Cookie Consent byPrivacyPolicies.comincisive centrale réimplantée - Eugenol

incisive centrale réimplantée

yannopoulos

10/09/2009 à 11h52

bonjour a tous
je souhaiterais connaitre votre plan de ttt devant un cas clinique vu hier au cab
patiente de 25 ans (plutot mignonne ce qui ne gache rien !) qui en mars dernier a eu un accident de velo et s'est retrouvée avec sa 21 expulsée sans fracture à priori de l'os alvéolaire.
un confrere du cab où je suis collaborateur a réimplanté cette dent puis réalisé une contention au composite fluide.
Apres controles en avril et mai RAS elle a chopé un abcès, inévitable, durant ses vacances.
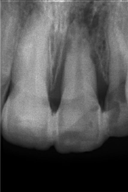
Hier j'ai donc ouvert la dent et nettoyé irrigué. La radio est de mauvaise qualité mais on voit qd même une bonne lésion apicale et une cratérisation de l'os alvéolaire ainsi que , il me semble, des résorptions internes et externes.
D apres le confrere il faut essayer de garder la dent en faisant endo ds un premier temps
Mon avis serait plutot de , tant qu'il y a de l'os a garder, extraire cette dent et faire un implant ds qq mois. Cela dit la patiente est fumeuse...
Qu'en pensez vous collègues ?


yannopoulos

10/09/2009 à 11h53

voila la radio

Sans titre bfr1ui - Eugenol

Rorschachwhite tx6rqr - Eugenol
Candide Candida

10/09/2009 à 13h01


Euh, c'est pas une lésion apicale, c'est une résorption ext.

Ta dent est morte (comme le perroquet), la cratérisation est importante aussi..

Donc les moins pour une EII : infection, cratérisation, tabac.

C'est pas mal ^^

Je dirais à voir pdt l'intervention en prévoyant les 3 solutions.

CC.