Cookie Consent byPrivacyPolicies.comGuide biotech - Eugenol

Guide biotech

Uncmury6m4drs8ssni8vwnyrlbqu - Eugenol
curdents

20/10/2009 à 00h15

qui a assisté à la tournée du guide chirurgical 2inguis présenté par biotech ????


Uncmury6m4drs8ssni8vwnyrlbqu - Eugenol
curdents

21/10/2009 à 00h59

curdents écrivait:
------------------
> qui a assisté à la tournée du guide chirurgical 2inguis présenté par biotech
> ????

personne???


Uncmury6m4drs8ssni8vwnyrlbqu - Eugenol
curdents

21/10/2009 à 12h42

curdents écrivait:
------------------
> curdents écrivait:
> ------------------
> > qui a assisté à la tournée du guide chirurgical 2inguis présenté par biotech
> > ????
>
> personne???

0% des eugénoliens ont vu cette présentation ????


Logo vuaztn - Eugenol
mac

21/10/2009 à 14h27

si moi, pas mal mais c'est pas un guide biotech, mis aussi le commercialise.


Uncmury6m4drs8ssni8vwnyrlbqu - Eugenol
curdents

21/10/2009 à 18h20

mac écrivait:
-------------
> si moi, pas mal mais c'est pas un guide biotech, mis aussi le commercialise.

exact mac
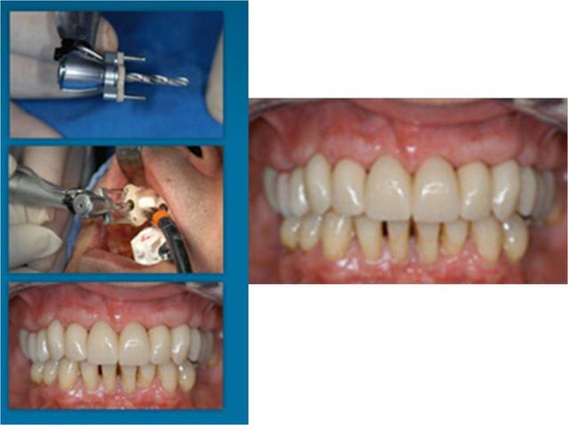
le commercial ta expliqué "avec cet ensemble en 45 mn tu aura ce jolie bridge " voir photo

Biotech 2inguis rrf4zl - Eugenol

Logo vuaztn - Eugenol
mac

21/10/2009 à 21h25

curdents écrivait:
------------------
> mac écrivait:
> -------------
> > si moi, pas mal mais c'est pas un guide biotech, mis aussi le commercialise.
>
> exact mac
> le commercial ta expliqué "avec cet ensemble en 45 mn tu aura ce jolie bridge "
> voir photo


oui j'ai déjà vu ce bridge.


Uncmury6m4drs8ssni8vwnyrlbqu - Eugenol
curdents

22/10/2009 à 00h12

mac écrivait:
-------------

> oui j'ai déjà vu ce bridge.

bonsoir mac,

je crois qu'ils n'ont que ce bridge à montrer
biotech le présente sans faire suivre une seule radio post-opératoire et explique que "avec le merveilleux truc à deux broches on peut faire des trous en toute sécurité"
j'ai juste l'impression d'avoir été pris pour un simplet par biotech puisque ce même bridge est présenté sur le site http://www.up2d.eu/fr/protocol_06.htm avec un autre système de forage.


Scan10030 ukikhq - Eugenol
vava

24/10/2009 à 00h01

ha biotech nous prendrait pour des con con


Dr.Quenotte

01/12/2009 à 16h10

vava écrivait:
--------------
> ha biotech nous prendrait pour des con con

Je ne pense pas que l'affaire vienne de Biotech même.
Par contre, ils présentent le même système que MIS: Un système belge... ce qui est bizarrement la même origine que la société Up2D d'où est extraite la photo. C'est plutôt de ce côté-là qu'il faudrait vérifier.


Scan10030 ukikhq - Eugenol
vava

04/12/2009 à 20h25

Dr.Quenotte écrivait:
---------------------

> Je ne pense pas que l'affaire vienne de Biotech même.
> Par contre, ils présentent le même système que MIS: Un système belge... ce qui
> est bizarrement la même origine que la société Up2D d'où est extraite la photo.
> C'est plutôt de ce côté-là qu'il faudrait vérifier.

alors biotech n'importe quoi!!!


Dr.Quenotte

07/12/2009 à 18h01

vava écrivait:
--------------
> Dr.Quenotte écrivait:
> ---------------------
>
> > Je ne pense pas que l'affaire vienne de Biotech même.
> > Par contre, ils présentent le même système que MIS: Un système belge... ce qui
> > est bizarrement la même origine que la société Up2D d'où est extraite la
> photo.
> > C'est plutôt de ce côté-là qu'il faudrait vérifier.
>
> alors biotech n'importe quoi!!!

Pourquoi n'importe quoi?
2 Ingis/Up2D c'est la même personne et donc la promotion d'un même système avec les mêmes images. je ne pense pas que Biotech, MIS ou autres marques qui travaillent, entre autres, avec ce système soient à côté de la plaque pour autant.
Enfin, on s'éloigne du sujet.


Uncmury6m4drs8ssni8vwnyrlbqu - Eugenol
curdents

12/12/2009 à 10h40

Dr.Quenotte écrivait:
---------------------

> > Dr.Quenotte écrivait:
> > ---------------------

> Pourquoi n'importe quoi?
> 2 Ingis/Up2D c'est la même personne et donc la promotion d'un même système avec
> les mêmes images. je ne pense pas que Biotech, MIS ou autres marques qui
> travaillent, entre autres, avec ce système soient à côté de la plaque pour
> autant.
> Enfin, on s'éloigne du sujet.
.
que la même personne présente deux systèmes différents ou complémentaires d'accord, mais présenter un bridge et faire croire qu'il est réalisé avec avec un guide chirurgical et que tu te rend compte que ce n'est pas celui utilisé, tu appelle ça comment?