Cookie Consent byPrivacyPolicies.comICON - Eugenol
eric357

11/11/2009 à 14h47

juste pour savoir il est MCU temps plein ou temps partiel?

Ceci étant il est fort probable que les journaleux aient augmenté le côté "senssasssss" du truc. Ils sont trés forts pour ça. S'il estime que ses propos ont été déformés ou tronqués, il pourra toujours faire valoir son droit de réponse. Puisqu'il ne s'agit en plus que d'une fois....


Marque a3 orange fyvhyq - Eugenol
Marc Apap

11/11/2009 à 14h56

Il a un cabinet à Paris. Je ne suis pas sûr qu'il soit fondamental de porter cela sur la place publique. Il n'y a que nous que ça intéresse. Dans une semaine, tout sera oublié.


Marque a3 orange fyvhyq - Eugenol
Marc Apap

11/11/2009 à 15h08

ploc écrivait:
--------------

> les soins aux CMU,pas chers,faits de compromis pr rendre service, c'est du
> social,nuance! (zut marc,ns ne sommes déjà plus d'accord:)

Pour ce que coûte et prend comme temps de mettre un peu de Duraphat entre toutes les dents (5 minutes), on peut le faire gratuitement aux CMU.
C'est du social et prendre 50 ou 70 euros pour ça, j'appelle ça du vol.
Faire croire que la prévention, c'est un truc vachement compliqué que l'on ne peut facturer qu'en HN à 100 ou 200 € la séance, pour moi c'est insupportable.


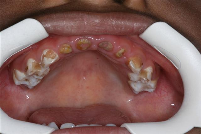
Image odged8 - Eugenol
ploc

11/11/2009 à 15h31

Marc Apap écrivait:
-------------------
>
> Pour ce que coûte et prend comme temps de mettre un peu de Duraphat entre toutes> les dents (5 minutes), on peut le faire gratuitement aux CMU.

gratuitement?
non une C comme pr les autres,il n'y a pas de raison!

mais le social dt je parlais s'adressait aux soins et prothèses et non à la prevention
evidemment qu'il faut faire de la prevention et de l'enseignement d'hygiène,CMU ou pas
c'est encore plus en amont,par les pediatres,les crèches et les assistantes maternelles,dès la naissance,les explications sur les mefaits du biberon ou de l'allaitement trop prolongé
malheureusement ce n'est pas fait et qd ils arrivent à 3 ans ils st comme la photo jointe

> C'est du social et prendre 50 ou 70 euros pour ça, j'appelle ça du vol.
> Faire croire que la prévention, c'est un truc vachement compliqué que l'on ne> peut facturer qu'en HN à 100 ou 200 € la séance, pour moi c'est insupportable.

les choses ne st pas blanches ou noires,tu ne le sais pas encore?
et si la prevention pr toi se resume à 5 mn de duraphat,tu as un peu faux
la prevention surtout ds les premières seances,c'est du temps sous facturé
le duraphat?
pr certains ce peut être gratuit ou une C remboursée
pr d'autres ce sera HN(variable):c'est ce qu'on appelle l'intelligence du portefeuille qui comme chacun sait est efficace:certains patients en ont "besoin"(comme pr une therapie,il faut que cela coûte pr les faire se sentir "bon parent"...)
la prevention c'est aussi un abord psy tant de l'enfant que du parent et dc encore du temps
sinon cela ne fonctionne qu'à 50% des resultats que tu peux escompter par rapport aux efforts que tu fais:mais j'ai mis 20 ans à m'en rendre compte
perso,ce qui m'interesse est le resultat que j'obtiens

mais parfois je me plante relationnellement comme tout un chacun et adresse ds ce cas "essayez avec mon confrère X" que je sais competent avec les enfants et que je previens par tel de mon abord et de mon eche cpr qu'il en choisise un autre

pr le reste du CA heureusement il ya la prothèse:)

Img 0967  small  lbix5u - Eugenol

Grueavatar nptrc9 - Eugenol
Le Choixpeau magique

11/11/2009 à 16h21

ploc écrivait:
--------------
> pr le reste du CA heureusement il ya la prothèse:)

70 euros pour 5 minutes de traitement c'est du vol, alors que 840 pour une heure de prothèse c'est vertueux... Pourtant le taux horaire est le même...

Pour ICON, comme vous je m'étonne qu'on lance un produit dans le commerce avant qu'il est été vraiment testé (mais c'est de plus en plus courant). Par contre, je ne comprend pas que vous rejetiez comme ça en bloc le produit alors que vous ne le connaissez pas, pas plus au niveau de son fonctionnement précis que des les résultats qu'on peux en attendre (moi non plus). En fait, les dentistes sont très conservateurs, mais pas dans le bon sens du mot...


Rorschachwhite tx6rqr - Eugenol
Candide Candida

11/11/2009 à 17h39

Le Choixpeau magique écrivait:
------------------------------
> ploc écrivait:
> --------------
> > pr le reste du CA heureusement il ya la prothèse:)
>
> 70 euros pour 5 minutes de traitement c'est du vol, alors que 840 pour une heure
> de prothèse c'est vertueux... Pourtant le taux horaire est le même...
>

Trés bonne remarque, mais pour le patient, le grand public, le journaliste à 15 de QI et Michel Cymes, ce ne sera jamais la même chose.

Une couronne tu "vends" quelque chose, tu "repares", tu "embellis", c'est du concret, du palpable !

Les soins de prévention c'est du vent, ça ne se voit pas (cf la méthode de Keyes : inefficace cliniquement mais efficace parce que support de prescription et de soin, tu dirais la même chose en prescrivant BaD/dentifrice la compliance chuterait dramatiquement), tu gères un risque, dans l'esprit du patient s'il attend la carie potentielle cela lui coutera au final moins cher : prise en charge totale ...


> Pour ICON, comme vous je m'étonne qu'on lance un produit dans le commerce avant
> qu'il est été vraiment testé (mais c'est de plus en plus courant).


C'est une blague ?

Cela fait au moins 15 ans que c'est comme cela, vous avez la mémoire courte : l'Ariston, le Dyract, etc...


> Par contre, je ne comprend pas que vous rejetiez comme ça en bloc le produit alors que vous
> ne le connaissez pas, pas plus au niveau de son fonctionnement précis que des
> les résultats qu'on peux en attendre (moi non plus). En fait, les dentistes sont
> très conservateurs, mais pas dans le bon sens du mot...

Donc tu es d'accord pour tester un produit sur tes patients avec zéro étude indépendante, zéro recul clinique, juste pour faire "moderne", dans ce cas là achète le, ne le fait pas payer aux patients, fait des photos un suivit sur 3 ans et publie :-)

Dans l'attente de ton article ;-)

Et je n'ai rien contre l'Icon, ce serait tartempion ou trucmuche ce serait pareil, si ça se trouve c'est un excellent produit, je trouve juste plus prudent avant d'investir d'être sûr de son intérêt clinique.

CC.


eric357

11/11/2009 à 19h06

Non en effet cela ne vaut même pas le prix du papier... mais bon ils sont franchement pénibles...

Marc Apap écrivait:
-------------------
> Il a un cabinet à Paris. Je ne suis pas sûr qu'il soit fondamental de porter
> cela sur la place publique. Il n'y a que nous que ça intéresse. Dans une
> semaine, tout sera oublié.


Grueavatar nptrc9 - Eugenol
Le Choixpeau magique

11/11/2009 à 19h12

Candide Candida écrivait:
-------------------------
> Une couronne tu "vends" quelque chose, tu "repares", tu "embellis", c'est du
> concret, du palpable !

Le gros problème, c'est que c'est dans la tête de la majorité des praticiens.
La CNSD est un syndicat très représentatif.


> Donc tu es d'accord pour tester un produit sur tes patients avec zéro étude
> indépendante, zéro recul clinique, juste pour faire "moderne", dans ce cas là
> achète le, ne le fait pas payer aux patients, fait des photos un suivit sur 3
> ans et publie :-)

Je me suis mal fait comprendre. Comme toi, je vais attendre qu'il y ait du recul pour l'utiliser.
Ce que je regrette, c'est que dans cette file la plupart des intervenants disent en gros "c'est de la merde", alors qu'ils n'en savent rien.
Moi un nouveau produit avec un nouveau concept, je trouve ça excitant. Ce qui n'empêche pas de rester prudent.


Marque a3 orange fyvhyq - Eugenol
Marc Apap

11/11/2009 à 19h52

Holà ! D'abord, je confirme et suis d'accord avec CC, car le prix de ce qu'on achète, c'est ce qu'on pense que ça vaut. Je viens de faire les courses dans un centre commercial : selon la marque, le prix de quasi le même pull est facturé du simple au double.
Pour le reste, je n'ai pas dit que l'ICON est de la merde. Je dis que le protocole est compliqué, et que l'application demande du temps.
Je m'interroge sur l'efficacité du produit, en comparaison avec un traitement plus facile, plus rapide et moins coûteux.
Il me semble qu'en médecine, comme dans bien d'autres domaines, il n'est pas idiot de rechercher à obtenir le meilleur résultat possible en déployant le minimum d'efforts. La nature le fait bien, je ne vois pas pourquoi chercher à en faire autant serait inconvenant.

Pour Ploc : je ne parlais pas de cas dramatiques comme celui que tu as présenté. Naturellement, cela sort du cadre de l'entretien courant.


Rorschachwhite tx6rqr - Eugenol
Candide Candida

11/11/2009 à 19h54


>
> Je me suis mal fait comprendre. Comme toi, je vais attendre qu'il y ait du recul
> pour l'utiliser.
> Ce que je regrette, c'est que dans cette file la plupart des intervenants disent
> en gros "c'est de la merde", alors qu'ils n'en savent rien.
> Moi un nouveau produit avec un nouveau concept, je trouve ça excitant. Ce qui
> n'empêche pas de rester prudent.

100% d'accord avec toi.

Je crois que cette méfiance découle également de pas mal de déconvenue de produits présentés avec enthousiasme et trompettes par l'industrie, et qui se sont avérés de sacré flop...

CC.


Image odged8 - Eugenol
ploc

12/11/2009 à 06h58

pr marc,ce n'est pas un cas dramatique c'est mon quotidien du jeudi:)

les produits dependent bc de la manière où on les utilise et des applications
les commerciaux les presentent tjours comme le nouveau miracle therapeutique,c'est leur boulot
le nôtre est d'en faire bon usage,au bon endroit,ds la bon contexte
j'ai revu recemment un ariston posé sur une 5 temporaire à 4 ans, et tjours en place à 9 ans et pourtant le produit a été bc décrié :perso je l'ai bc aimé,l'ai trouvé bien plus fiable que du fuji 9 mais n'ai jamais eu l'idée de le mettre sur une permanente,tout comme d'autres CVI,leur coef d'usure ne le permet pas


dc pas plus d'infos que ça sur l'icon :il a certainement un interêt ds notre arsenal therapeutique:le tout etant de le connaitre et de ne pas vouloir lui en demander plus qu'il ne peut apporter(maxime applicable ds ts les domaines)


Krakinette

25/02/2010 à 21h46

Je remonte car ma grand mère m'a mis sous le nez un magnifique article "scientifique" de Femme Act***** assez fabuleux. J'ai un peu de temps pour vous en faire profiter..
Si ce n'est pas Lourdes ça y ressemble fortement -_-

"Fini la roulette pour les caries

Soigner un début de carie sans passer par la fraise, c'est désormais possible grâce à la technologie Icon (R). Cette toute nouvelle résine liquide, mise au point en Allemagne, est en effet capable de s'infiltrer dans l'émail lédsé et de le "vitrifier". Elle offre ainsi, pour la première fois, une alternative au traditionnel plombage, qui consiste, lui, à creuser une cavité autour de la carie puis à colmater le trou, plus grand que celui d'origine, avec des matériaux d'obturation. Avec Icon c'est fini...

Le secret du traitement, une nouvelle résine

Le procédé, qui ne dure guère plus de 15min, est simple et sans douleur. Il ne nécéssite ni piqure ni fraisage dentaire. Le dentiste pose directement Icon sur la carie. La résine pénètre alors dans la lésion et , grace à ses caractéristiques adhésives, scelle les pores de l'émail bloquant sa déminéralisation et la diffusion des acides cariogènes et des bactéries. Une fois posée sur la dent, la résine est stabilisée à l'aide d'une lumière spéciale.

De multiples avantages

Ce produit permet non seulement d'arrêter l'évolution de la carie avant qu'elle n'ait atteint trop profondément la dentine, mais elle améliore aussi immédiatement l'aspect esthétique de la dent. Les résultats sont visibles tout de suite après la séance. Les taches disparaisent et la dent reprend un aspect normal, l'état de surface de l'émail ressemblant à celui d'une dent saine. Cette technique permet également de prolonger la vie des dents car leur intégrité n'est pas affectée. Seul bémol : elle ne marche que pour les caries débutantes, localisées, et ne peut donc pas traiter les caries vraiment avancées. Considéré comme un soin préventif, ce traitement dont le prix tourne autour de 75€ par carie, n'est aujourd'hui pas remboursé par la Sécurité Sociale."


12