Tous les forums
cas ODF n°2
07/09/2009 à 18h07
chers confreres
ma premiere tentative de présentation de cas avait été tellement interessante au niveau de la discussion, que j'ai décidé d'en proposer un autre :
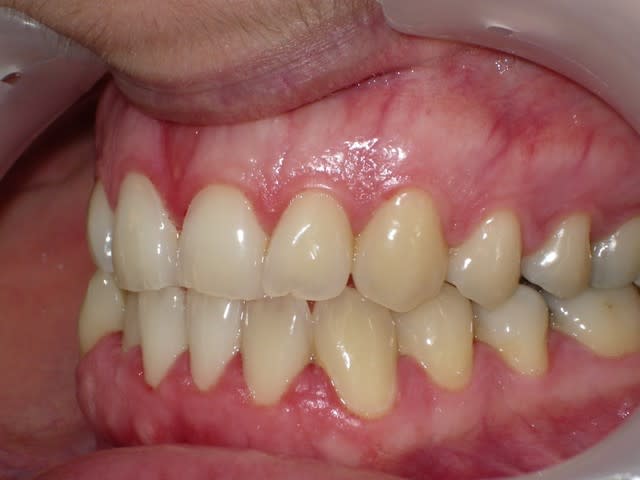
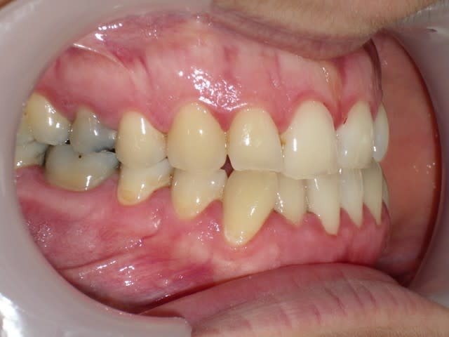
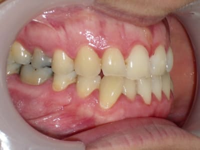
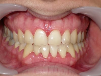
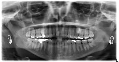
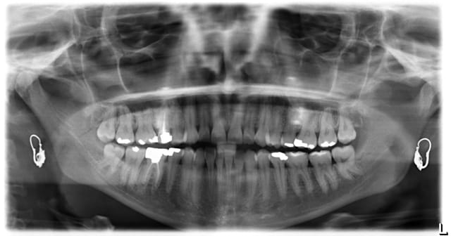
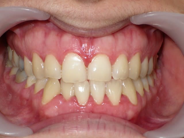
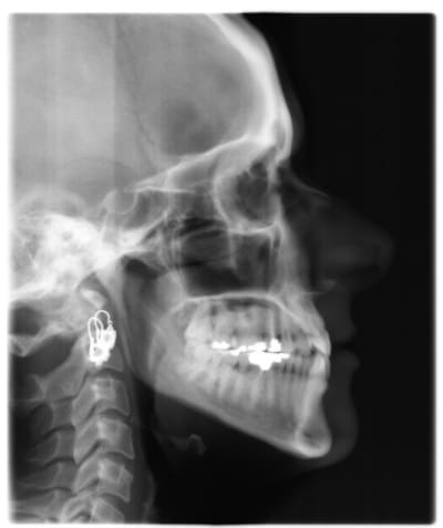
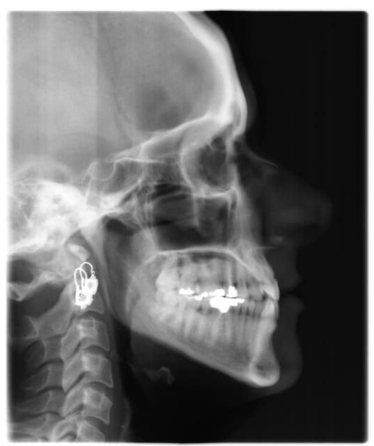
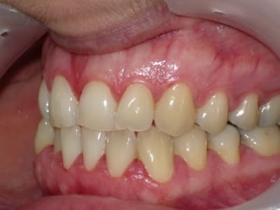
voici de la cas d'un jeune dame de 23 ans qui présente une full classe III subdivision Droite (associée à des compensations incisives de classe III), sur un terrain hyperdivergent. on note un encombrement inferieur d'environ 2 mm et une abrasion des bords triturants des incisives inf (Motif de la consultation)
on notera egalement de face une déviation de la pointe du menton vers la gauche.
j'ai déja mes idees mais je n'aimerais pas vous influencer , alors à vos plumes les amis!
07/09/2009 à 20h52
"une abrasion des bords triturants des incisives inf (Motif de la consultation)"
c'est pas les incisives sup plutôt ?
^ ... ^
Ô"""Ô
= o = ...