Cookie Consent byPrivacyPolicies.comJolie Kyste!!!!! - Eugenol

Jolie Kyste!!!!!

vince34

20/10/2009 à 17h16

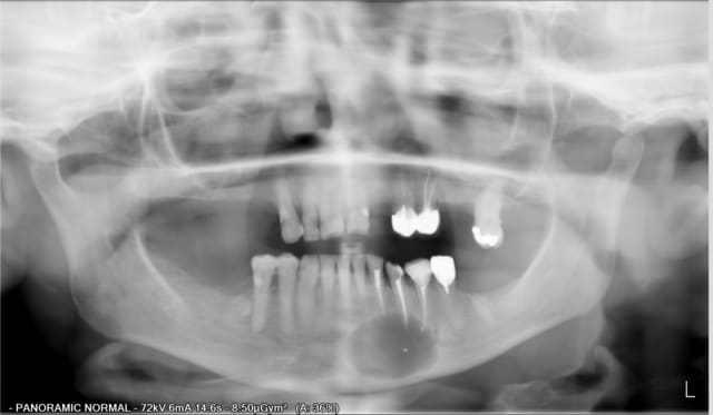
Petit cas qui permet de sortir de l'ordinaire.
Exérése d'un Kyste d'origine dentaire aprés avoir repris les endo sur 32/33/34.
Comblement avec du B-TCP et membrane vicryl.
Maintenant on attend l'analyse et voir si la patiente n'est pas encore anesthésiée!!!!

10343023 tag64n - Eugenol
10343019 thzzjq - Eugenol
Photos cabinet dentaire 019 pfjo77 - Eugenol
Photos cabinet dentaire 028 vbqhzh - Eugenol
Photos cabinet dentaire 037 uuwxos - Eugenol
Photos cabinet dentaire 038 nuybfd - Eugenol
Photos cabinet dentaire 043 ayryf4 - Eugenol

3f3boxni50k58rq7e9ce9ddqrxgk - Eugenol
dentiste57

20/10/2009 à 17h27

belle chir, ça fait toujours plaisir!

petite questions:

sur la première photo on voit un tricot de vicryl ou bien, compresse pour faire marsupialisation ?

la proximité du mentonier? pas de problème majeur ? y avait il déjà compression de V3 ?


Humator t9r5wy - Eugenol
humator

20/10/2009 à 17h56

effectivement, très beau cas! super photos!

--
N.Hum


S2y2o1v7q53ws4r5wy6ou8czrpom - Eugenol
pxav

20/10/2009 à 22h17

humator écrivait:
-----------------
> effectivement, très beau cas! super photos!
>
> --
> N.Hum

+ 1
j'ai toujours du mal à combler en immediat,mais sinon c'est
top

--
xbk


Kon nx3ojp - Eugenol
Kon

20/10/2009 à 22h29

je me pose 3 questions:
L'acte a été effectué sous anesthésie locale?
Kyste d'origine dentaire mais pas de résultats d'analyse ?
Y a t-il vraiment un intérêt à faire un comblement?

Merci :)


Image001 e0kg9q - Eugenol
clemsdent

20/10/2009 à 23h42

tres beau.
c'est du quotidien pour toi ou exceptionnel?

si c'est du quotidien, comment tu facture un acte comme cela?

a+


vince34

21/10/2009 à 01h00

Pour répondre aux questions:
- acte fait sous anesthésie locale sans problème.
- pour le V3, j'avais fait un scanner,la corticale était refoulé et le kyste était sans contact direct avec le canal.
- kyste asymptomatique de découverte fortuite.
- acte pas courant, mais parfois il faut savoir se lancer.
- pour la tarification, pas de tarification, car la patiente était CMU et je l'ai fait plus pour me faire plaisir. j'ai pas du tout regardé le cout de l'acte.


Blason dql7mj - Eugenol
growler

21/10/2009 à 01h34

voilà qui montre que le titre de Chirurgien-Dentiste n'est pas usurpé.


3f3boxni50k58rq7e9ce9ddqrxgk - Eugenol
dentiste57

21/10/2009 à 01h48

growler écrivait:
-----------------
> voilà qui montre que le titre de Chirurgien-Dentiste n'est pas usurpé.
>

+1

il n'y a rien qui m'énerve plus que les chirurgiens- dentiste qui sont uniquement faiseur de couronnes.
d'un autre coté ça laisse du boulot pour ceux qui aiment la chir....


Canin

21/10/2009 à 21h25

tu as quand même compté un DC 50 j'espère ?

--
Canin


vince34

22/10/2009 à 00h10

Je savais pas trop quoi coter.
Donc j'ai une resection apicale (DC24), une freinectomie/2 (DC5) et un curetage étendu 2 dents (DC je sais plus combien).

C'est un peu limite mais bon.

DC 50 correspond à quoi?


Canin

25/10/2009 à 12h36


désolé j'ai pas vu la réponse, le DC 50 = éxérèse d'une lésion étendue des maxillaires.

je te mets en pièce jointe la partie dentaire de la NGAP tu verras les actes chir sont page 10 je crois

ce n'est pas la dernière version mais bon ça n'a pas changé depuis il me semble


--
Canin


3f3boxni50k58rq7e9ce9ddqrxgk - Eugenol
dentiste57

25/10/2009 à 13h03

ce qui et amusant dans cette nomenclature à deux balles, c'est quel'éxerèse du kyste (DC15) comprends également l'extraction de la dent DC16

on marche vraiment sur la tête !

si je devais faire, je proposerai acte HN ou avec ED ou bien je fais pas et j'envoie à l'hôpital histoire de creuser un peu plus le trou de la sécu (dans ces cas là , c'est jouissif d'envoyer faire des actes qui coûteront plus cher au contribuables)

l'avis de chir-dent conseils ??


Smile beach jgh0a1 - Eugenol
Céramik

25/10/2009 à 15h06

Canin écrivait:
---------------
> tu as quand même compté un DC 50 j'espère ?
>
> --
> Canin


Et c'est combien un DC 50 ?
Cette chirurgie vaut au moins 1500 euros.
Joli travail.


--
Céramik


Canin

25/10/2009 à 15h11

je pensais d'abord qu'il l'avait gratos pour rendre service au patient.

J'ai répondu simplement sur le mode NGAP. Après, je suis bien d'accord sur la misère de la rétribution de l'acte par rapport à l'effot du praticien.

Si j'étais payé à hauteur de 1500 euros pour ce genre de chir je pense que je m'installe demain comme exclusif


Pour D57, faire du HN là-dessus, en principe non puisque l'acte est bel et bien répetorié.

D'ailleurs avec la CCAM qui nous concernera peut-être un jour, plus aucun acte ou presque le HN n'existera presque plus mais NR (non remboursable) puisque ils ont essayé de répertorié à peu près tout ce qui se fait dans la pratique.
--
Canin


Smile beach jgh0a1 - Eugenol
Céramik

25/10/2009 à 15h15

C'est combien DC 50 ?


--
Céramik


Blason dql7mj - Eugenol
growler

25/10/2009 à 15h40

Céramik écrivait:
-----------------
> C'est combien DC 50 ?
>
>
> --
> Céramik


tu vas pleurer (pour nous) ceramik, DC 50 c'est un tout petit peu plus que 100 euros.


Smile beach jgh0a1 - Eugenol
Céramik

25/10/2009 à 15h43

Putain, et qui paye le bio-mat ?


--
Céramik


200106 10150128247663588 709988587 6466236 5598391 n d7mksb - Eugenol
hallboy

25/10/2009 à 15h48

;))

Vince ;)

Je suis serieux.

Il s'est fait plaisir, là.


Canin

25/10/2009 à 16h06

le biomat peut être payé à part en HN après le devis biensûr.

--
Canin


am2roz

27/10/2009 à 12h52

question
quand est ce qu'on obligé de combler?


Canin

27/10/2009 à 22h29

qunad on veut éviter l'effrondement et qu'on veut implanter ensuite ou quand on veut éviter une cica fibreuse si on arrive pas à réappliquer la muqueuse avec du périoste.

sinon c'est pas utile

--
Canin


am2roz

28/10/2009 à 20h57

mais comment évaluer le risque de cicatrisation fibreus?
pardon vous étes chirurgien dentiste?


01 ukhwbq - Eugenol
Bobby

28/10/2009 à 21h09

Va falloir apprendre à écrire le français correctement avant de polluer le fil...


Smile beach jgh0a1 - Eugenol
Céramik

28/10/2009 à 22h08

Canin écrivait:
---------------
> qunad on veut éviter l'effrondement et qu'on veut implanter ensuite ou quand on
> veut éviter une cica fibreuse si on arrive pas à réappliquer la muqueuse avec du
> périoste.
>
> sinon c'est pas utile
>
> --
> Canin

Il y a aussi question de volume.
Si volume énorme (comme le cas présenté), combler l'espace fait du sens. La création d'os est plus souhaitable qu'une guérison fibreuse. Il y a aussi le support des dents situées à proximité. Le risque de fracture osseuse est un autre facteur.


--
Céramik


12