Cookie Consent byPrivacyPolicies.comLe Q.H. pour les nuls (comme moi) - Eugenol

Le Q.H. pour les nuls (comme moi)

inset

12/05/2010 à 02h19

merci bjc pour le partage d'informations,
j avais beaucoup de questions (cliniques ), sur le quad helix surtt sur les préfabriqués de 3M et je viens d'avoir mes réponses.

il m'en reste quelques unes comme meme concernant:


- l'association d'un quad helix et d'un masuqe de DElaire, est ce efficace d'agir à la fois sur le sens transversal et le sens sagital. (quand le cas le necessite bien sur endo+ cl III)

- un autre cas qui m'embete actuellement: jai un enfant de 9 ans présentant une endognathie max, j envisage d'utiliser un Q.H, le soucis c'est k'il n'a plus ses Molaires temporaires ( juste la III et la 6, au niveau latéral), l'appui du bras latéral de mon QH serait-il juste au niveau de la canine et la dent de 6ans??

merci


1 p3qrc4 - Eugenol
Bjc.

12/05/2010 à 14h55

"""il m'en reste quelques unes comme meme concernant:
- l'association d'un quad helix et d'un masuqe de DElaire, est ce efficace d'agir à la fois sur le sens transversal et le sens sagital. (quand le cas le necessite bien sur endo+ cl III"""
-
Il est déconseillé de travailler dans plusieurs directions de l’espace en m temps
Rappelle-toi la vieille règle : T.V.A.
1°) T=transversal
2°) Vertical
3°) Antéropostérieur



"""- un autre cas qui m'embete actuellement: jai un enfant de 9 ans présentant une endognathie max, j envisage d'utiliser un Q.H, le soucis c'est k'il n'a plus ses Molaires temporaires ( juste la III et la 6, au niveau latéral), l'appui du bras latéral de mon QH serait-il juste au niveau de la canine et la dent de 6ans??"""

Le travail du Q.H. n’est pas seulement sur les dents lactéales, il a une action, au moins aussi importante, sinon plus, sur les molaires en les dérotant
Molaires Sup= Canine postérieure ( Le Gall)

@+ Bjc.



1 p3qrc4 - Eugenol
Bjc.

13/05/2010 à 15h30

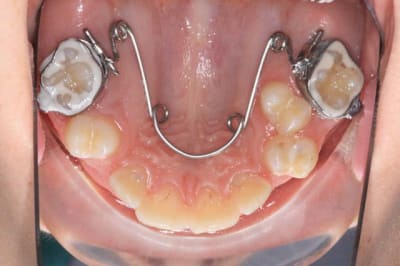
On ne peut pas toujours mettre un Q.H. classique dès le début du traitement, voici un exemple de Q.H. amputé de ses bras, qui sera sans doute poursuivi avec des Bk.

@+ Bjc.

Img 1  udvmai - Eugenol

Images 1 qtgoxf - Eugenol
ciwil

13/05/2010 à 23h07

pour obtenir une dérotation molaire sans expansion alvéolaire, une barre trans-palatine aurait sans doute été adaptée


inset

14/05/2010 à 00h02

merci Bjc

je suis d'accord avec toi ciwil, moi aussi kan j ai JUSTE besoin de dértation molaire j'utilise JUSTE un transpalatin préfabriqué, j en utilise aussi pour le control du sens vertical.

amicalement.

inset


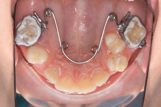
Img 0812 mvp6i0 - Eugenol
jeamba

14/05/2010 à 00h45

Quelqu'un peut m'expliquer la mécanique du transpalatin pour la dérotation molaire.


1 p3qrc4 - Eugenol
Bjc.

15/05/2010 à 14h36

Un arc transpalatin est un simple fil placé entre les deux molaires, il est utilisé pour des raisons de confort
Il faut que les molaires aient exactement les m malpositions (en sens opposé), sinon, il faut s’appeler BURSTONE pour faire un arc transpalatin asymétrique (m en T.M.A.)

Un Q.H. amputé de ses bras, peut sembler identique à un arc transpalatin, mais c’est oublier l’action de la langue sur les parties Ant. et latérales, qui permet de ne pas avoir à faire un Q.H. asymétrique pour rectifier le plan d’occlusion
Si on rajoute un seul bras court, ou des bras de longueur différentes, on a un Q.H. à forces différentielles

L’arc transpalatin est plutôt un arc de stabilisation, pour les adultes qui supportent mal le Q.H.

@+ Bjc.


12