Cookie Consent byPrivacyPolicies.comMa nouvelle contention - Eugenol
1 p3qrc4 - Eugenol
Bjc.

02/10/2009 à 22h47

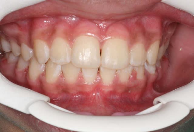
Salut

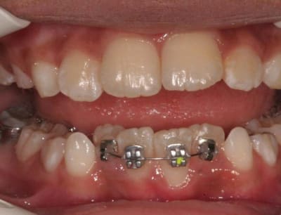
Facile à poser,
Ne retient pas la plaque
Esthétique
Un peu cher car en Or
(Céramco)


@+ Bjc.

Img 1 xacnga - Eugenol
Img 2 siytdm - Eugenol
Img 3 ituagt - Eugenol
Img 4 r3tw6u - Eugenol
Img 5 z8ak0k - Eugenol

Marque a3 orange fyvhyq - Eugenol
Marc Apap

02/10/2009 à 23h58

Je ne vois pas pourquoi elle ne retiendrait pas la plaque, puisque (à supposer que l'or lui-même ne retienne pas la plaque, ce qui est faux)le fil est complètement noyé dans du composite. Et que le composite n'est pas un modèle de produit qui repousse les bactéries.


Smile beach jgh0a1 - Eugenol
Céramik

03/10/2009 à 03h32

Ah non, t'as vu ?...il pose une digue et des kilomètres de Wed-jet...pffff. Déjà que la digue coûte trop cher...

Pour la dernière photo, une gingivoplastie au laser + un blanchiment, ou bien 20 facettes minimun...pfffff

;-)


--
Céramik


1 p3qrc4 - Eugenol
Bjc.

03/10/2009 à 03h54

salut,

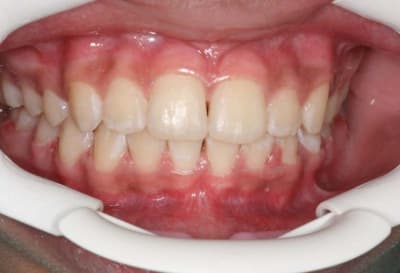
En postant cette contention, je m’adressait surtout à ceux qui ont font régulièrement et qui ont, comme moi, des petits Pbs. j’ai été un peu concis, je vais mieux expliquer pour ceux qui seraient tentés d’en faire

un composite d’obturation est très bien toléré, (comme dirait Dancha)
le Pb. est le surcontour.
surcontour d’1 Bk. ou d’une contention sur une face de la dent
plus ce surcontour sera important, plus la plaque se déposera en dessous et sera difficile à éliminer. ici, ce qui me plait est que le surcontour est très fin, mais il existe quand mm. et demande un bon contrôle de plaque.

souvent le composite de recouvrement s’use et la trame des rubans de fibres esthétiques apparaît, les fibres ayant tendance à " rebiquer ", ce qui est un piège à plaque
(je sais, il y en des nouveaux)

dans le cas présenté, lorsque le composite de recouvrement s’usera, ce sera du métal (or) qui sera mis à nu. ceux qui ont vu des stéllites en or dans une bouche comprendront l’avantage sur une fibre en partie effilochée.


et ce qui ne gâte rien, je le trouve très facile à mettre en place, plus facile qu’un ruban, et aussi esthétique

voilà

@+ Bjc.


Bul

03/10/2009 à 13h22

tu peux montrer le cas avant traitement
je croyais que tu ne faisait plus de contention


1 p3qrc4 - Eugenol
Bjc.

03/10/2009 à 16h23

salut,

C’est un cas que j’ai traité en deux temps, interception, période d’interruption, fin de TTT.
ce n’est pas un cas trop difficile, aussi j’ai assez peu de photos

j’ai fait une contention parce que la patiente va quitter le département, je ne veux pas la faire rentrer dans mon étude (sans contention) sans surveillance


1 p3qrc4 - Eugenol
Bjc.

04/10/2009 à 17h12

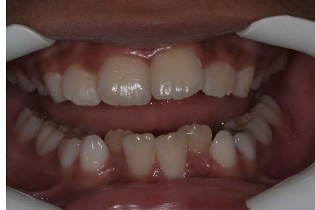
Salut,

Avant TTT.

à suivre Bjc.

1 k41u2c - Eugenol
2 uwoszw - Eugenol
3 fen5h1 - Eugenol

1 p3qrc4 - Eugenol
Bjc.

04/10/2009 à 17h13


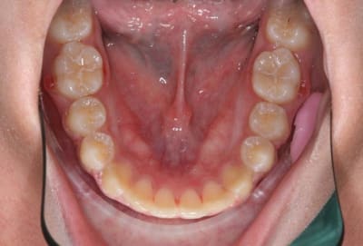
1°) phase
Q.H. Sup.
Z.H. Inf.

à suivre

4 zekpha - Eugenol
5 crm6hv - Eugenol
6 a4j436 - Eugenol

1 p3qrc4 - Eugenol
Bjc.

04/10/2009 à 18h06

...


1 p3qrc4 - Eugenol
Bjc.

04/10/2009 à 18h07

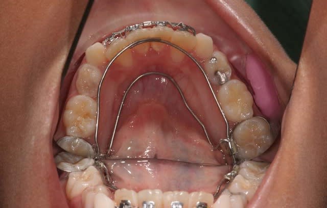
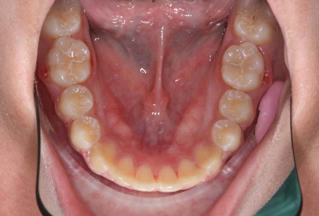
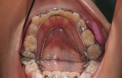
2°) phase
Friction faible avec ressorts de Root

6 lddvd2 - Eugenol

1 p3qrc4 - Eugenol
Bjc.

04/10/2009 à 18h08

3°) phase
contention


@+ Bjc


Bul

04/10/2009 à 22h00

je trouve dommage que tu ne présentes pas plus de cas simples (pour toi), avec plus de photos
si tu pouvais, ce serait plus intéressant

c’est quoi un Z H. ?


1 p3qrc4 - Eugenol
Bjc.

05/10/2009 à 14h13

""c’est quoi un Z H. ? ""

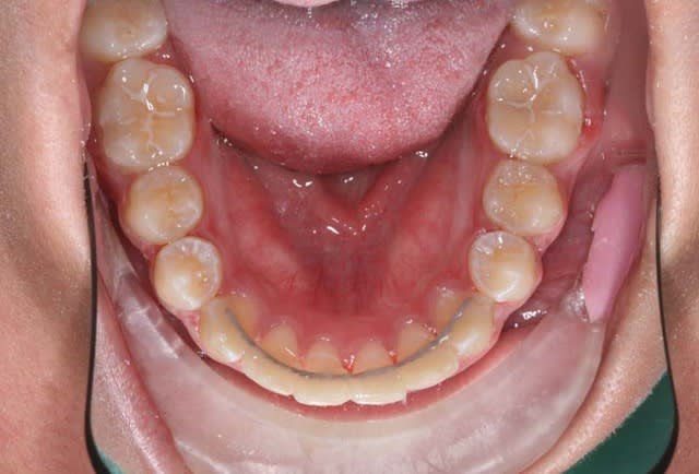
Z.H.= Zéro Hélix
j'ai supprimé toutes les boucles sur l'Hélix Md. car avec de l'élgiloy, je n'en ai plus besoin vu la qualité du métal

@+ Bjc.



Mmmm

05/10/2009 à 16h58

Bjc, le cas que tu montres et le cas de contention, c'est la même patiente? Et si non c'est quoi le rapport? J'ai un peu de mal à suivre ton raisonnement.
Et si oui, comment as-tu gérer la langue?


1 p3qrc4 - Eugenol
Bjc.

05/10/2009 à 18h36

c'est le mm. patiente
la coloration des dents est assez remarquable

@+ Bjc.


1 p3qrc4 - Eugenol
Bjc.

05/10/2009 à 18h57

P.S.: j'avais à l'époque un Fuji mono-objectif
les photos de la contention ont été prises avec un Canon 1000 objectif Macro
les couleurs ne sont pas tout à fait les mm.
mais les dents ont gardé la mm. forme et les taches sont reconnaissables

@+ Bjc.


Mmmm

05/10/2009 à 19h31

Et la langue? Qu'est-ce que tu as fait?


Mmmm

05/10/2009 à 19h31

Et la langue? Qu'est-ce que tu as fait?


1 p3qrc4 - Eugenol
Bjc.

05/10/2009 à 19h39

bonne question

à ton avis?

@+ Bjc.


Picture1111 zburnd - Eugenol
saidkholoki

05/10/2009 à 21h42

Z.H.= Zéro Hélix
j'ai supprimé toutes les boucles sur l'Hélix Md. car avec de l'élgiloy, je n'en ai plus besoin vu la qualité du métal

@+ Bjc.


Il vaut mieux dire que tu a copié le systeme de wilson de reformage mandibulaire commercialisé par RMO a l'exception des segments molaires; Il faut appeler les choses par leurs noms.

D'autre part il me semble que Helix en englais veut dire une boucle spirale, donc supprimer toutes les boucles sur l'helix Md cela n'a pas de sense!!!

--
A suivre...
Said


1 p3qrc4 - Eugenol
Bjc.

05/10/2009 à 22h48

salut,

""donc supprimer toutes les boucles sur l'helix Md cela n'a pas de sense!!!""
Wilson n’était pas sensé :-))


Q.H.= Quad Hélix
B.H.= Bi hélix
Z.H.= Zéro hélix (pas de spirale) c’est une boutade, en tout cas je suis content d’être arrivé aux mm conclusions que Wilson
J’avais déjà remarqué que tu n’avais pas beaucoup d’humour !!!
le zéro hélix de Wilson est à insertion verticale, je préfère les fourreaux de 3 M. qui sont à insertion rotative, qui facilite insertion, désinsertion
tu connais ?

@+ Bjc.



Picture1111 zburnd - Eugenol
saidkholoki

06/10/2009 à 10h58

bjc ecrivait ""donc supprimer toutes les boucles sur l'helix Md cela n'a pas de sense!!!""
Wilson n’était pas sensé :-))

QH veut dire un appareil d'expansion a 4 boucles spirales
BH veut dire un appareil d'expansion a 2 boucles spirales
ZH ( nouveau terme) veut dire un appareil d'expansion a 0 boucle spirales.
Je n'ai rien contre le fait de supprimer les boucles car moi-meme je le fais, ma remarque c'est plutot sur la phrase ecrite. Tu aurais du dire " j'ai supprimé toutes les boucles ou tous les helix sur l'expandeur mandibulaire....
Laisse tomber, sinon c'est encore et toujours une discussion sans fin et sans interet pour les autres
--
A suivre...
Said


Bul

06/10/2009 à 15h02

tu as d’autres petits trucs, comme le Z H qui ne sont pas dits dans les formations ?
et c’est quoi l’insertion rotative ?

merci d'avance


1 p3qrc4 - Eugenol
Bjc.

06/10/2009 à 16h23

""D'autre part il me semble que Helix en englais veut dire une boucle spirale, donc supprimer toutes les boucles sur l'helix Md cela n'a pas de sense!!!""

"Je n'ai rien contre le fait de supprimer les boucles car moi-meme je le fais,""


1 p3qrc4 - Eugenol
Bjc.

06/10/2009 à 16h44

Salut,

pour revenir à la langue, je n'ai rien fait si ce n'est lui donner de l'espace par le reformage d'arcade
et elle s'est repositionnée toute seule, comme on peut le voir sur le suivi des qq. photos que j'ai

@+ Bjc.


12