Cookie Consent byPrivacyPolicies.comParamétrage Nikon D200 - Eugenol

Paramétrage Nikon D200

P1010130 jpci1f - Eugenol
MarcB6

21/09/2009 à 14h09

Bonjour à tous,

je viens de rapatrier mon Nikon D200 au cabinet.
Auparavant j'utilisais un Fuji S2 pro avec un AF nikkor 105/2.8 et un flash nikon SB 21.
Les résultats et réglages étaient parfaits, mais boitier un peu lent, grosse consommation de batteries, capteur un peu dépassé...

Quelqu'un pourrait il me dire comment optimiser les réglages sur le Nikon D200.
Je conserve bien entendu le SB 21 et le 105 Nikkor.
Je me perds un peu, c'est une vraie usine à gaz ce boitier.

Merci d'avance

--
marcB6


Grumpy cat ifik8s - Eugenol
radich_a_tord

21/09/2009 à 14h58

Je suis chez Canon mais je pense que c'est pareil :

- Iso 100 (ou 200)
- Flash externe en e-TTL (tout automatique, quoi)
- Mode Manuel sur le boitier, f/22 et 1/125
- Balance des blancs en mode Flash

Et normalement tu devrais avoir des images correctement exposées.


Grueavatar nptrc9 - Eugenol
Le Choixpeau magique

21/09/2009 à 17h27

Je rajoute qu'au miroir, c'est au moins +1 de correction d'exposition.


Smile beach jgh0a1 - Eugenol
Céramik

21/09/2009 à 17h32


Le D200, belle machine !
Les infos donné semble bien, mais essai aussi:

ISO 100
Vitesse 1/200
Mode Manuel
f 32 (ou le plus haut possible)
Flash eTTL
Balance des blancs : flash ou mieux custom (voir manuel)

Aussi

Jpeg large
Adobe RBG vs sRBG (meilleure teinte des tissus mous)


--
Céramik


ceel

21/09/2009 à 19h35

j'ai fait une conf sur la photo la semaine dernière, et l'on m'a conseillé lorsque l'on pas forcément besoin d'une grosse profondeur de champ, par exemple les deux centrales max, de mettre l'ouverture à 22.
qu'en pensez-vous ?


Smile beach jgh0a1 - Eugenol
Céramik

21/09/2009 à 20h12

ceel écrivait:
--------------
> j'ai fait une conf sur la photo la semaine dernière, et l'on m'a conseillé
> lorsque l'on pas forcément besoin d'une grosse profondeur de champ, par exemple
> les deux centrales max, de mettre l'ouverture à 22.
> qu'en pensez-vous ?


Quel est le désavantage d'avoir une grande profondeure de champs ? Avec f-22, c'est déjà bien. Mais avec f-22 tu dois baisser ton flash car de très près tu auras trop de lumière.


De plus, c'est assez rare de prendre photo de 2 centrales seulement.



--
Céramik


Grumpy cat ifik8s - Eugenol
radich_a_tord

21/09/2009 à 22h01

ceel écrivait:
--------------
> j'ai fait une conf sur la photo la semaine dernière, et l'on m'a conseillé
> lorsque l'on pas forcément besoin d'une grosse profondeur de champ, par exemple
> les deux centrales max, de mettre l'ouverture à 22.
> qu'en pensez-vous ?

La diffraction, qui fait perdre du piqué à la photo.

Le piqué, pour des centrales, ça va surtout nous renseigner sur l'état de surface.


Bien vu Le Choixpeau magique (comme souvent !) pour les miroirs.

Je conseille comme Ceramik d'affiner (ou d'étalonner) la balance des blancs en manuel, en fonction du flash. Mais bon, tu as l'air un peu perdu dans les réglages donc restons simples.

Pas trop d'accord par contre pour passer dans un espace de couleurs différent, trop compliqué à gérer derrière (écran du cab, du labo).

Les photos de centrale ça peut servir pour caractériser finement une céram, à faire devant un contrasteur (un bout de papier Canson noir).


Smile beach jgh0a1 - Eugenol
Céramik

21/09/2009 à 23h09

On peut aussi s'amuser aver les fichiers RAW...
et Photoshop CS3...
La photo, c'est amusant !
Donne nous des info sur tes résultats.
A+

;-)


--
Céramik


Grueavatar nptrc9 - Eugenol
Le Choixpeau magique

21/09/2009 à 23h16

Céramik écrivait:
-----------------
> On peut aussi s'amuser aver les fichiers RAW...
> et Photoshop CS3...

Tu retardes, on en est au CS4 !


Smile beach jgh0a1 - Eugenol
Céramik

22/09/2009 à 00h12

Le Choixpeau magique écrivait:
------------------------------
> Céramik écrivait:
> -----------------
> > On peut aussi s'amuser aver les fichiers RAW...
> > et Photoshop CS3...
>
> Tu retardes, on en est au CS4 !

Je ne peux pas tout faire !
Et tu as quoi mon ami comme logiciel ?
Le CS4 c'est trop cher pour moi...

--
Céramik


Grueavatar nptrc9 - Eugenol
Le Choixpeau magique

22/09/2009 à 10h35

Céramik écrivait:
-----------------
> Je ne peux pas tout faire !
> Et tu as quoi mon ami comme logiciel ?
> Le CS4 c'est trop cher pour moi...

Salut, comme je ne ressens pas le besoin de retoucher mes photos de cas (c'est pas bien !), mes besoins sont assez limités pour mes photos dentaires. Je shoote en jpeg, et quand il y a besoin de changer qqchose, j'utilise le freeware photofiltre.
Pour mes photos persos, c'est tout en Raw et Lightroom.


Blason dql7mj - Eugenol
growler

22/09/2009 à 11h10

idem pour moi : jpeg et photofiltre si besoin.

mais je me sers aussi parfois des outils de retouche photo dans powerpoint ou openoffice impress.

@+


P1010130 jpci1f - Eugenol
MarcB6

22/09/2009 à 12h25

Bonjour,

Merci à vous tous pour vos réponses et votre aide super efficace.

Sans vous et vos précieux conseils, j'aurais mis un temps fou à paramétrer mon D200.

Alors qu'en suivant pas à pas les paramétrages indiqués dans vos post, dès ce matin j'ai pu être opérationnel et mettre définitivement mon S2 pro au placard.

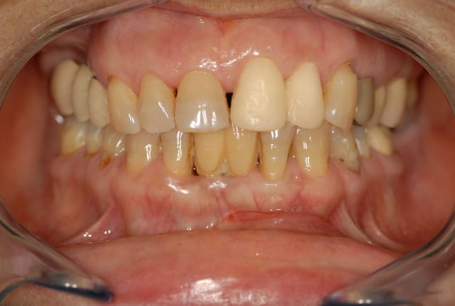
Ci joint mes tout premiers clichés pris ce matin.

Bien à vous tous

--
marcB6

Dsc 3790 ia0wzo - Eugenol
Dsc 3785 pybai4 - Eugenol
Dsc 3786 nznt0n - Eugenol
Dsc 3787 itdzvz - Eugenol
Dsc 3788 x3v64h - Eugenol
Dsc 3789 cjjkf6 - Eugenol

Smile beach jgh0a1 - Eugenol
Céramik

22/09/2009 à 18h16

Le Choixpeau magique écrivait:
------------------------------
> Céramik écrivait:
> -----------------
> > Je ne peux pas tout faire !
> > Et tu as quoi mon ami comme logiciel ?
> > Le CS4 c'est trop cher pour moi...
>
> Salut, comme je ne ressens pas le besoin de retoucher mes photos de cas (c'est
> pas bien !), mes besoins sont assez limités pour mes photos dentaires. Je shoote
> en jpeg, et quand il y a besoin de changer qqchose, j'utilise le freeware
> photofiltre.
> Pour mes photos persos, c'est tout en Raw et Lightroom.


Avec JPEG, ajuster l'histogramme et le "sharpness" (ce qui est légale en photo)donne un bien meilleur résultat.
C'est un truc que j'ai vu dans un cour de photo dentaire, le type avait des photos extraordinaires.
On peut le faire avec photoshop ou d'autre logiciel (ACDsee pour moi).

Je vais regarder pour Lightroom que je ne connais pas.

Merci



--
Céramik


Grumpy cat ifik8s - Eugenol
radich_a_tord

22/09/2009 à 18h54

MarcB6 écrivait:
----------------
> Merci à vous tous pour vos réponses et votre aide super efficace.

Super !
Juste un conseil si tu veux une photo bien nette partout, augmente un peu le "f".

Pour ce qui est des retouches, que ce soit au cabinet ou en perso le top c'est DxO Optics Pro. Il est possible de l'automatiser en prime.


Grueavatar nptrc9 - Eugenol
Le Choixpeau magique

22/09/2009 à 19h35

Céramik écrivait:
-----------------
> Avec JPEG, ajuster l'histogramme et le "sharpness" (ce qui est légale en
> photo)donne un bien meilleur résultat.

Oui tu peux faire tout ça avec photofiltre.
Sinon, si tu aimes bien rajouter systématiquement du sharpen, tu peux le faire à partir de l'appareil photo.
Si tes photos sont toutes "molles" et que tu as toujours besoin d'étirer l'histogramme, rajoute un peu de contraste dans l'appareil photo.


Grueavatar nptrc9 - Eugenol
Le Choixpeau magique

22/09/2009 à 19h37

radich_a_tord écrivait:
-----------------------
> Pour ce qui est des retouches, que ce soit au cabinet ou en perso le top c'est
> DxO Optics Pro. Il est possible de l'automatiser en prime.

Questions de goût, personnellement je n'ai jamais accroché à ce logiciel que je trouve très instable, et assez peu ergonomique, et je ne suis pas le seul à le penser.
Après, c'est Français et certains ne jurent que par lui, alors des goûts et des couleurs...


Grumpy cat ifik8s - Eugenol
radich_a_tord

22/09/2009 à 19h47

(Français ou pas ça m'est égal)
DxO est le seul à proposer des modules de corrections adaptés à chaque objectif. C'est dans la correction de la géométrie et la gestion du bruit qu'il est très fort. Le reste il y a pléthore de logiciels qui savent le faire en effet.

Il faut aussi dire qu'il a bien changé depuis la version 3, l'interface actuelle est très proche de lightroom, plutôt intuitive (A mon avis. Les gouts et les couleurs...)
Quant à la stabilité il n'a jamais planté en plus 7000 photos.


Smile beach jgh0a1 - Eugenol
Céramik

22/09/2009 à 20h06

Le Choixpeau magique écrivait:
------------------------------
> Céramik écrivait:
> -----------------
> > Avec JPEG, ajuster l'histogramme et le "sharpness" (ce qui est légale en
> > photo)donne un bien meilleur résultat.
>
> Oui tu peux faire tout ça avec photofiltre.
> Sinon, si tu aimes bien rajouter systématiquement du sharpen, tu peux le faire à
> partir de l'appareil photo.
> Si tes photos sont toutes "molles" et que tu as toujours besoin d'étirer
> l'histogramme, rajoute un peu de contraste dans l'appareil photo.


Merci, je vais essayer ça.
Je trouvais mes photos pas mal, jusqu'au jour où j'ai vu ce type qui nous a montré des photos extra et ses trucs pour y arriver.
Il doit y avoir plusieurs méthodes et c'est pour cela qu'il existe des forums.

Pour l'histogramme, il replaçait les noirs (ce qui augmente les contrastes) et modifiait un peu les blancs, ce qui faisait ressortir les détails (translucidité, etc).
Ça prend 2 clics sur photoshop. Bon je suis pas une référence en logiciel photo, alors...

Les photos avaient aussi bcp de précisions de tons pour les tissus (visage, gencives), et vraiment, j'ai rien vu de mieux comme résultat.

--
Céramik


Grueavatar nptrc9 - Eugenol
Le Choixpeau magique

23/09/2009 à 01h42

Céramik écrivait:
-----------------
> Les photos avaient aussi bcp de précisions de tons pour les tissus (visage,
> gencives), et vraiment, j'ai rien vu de mieux comme résultat.

Le secret d'un bon résultat, c'est la précision de l'exposition. Même avec le meilleur matos, ça reste une affaire d'expérience, cf les photos de cingulum (qui se garde un peu ses petits secrets ;)).


Logo vuaztn - Eugenol
mac

23/09/2009 à 12h19

Céramik écrivait:
-----------------

>
> Pour l'histogramme, il replaçait les noirs (ce qui augmente les contrastes) et
> modifiait un peu les blancs, ce qui faisait ressortir les détails
> (translucidité, etc).
> Ça prend 2 clics sur photoshop. Bon je suis pas une référence en logiciel photo,
> alors...


c'est quoi les deux clics?


Grumpy cat ifik8s - Eugenol
radich_a_tord

23/09/2009 à 12h54

Image -> Réglage -> Niveaux

Et ajuster les flèches sous l'histogramme


Logo vuaztn - Eugenol
mac

23/09/2009 à 21h22

ok merci.


jusqu'ou peut on retoucher sans tricher?


 mg 0207 xwjxcl - Eugenol
Tillc

24/09/2009 à 01h06

Pour avoir testé des tas de logiciel a titre perso et professionels il n'y en a aucun qui n'arrive a la hauteur de Lightroom.
Importation/Gestion/bibliothèqe/post production/ impression etc...


Smile beach jgh0a1 - Eugenol
Céramik

24/09/2009 à 02h43

mac écrivait:
-------------
> ok merci.
>
>
> jusqu'ou peut on retoucher sans tricher?


Modifier l'histogramme, la netteté c'est OK
Le "spot edit" par exemple les yeux rouge, une poussière, c'est OK si mentionné.
Tout le reste, c'est non.


--
Céramik