Cookie Consent byPrivacyPolicies.comPrise de teinte/ prise de tete - Eugenol
totolehero

02/09/2009 à 16h43

Laboratoire vend teintier numérique SHADE PILOT Degudent. Etat neuf, dans sa mallette avec logiciel et licence. SAV Dentsply.
Voilà plus de prise de tête avec les teintes.
Détails en mp.


Fresh watermelon 640x562 udulqz - Eugenol
gulguch

02/09/2009 à 20h27

Prothesiste dentaire 58 écrivait:
---------------------------------
> Paco de Lucia dans un forum de prothèse: c'est comme ci Descates était nommé
> dans un forum de Philosophie!

Qui c'est ce Descates? il joue dans quelle équipe?

Choixpeau: "Les fabricants des autres céramiques ne fournissent pas de tables d'équivalence et vita non plus."

Encore faudrait il être sur qu'ils sous entendent une équivalence: parce que tu prends le teintier Noritake, qui utilise la mème nomenclature que le Vita, tu compares.. et certaines teintes n'ont absolument rien à voir.



Grueavatar nptrc9 - Eugenol
Le Choixpeau magique

02/09/2009 à 23h45

gulguch écrivait:
-----------------
> Encore faudrait il être sur qu'ils sous entendent une équivalence: parce que tu
> prends le teintier Noritake, qui utilise la mème nomenclature que le Vita, tu
> compares.. et certaines teintes n'ont absolument rien à voir.


Je suppose que tu parles des teintes classiques... certains disent que les teintiers vita ne sont pas constants d'un teintier à l'autre.
Pour le 3D Master, à ma connaissance aucun autre fabricant n'utilise cette nomenclature.


3f3boxni50k58rq7e9ce9ddqrxgk - Eugenol
dentiste57

03/09/2009 à 11h07

pour le teintier il faut demander à ton prothésiste de t'en donner un tout neuf et le changer régulièrement.

dans tous les cas, la teinte doit être prise sous le plafonnier et donc patient couché et non pas assis.
(enfin c'est mon avis, pour vous je ne sais pas)

de toute façon quand c'est trop dure j'envoie le patient chez le prothésiste, j'adore le boulot qu'il me fait..




ps: c'est la 12

Prise de teinte iwxlny - Eugenol

Logo vuaztn - Eugenol
mac

03/09/2009 à 11h28

une photo avec 2 teintes de références, comme ça :

Priseteinte ke8bnf - Eugenol

Logo vuaztn - Eugenol
mac

03/09/2009 à 16h22

dentiste57 écrivait:
--------------------

>
> ps: c'est la 12


et 13 et 14?


003 penrd2 - Eugenol
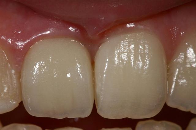
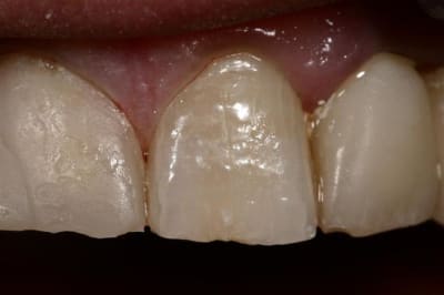
Cingulum

03/09/2009 à 17h08

Pareil pour les teintes un peu critique, photo en macro, avec référence de teinte


--
Dr Cingulum
-----Ancien interné----
----Attaché à l'apex----

Img 7431  large  bhjpex - Eugenol
Img 7310  large  bme4gh - Eugenol
Provisoire  custom  hrglka - Eugenol
Img 6789  large  nyjpuw - Eugenol
Img 6735  large  z9k8ce - Eugenol
Img 7597  large  cu7kg9 - Eugenol
Img 7529  large  jxlmc6 - Eugenol

3f3boxni50k58rq7e9ce9ddqrxgk - Eugenol
dentiste57

03/09/2009 à 21h20

mac écrivait:

> et 13 et 14?

j'avoue que j'ai du faire des recherches, parce que je n'arrivais plus à m'en souvenir...




13-14-15 bridge


Logo vuaztn - Eugenol
mac

03/09/2009 à 21h54

c'est bien ce qu'il me semblait.

joli.


Grueavatar nptrc9 - Eugenol
Le Choixpeau magique

04/09/2009 à 00h35

Cingulum, tu fais comment pour que ton flash n'écrase pas les teintes ? Sous-ex de la cellule d'expo de l'appareil ? Baisse de puissance d'un ou deux flashs ? Autre astuce ?


003 penrd2 - Eugenol
Cingulum

04/09/2009 à 00h40

j'ai ça http://www.molnarfoto.hu/images/mt-24ex.jpg sur un reflex
et un peu d'habitude de mon matos...
--
Dr Cingulum
-----Ancien interné----
----Attaché à l'apex----


sow

04/09/2009 à 14h36

Oui, vraiment le résultat est super. Un grand merci à la photos.

Bon, moi je commance tt juste et suis salarié dans un petit cab en campagne. J'aimerai me doter d'un appareil photo car c'est à mon avis l'idéal pour transmettre un maximum d'informations au prothésiste. Mais par contre, je ne pourrai pas le faire rentrer dans mes frais professionnels.

Si vous pouviez me conseiller. Au pire, j'investis dans un appareil "pas si pire", pas trop honéreux et qui me servira à titre privé également.

Par la suite, thèse en main .... on vera un peu plus loin

Merci pour votre attention


3f3boxni50k58rq7e9ce9ddqrxgk - Eugenol
dentiste57

04/09/2009 à 14h53

Cingulum écrivait:
------------------
> j'ai ça http://www.molnarfoto.hu/images/mt-24ex.jpg sur un reflex
> et un peu d'habitude de mon matos...

justement, c'est l'appareil, l'objectif et le flash ?


Grueavatar nptrc9 - Eugenol
Le Choixpeau magique

04/09/2009 à 15h46

dentiste57 écrivait:
--------------------
> justement, c'est l'appareil, l'objectif et le flash ?

Il a juste le flash.


003 penrd2 - Eugenol
Cingulum

04/09/2009 à 16h02

Un vieux canon 300D, le flash MR24EX, et un 100mm macro canon
On peut jouer sur la position des flashs pour mettre en évidence le relief ou la teinte...

--
Dr Cingulum
-----Ancien interné----
----Attaché à l'apex----


ceel

04/09/2009 à 16h05

nikon D60 ou même D40, flash annulaire sigma, et objectif macro 105mm,


Prothesiste dentaire 58

20/09/2009 à 03h31

surtout ce qu'il faut c'est un appareil qui ai une fonction manuelle des balances de blancs. Et respecter le protocole. Sinon avoir une lumière correcte (pas les 4 néons des couleurs primaires!) avec un IRC très élevé, un spectre complet (pas un pseudo tube lumière du jour qui veut rien dire!) et sinon il reste l'option du rendez vous chez le prothésiste (qui est à mon avis la meilleure).


barabamamma

05/10/2009 à 18h15

je reponds hallpoy
on prend la teinte en presence de lumiere naturelle commr ca ete dit,,,,,,,,,,,
j'ajoute ,si la teinte de la dent est intermediaire entre 2 references du teintier ,j'opte pour la plus foncee :resine
j'opte pour la plus fonce oula plus claire avec maquillage sature :ceramique


87 ujotte - Eugenol
Spatouille

14/10/2009 à 21h52

bonsoir,

exellent travail, des deux parties, bon respect du protocole... mais je serai curieux de connaitre les tarifs de votre prothesiste.... par transparence seriez-vous prêt à en communiquer les plus courants ?

merci


Cingulum écrivait:
------------------
> Pareil pour les teintes un peu critique, photo en macro, avec référence de
> teinte
>
>
> --
> Dr Cingulum
> -----Ancien interné----
> ----Attaché à l'apex----


87 ujotte - Eugenol
Spatouille

14/10/2009 à 21h54

Oups, fausse manip, voir les phtos du Dr Cingulum page 4


Répondre Citer


12