Cookie Consent byPrivacyPolicies.comEst ce que j'ai tout obturé? - Eugenol

Est ce que j'ai tout obturé?

ndecer

27/08/2009 à 16h15

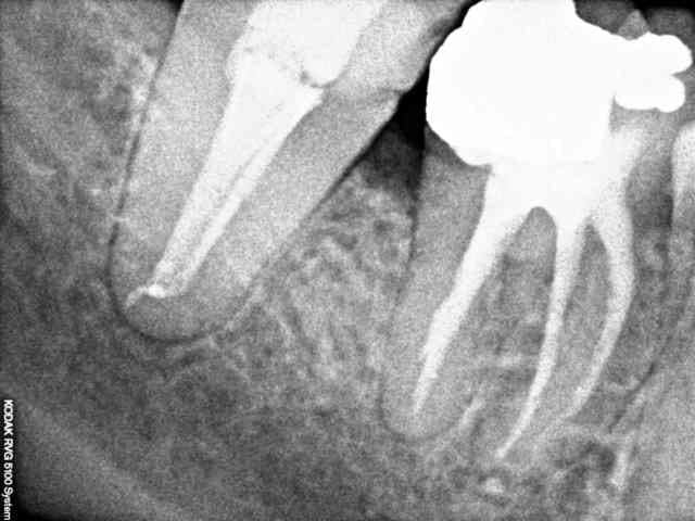
Un patient se présente avec une lésion carieuse importante sur 47. Je fait une rétroalvéolaire. La forme de l'endodonte m'interpelle, je curete et ne fait pas d'effraction pulpaire, donc je met un CVI. Le patient fait une pulpite, je fait le traitement, j'ai trouvé un très gros canal distal que je pensais unique, puis un tout petit mésial bien centré dans le sens linguo vestibulaire.
Avez vous déjà rencontré ce type de dent.
Ai-je tout obturé?
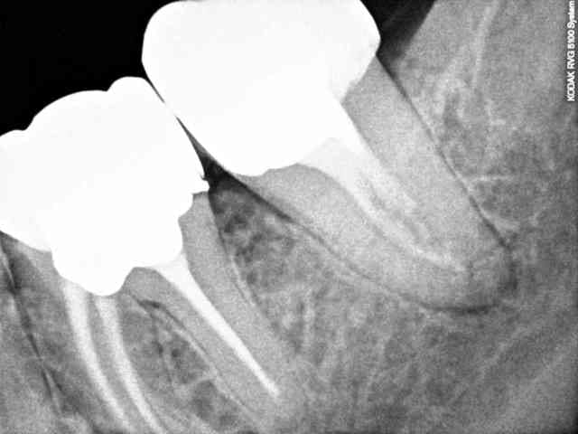
PS: J'ai mis la radio de la dent controlatérale un confrère n'avait visiblement pas mieux compris l'anatomie canalaire.

R19 xa8rtz - Eugenol
R20 xcacjj - Eugenol
R28 zrn7sk - Eugenol
R30 jae1t1 - Eugenol
R33 wv7wy5 - Eugenol
R34 ftpmbs - Eugenol

Gonzo k0qhwz - Eugenol
matten

27/08/2009 à 16h40

je ne vois pas ce que tu peux faire de plus...


Grueavatar nptrc9 - Eugenol
Le Choixpeau magique

27/08/2009 à 17h05

C'est assez classique quand tu as une unique racine.
Mais parfois tu peux en avoir plus de trois, avec fusion, séparation, une ou plusieurs sorties, etc...
Effectivement, dans ce type de cas, sans anatomie "de référence" pour se guider (et sans microscope !) on est un peu perdu...


rere

28/08/2009 à 16h12

Un cas traite l'an dernier et pas de pb a ce jour ...

Xxx jcnhwx - Eugenol

olivier

28/08/2009 à 18h50

Bon déja t as pas chopé le NAI....te plains pas.....


rere

29/08/2009 à 22h20

c'est vrai il est pas très loin ....