Cookie Consent byPrivacyPolicies.comMa nouvelle contention - Eugenol
EloD

06/10/2009 à 18h01

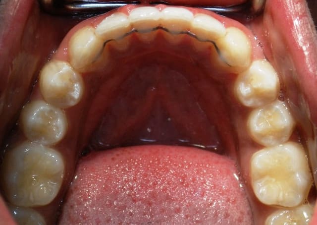
Ma contention...fil plat tréssé 8 brins...33€ les 10 brins de 10 cm... pas cher donc et taux de satisfaction "perso" de 99,99%. Du faite du plat du fil, la couche de composite peut-être réduite au minimum.

... et vous? what's your retainer?

17 06 09  dep  5 n2pucx - Eugenol

Mmmm

06/10/2009 à 20h29

pareil....mais je colle de moins en moins de fil...marre ou désespérée de voir revenir des patients au bout de trois quatre ans avec le fil décollé et les dents n'importe où...je suis dans ma période gouttière ( mais pas convaincue du tout)...quelqu'un a-t-il une solution miracle?


1 p3qrc4 - Eugenol
Bjc.

07/10/2009 à 00h19

salut,

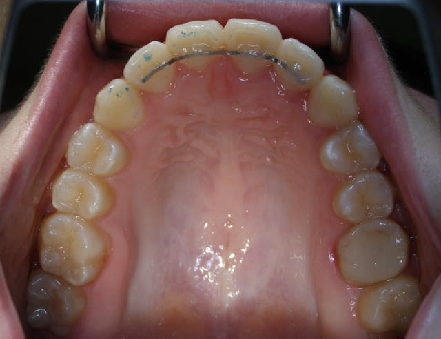
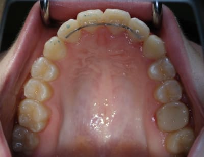
Cette chainette n’a pas besoin d’être formée à la pince comme un fil Ortho, je la trouve facile pour des confrères qui n’ont pas notre matériel

@+ Bjc.


EloD

07/10/2009 à 15h42

Mmmm écrivait:
--------------
je suis dans ma période gouttière ( mais pas convaincue du
> tout)...quelqu'un a-t-il une solution miracle?

J'ai eu aussi la période gouttière..positionneur...plaque...3-3 préfabriqués...mais c'est le fil qui reste le plus fiable (compromis maintien/souplesse ) et le moins contraignant à gérer.
Au maxillaire, le plus possible de 2 à 2; sinon hawley classique.

La solution miracle tient à deviner ce qui va récidiver ( historique des mouvements dentaires / contraintes musculaires ), ce qui va évoluer ( croissance tardive ) et ce que l'on peut faire pour maintenir notre travail dans un équilibre fonctionnel et occlusal....bonne nuit.

P1010005 m33yjc - Eugenol

1 p3qrc4 - Eugenol
Bjc.

07/10/2009 à 16h56

""ce que l'on peut faire pour maintenir notre travail dans un équilibre fonctionnel et occlusal....""

a ce propos, qq.1 a t il suivi la formation L.V.I. en N.M.?

@+ Bjc.


Mmmm

07/10/2009 à 18h14

moi en LVI j'ai fait anglais.....:-)
En français, ça donne quoi Bjc?


1 p3qrc4 - Eugenol
Bjc.

07/10/2009 à 18h31

je ne sais pas, je vais aller suivre le stage au Canada (en Français)

tu as acheté le matériel?

@+ Bjc.


Images 1 qtgoxf - Eugenol
ciwil

07/10/2009 à 21h16

Bjc. écrivait:
--------------
> a ce propos, qq.1 a t il suivi la formation L.V.I. en N.M.?

non, mais qui va aux J. de la FFO ?


Mmmm

09/10/2009 à 21h25

Bjc. écrivait:
--------------
> je ne sais pas, je vais aller suivre le stage au Canada (en Français)
>
> tu as acheté le matériel?
>
> @+ Bjc.
>

C'était de l'humour Bjc, LV1 langue vivante 1 au collège...je ne sais pas qe quoi tu parles avec LVI....!


Mmmm

09/10/2009 à 21h26

ciwil écrivait:
---------------
> Bjc. écrivait:
> --------------
> > a ce propos, qq.1 a t il suivi la formation L.V.I. en N.M.?
>
> non, mais qui va aux J. de la FFO ?

pas cette année...dommage! toujours sympa de revoir les copines!!
Ca a un rapport avec LVI?


1 p3qrc4 - Eugenol
Bjc.

11/10/2009 à 16h43

""Ca a un rapport avec LVI?""

oui, mais le matériel de L.V.I. n'est pas commercialisé en France

@+ Bjc.


Mmmm

12/10/2009 à 12h37

Quelqu'un aurait-il la gentillesse de me traduire L V I??????


Picture1111 zburnd - Eugenol
saidkholoki

12/10/2009 à 13h05

" Las Vegas Institute for Advanced Dental Studies (LVI) offers doctors and their teams from around the globe comprehensive learning and a curriculum that inspires life-changing experiences not only in their practices, but in their personal lives."


--
A suivre...
Said


Picture1111 zburnd - Eugenol
saidkholoki

12/10/2009 à 13h11

et voici l'dresse du site
http://www.lviglobal.com/

--
A suivre...
Said


12