Cookie Consent byPrivacyPolicies.comfracture ou pas? - Eugenol

fracture ou pas?

Hinano4 el1z8n - Eugenol
tahiti1

19/08/2009 à 01h31

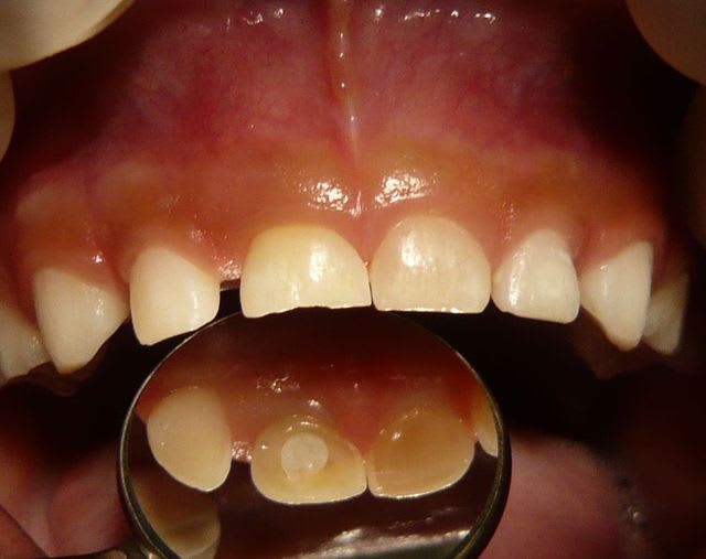
Voici un cas clinique de pédodontie:
Enfant de 4 ans et 7 mois.
Découverte fortuite lors du brossage par ses parents. Pas de douleurs signalées par l'enfant. Pas de souvenir de traumatisme pas de témoins mais l'enfant est un peu "cascadeur". Enfant en bonne santé générale.

Sur la radio, on observe une image de résorption latérale.

Pas de douleurs à la palpation ou au contact dentaire de la 51. Mobilité peut être un peu supérieure à la mobilité physiologique entre le pouce et l'index mais difficile a évaluer.
Dent mise dans la première séance en sous occlusion (pas de sensibilité au fraisage) et antibiothérapie.

Quel est votre diagnostic? Quel traitement mettriez vous en place? quel est votre pronostic?

P1060165m ncldax - Eugenol
P1060167m wuoiw5 - Eugenol
P1060169m epcsh4 - Eugenol
P1060168m bqsclu - Eugenol

Kon nx3ojp - Eugenol
Kon

19/08/2009 à 09h30

exo + surveillance


S2y2o1v7q53ws4r5wy6ou8czrpom - Eugenol
pxav

19/08/2009 à 10h53

Kon écrivait:
-------------
> exo + surveillance

endo+ eugénate+surveillance en attendant l'exo
pas d'AB
par contre, il faut que le "petit" soit cool, sinon exo!
--
xbk


Calvin and hobbes lr0gvh - Eugenol
larome

19/08/2009 à 11h07

pxav écrivait:
--------------
> Kon écrivait:
> -------------
> > exo + surveillance
>
> endo+ eugénate+surveillance en attendant l'exo
> pas d'AB
> par contre, il faut que le "petit" soit cool, sinon exo!
> --
> xbk

+1 mais amox
--
La Rome


belette

19/08/2009 à 15h54


Comme pvax, SANS antibio.


^ ... ^
Ô"""Ô
= o =


Image odged8 - Eugenol
ploc

19/08/2009 à 16h39

exo rapide
il semble qu'il y ait resorption externe dûe à un choc?(bizarre sur une temporaire)
et surveillance radio à 3 mois,6 mois:voir si 11 descend et ds le bon axe(sur ta radio elle semble se distaler)


19066 1223810679128 1344811835 30546764 2261510 n medium ozxaxj - Eugenol
vitalic

19/08/2009 à 16h59

dac avec ploc.
bien traiter cette dent sur un gamin, c'est un vrai défis, le risque infectieux suite à un traitement imparfait est trop important.
exo


Image odged8 - Eugenol
ploc

19/08/2009 à 19h45

mais t'inquiètes,il y aura d'autres occasions
y a des fois ou on se fait plaisir en pedo
jade 3ans

61 ag60ct - Eugenol

Hinano4 el1z8n - Eugenol
tahiti1

19/08/2009 à 21h47

Merci pour vos avis...
Pour être franc dans la présentation, il s'agit de mon fils donc vous comprendrez que je pèse un peu le pour et le contre d'une exo même si je suis assez réaliste sur le pronostic assez sombre...

Pensez vous qu'il puisse s'agir d'une résorption interne? (vu la forme lacunaire dont le centre est proche de l'axe pulpaire)
Je vais tenter le traitement avec surveillance... et croiser les doigts!


Image odged8 - Eugenol
ploc

19/08/2009 à 23h27

à mon avis c'est une resorption externe inflammatoire


conserver ( et je suis sceptique sur la reussite de l'endo pas parce que c'est toi ,parceque la resorption) peut entrainer ue eruption ectopique, ou une inclusion de la dent permanente
qu'est ce qui t'embete ds l'exo surtout à 4 ans 1/2?

cas de sophie 8 ans au 1er RV
à l'interrogatoire il semble qu'il y ait eu chute vers 3 ans
la dent est restée assymptomatique
personne ne s'est inquiété de la difference de taille entre 11 et 61...
ça descend...lentement

Sophie 2 eq8s4m - Eugenol
Sophie 8 ans  oct2008 pps4dm - Eugenol
Fevrier 2009 lymoze - Eugenol
Aout 2009 qiufn4 - Eugenol

Hinano4 el1z8n - Eugenol
tahiti1

20/08/2009 à 00h12

Merci Ploc,
Ce qui m'ennuie c'est l'exo tout simplement
... pas facile quand c'est son enfant de sortir le davier! Et j'ai beau lui expliquer... J'habite trop loin Ploc sinon je te l'envoie mon fiston! (il est cool en plus)

Même si je l'ai déja vécu pour mes petits patients (fractures ou chocs divers et variés dès l'apprentissage de la marche c'est assez fréquent!) ca n'est jamais facile de sortir le davier en se disant je ne peux rien faire d'autre.

En sachant que la surveillance sera importante et que de toute façon il est hors de question de laisser un phénomène de résorption inflammatoire s'installer à cet endroit avec les risques que tu évoques (inclusion ou sortie ectopique...)

c'est un peu du "sans filet" je te l'accorde dès que je vais ouvrir la dent....


S2y2o1v7q53ws4r5wy6ou8czrpom - Eugenol
pxav

20/08/2009 à 13h54

tahiti1 écrivait:
-----------------

>
> c'est un peu du "sans filet" je te l'accorde dès que je vais ouvrir la dent....


le gros souci c'est que tu ne raisonne pas "patient" mais fiston!
soigne, tu auras toujours le temps pour extraire et si ça marche le patient serra content de perdre sa dent en même temps que ses potes.
--
xbk


Hinano4 el1z8n - Eugenol
tahiti1

18/12/2009 à 03h45

Je réactive ce message avec mon patient vu à 4 mois de la consultation précédente du mois d'aout:
J'avais fait deux séances d'hydroxyde de calcium en août et j'ai obturé sans pression avec un IRM. Il y avait une communication endo-parodontale juste sous le collet en vestibulo distal au départ) visualisée en soufflant légèrement avec la seringue à air.
Il va avoir 5 ans dans quelques jours.

Voici le résultat en image à 4 mois exactement. Aucune douleur, pas de mobilité dentaire.

Vu que je ne suis pas très objectif sur ce cas clinique (c'est mon fils) et que pour l'instant tout va bien pour lui et que je n'ai pu me résoudre à extraire rapidement la dent (pour l'instant...) comme le conseillait ploc...

Merci de me donner votre avis avec peut être plus d'objectivité... Dois je réintervenir rapidement sur la dent? L'obturation semble étanche.

P1060669 evw5br - Eugenol
P1060670 gxv9ud - Eugenol

Bidule31

18/12/2009 à 12h13

personnellement, je suis pour la conservation, stt si asympto..et que tu es sûr de voir le patient réguilèrement et de pouvoir controler la situation ;-)
Je ne vois pas l'intéret de faire l'exo, au pire y'aura retour au point de départ: fracture partie coronaire peut etre. Mais en tt cas tu lui fais gagner du temps
Quant à la position ectopique de la 11 à l'éruption, qu'est ce qui nous dit que ton fiston n'aura pas de tt façon besoin d'un ttt ortho, Et en plus tu as moyen de controler tt ça très svt.
Je ne vois pas ce que tu as à perdre à rester conservateur.


Image odged8 - Eugenol
ploc

18/12/2009 à 20h50

je n'aurais sans doute pas conservé mais bravo!puisque la dent reste assymptomatique
tu n'as plus qu'à surveiller et faire juste attention que la rhizalyse sur cette dent se fasse comme sur l'autre
mais tu es bien placé pr le faire et ce n'est pas à toi que je vais donner des conseils pedo:)

NB: la bagarre hospitalière continue:aurais je ou pas ce service de pedo? à suivre...


guimauve

22/12/2009 à 18h19

bonjour,
c'est clair je n'aurais pas gardé cette dent chez un de mes patients,
pour qu'il revienne en urgence, avec plainte de complications sur la dent définitive, qu'il gardera toute sa vie...
assainir le site, pas d'inflammation, pas d'infection
de la tranquilité
et puis si c'était un de mes enfants, limiter le nombre de mes séances de soins aurait été une de mes priorités
mais c'est vrai que les siens ont les a toujours sous la main et qu'on peut intervenir à tout moment!!!
s'ils sont coopératifs, évidemment
sinon, à 6 mois on a certes une guérison clinique, mais radiologiquement on a plutôt le contraire d'une amélioration.
contrôle radio dans 3 mois, si ça continue à évoluer, extraction, à 5 ans et demi socialement acceptable.
cordialement


Hinano4 el1z8n - Eugenol
tahiti1

22/12/2009 à 22h24

On verra l'évolution clinique car on ne peut être sûr de rien à ce niveau. Merci de vos commentaires et je vous donnerai les détails. Dans un autre cas j'aurais certainement extrait cette dent moi aussi.

Pour l'aggravation au niveau radiologique je n'en suis pas sûr mais il est vrai que l'aspect plus dense de l'hydroxyde de calcium que j'avais posé à complètement disparu pour laisser place à une vacuité radiologiquement visible qui ne me convient pas trop mais bon...

Avoir une obturation parfaitement étanche jusqu'au 2/3 de la racine me semble très compliqué à obtenir avec en plus une communication endo-paro latérale 3mm sous le collet.

Pour moi à cet âge, c'est le silence clinique qui prime sur le reste et je n'aurai pas les parents sur le dos... ;-)


jazz

12/01/2010 à 20h48

Bonsoir à toutes et à tous
Personnellement je n'aurai rien fait du tout car je ne suis pas persuadé du tout du bienfait d'un traitement endo dans ce cas là.
Ce qui importe en l'absence de signes cliniques,ce qui est et était semble -t-il le cas,c'est l'aspect radiologique de la structure osseuse en regard de la dent définitive sous jacente. En l'absence de foyer infectieux je conserve.
En présence de foyer infectieux, j'extrais.
Je ne prends aucun risque pour le futur.