Cookie Consent byPrivacyPolicies.comCas clinique - Eugenol

Cas clinique

55 s2ba7n - Eugenol
Sid

15/10/2009 à 01h34

Bonsoir,

Enfant de 12 ans
Toutes les 7 sur l'arcade
36 et 16 explosées (indication TR+IC+CCM)

Vous faites quoi?

Merci!


Smile beach jgh0a1 - Eugenol
Céramik

15/10/2009 à 03h18


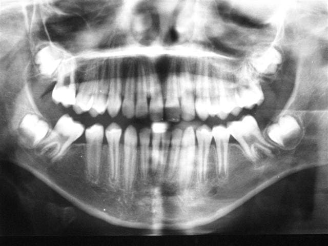
Pano ?
Photo ?
Exo + ortho ?
Implants ?

--
Céramik


Image odged8 - Eugenol
ploc

15/10/2009 à 05h18

pano?
les 8?
exo des 4 6 + ortho?
exo 36/16 + mainteneur + implants?

une chose sure:le plus mauvais choix= endo+ IC+ couronnes


Rorschachwhite tx6rqr - Eugenol
Candide Candida

15/10/2009 à 10h50

ploc écrivait:
--------------
>
>
> une chose sure:le plus mauvais choix= endo+ IC+ couronnes transitoires longues durée

Pourquoi ?

CC.


55 s2ba7n - Eugenol
Sid

15/10/2009 à 10h55

On ne peut pas considérer que les CCM sont des mainteneurs d'espace en attendant les implants? ;-)


Image odged8 - Eugenol
ploc

15/10/2009 à 14h29

Sid écrivait:
-------------
> On ne peut pas considérer que les CCM sont des mainteneurs d'espace en attendant> les implants? ;-)

on peut:)
en surveillant qu'il n'y ait pas d'infection apicale à bas bruit qui se termine par exo et perte osseuse importante au cours des années à venir

le pb est finalement le choix d'anticipation que l'on va faire pr le patient
à 12 ans,une endo +un IC(déjà fais une reconstitution collée au lieu d'un IC)+ une CCC montre une famille pr la quelle les mots "prevention et suivi" n'ont eu aucun sens pdt un certain nbre d'années
en admettant qu'il y ait une soudaine prise de conscience et que ste rita leur soit apparue,autant qu'il reparte sur des bases saines, exo des 6 et odf
l'argent consacré à la prothèse servira au traitement d'odf:ça c'est ton argument de vente pr le correspondant que tu auras bien sur choisi avec discernement pr ses competences et non sa proximité...


55 s2ba7n - Eugenol
Sid

16/10/2009 à 00h48

Merci. ;-)


Image odged8 - Eugenol
ploc

16/10/2009 à 17h14

pr apporter de l'eau au moulin de la non conservation des 6 cariées,necessitant TR

extraction des 6 à 9 ans(MIH sur les 6 detruites et 11/21 qui on été refaites en compos)
photos à 12

ce n'est pas parfait à la mandibule mais acceptable car le père n'a pas souhaité faire le ttt odf
à 12 ans il te faudra vraiment convaincre pr l'odf

Img 4834 aujhcp - Eugenol
Img 4832  small  rcfrsz - Eugenol
Img 4835  small  gyu6k3 - Eugenol
Img 0395  small  fzztte - Eugenol