Cookie Consent byPrivacyPolicies.comExpansion osseuse et Sinus Lift - Eugenol

Expansion osseuse et Sinus Lift

christelle c

08/10/2009 à 18h06

Super , trop beau ! Dommage le 17 je suis au DU , une prochaine fois j'espère.


Humator t9r5wy - Eugenol
humator

08/10/2009 à 18h50

merci pour les precisions D57!

j'ai planté mes premiers axioms mardi, sur un cas simple en mandibulaire.
j'ai bien aimé...
la suite demain pour un cas plus difficile en sous sinusien...
extraction implantation immediate de racine 15...
--
N.Hum

Fai1 cw0zq2 - Eugenol

Humator t9r5wy - Eugenol
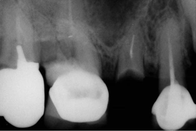
humator

09/10/2009 à 17h21

ce matin,
bon comportement de l'axiome en sous sinusien:
bonne sensation de compression, et stabilité primaire excellente, malgré le peu de volume osseux.


--
N.Hum

Fai2 nsjtv4 - Eugenol

12