant pas été traité, l'étude des documents fournis, et les renseignements qu'ils nous donnent seront plus interessants que des plans de traitement photoshop, d'autant plus merveilleux selon la maitrise du programme, mais qui restent des montages ou tout le monde aura raison

je prefere un travail concret, et pour cela il serait interessant d'avoir des renseignements complementaires

comme je suis le seul a soupconner des Pbs. occlusaux et a demander Tomo des ATM. et montage en articulateur en bonne vieille R.C., il se peut que j'ai tord

Mais... ... si ce cas est traité, d'une manière ou d'une autre, en cas d'eventuelle insatisfaction du patient, le praticien devra faire la preuve d'une étude serieuse et complete de son cas

@+ Bjc.


1 p3qrc4 - Eugenol
Bjc.

16/09/2009 à 23h18

"Qu'appelez vous "résoudre le problème articulaire" ?"

on en est pas là, calou340 n'a pas répondu sur l'examen clinique ...

le montage en R.C. permettra de voir si le décalage d'une incisive existe encore en axe charnière
pour l'instant, faute d'élements, on (je) ne peux aller plus loin

désolé

@+ Bjc.