Cookie Consent byPrivacyPolicies.comQuel flash pour mon Nikon D200 en remplacement d'un SB 21 - Eugenol

Quel flash pour mon Nikon D200 en remplacement d'un SB 21

P1010130 jpci1f - Eugenol
MarcB6

14/10/2009 à 10h58

Bonjour à tous,

j'utilise un Nikon D200 avec un (ancien) flash Nikon SB 21.

je travaille en mode manuel, mais je ne bénéficie plus de la TTL au flash.

Je n'obtiens plus une exposition précise, sous ex, sur ex...

Quel flash me conseillez vous.

Merci d'avance.

Cordialement

--
marcB6


Photo pluton1b h9n4ea - Eugenol
pluton

14/10/2009 à 12h00

je travaille avec du Canon...mais pour Nikon...t'as çà
http://www.europe-nikon.com/product/fr_FR/products/broad/1074/overview.html

ou çà...

http://www.europe-nikon.com/product/fr_FR/products/broad/721/overview.html


Photo pluton1b h9n4ea - Eugenol
pluton

14/10/2009 à 12h31

sinon, si tu veux moins cher...mais efficace aussi...y a çà...

http://www.sigma-photo.fr/site/boutique/FicheProduit.aspx?idGenerique=0000081&idTypeProduit=0000002


Blason dql7mj - Eugenol
growler

14/10/2009 à 12h47

en manuel tu as fait des tests d'exposition?

(par exemple à agrandissement 1:2 f24 puissance flash à 1/4
etc...)

le meilleur à mon avis c'est le Metz mais il faut pour cela avoir un boitier où il est possible de paramétrer le mode flash.


Photo pluton1b h9n4ea - Eugenol
pluton

14/10/2009 à 12h57

le Metz est bien aussi....mais le Sigma est super aussi...
j'avais hésité avec mon MR14...ce qui a fait penché la balance vers le Canon...c'est que j'avais un chèque réduction de folie...donc à quelques € près...c'était pareil...


P1010130 jpci1f - Eugenol
MarcB6

14/10/2009 à 13h19

Une petite question,

Est ce qu'avec le flash Sigma, je peux régler ma vitesse et mon diaph sur le boitier.
Laisser le flash en TTL régler lui même l'exposition et avoir une expo nickel.
Je travaillais de cette façon en argentique aucun souci d'expo.
Actuellement mon SB21 ne fonctionne pas en TTL donc flash sur manuel et D200 sur 1/250 et f/11 ou f/13 ou f/9 ...
C'est un peu plus fastidieux, car le flash travaille à pleine puissance à chaque fois.

Je voudrais ne plus avoir à toucher les réglages de diaph sur le boitier.

Merci pour vos réponses


--
marcB6


Blason dql7mj - Eugenol
growler

14/10/2009 à 14h30

avec mon Nikon D90 et le flash sigma j'ai un souci en TTL...à f32 rapport 1:1 je suis sous ex, si je mets le flash en manuel à pleine puissance avec la même ouverture et rapport 1:1 aussi alors l'exposition est correcte. Il semble donc qu'en mode ttl le flash ne donne pas toute sa puissance...je ne me l'explique pas. C'est pour çà que je m'étais tourné vers le flash Metz mais malheureusement le D90 ne permet pas de mettre le flash en mode slave.

bref, j'utilise à nouveau mon sigma en manuel (au dos du flash il y a des boutons de réglage de la puissance du flash 1 1/2 1/4 1/8 1/16 etc... et j'ai fait des essais d'expo aux divers agrandissement et diaph.

sur le SB21 tu n'as pas de réglage de puissance sur le flash en mode manuel?



Grueavatar nptrc9 - Eugenol
Le Choixpeau magique

14/10/2009 à 14h55

La macro dentaire pose quand même des problèmes au niveau de l'exposition: les sujets sont souvent très proches (surtout au grandissement 1), provoquant des reflets captés par la cellule qui ont tendance à faire se planter le calculateur d'expo (qui dépend de l'appareil et pas du flash).
Donc pour celui qui a posé la question, oui, tu peux laisser les paramètres diaph/vitesse fixes sur l'appareil photo et laisser la cellule se démerder... Mais il va falloir apporter quelques indices au calculateur. Pour les photos avec mirroir, je me met souvent à +1, pour les prises de teinte entre 0 et -0,7.
Le gros avantage du numérique c'est que tu peux toujours vérifier tout de suite ton exposition (et ta MAP !) et faire les corrections nécessaires.


dock

14/10/2009 à 23h07

growler écrivait:
-----------------
> avec mon Nikon D90 et le flash sigma j'ai un souci en TTL...
je m'étais tourné vers le flash Metz mais malheureusement le D90 ne permet pas de mettre le flash en mode slave.

Je croyais que tu avais un D80?
Tu devais me donner des nouvelles suite à ton dernier post ici : http://www.eugenol.com/sujets/385907-nikon-d60-quel-objectif-macro-et-quel-flash?page=1#post_446448

J'utilise le D90 et le Metz 15 ms-1 en TTL, sans aucun problème !!
Je t'en parlais sur ce même post : "Moi je l'utilise avec le Nikon D90 et Nikon 105 macro VR, ça marche très bien, c'est léger, et pas de fil qui se balade! Voila mes réglages :
- D90 : menu réglages perso > bracketing/flash > controle du flash intégré > mode controleur > canal : 1-CH
- Flash : Nikon, Ch1, GrA "


Blason dql7mj - Eugenol
growler

14/10/2009 à 23h16

oupss, au temps pour moi dock, c'est bien un D80 que j'ai et je n'ai jamais réussi à faire fonctionner le flash metz autrement qu'en manuel.
je ne suis jamais parvenu à acceder aux paramètres du flash integré !


P1010130 jpci1f - Eugenol
MarcB6

15/10/2009 à 00h11

growler écrivait:
-----------------
> sur le SB21 tu n'as pas de réglage de puissance sur le flash en mode manuel?

Jusqu'à présent je ne m'en était pas rendu compte puisque le réflecteur était sur TTL (1/16).

en fait ça a du bon d'avoir des problèmes car on remet tout en cause.

Je viens de m'apercevoir que sur le réflecteur, il y'a bien un réglage de puissance.

3 positions TTL (M: 1/16), M :1/4 et M Full.

Je commence à comprendre pourquoi je n'avais pas assez de puissance et ne pouvais pas afficher f22 ou F32.
J'étais limité en prise de vue normale arcades complètes à Iso 400 à F13, sinon sous ex.

Dès demain je fait de nouveaux tests en affichant 1/4 et pleine puissance et je noterais les résultats.

Merci à vous tous

Cordialement
--
marcB6


P1010130 jpci1f - Eugenol
MarcB6

15/10/2009 à 11h50

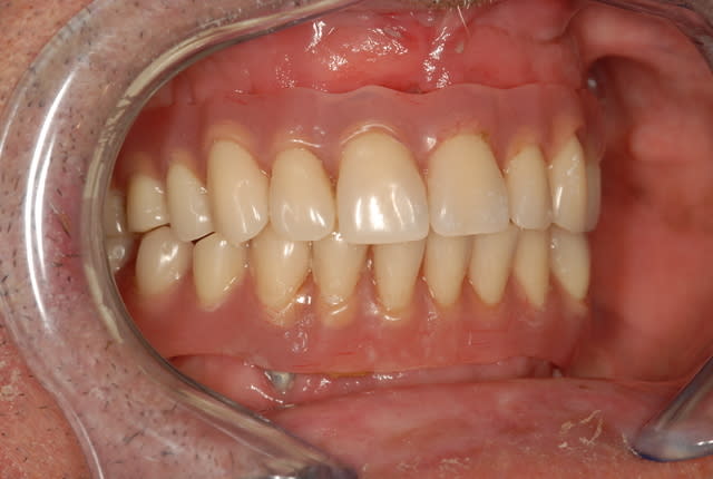
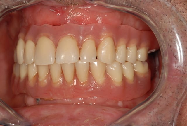
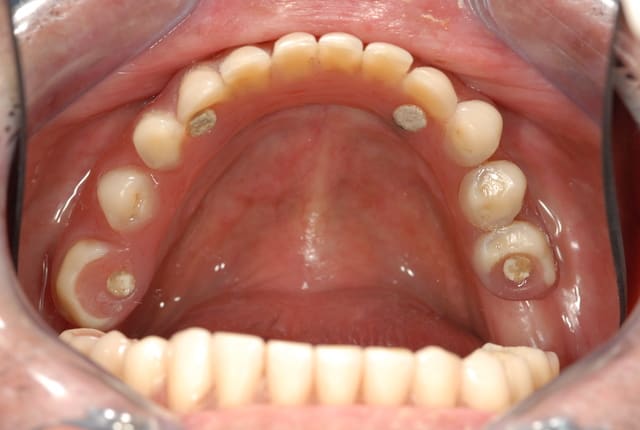
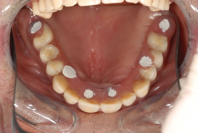
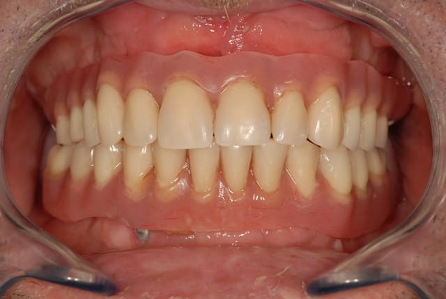
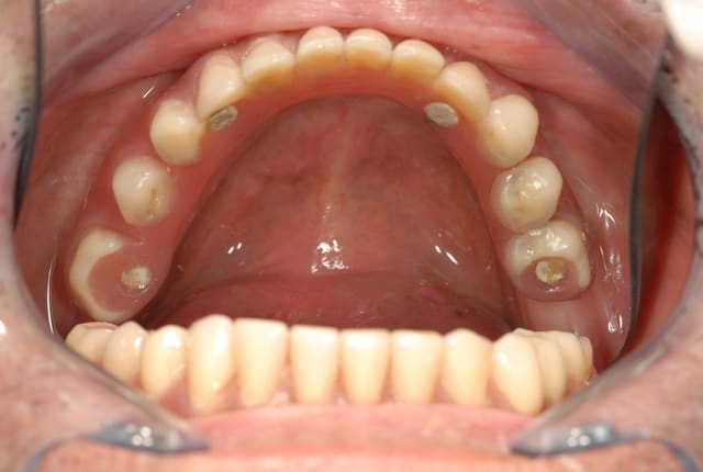
Voici les tests réalisés sur le premier patient de ce matin.

Contrôle All on 7 au maxillaire, All on 4 mandibulaire, MCE, 6 implants au max non utilisés pour la MCE, 1 implant en attente stabilité primaire inf à 30 Ncm.
2 Bridges provisoires vissés résine.

Résultats,
En affichant, puissance 1/4 sur le flash en mode manuel,
sur D200: iso 400, vit 1/200 , diaph 1/22 vue normale, 1/16 en occlusal, voici les résultats.

Merci de me dire si d'autres réglages sont nécessaires pour améliorer les couleurs...
Je sais qu'il y'a des confrères très pointus en photos sur le forum.

Merci pour vos conseils

Cordialement

--
marcB6

Dsc 0002 crle84 - Eugenol
Dsc 0003 qaqyba - Eugenol
Dsc 0006 gpzk70 - Eugenol
Dsc 0001 lj142z - Eugenol
Dsc 0004 ae5qy7 - Eugenol
Dsc 0007 pogoov - Eugenol
Dsc 0005 efw8gc - Eugenol

3f3boxni50k58rq7e9ce9ddqrxgk - Eugenol
dentiste57

15/10/2009 à 12h41

MarcB6 écrivait:
----------------
> Bonjour à tous,
>
> j'utilise un Nikon D200 avec un (ancien) flash Nikon SB 21.
>
> je travaille en mode manuel, mais je ne bénéficie plus de la TTL au flash.
>
> Je n'obtiens plus une exposition précise, sous ex, sur ex...
>
> Quel flash me conseillez vous.
>
> Merci d'avance.
>
> Cordialement
>
> --
> marcB6

je peux te revendre mon SB24


P1010130 jpci1f - Eugenol
MarcB6

15/10/2009 à 15h43

dentiste57 écrivait:
--------------------

> je peux te revendre mon SB24

J'en ai déjà un merci ..., il ne sert plus beaucoup.

je vois que l'on a acquis du matériel à la même période...


--
marcB6