Cookie Consent byPrivacyPolicies.comInlay-Core sur enfant de 13 ans - Eugenol

Inlay-Core sur enfant de 13 ans

zert

23/09/2009 à 14h05

Bonjour,

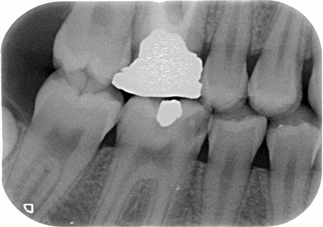
Je voudrais votre avis car j'ai une patiente de 13 ans qui a de nombreuses caries et qui a déjà la 16 dévitalisé avec un très gros amalgame dessus ( il reste vraiment rien de la dent).

Peut-on faire un Inlay-core sur cette dent avec une Couronne provisoire le temps qu'elle finisse sa croissance puis une CCM? ou bien je n'attend pas pour la CCM ?

Merci

3334 x 00000527 3 ga0qww - Eugenol

Image odged8 - Eugenol
ploc

23/09/2009 à 14h40

pourquoi pas,bien que j'ai laissé tomber les IC (trop vu passer de fractures de racines et grâce aux progrès du collage on peut faire autrement) mais j'aimerais bien voir la radio en entier et l'apex de la dent

demandes toi qd mme:
-hygiène du patient et motivation de la famille?
-y a t'il une 8?
-le patient et les parents seraient ils prêts à accepter de l'odf pr tracter la 7 après extraction de la 6? (s'ils st prêts à faire une CCM on peut imaginer qu'ils ne reculeront pas devant la depense d'un tt odf par ailleurs peutêtre justifié et ce serait la solution la plus perenne)

d'autre part,depeches toi de soigner 36 déjà limite coiffage avant de te retrouver à faire le traitement et comble ts les sillons des 6 et 7 apparemment très anfractueux au vu du BW

NB: et tu n'es pas ds la bonne rubrique pr esperer avoir bc de reponses:)

-
-