Cookie Consent byPrivacyPolicies.comavis sur patiente risque endocardite B - Eugenol

avis sur patiente risque endocardite B

laurianne1234

26/08/2009 à 22h17

Bonjour,

Voilà je voudrais votre avis sur le cas suivant:

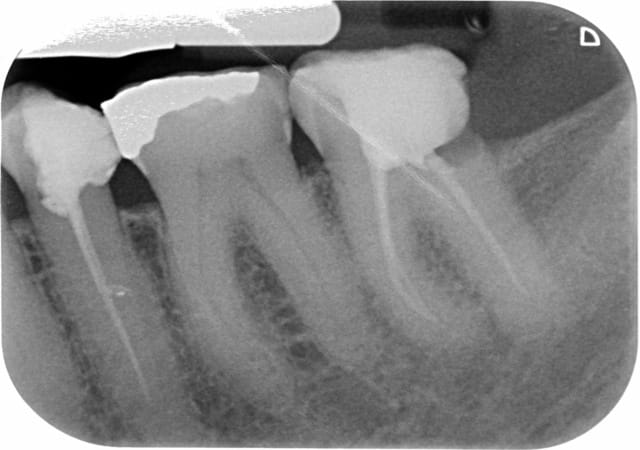
Une patiente de 71 ans, suivi depuis longtemps au cabinet par mon prédécesseur, se présente au cabinet pour une visite de contrôle. Je découvre en plus de 26 à extraire, une carie profonde en D de 37 ainsi qu'un traitement insuffisant sur 35. 35 et 37 devant être couronnées. Après ce 1er RDV, 2 rendez-vous sont pris pour réaliser d'abord le retraitement sur 35 puis l'endo sur 37.

Ce n'est qu'après le traitement endodontique de 37 (soit le 3ème RDV) que la patiente m'informe qu'elle présente une insuffisance mitrale!!! ( Alors qu'un questionnaire médical a été réalisé dès le 1er RDV!) Je l'ai donc mis sous AB pour 1 semaine afin de prévenir les problèmes.

Ma question est : est-ce que je peux continuer les couronnes sur ces 2 dents?

Sachant qu'en plus le retraitement de 35 ainsi que le traitement de 37 ne va pas complètement à l'apex radiologiquement (mais avec le localisateur j'y suis).

Merci de vos réponses

518 x 000004a1 3 mhu1fr - Eugenol
518 x 000004b5 3 mizz0n - Eugenol

Wolford hm5yx3 - Eugenol
Doc lyonnaise

26/08/2009 à 22h27

commence par changer de localisateur d'apex....


Dsc01433 2 qnf68y - Eugenol
Ramasoft

26/08/2009 à 22h38

Attention, en cas de pathologie valvulaire ou d'antécédent d'endocardite (groupe A), il me semble que le retraitement est contre-indiqué.
De même que les endos de molaires.
On doit se limiter aux endos de monoradiculées pouvant être complètement traitées (mise en forme et obturation) dans une seule séance.
Tout le reste doit être extrait ou laissé tel quel sous surveillance s'il n'y a pas de signes radio.
A voir avec le cardiologue.

Je crois qu'un article dans ce sens est passé dans je ne sais plus trop quelle revue il n'y a pas très longtemps.

Edit:
Désolé, une fois de plus, je n'ai pas lu le message en entier ... sans voir que la patiente n'avait pas signalé le problème tout de suite.

Maintenant que les endos sont faites ... il vaut peut-être mieux couronner.
L'obturation provisoire de la 47 n'a pas l'air étanche en distal.


Canin

26/08/2009 à 22h53

Si les dents ne présentent àprésent aucun signe clinique et radio fais les couronnes, il faut une étanchéité coronaire.

C'est un risque B, donc pas de panique.

Pas contre si tu prévois de préparer tes dents en faisant siagner la gencive ou même si tu prévois une plastie gingivale, prévois une antibioprophylaxie
--
Canin


Modérateur

26/08/2009 à 23h34

Merci d'enlever le nom de la patiente sur la pano.


laurianne1234

26/08/2009 à 23h51

merci pour vos réponses.

pour le nom je ne sais pas comment le retirer. Sinon quelqu'un sait comment retirer la pano?


55 s2ba7n - Eugenol
Sid

27/08/2009 à 00h22

Ramasoft écrivait:
------------------
> Attention, en cas de pathologie valvulaire ou d'antécédent d'endocardite (groupe
> A), il me semble que le retraitement est contre-indiqué.
> De même que les endos de molaires.


Tu crois bien: http://www.has-sante.fr/portail/upload/docs/application/pdf/endocard_texte_court.pdf


Canin

27/08/2009 à 00h29

oui mais ici les endos ont déjà été refaites, on va quand même pas les extraites sous prétexte que la reprise des endos vient d'être refaite.

et d'ici quelques temps je pense que ces recommandations vont être revue à la baisse (moins drastiques)

--
Canin


Gonzo k0qhwz - Eugenol
matten

27/08/2009 à 15h30

Tout a fait surtout qu'on parle d'arreter completement l'antibioprophylaxie de l'endocardite d'Osler, car le risque du aux soins dentaires est assez faible par rapport au risque de reaction allergique du a la prise d'antibios/

A bon entendeur...


Canin

27/08/2009 à 18h05

...et également par rapportaurisque de bactériémie cumulée (quotiedienne lors du brossage ou lors de l'alimentation)

--
Canin


laurianne1234

27/08/2009 à 18h13

c'est aussi ce que je pensais mais je prefèrais être sûre.

Merci


EpineDeSpix2

27/08/2009 à 23h01

D'ailleurs, ou classer un patient présentant un Stent cardiaque? est ce une cardiopathie à risque A ou B ?

Un traitement endo est il possible sous ABprophylaxie?

Merci pour vos réponses !


Canin

27/08/2009 à 23h15

voir discussion "implant et infarctus" dans la rubrique implanto

--
Canin