Cookie Consent byPrivacyPolicies.cométonnant - Eugenol

étonnant

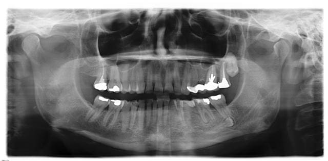
Calvin and hobbes lr0gvh - Eugenol
larome

28/08/2009 à 11h21


--
La Rome

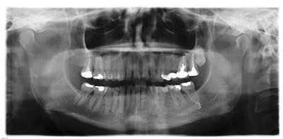
Pano 35 pth9yj - Eugenol

South park   craig te7bfk - Eugenol
CRAIG

28/08/2009 à 11h27

Je l'accrocherais bien dans mon salon...
cette PM est mignonne comme tout.


Canin

28/08/2009 à 13h47

affaire à suivre à moins que tu veuilles transpirer un bon coup.

--
Canin


Calvin and hobbes lr0gvh - Eugenol
larome

28/08/2009 à 17h15

je passe la main dessus
j'ai pas envie de transformer mes surrénales en raisin sec

--
La Rome