Cookie Consent byPrivacyPolicies.comPrise de teinte/ prise de tete - Eugenol
200106 10150128247663588 709988587 6466236 5598391 n d7mksb - Eugenol
hallboy

19/08/2009 à 15h11

je suis rarement satisfait des teintes que je prends moi-mm et pas toujours de celle que prend mon proth.

Ya des stages? des bouquins? des teintiers speciaux? des trucs?


Image odged8 - Eugenol
ploc

19/08/2009 à 15h40

hallboy écrivait:
-----------------
> je suis rarement satisfait des teintes que je prends moi-mm et pas toujours de
> celle que prend mon proth.
>
> Ya des stages?
accademie du sourire

des bouquins?
"le guide esthetique" quintessence
"le relevé de couleur" inf dent 2005
"Determination and communication of color using the five color dimensions of teeth" Vanini


des teintiers speciaux?
teintier 3D master(incontournable) vita
easy shade vita
shade vision(plus cher,plus compliqué) Xrite


des trucs?
-l'environnement qui doit être neutre(gris,blouses comprises)
-patient face à la lumière
-la source de lumière ambiante qui doit être de 5500°K(plafonnier Gamain par ex)
-ne plus penser teinte mais :
-luminosité
-saturation
-comparer dent et teintier par tranche de 10 sec(trop longtemps est une source d'erreur, l'oeil fatigue)
-photo numerique(bonne.....après avoir essayé des appareils soi-disant simples pr blondes,comme tous j'ai investi ds boitier + objectif macro + flash annulaire,et..y a photo:) avec ecarteurs (mettre la dent du teintier face à la dent reference) envoyée au protho


200106 10150128247663588 709988587 6466236 5598391 n d7mksb - Eugenol
hallboy

19/08/2009 à 15h43

;) t'envisage pas de pas m'obliger a bosser??? ;)


200106 10150128247663588 709988587 6466236 5598391 n d7mksb - Eugenol
hallboy

19/08/2009 à 15h44

le truc de 2005, c'est un Numero de l'info dentaire??


Canard fkryf7 - Eugenol
Agachon

19/08/2009 à 16h15

Il y a quelques années, j'avais été à une conférence de Touati sur les teintes avec mon protho. Très instructif.


200106 10150128247663588 709988587 6466236 5598391 n d7mksb - Eugenol
hallboy

19/08/2009 à 16h17

bon, ya ça deja:

http://www.sop.asso.fr/CRJ/index.php?idcrj=13&page_num=5

et qq articles de l'ID à telecharger sur leur site.


Image odged8 - Eugenol
ploc

19/08/2009 à 16h22

hallboy écrivait:
-----------------
> ;) t'envisage pas de pas m'obliger a bosser??? ;)

regardes tout ce que tu as changé depuis 2006:alors heureux?:)
oui c'est l'info dentaire 2005
et agachon a raison:j'avais oublié : emmener ton protho en stage
instructif pr les 2 parties


S8ysxdzhdqgw00w4q6m07a5d47q2 - Eugenol
gai-luron

19/08/2009 à 18h21

hallboy écrivait:
-----------------
> je suis rarement satisfait des teintes que je prends moi-mm et pas toujours de
> celle que prend mon proth.
>
> Ya des stages? des bouquins? des teintiers speciaux? des trucs?


Dis voir, toi, on n'a pas assisté ensemble à une conf sur le sujet, l'année dernière ??? ;)
avec démo, même...


200106 10150128247663588 709988587 6466236 5598391 n d7mksb - Eugenol
hallboy

19/08/2009 à 18h44

non mon pote...!!

mais tu vas pouvoir me faire un resumé;))


Bon le teintier vita 3D de l'espace: bien ? tres bien? 80 euros de foutus en l'air?


Image odged8 - Eugenol
ploc

19/08/2009 à 19h12

hallboy écrivait:
>
> Bon le teintier vita 3D de l'espace: bien ? tres bien? 80 euros de foutus en> l'air?

toi aussi tu ne lis pas le texte en entier comme marc?
INCONTOURNABLE ai je marqué:)

tiens j'ai un nouvel avatar pr toi:(mais non il n'a pas l'air benêt...:)

Hallboy j02fwj - Eugenol

200106 10150128247663588 709988587 6466236 5598391 n d7mksb - Eugenol
hallboy

19/08/2009 à 20h00

C'est vrai qu ya qq chose..... Et pourtant j'ai pas les oreilles de cette couleur;)


Logo vuaztn - Eugenol
mac

19/08/2009 à 20h35

hallboy écrivait:
-----------------
> je suis rarement satisfait des teintes que je prends moi-mm et pas toujours de
> celle que prend mon proth.
>
> Ya des stages? des bouquins? des teintiers speciaux? des trucs?


une photo avec teinte référence et un bon protho.


Smile beach jgh0a1 - Eugenol
Céramik

19/08/2009 à 20h40

hallboy écrivait:
-----------------
> je suis rarement satisfait des teintes que je prends moi-mm et pas toujours de
> celle que prend mon proth.
>
> Ya des stages? des bouquins? des teintiers speciaux? des trucs?


Une visite chez l'ophtalmologiste :
t'es daltonien peut-être...
;-)


--
Céramik


Grumpy cat ifik8s - Eugenol
radich_a_tord

20/08/2009 à 02h42

Ploc a tout dit
En plus, un petit "truc" pour voir la luminosité (le paramètre essentiel dans la couleur d'une dent) c'est de faire une photo noir et blanc

Luminosité>saturation>teinte, dans l'ordre.
Ensuite translucidité, opalescence, fluorescence etat de surface.

Un peu de biblio :

Chu, S., Devigus A., Mieleszko, A. Fundamentals of color : shade matching and communication in esthetic dentistry. s.l. : Quintessence Publishing, 2004

Lasserre, J.-F., Pop, I.S., D'Incau, E. La couleur en odontologie : 1ère partie : Déterminations Visuelles et instrumentales. Cah Prothèse. Septembre 2006, 135, pp. 25-39.

(Ainsi que la 2eme partie, je n'ai plus les ref. Cahiers de prothèse aussi)

Touati, B., Miara, P., Nathanson, D. Dentisterie esthétique et restaurations en céramique. [éd.] CDP. 1999.

Paris, JC., Faucher, A. Le guide esthétique : comment réussir le sourire de vos patients. s.l. : Quintessence International, 2003.

Zyman, P. Le choix de la teinte…vers un protocole rationnel. Réalités Cliniques. 2003, Vol. 14, 4, pp. 379-392.

Lasserre, JF. Les sept dimensions de la couleur des dents naturelles. Clinic. Juillet 2007, Vol. 28, 7. Cahier 1.

Zyman, P., Etienne, J.M. Recording and communicating shade with digital photography: concepts and considerations. Pract Proced Aesthet Dent. Janvier-Février 2002, Vol. 14, 1, pp. 49,51,53,55,57.

Launois C., Marechal H., De March P. La détermination de la couleur et sa communication au laboratoire. Clinic. 2007, Vol. 28, 7.

Smit, R., Wagenaar, R. Prise de teinte : éviter toute erreur humaine. Tech dent. 2004, 217, pp. 19-27.


Grueavatar nptrc9 - Eugenol
Le Choixpeau magique

20/08/2009 à 18h21

ploc écrivait:
--------------
> des teintiers speciaux?
> teintier 3D master(incontournable) vita

Et quand le protho ne bosse pas avec les teintes VITA, il fait comment ?
Faire des "équivalences" vita classic, c'est ne pas avoir compris le principe du 3D Master.


Amibien

20/08/2009 à 18h38

hallboy écrivait:
-----------------
> je suis rarement satisfait des teintes que je prends moi-mm et pas toujours de
> celle que prend mon proth.
>
> Ya des stages? des bouquins? des teintiers speciaux? des trucs?


tape-toi 1,4,5 en haut à gauche en pensant bien fort à ce que tu vis comme drame et avale un bon coup !
p.s. change de prothésiste...


200106 10150128247663588 709988587 6466236 5598391 n d7mksb - Eugenol
hallboy

20/08/2009 à 18h52

Je suis rarement satisfait de mon accompagnement de Camaron/
Je vais me taper 145 et changer de guitare...




tu crois que parce qu'eventuellement je retrouverai une viscosité musculaire de bon aloi, je vais soudain reussir mes prises de teinte ? ou sans que mes choix ne changent, en etre soudain satisfait? Ou juste que musculairement je vais m'en battre les noix??

C'est une question tres serieuse Patrick. et on peut remplacer prise de teinte par tout ce que tu veux.


Amibien

20/08/2009 à 20h14

Le fait de te purger de ce stress de ne pas être satisfait de ton travail eu égard au regard que le patient pourrait porter sur lui suite à la pose d'une couronne dont la teinte laisserait à désirer te permettrait peut-être de récupérer l'énergie mentale suffisante pour voir clair ?


200106 10150128247663588 709988587 6466236 5598391 n d7mksb - Eugenol
hallboy

21/08/2009 à 03h03

tu confond se purger d'un stress ( ça c'est psy ), se purger des consequences d'un stress ( ça, ça peut peut-etre eventuellement ne mm pas te concerner), se purger des consequences musculaires d'un stress ( ce qui est bcp, bcp plus circonscrit )

Cela fait trois choses bien differentes. En supposant que le 3° soit effectif - ça va simplifier le raisonnement- mm les behaviouristes font la difference .

C'est entre autre cette confusion assénée comme parole d'evangile à une marée d'heretiques qui donne à toute cette histoire ce coté gang d'illuminés.

Et pourtant je ne crois pas qu'une seule fois Daniel n'ai entretenu ce genre d'interpretation...

Mais bon... je sais pas... C'est surement moi qui fait du mauvais esprit...

Vois avec Daniel..


200106 10150128247663588 709988587 6466236 5598391 n d7mksb - Eugenol
hallboy

21/08/2009 à 03h04

Amibien écrivait:
-----------------
> Le fait de te purger de ce stress de ne pas être satisfait de ton travail eu
> égard au regard que le patient pourrait porter sur lui suite à la pose d'une
> couronne dont la teinte laisserait à désirer te permettrait peut-être de
> récupérer l'énergie mentale suffisante pour voir clair ?

et ça n'a rien a voir avec le patient;)


Image odged8 - Eugenol
ploc

21/08/2009 à 15h17

Le Choixpeau magique écrivait:
>
> Et quand le protho ne bosse pas avec les teintes VITA, il fait comment ?

lui demander d'avoir le teintier(80 euro n'est pas le bout du monde)
ttes les poudres utilisées ensuite par ton protho ont des equivalences entre elles que ton protho est- censé connaitre

>


Grueavatar nptrc9 - Eugenol
Le Choixpeau magique

21/08/2009 à 15h26

ploc écrivait:
--------------
> ttes les poudres utilisées ensuite par ton protho ont des equivalences entre
> elles que ton protho est- censé connaitre

C'est tout le contraire de ce que dit Vita, les nouvelles teintes ne peuvent pas être obtenues de façon triviale par mélange des anciennes.
Les fabricants des autres céramiques ne fournissent pas de tables d'équivalence et vita non plus.
Les "équivalences" que le protho est "censé connaître" relèvent de la bidouille.


Image odged8 - Eugenol
ploc

21/08/2009 à 17h51

TU AS RAISON,choip,(ça merite des majuscules:)
j'ai verifié auprès du protho
comme c'est la gueguerre entre vita,ivoclar,shofu etc,ils n'ont surtout pas fait de tableau de concordance

le protho bidouille donc... mais pas si mal


pr les mauvais esprits il ne s'agit pas de 16 dt je decline tte responsabilité

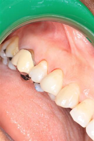
Img 0103  small  nzuevu - Eugenol

Grueavatar nptrc9 - Eugenol
Le Choixpeau magique

21/08/2009 à 21h11

ploc écrivait:
--------------
> TU AS RAISON,choip,(ça merite des majuscules:)
> j'ai verifié auprès du protho
> comme c'est la gueguerre entre vita,ivoclar,shofu etc,ils n'ont surtout pas fait
> de tableau de concordance

En fait, comme j'ai les même problèmes que Hallboy, j'ai pas mal lu sur le sujet, maintenant je suis toujours aussi mauvais, mais je sais expliquer ma nullité ;)

Le but de vita en créant le 3D master était d'une part d'avoir des teintes mieux réparties par rapport à la nature (certaines teintes du teintier classique n'existent même pas à l'état naturel), et d'autre part de pouvoir séparer les différents paramètres luminosité, teinte, saturation.
Il n'y a effectivement pas de tableaux de correspondance pour des problèmes de concurrence, mais aussi parce que ça serait compliqué à faire. Ca voudrait dire par exemple que vita devrait donner les mélanges des poudres des concurrents, on peut comprendre qu'il n'aient pas envie de faire le boulot à leur place (et de prendre la responsabilité). Ils espéraient sans doute que les concurrents allaient suivre comme ils l'ont fait pour le premier teintier. C'était sans compter sur la paresse des praticiens, il faut un véritable apprentissage pour bien utiliser le 3D, et sans doute aussi sur la complexité d'un teintier pourtant censé faciliter les choses.
Dix ans après l'introduction, ils lancent le linear guide 3D master qui cherche à rendre le truc plus simple avec un teintier linéaire séparé pour l'étape pas facile du choix de la luminosité (avec une saturation de 2 qui rend les choses plus faciles). C'est une bonne initiative même si c'est peut être un peu trop tard.

Pour la bidouille, les bons prothos savent effectivement s'en sortir, mais je sais que si je demande au mien par exemple du 3M2.5 (qui n'existe pas sur le teintier, mais qui est une teinte 3D master valide facilement reproductible justement avec les poudres vita), il est un peu perdu...

> pr les mauvais esprits il ne s'agit pas de 16 dt je decline tte responsabilité

C'est une ccc imitation teinte métal ?


Prothesiste dentaire 58

31/08/2009 à 23h47

Paco de Lucia dans un forum de prothèse: c'est comme ci Descates était nommé dans un forum de Philosophie!
Cette question est je l'espère le thème de ma thème pour ma prochaine formation!


12