Cookie Consent byPrivacyPolicies.comS.I.A.O avec EASYIMPLANT - Eugenol
Utilisateur banni

31/10/2009 à 20h49

Etude en vue d'une extraction implantation pour la réalisation d'un bridge transvissé sur implants master-L.
Votre avis
posit

Coupe scanner extraction implantation gvpad3 - Eugenol

Blason dql7mj - Eugenol
growler

31/10/2009 à 20h53

qu'est ce que tu veux qu'on te dise?


Img 8465 fqhxid - Eugenol
noahaxeltiger-olivier

31/10/2009 à 21h00

Faut peut-être arrêter de jouer avec dame nature !!!
Compte tenu de l'ampleur des lésions periapicales, l'implantation immediate est dans ce cas contre indiquée.


Utilisateur banni

31/10/2009 à 21h42

Complément d'information.
posit

Coupe scanner extraction implantation 2 j6hj8m - Eugenol

Utilisateur banni

31/10/2009 à 21h54

suite

Coupe scanner extraction implantation 3 zifl2c - Eugenol

Utilisateur banni

31/10/2009 à 22h23

Extraction virtuelle du bridge et des racines.
Reconstitution du projet prothétique à partir du volume de l'ancienne prothèse et de l'adjonction de 37/36/46/47
posit

01 s.i.a - Eugenol
02 s.i.a - Eugenol
03 s.i.a - Eugenol

Utilisateur banni

31/10/2009 à 22h48

Vue d'ensemble du projet prothétique et implantaire.
posit

08 s.i.a - Eugenol
05 s.i.a - Eugenol
06 s.i.a - Eugenol
07 s.i.a - Eugenol

Utilisateur banni

31/10/2009 à 22h53

rapport entre les implants, le N.A.I et l'artère sublinguale.
posit

13 s.i.a - Eugenol
09 s.i.a - Eugenol
10 s.i.a - Eugenol
11 s.i.a - Eugenol
12 s.i.a - Eugenol

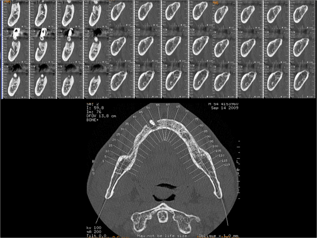
Utilisateur banni

31/10/2009 à 23h20

Détails en coupes.
posit

21 s.i.a - Eugenol
14 s.i.a - Eugenol
15 s.i.a - Eugenol
16 s.i.a - Eugenol
17 s.i.a - Eugenol
18 s.i.a - Eugenol
19 s.i.a - Eugenol
20 s.i.a - Eugenol

Marsu n7qyqe - Eugenol
kaol

01/11/2009 à 00h40

pourquoi ne pas mettre 5 implants entre les foramen mentonniers ( 1 central, 2 en avant des foramen et 1 entre l'implant central et distal de chaque côté) ?


Marsu n7qyqe - Eugenol
kaol

01/11/2009 à 00h41

ou all on 4 ?


Smile beach jgh0a1 - Eugenol
Céramik

01/11/2009 à 01h44

Ben parce qu'il y a en pas mal en postérieur, aussi, il y a des défauts osseux. Pour en placer 5, un nivellement important de la crête en verticale serait requis.


Ceci dit, je place souvent 5 entres les foramens, en applanissement la crête. Mais souvent, il n'y a pas des place en postérieur, ici semble que oui, avec un total de 8 implants.

Question : c'est quoi au maxillaire ? Des implants ?


J'aime bien les images.

Merci

--
Céramik


Utilisateur banni

01/11/2009 à 07h11

Céramik écrivait:
-----------------

> Question : c'est quoi au maxillaire ? Des implants ?

Image1 thqy6r - Eugenol

S2y2o1v7q53ws4r5wy6ou8czrpom - Eugenol
pxav

01/11/2009 à 10h47

posit écrivait:
---------------
> Céramik écrivait:
> -----------------
>
> > Question : c'est quoi au maxillaire ? Des implants ?

tu as retrouvé un de mes premiers juxta osseux?
--
xbk


S2y2o1v7q53ws4r5wy6ou8czrpom - Eugenol
pxav

01/11/2009 à 10h51

noahaxeltiger-olivier écrivait:
-------------------------------
> Faut peut-être arrêter de jouer avec dame nature !!!
> Compte tenu de l'ampleur des lésions periapicales, l'implantation immediate est
> dans ce cas contre indiquée.

hier j'étais d'accord avec toi, mais le projet est plus implantation après extraction (pas dans les sites d'extract)
donc assez interessant, non?
--
xbk


Photo pluton1b h9n4ea - Eugenol
pluton

01/11/2009 à 12h11

+1....le concept à l'air de tenir la route...


Img 8465 fqhxid - Eugenol
noahaxeltiger-olivier

01/11/2009 à 12h12

Je trouve l'étude préimplantaire de Posit très intéressante et ses reconstructions 3D sont comme d'habitude très parlantes.
Je ne reproche rien à la qualité de son travail.
Je veux juste soulever la présence de ces lésions apicales qui sont TRES étendues. Il y a lésions apicales et LESIONS APICALES. Celles là n'ont rien à voir avec les lésions apicales que Lindeboom (2006) avaient dans le matériel de son étude sur l'implantation immédiate dans des sites présentant des lésion périapicales.
Même si l'implantation ne se fait pas dans les alvéoles infectées, l'implantation en est tout de même très voisine. Il y a-t-il un de vous sur ce forum qui peut m'assurer que le tissus osseux souffrant d'une activité inflammatoire ne se cantonne qu'en périphérie de la dite lésion apicale ?

Il y a de nombreuses approches et philosophies différentes en implantologie et surtout en ce qui concerne l'implantation immediate.
Ma philosophie est de réhabiliter mon patient implanto-prothétiquement avec une technique reproductible et pour cela de minimiser au maximun les risques pouvant contrarier la cictarisation et donc le pronostic du traitement à long terme.

En ce qui ME concerne dans un cas pareil avec des lésions apicales de cette ampleur, c'est extraction, attente de cicatrisation pdt au minimum 2 mois et installation implantaire.
Le patient ne veut pas de prothèse amovible : aucun problème les implants provisoires existent et peuvent être installés en même temps que les extractions.
Après 2 mois, le contexte gingivale et osseux est assaini et le cas peut être géré de manière implantaire conventionnelle avec l'étude de posit.

Amicalement
Olivier


Marsu n7qyqe - Eugenol
kaol

01/11/2009 à 17h05

Céramik écrivait:
-----------------
> Ben parce qu'il y a en pas mal en postérieur, aussi, il y a des défauts osseux.
> Pour en placer 5, un nivellement important de la crête en verticale serait
> requis.
>
>
> Ceci dit, je place souvent 5 entres les foramens, en applanissement la crête.
> Mais souvent, il n'y a pas des place en postérieur, ici semble que oui, avec un
> total de 8 implants.
>
> Question : c'est quoi au maxillaire ? Des implants ?
>
>
> J'aime bien les images.
>
> Merci
>
> --
> Céramik



mais pourquoi mettre 8 implants alors que 5 suffisent largement. Aujourdhui tout le monde sait que 5 implants pour un complet mandibulaire ça tient la route.
C'est pourquoi je pense que dans cette situation, j'aurais fais une bonne régularisation de crete osseuses entre les foramens puis placer 4 ou 5 implants.

A moins que le patient souhaite avoir des 7 mandibulaires, mais vu le bridge initial, je pense qu'il se pourrait qu'il se contente de 12 dents uniquement.


Fresh watermelon 640x562 udulqz - Eugenol
gulguch

01/11/2009 à 17h27

Si vous voulez mettre 8 implants, ok, mais alors, fractionnez. En mesial de 46 au moins.


S2y2o1v7q53ws4r5wy6ou8czrpom - Eugenol
pxav

01/11/2009 à 17h38

noahaxeltiger-olivier écrivait:
-------------------------------
> Je trouve l'étude préimplantaire de Posit très intéressante et ses
> reconstructions 3D sont comme d'habitude très parlantes.

> Même si l'implantation ne se fait pas dans les alvéoles infectées,
> l'implantation en est tout de même très voisine. Il y a-t-il un de vous sur ce
> forum qui peut m'assurer que le tissus osseux souffrant d'une activité
> inflammatoire ne se cantonne qu'en périphérie de la dite lésion apicale ?

> Après 2 mois, le contexte gingivale et osseux est assaini et le cas peut être
> géré de manière implantaire conventionnelle avec l'étude de posit.
>
> Amicalement
> Olivier

je suis d'accord avec toi Olivier, je disais juste que l'etude etait interessante,pas que je ferais le cas.

--
xbk


Smile beach jgh0a1 - Eugenol
Céramik

01/11/2009 à 17h45

Je ne suis pas contre les 5 implants, j'en fais souvent.

Dans ce cas précis, on peut faire plusieurs plan de tx valables.

Moi, j'aurais enlevé les dents, nivellé, (peut-être laisser guérir vu les lésions), placer 4 au centre et 1 de chaque côté, pour un total de 6. Mais placer 8 pourquoi pas ?
Placer 4, un peu juste non ?

Ben il y a en qui font 2 implants + locators...
ou même pas d'implant...

Le but ici est de voir la planif en 3D, pas de critiquer un plan contre un autre.


--
Céramik


Marsu n7qyqe - Eugenol
kaol

01/11/2009 à 19h43

il demande notre avis sur le cas non ?
ou alors je n'ai rien compris.
S'il en disait plus sur ce qu'il veut vraiment savoir plutôt que nous balancer toutes ces jolies image 3D.


Marsu n7qyqe - Eugenol
kaol

01/11/2009 à 19h46

et puis 2 implants + locators c'est hors sujet, me semble t'il ?


Logo vuaztn - Eugenol
mac

01/11/2009 à 20h10

Céramik écrivait:
-----------------

> Placer 4, un peu juste non ?
>


la littérature montre pas de différence significative entre 4, 5 et 6 implants entre les trous mentonniers.


Smile beach jgh0a1 - Eugenol
Céramik

01/11/2009 à 20h17

kaol écrivait:
--------------
> mais pourquoi mettre 8 implants alors que 5 suffisent largement. Aujourdhui tout
> le monde sait que 5 implants pour un complet mandibulaire ça tient la route.
> C'est pourquoi je pense que dans cette situation, j'aurais fais une bonne
> régularisation de crete osseuses entre les foramens puis placer 4 ou 5 implants.
>
> A moins que le patient souhaite avoir des 7 mandibulaires, mais vu le bridge
> initial, je pense qu'il se pourrait qu'il se contente de 12 dents uniquement.
>


On peut discuter des plan de tx, mais tu semble avoir position que plus que 5 implants c'est trop.

Je dis que 5 c'est OK, mais plus que 5, pourquoi pas.
All-on-four, et bien je suis contre, voilà, sutout pour du transvissé. T'as pas besoin d'être d'accord, c'est un forum, pas une religion.


--
Céramik


12