Cookie Consent byPrivacyPolicies.comComblement post extraction - Eugenol

Comblement post extraction

Img 0812 mvp6i0 - Eugenol
jeamba

04/11/2009 à 21h03

Est ce qu'on peut extraire, attendre quelques jours la maturation des tissus mous et revenir sur le site afin de combler et protéger par une membrane, profitant ainsi de pouvoir fermer hermétiquement le site.Si oui, combien de jours peut-on attendre.
Merci pour la réponse.J'espère avoir une réponse également d'olivier qui se fait rare et qui manque.


Blason dql7mj - Eugenol
growler

04/11/2009 à 23h38

çà dépend aussi de la raison de l'extraction


Smile beach jgh0a1 - Eugenol
Céramik

04/11/2009 à 23h54

Je ne suis pas Olivier...mais réponse oui !

Mais souvent c'est possible de faire en même temps : comblement et extraction.

Aussi parfois aucun comblement n'est requis...

Ça dépend bcp du cas clinique.

--
Céramik


3f3boxni50k58rq7e9ce9ddqrxgk - Eugenol
dentiste57

05/11/2009 à 00h39

rien ne t'en empêche, mais bon, revenir 15 jours aprés sur un site d'extraction pour y coller de la poudre de perlimpinpin...


Img 8465 fqhxid - Eugenol
noahaxeltiger-olivier

05/11/2009 à 00h48

jeamba écrivait:
----------------
> Est ce qu'on peut extraire, attendre quelques jours la maturation des tissus
> mous et revenir sur le site afin de combler et protéger par une membrane,
> profitant ainsi de pouvoir fermer hermétiquement le site.
> Si oui, combien de jours peut-on attendre.

Tout à fait jeamba. Comme tu le dit très justement il n'est pas facile de pouvoir recouvrir la membrane recouvrant ton comblement à moins de :
1- faire un lambeau tracté coronairement (ce qui bride le vestibule et est préjudiciable au niveau antérieur)
2- ou bien faire un conjonctif enfoui (ou pédiculé palatin pour le maxillaire).
Une autre alternative est comme tu le dis d'extraire, d'attendre une cicatrisation des tissus mous (2 à 4 semaines) avant de passer au comblement.

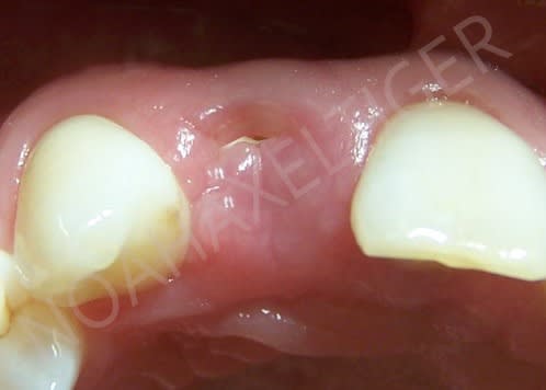
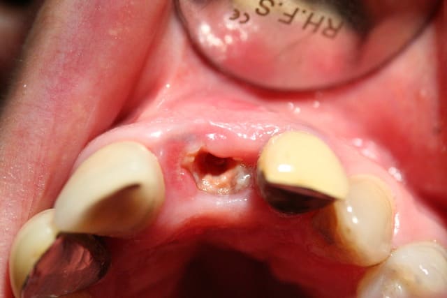
J'ai également trouvé une autre alternative dont je n'ai vu personne d'autre utiliser. Comme vous êtes sympas je vous fait part de ce petit truc utile: prenons l'exemple présenté sur le photos ci jointe où une 22 fracturée doit être extraite. Le principe que j'ai mis au point est de meuler la 22 de facon à enfouir la racine à un niveau sous gingival, quaisiment juxta osseux et d'attendre quelques semaines avant de passer à l'extraction. Cela à pour conséquence un recouvrement radiculaire par les tissus gingivaux. Une fois la racine enfouie, je n'ai plus qu'à ouvrir, extraire au periotome, faire mon comblement si besoin, placer ma membrane et suturer mon lambeau sans avoir à le tracter, ou presque.

> J'espère avoir une réponse également d'olivier qui se fait rare et qui manque.

Je suis comme chacun de vous pas mal occupé et des fois vraiment pas mal occupé. Mais j'essaie d'être là quand je le peux.

Amicalement
Olivier.

102 2886 fkpitz - Eugenol
103 4673 tqrywe - Eugenol

macfrancis

05/11/2009 à 01h58

ça dépend ce que tu cherches, si tu désires conserver le volume des tissus mous en secteur esthétique, (je pense qu'olivier l'a déjà décrite)
il y a la technique de Jung :

http://www.fmdental.pl/artykuly/16.pdf
http://www.cm-france.com/approche%20esthetique.html

et après si besoin tu peux faire de la reconstruction osseuse dans des bonnes conditions.


Smile beach jgh0a1 - Eugenol
Céramik

05/11/2009 à 02h11

Olivier, ton truc est sympa, mais la dent doit avoir une endo, non ? et pas trop moche.

Et que fais-tu comme tempo dans le cas montré ?




Merci


--
Céramik


3f3boxni50k58rq7e9ce9ddqrxgk - Eugenol
dentiste57

05/11/2009 à 08h26

ahyé !
maintenant tu en vois un !

Img 0767 bsnv5y - Eugenol

S2y2o1v7q53ws4r5wy6ou8czrpom - Eugenol
pxav

05/11/2009 à 08h37

dentiste57 écrivait:
--------------------
> rien ne t'en empêche, mais bon, revenir 15 jours aprés sur un site d'extraction
> pour y coller de la poudre de perlimpinpin...

voila quelqu'un qui est déçu de ses biomat?
--
xbk


S2y2o1v7q53ws4r5wy6ou8czrpom - Eugenol
pxav

05/11/2009 à 08h46

noahaxeltiger-olivier écrivait:
-------------------------------
>
>
> Je suis comme chacun de vous pas mal occupé et des fois vraiment pas mal occupé.
> Mais j'essaie d'être là quand je le peux.
>
> Amicalement
> Olivier.

et bla et bla et blabla!

Stop Olivier avec tes trucs de pros il ne va plus y avoir besoin d'expansion!

je sens que je vais etre au chomage.

génial ton truc, je vais gagner du temps pour les urgences:
"non pas d'avulsion ce jour ce n'est pas bon pour votre gencive"....
sans rire génial de simplicité
comme d'ab merci.
--
xbk


Img 0812 mvp6i0 - Eugenol
jeamba

05/11/2009 à 09h16

Merci à vous tous et excusez ma maladresse si j'ai "caressé" la susceptibilité de certains pour qui j'ai autant de respect, de reconnaissance et d'admiration(céramik, pxav, growler......)


Img 8465 fqhxid - Eugenol
noahaxeltiger-olivier

05/11/2009 à 11h53

Céramik écrivait:
-----------------
> Olivier, ton truc est sympa, mais la dent doit avoir une
> endo, non ? et pas trop moche.

C'est clair et la finesse est que tu factures une nouvelle endo avant d'extraire la dent !!! .... Mais non je rigole !!
Tu peux faire un alésage rapide et mettre un hydroxide de calcium si la dent était vitale.
Dans tous les cas la racine est conservée que pour une période de 2 à 4 semaines.

> Et que fais-tu comme tempo dans le cas montré ?

J'ai conservé la couronne de la 22 que j'avais séparé de la racine et je l'ai collé aux dents adjacentes. Facile et rapide, il faut juste penser à ne pas comprimer la gencive avec le provisoire.

@+


Smile beach jgh0a1 - Eugenol
Céramik

05/11/2009 à 13h50

noahaxeltiger-olivier écrivait:
-------------------------------
>
> C'est clair et la finesse est que tu factures une nouvelle endo avant d'extraire
> la dent !!! .... Mais non je rigole !!


Ben non,pourquoi pas !


> Tu peux faire un alésage rapide et mettre un hydroxide de calcium si la dent
> était vitale.


Bon OK, facture une 1/2 endo...



> Dans tous les cas la racine est conservée que pour une période de 2 à 4 semaines.

> > Et que fais-tu comme tempo dans le cas montré ?
>
> J'ai conservé la couronne de la 22 que j'avais séparé de la racine et je l'ai
> collé aux dents adjacentes. Facile et rapide, il faut juste penser à ne pas
> comprimer la gencive avec le provisoire.
>
> @+


Bon Ok, je fais ça aussi, si l'occlusion est OK, ça fonctionne très bien.

Merci






--
Céramik


Fresh watermelon 640x562 udulqz - Eugenol
gulguch

05/11/2009 à 15h06

macfrancis écrivait:
--------------------
> ça dépend ce que tu cherches, si tu désires conserver le volume des tissus mous
> en secteur esthétique, (je pense qu'olivier l'a déjà décrite)
> il y a la technique de Jung :
>
> http://www.fmdental.pl/artykuly/16.pdf
> http://www.cm-france.com/approche%20esthetique.html
>
> et après si besoin tu peux faire de la reconstruction osseuse dans des bonnes
> conditions.

Merci, connaissais pas, il sagit donc d'un bio-col + un punch d'origine palatine.
D'ou ma question: est-ce que le résultat est supérieur à la simple bio-col, pour ceux qui l'on pratiqué?
2/ Si on fait ça pour une molaire, a t'on des nécroses du greffon, vu la surface?


rene

05/11/2009 à 15h51

si tu regardes bien la video de gardella
tu vois des points en soie noire sur les cotés

donc il ne te montre pas tout

je pense qu'il a enfoui un conjonctif epais avant et qu'il recouvre apres avec les punchs


macfrancis

05/11/2009 à 16h40

Les points de soie c'est pour positionner en apical "l'apex" du greffon, il faut bien peler à la fraise les bords de l'alvéole pour irriguer ton greffon,
jamais fait pour une molaire car c'est pour un apport esthétique essentiellement mais ça doit fonctionner,
tu as plusieurs diamètre pour le punch en fonction de l'alvéole.

http://www.praxiline.com/advanced_search_result.php?search_in_description=1&keywords=punch&categories_id=80&inc_subcat=0


Fresh watermelon 640x562 udulqz - Eugenol
gulguch

05/11/2009 à 17h25

Merci, et pour l'adresse aussi.


trimarc

06/11/2009 à 00h06

noahaxeltiger-olivier écrivait:
-------------------------------
>> J'ai également trouvé une autre alternative dont je n'ai vu personne d'autre
> utiliser. Comme vous êtes sympas je vous fait part de ce petit truc utile:
> prenons l'exemple présenté sur le photos ci jointe où une 22 fracturée doit être
> extraite. Le principe que j'ai mis au point est de meuler la 22 de facon à
> enfouir la racine à un niveau sous gingival, quaisiment juxta osseux et
> d'attendre quelques semaines avant de passer à l'extraction. Cela à pour
> conséquence un recouvrement radiculaire par les tissus gingivaux. Une fois la
> racine enfouie, je n'ai plus qu'à ouvrir, extraire au periotome, faire mon
> comblement si besoin, placer ma membrane et suturer mon lambeau sans avoir à le
> tracter, ou presque.

petite variante pour olivier:
tu peux commencer à mobiliser la dent, sans l'extraire, et ensuite tu continues ton protocole.
le très gros avantage: tu as crée une inflammation et tu ne mettras que 15" pour extraire la dent la prochaine fois


christelle c

06/11/2009 à 07h52

gulguch écrivait:
-----------------
> macfrancis écrivait:
> --------------------
> > ça dépend ce que tu cherches, si tu désires conserver le volume des tissus
> mous
> > en secteur esthétique, (je pense qu'olivier l'a déjà décrite)
> > il y a la technique de Jung :
> >
> > http://www.fmdental.pl/artykuly/16.pdf
> > http://www.cm-france.com/approche%20esthetique.html
> >
> > et après si besoin tu peux faire de la reconstruction osseuse dans des bonnes
> > conditions.
>
> Merci, connaissais pas, il sagit donc d'un bio-col + un punch d'origine
> palatine.
> D'ou ma question: est-ce que le résultat est supérieur à la simple bio-col,
> pour ceux qui l'on pratiqué?
> 2/ Si on fait ça pour une molaire, a t'on des nécroses du greffon, vu la
> surface?

Bonjour,
Une autre question : au niveau esthétique la gencive palatine ne fait elle pas un effet rustine (couleur un peu différente)comme dans les greffes palatines utilisées pour les récessions gingivales ?


killer

06/11/2009 à 15h53

noahaxeltiger-olivier écrivait:
-------------------------------
> jeamba écrivait:
> ----------------
> > Est ce qu'on peut extraire, attendre quelques jours la maturation des tissus
> > mous et revenir sur le site afin de combler et protéger par une membrane,
> > profitant ainsi de pouvoir fermer hermétiquement le site.
> > Si oui, combien de jours peut-on attendre.
>
> Tout à fait jeamba. Comme tu le dit très justement il n'est pas facile de
> pouvoir recouvrir la membrane recouvrant ton comblement à moins de :
> 1- faire un lambeau tracté coronairement (ce qui bride le vestibule et est
> préjudiciable au niveau antérieur)
> 2- ou bien faire un conjonctif enfoui (ou pédiculé palatin pour le maxillaire).
> Une autre alternative est comme tu le dis d'extraire, d'attendre une
> cicatrisation des tissus mous (2 à 4 semaines) avant de passer au comblement.
>
> J'ai également trouvé une autre alternative dont je n'ai vu personne d'autre
> utiliser. Comme vous êtes sympas je vous fait part de ce petit truc utile:
> prenons l'exemple présenté sur le photos ci jointe où une 22 fracturée doit être
> extraite. Le principe que j'ai mis au point est de meuler la 22 de facon à
> enfouir la racine à un niveau sous gingival, quaisiment juxta osseux et
> d'attendre quelques semaines avant de passer à l'extraction. Cela à pour
> conséquence un recouvrement radiculaire par les tissus gingivaux. Une fois la
> racine enfouie, je n'ai plus qu'à ouvrir, extraire au periotome, faire mon
> comblement si besoin, placer ma membrane et suturer mon lambeau sans avoir à le
> tracter, ou presque.
>
> > J'espère avoir une réponse également d'olivier qui se fait rare et qui manque.
>
> Je suis comme chacun de vous pas mal occupé et des fois vraiment pas mal occupé.
> Mais j'essaie d'être là quand je le peux.
>
> Amicalement
> Olivier.
Desolé mais le principe que tu as mis au point a ete decrit par Langer en 1994: Spontaneous in situ gingival augmentation. Int J Periodontics Restorative Dent 1994; 14:525-36. La guérison des tissus mous couvrant se déroule plus vite si la dent est tout de suite extraite et que l'alvéole cicatrise ensuite 6 à 8 semaines. En plus, dans ce cas, aucune perte osseuse importante n'est attendue, puisque la resorption de l'os dans les deux premiers mois après une extraction montre seulement une faible dynamique. L'extraction immediate doit donc etre préferée à l'augmentation gingivale spontanée pour un gain maximal de tissu mou et un minimum de perte osseuse au niveau de l'alvéole d'extraction


Blason dql7mj - Eugenol
growler

06/11/2009 à 16h37

Olivier n'a pas dit qu'il avait mis au point cette technique, mais qu'il l'utilisait.


Img 8465 fqhxid - Eugenol
noahaxeltiger-olivier

06/11/2009 à 16h44

killer écrivait:
----------------
> Desolé mais le principe que tu as mis au point a ete decrit
> par Langer en 1994: Spontaneous in situ gingival
> augmentation. Int J Periodontics Restorative Dent1994;
> 14:525-36.

Et mince moi qui pensais pouvoir mettre mon nom sur cette technique. Zut ... je peux faire un trait sur mes royalties !!! ;-)))
Dans tous les cas merci killer pour cette référence que j'avais râté.


> En plus, dans ce cas, aucune perte osseuse importante
> n'est attendue, puisque la resorption de l'os dans les
> deux premiers mois après une extraction montre seulement
> une faible dynamique.

Par contre là je ne suis pas d'accord avec toi. Je te laisse voir les travaux de Araújo et Lindhe sur ce sujet.

> L'extraction immediate doit donc etre préferée à
> l'augmentation gingivale spontanée pour un gain maximal de
> tissu mou et un minimum de perte osseuse au niveau de
> l'alvéole d'extraction

A voir.


macfrancis

07/11/2009 à 01h38

> Bonjour,
> Une autre question : au niveau esthétique la gencive palatine ne fait elle pas
> un effet rustine (couleur un peu différente)comme dans les greffes palatines
> utilisées pour les récessions gingivales ?

légèrement mais :
- ça diminue avec le temps
- c'est une petite surface de GK par rapport à l'apport de conjonctif


> Par contre là je ne suis pas d'accord avec toi. Je te laisse voir les travaux de Araújo et Lindhe sur ce sujet.

+1
dés les premiers jours il y a une grosse dynamique
en 2 mois il y a une perte de 2,2 mm d'os en vestibulaire , en 4 mois c'est 56 % de l'os vestibulaire de l'alvéole qui a disparu,


Smile beach jgh0a1 - Eugenol
Céramik

07/11/2009 à 03h05

Sujet proche du fil...

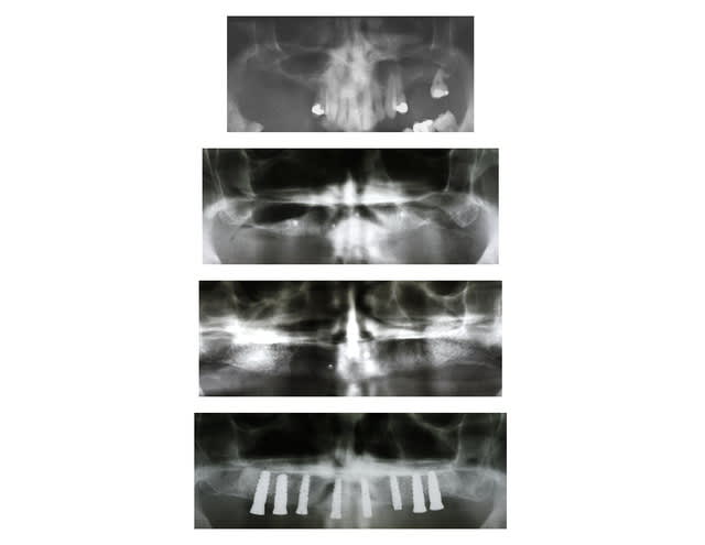
Exo du haut + complet immédiat (mars 2009)
Comblement sinus bi-lat (mai 2009)
Pose de 8 implants (avec guide Simplant)(4 nov 2009)


--
Céramik

Haut 8 wcbvt7 - Eugenol
Pr  op n0u6hr - Eugenol
Haut  avant apr s  oivklw - Eugenol

killer

07/11/2009 à 11h26

noahaxeltiger-olivier écrivait:
-------------------------------
.
>
>
> > En plus, dans ce cas, aucune perte osseuse importante
> > n'est attendue, puisque la resorption de l'os dans les
> > deux premiers mois après une extraction montre seulement
> > une faible dynamique.
>
> Par contre là je ne suis pas d'accord avec toi. Je te laisse voir les travaux de
> Araújo et Lindhe sur ce sujet.
>
> .Tu parles de l'article là: Cardarapoli G, Araujo M, Lindhe J. Dynamics of bone tissue formation in tooth extraction sites. An experimental study in dogs. J Clin Periodontol 2003;30:809-18


12