Cookie Consent byPrivacyPolicies.comJ'ai vraiment besoin de votre aide - Eugenol

J'ai vraiment besoin de votre aide

marc

06/11/2009 à 14h45

Bonjour,

Je fais appel aux eugénoliens pour essayer de trouver la solution aux problèmes d'un patient ou je suis complètement perdu.
L'histoire est assez ancienne et compliquée et je vais essayer de la résumer en plusieurs étapes.

Etape 1:
traitement endo réalisé en 2002 sur une 17 suite à pulpite liée à une carie sous un amalgame.
difficulté pour trouver le canal dv.
constatation d'un problème à la radio post-op que j'ai pris pour un resorption interne.
surveillance proposée.
pas de suspicion de lien entre problèmes généraux du patient (voir document word en pièce jointe) et problème dentaire
surveillance conseillée

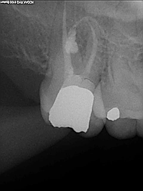
Post op 2002 ku9crh - Eugenol
Pr op 2002 jamn97 - Eugenol
Cones 2002 npmcmg - Eugenol
Limes 2002 j4arvp - Eugenol

marc

06/11/2009 à 14h50

Etape 2 :

patient souffre de nombreux problèmes (voir doc word pièce jointe)

Le lien avec la dent est de plus en plus préssenti.
Je le revois 2 fois entre 2002 et 2007 et rien d'anormal sur la 17 (sondage, percussion, palpation apicale..)
Descision en 2007 de reprendre le traitement car signes cliniques important apparaissent sur 17.
Je m'apercçois que ce que je croyais bêtement être une résorption est en fait une perfo et que le canal dv n'est toujours pas nettoyé et obturé.
On tente le retraitement.
je trouve le dv.
Je nettoye et obture la perfo au MTA.

Post op rte   mta 2007 j9n6jh - Eugenol
Suite rte 2007 whlmoe - Eugenol
2007 controle nesbuw - Eugenol
Cone rte 2007 rtspif - Eugenol
Debut rte 2007 udyghw - Eugenol

marc

06/11/2009 à 14h53

Etape 3 :
aucune amélioration au niveau signes cliniques et signes généraux.
On tente de cureter et nettoyer la lésion pour éliminer le dépassement de gutta, sans trop y croire.
Sensation que la lésion est bien plus grosse que prévu pendant l'inervention.
Je referme et programme l'extraction.

Post op curetage 2007 oexrsw - Eugenol
Avant curetage 2007 nzawfq - Eugenol

marc

06/11/2009 à 15h02

Etape 4 :
extraction de la dent.
Signes cliniques, disparaissent et signes généraux s'améliorent.

Etape 5:
En 2008, malgré l'absence de la dent, la situation est toujours un calvaire pour le patient (voir doc word en pièce jointe)

Mes questions :
- Il semble que ses signes généraux aient un lien avec la présence de cette infection ? Pourquoi le patient souffre il encore alors qu'il n'y a plus de problème en bouche?
- A qui adresser ce patient ? quel spécialiste est capable de l'aider? il en a tellement déjà visité qu'il est complètement démoralisé.

J'ai une partie de responsabilité dans cette affaire : perfo, délai de descision pour extraire.. que puis je faire pour l'aider car sa vie est foutue en l'air à cause de tout ça (vie sociale, vie de couple...)
Relisez le document suivi médical pour vous rendre compte de l'enfer que vit ce pauvre patient (il a 33 ans)
J'en ai déjà parlé à pas mal de monde et je ne sais pas quoi conseiller au patient.
Merci si vous avez des suggestions.

Controle 2008 tqeajs - Eugenol
Post extraction 2007 odxyv7 - Eugenol

Rape p0as4f - Eugenol
rapelapente

06/11/2009 à 15h48

Tu sembles avoir fait ton job, et plutôt bien. Qui n'a jamais fait de perfo ???? Tu as retraité puis extrait suite à la persistance des signes locaux, Ok!Todo bem!
Je crains que tous les soucis qu'a ton patient n'aient rien à voir avec sa molaire, tout simplement. Ne te sens ni responsable ni coupable...


Fouilla h6plsy - Eugenol
fouilla

06/11/2009 à 15h49

2 pistes :

1) amibien es tu là ?
2) centre antidouleur le plus proche + suivi psy


baroud69

06/11/2009 à 15h51

Hum alors là je suis un peu pantois...

Quelques petites questions subsidiaires (navré i je suis redondant sur certaines qui tu as du déjà te poser):

le patient a t il d'autres dents traitées (allergie ?),

les douleurs "musculaires" ont elles réellement commencées avec le traitement de la 17 ?

Les kinés qui l'ont vu ont-ils des connaissances appronfondies en ostéopathie ?

Le patient fait-il un sport particulier ? Quelles sont ses conditions de travail ? pas de problèmes personnels durant cette périodes (somatisation ?).

Effectivement la réponse ne saute pas aux yeux....


Image19 iebot6 - Eugenol
athos

06/11/2009 à 16h30


si tu cherches une relation avec la dent la perf est moins la cause qu'une éventuelle infection.
Dans cette symptomatologie qui part dans tous les sens et dans tout ce tableau, il semble que les seuls moments de rémission aient été
l'incision
l'avulsion
la prescription d'atb

pourquoi d'ailleurs le choix de cet atb (rosefine plus amox)? y a t il eu un antibiogramme? la prise de sang faisait elle suspecter une infection?


marc

06/11/2009 à 16h34

baroud69 écrivait:
------------------
> Hum alors là je suis un peu pantois...
>
> Quelques petites questions subsidiaires (navré i je suis redondant sur certaines
> qui tu as du déjà te poser):
>
> le patient a t il d'autres dents traitées (allergie ?),
>
> les douleurs "musculaires" ont elles réellement commencées avec le traitement de
> la 17 ?
>
> Les kinés qui l'ont vu ont-ils des connaissances appronfondies en ostéopathie ?
>
> Le patient fait-il un sport particulier ? Quelles sont ses conditions de travail
> ? pas de problèmes personnels durant cette périodes (somatisation ?).
>
> Effectivement la réponse ne saute pas aux yeux....

Aucune autre dent dépulpée; que des petits soins par ci par là.
difficile de savoir si les douleurs musculaires ont commencées aprés le traitement. C'est pas si sur car il m'avait parlé de tenditines depuis un bon moment.
Je n'ai pas d'avis sur les compétences des kinés.
Le patient est pompier volontaire.
problèmes de couple : rupture puis mariage avec nouvelle femme, et ça se passe pas si bien que ça a priori.


vesparo

06/11/2009 à 16h42

penser aux courants galavniques et les mesurer
remplacer tout ce qui est metallique amalg. tenons acier...
discussion avec le stomato ,donc élargir la recherche.


Canin

06/11/2009 à 17h27

à part le docteur House, il n'existe aucun spécialiste pour ce genre de cas, même dans les centres anti-douleurs, ils ont malheuresement pas toujours de solution miracle.

Cela dit, vu la chronicité des symptômes et la longue durée d'évolution il y a indication pour un demande d'avis un tel centre, il en existe en principe au moins un dans chaque région, renseigne toi bien.

Fais à ce moment là un courrier pour son généraliste en lui suggérant ce centre et fournit toutes les infos dentaires utiles avec les types de traitements, les dates... pour que le centre anti-douleur fasse le tri ensuite.


Le traitement de ce genre de cas relève de la responsabilité de chancun des interveants médecin ou dentiste ou kiné.....

Et toi-même en investiguant tu peux apporter tout autant d'informations qu'un neurologue.

Il faut faire le tri dans tous les trucs qu'il raconte et effectivement évaluer la composante psy qui peut être primaire et/ou secondaire au mal dont souffre cette personne.

D'après l'historique, on peut affirmer que les traitements dentaires améliorent, peu importe comment, les signes décrits par le patient.

As-tu fais faire une analyse histologique de la pièce opératoire à l'époque ???? Si oui, demandes une nouvelle lecture de la lame si jamais l'anapath est passé à côté de quelque chose. Tout est possible

As-t-il fait une radio des poumons ??? Comme ça par hasard, j'ai vu des cas atypiques de douleurs avec des problèmes pulmonaires.

Je revérifierai encore une fois les sinus et le sinus maxillaire droit en particulier avec un scan.

Essaye de bien cerner sa douleur au niveau de la topographie, de son type, s'il y a une corrélation avec des périodes de stress (professionnel, familial)...


Dans tous les cas, il n'est pas mort de sa maladie s'il en a une, ça veut dire que c'est pas trop grave pour le moment.

Refaire un bilan sanguin à la recherche de problèmes hépatiques, rénaux, signes inflammatoires dans le sang.

L'historique en pièce jointe est intéressant mais sommaire pas assez détaillé.

Sympa, ton cas, intéressant mais chronphage pour un cabinet dentaire.


Bon courage

-------------
Canin


Gonzo k0qhwz - Eugenol
matten

06/11/2009 à 17h39

Pour moi, ce qui me semble le plus logique, c'est une douleur de desafferentation (si toutes les autres etiologies ont ete eliminees...)

Le specialiste a Garanciere des douleurs orofaciales c'est Pierre CARPENTIER ou bien Yves BOUCHER(consulte a la pitie Salpetriere service odonto)


Canin

06/11/2009 à 17h53

matten écrivait:
----------------
> Pour moi, ce qui me semble le plus logique, c'est une douleur de
> desafferentation (si toutes les autres etiologies ont ete eliminees...)
>
> Le specialiste a Garanciere des douleurs orofaciales c'est Pierre CARPENTIER ou
> bien Yves BOUCHER(consulte a la pitie Salpetriere service odonto)



Mais la douleur neuropathique n'explique pas les douleurs musculaires à distance ?? Non ?? Oui ?? Je ne sais pas !


--
Canin


baroud69

06/11/2009 à 19h11

il est clair qu'il vit un petit martyr ton patient que je ne sohaote à personne. En effet, il ne semble pas y avoir de risque vital mais on ne peut laisser souffrir une personne.

Pour autant il faut en avoir les compétances et il est loin d'être sûr que ce soit purement d'origine dentaire. Névralgie faciale ?

Le terrain personnel de ce brave homme est miné : difficultés sentmentales, métier par vraiement pépère.... peut être somatise-t-il tout ce stress ?

Ce n'est probablement pas la réponse que cette personne attends mais peut etre une orientation neurologique voire psy ?

en tout ca plus de soins iréversibles pour le moment ^^


Avatar jt8tlq - Eugenol
bogenom

06/11/2009 à 19h15

vu les signes decrits peut-être :

http://www.vulgaris-medical.com/encyclopedie/spondylarthrite-ankylosante-4332/traitement.html


Bon courage mais effectivement il semble que tu as fait ton maximum et très franchement tu n'as rien a te reprocher,

Bon courage à toi et surtout à ton patient


zuka

06/11/2009 à 19h44

Canin écrivait:
---------------

> Mais la douleur neuropathique n'explique pas les douleurs musculaires à distance
> ?? Non ?? Oui ?? Je ne sais pas !

effectivement cela est assez curieux

Le fait que les problèmes aient débutés quelques temps après la première endo n'est il pas un pur hasard?
Comme le dit canin n'y à t-il pas une corrélation entre les épisodes douloureux et les périodes de stress perso ou pro.?

Tu sembles t'attribuer à toi seul la responsabilité de tout les pb du patient, mais un traitement dentaire à lui seul (même s'il a connue quelques péripéties) peut il être responsable d'une tel symptomatologie?

malheureusement à part d'autres questions, je n'ai pas grand chose à t'apporter.




marc

06/11/2009 à 20h18

merci pour vos réponses.
je vais essayer de me renseigner vers les centres anti douleurs.

Peut-être que l'apparition des signes qui co-incident avec la perfo est un hasard, mais le fait que l'extraction est diminué trés significativement les signes, pendant au moins 2 mois, puis que ça soit revenu, me laisse perplexe.

je vais essayer de creuser les différentes pistes évoquées...


060108 005 nrfjgc - Eugenol
NaFr

08/11/2009 à 18h03

Pour des cas de "bobologie aggravée" (sans vouloir minimiser les pbs de ton patient), plutôt que d'aller consulter des spécialistes en fonction de chaque pathologie, j'ai souvent recours à un "généraliste spécialiste"...càd un interniste. Ils ont une vue plus globale du patient et découvrent souvent que tous ces symptômes se rassemblent dans des syndromes + complexes (genre fibromyalgie, rhumatismes psoriasiques, etc.....). Pbs importants généralement pris par l'entourage du patients pour des maladies "tire au flanc".


Francis N.

marc écrivait:
--------------
> merci pour vos réponses.
> je vais essayer de me renseigner vers les centres anti douleurs.
>
> Peut-être que l'apparition des signes qui co-incident avec la perfo est un
> hasard, mais le fait que l'extraction est diminué trés significativement les
> signes, pendant au moins 2 mois, puis que ça soit revenu, me laisse perplexe.
>
> je vais essayer de creuser les différentes pistes évoquées...
>


--
Francis N.