Cookie Consent byPrivacyPolicies.comperi-implantite: tourne à gauche? - Eugenol

peri-implantite: tourne à gauche?

Logo vuaztn - Eugenol
mac

23/10/2009 à 09h13

pxav écrivait:
--------------

> Dans 20 ans tu feras la maintenance,


c'est sûr que vu l'antagoniste ils risquent pas grand chose tes 12 implants.


S2y2o1v7q53ws4r5wy6ou8czrpom - Eugenol
pxav

23/10/2009 à 09h37

mac écrivait:
-------------

> c'est sûr que vu l'antagoniste ils risquent pas grand chose tes 12 implants.

pour le moment c'est peut etre vrai, mais pour la premiere fois de sa vie le patient peut se servir de ses molaires et couper avec ses incisives, et apres un leger temps d'adaptation, personne n'a dit que le bas ne serait pas réhabilité.
mais ça ne va pas etre simple.
distraction, greffe, lames ramique ou PM?
--
xbk


nanarbm

23/10/2009 à 19h40

quelle est la hauteur d'os au dessus du nerf ? et quelle largeur ? as-tu un denta scan ? Il existe des implants de 6.5 mm de long (Leone) largeur 5mm. Sinon greffe osseuse.


gribouille

27/10/2009 à 13h58

j'ai un scan, la crête est étroite


Photo pluton1b h9n4ea - Eugenol
pluton

27/10/2009 à 14h56

envoies les images du scan...peut être une indication d'expansion...???


gribouille

27/10/2009 à 17h30

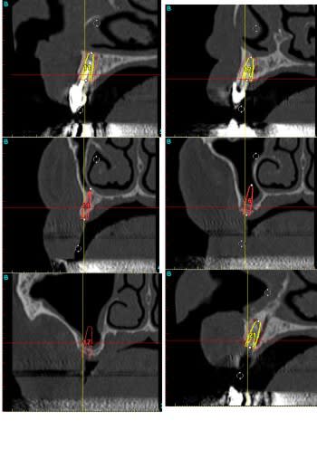
Mon scan de scan est nul. J'essaierai de le prendre en photo. En attendant, voilà:



Je précise qu'il y a aussi un implant en position 35. Les implants 44 et 35 portaient des BP jusqu'à maintenant.

Feyscan2b uhqfyy - Eugenol

Photo pluton1b h9n4ea - Eugenol
pluton

27/10/2009 à 18h14

en effet...on n'y vois pas grand chose...mais à mon avis une expansion est parfaitement réalisable...il m'est déjà arrivé d'implanter dans des zones beaucoup plus fines que çà...


S2y2o1v7q53ws4r5wy6ou8czrpom - Eugenol
pxav

27/10/2009 à 20h03

gribouille écrivait:
--------------------
> Mon scan de scan est nul. J'essaierai de le prendre en photo. En attendant,
> voilà:
>
>
>
> Je précise qu'il y a aussi un implant en position 35. Les implants 44 et 35
> portaient des BP jusqu'à maintenant.

magnifique cas d'expansion. (bone splitting)
pour les scan tu dois avoir un disque c'est plus simple que les photos.
--
xbk


gribouille

03/11/2009 à 15h46

Voici le scan:

Feyimg 8735 c2cykn - Eugenol
Feyimg 8733 kvghzr - Eugenol
Feyimg 8734 fc50c4 - Eugenol

Photo pluton1b h9n4ea - Eugenol
pluton

03/11/2009 à 16h01

dommage qu'on voit pas ce qu'il y a dans les coupes 50/60...

sinon, c'est une autoroute....là un "all on" 5 ou 6 implants...çà le ferait bien...;-))


gribouille

03/11/2009 à 16h44

Voilà voilà

Feyimg 8742 sgd7sv - Eugenol

Photo pluton1b h9n4ea - Eugenol
pluton

03/11/2009 à 17h44

je confirme...autoroute...

j'aimerais bien en avoir des comme çà tous les jours à mon cab...;-))

tu poses les implants gribouille???
si oui...fais une étude pré-prothétique et implantaire à posit...et là c'est sur du velours...


S2y2o1v7q53ws4r5wy6ou8czrpom - Eugenol
pxav

03/11/2009 à 18h59


je ne vois pas ça comme un boulevard.
si j'ai bien compris il y a déja eu 1 implant avec perimplantite.
je n'ai pas une vision d'un os en parfaite santé, mais le scan n'est pas suffisant, le bilan bio donne quoi?
age, sexe, fumeur?
antagoniste?
et que désire le patient?
--
xbk


Photo pluton1b h9n4ea - Eugenol
pluton

03/11/2009 à 23h49

heu...j'ai peut être pas très bien chaussé mes lunettes pxav...mais les repères sous les coupes...si on s'en réfère à la mesure de référence donnée tout à droite de la dernière planche de scan( "règle" de 10cm)...semblent être des repères de plan de coupe de 2mm...
mis à part dans la zone des incisives où là c'est plus étroit (normal)...à partir des canines, on a des crêtes d'au moins 6/8 mm minimun....
peut être que gribouille pourrait confirmer...mais si c'est le cas...je sais pas ce qu'il te faut pour planter....

par contre, d'accord avec toi pour la qualité, ou santé osseuse...il faut peut-être être assez prudent sur ce cas


S2y2o1v7q53ws4r5wy6ou8czrpom - Eugenol
pxav

04/11/2009 à 08h44

pluton écrivait:
----------------

> par contre, d'accord avec toi pour la qualité, ou santé osseuse...il faut
> peut-être être assez prudent sur ce cas

Merci de tes précisions millimétrique, mais si la qualité n'est pas au RDV, à quoi sert la quantité?
Même doclyonnaise sera de cet avis.
je ne dis pas non plus que c'est un cas infaisable.
--
xbk


Photo pluton1b h9n4ea - Eugenol
pluton

04/11/2009 à 10h10

on est bien d'accord...;-))

mais dire qu'on a pas de place...là c'est abuser...j'aimerais bien avoir des patients avec autant de volume osseux...;-))


S2y2o1v7q53ws4r5wy6ou8czrpom - Eugenol
pxav

10/11/2009 à 22h05

MarcB6 écrivait:
----------------
> pxav écrivait:
> --------------
> > Bien sur dans certains cas la tranquillité parait "lourde", mais je n'ai pas
> de
> > problème de sommeil avec un cas comme ça: 4x3 avec 4 barres.
> > Dans 20 ans tu feras la maintenance, moi je serais sur la riviera (ou sous les
> > pissenlits)
> > xbk
> Salut Pxav,

> J'ai l'impression que c'est du sur-traitement,
> 12 implants pour proposer au patient une prothèse sur barre, ça me paraît un peu
> beaucoup tout de même, non ?
> C'est juste mon avis, tu avais peut être de bonnes raisons, mais j'avoue, j'ai
> du mal à comprendre.
> Cordialement
> --
> marcB6

et l'ami Growler:

+1 marcB6

ça me chagrine un peu puisque je vous prends pour des "bons"!
alors je vous adresse le scan et vous me dites si compte tenu de l'occlusion et sans greffe vous auriez fait moins?
--

--
xbk

Vk1 u5ulfa - Eugenol
Vk2 dvyxdc - Eugenol

P1010130 jpci1f - Eugenol
MarcB6

10/11/2009 à 23h00

pxav écrivait:
--------------

> ça me chagrine un peu puisque je vous prends pour des "bons"!
> alors je vous adresse le scan et vous me dites si compte tenu de l'occlusion et
> sans greffe vous auriez fait moins?
> --

Moi aussi je te prends pour un "bon" Pxav, c'est bien pour ça que j'avais ajouté sur mon post, souviens toi, "tu as sûrement tes raisons."

Et bien les voilà tes raisons, Scan abominable et pas d'os du tout.
Je savais bien qu'il devait y avoir un truc.

C'est déjà un bel exploit, Pxav, d'avoir pu lui poser des implants sans greffe, bravo.

Et bien voilà j'ai la réponse à mes interrogations, merci Pxav

Cordialement
--
marcB6


S2y2o1v7q53ws4r5wy6ou8czrpom - Eugenol
pxav

10/11/2009 à 23h30

MarcB6 écrivait:
----------------

> Et bien les voilà tes raisons, Scan abominable et pas d'os du tout.
> Je savais bien qu'il devait y avoir un truc.
>
> C'est déjà un bel exploit, Pxav, d'avoir pu lui poser des implants sans greffe,
> bravo.
>
> Et bien voilà j'ai la réponse à mes interrogations, merci Pxav
>
> Cordialement
> --
> marcB6

ouf, merci!

c'est le gros souci quand nous montrons quelque chose, le parcours est souvent incomplet.
bien sur 12 implants c'est énorme pour un complet amovo-inamovible.
mais quelle galère, en reallité je crois me souvenir (je n'ai pas la fiche) avoir utilisé 15 implants (3 "reprises")
mais en regardant le scan, suite à votre remarque, et parce que je prépare ma présentation du 17/12, je pense qu'il fallait ça.



--
xbk


Blason dql7mj - Eugenol
growler

10/11/2009 à 23h41

vu le scan, j'aurais pas été capable sans greffes.


@+


S2y2o1v7q53ws4r5wy6ou8czrpom - Eugenol
pxav

10/11/2009 à 23h47

growler écrivait:
-----------------
> vu le scan, j'aurais pas été capable sans greffes.
>
>
> @+

merci.
je n'ai pas tout vu de ton dernier cas (vidéo future) mais il me semble que c'est un peu le même cas que celui que j'ai filmé (je n'ai pas le temps de monter le film) et toi tu as greffé, là où j'ai expansé.
deux options differentes, mais je l'éspere deux résultats équivalents.
ce qui prouve que la vérité n'appartient à personne, ou à tous.
--
xbk


Blason dql7mj - Eugenol
growler

10/11/2009 à 23h53

montage brut de pomme que je viens de terminer, pas encore les sous-titres ni les transitions ni la bande son, mais bon çà se regarde:

http://www.dailymotion.com/video/xb3ruy_greffe-onlay-et-comblement_tech


(la greffe c'est un bloc cortico-spongieux de chez Biobank car le patient, d'un naturel anxieux, ne tenait pas à ce que je fasse un prélèvement ramique)

@++


S2y2o1v7q53ws4r5wy6ou8czrpom - Eugenol
pxav

11/11/2009 à 08h51

growler écrivait:
-----------------
> montage brut de pomme que je viens de terminer, pas encore les sous-titres ni
> les transitions ni la bande son, mais bon çà se regarde:

ça se regarde et même tres bien.
tres bon travail!

je ne ferais aucun commentaire, sur la greffe, qui m'a l'air parfaitement gérée, si tu le permets une simple vue de "spectateur" entraine quelques petits aménagements qui te permettrons d'avoir un résultats parfait:

1-l'aspiration est je le pense basée sur ton systeme non chirurgie et en plus d'etre tres bruyante, elle risque, de par le volume d'air aspiré, de "sécher" ton site. Une aspi chir avec canule tres fine me semblerait préférable.

2-champs troué bien placé, mais essaye les optragates ( ou ecarte bouche de kerr je crois) et tu auras un confort de travail bien supérieur, ainsi que ton assistante.

3- avec quoi filme tu, et comment la caméra est elle tenue?
encore félicitations pour ton travail et le montage vidéo, qui je le sais trop est mangeur de temps,c'est vraiment grace à des exemples comme ça que demain sera mieux qu'hier.

--
xbk


12