Cookie Consent byPrivacyPolicies.comça a pris du temps , mais ça le valait bien. - Eugenol

ça a pris du temps , mais ça le valait bien.

S2y2o1v7q53ws4r5wy6ou8czrpom - Eugenol
pxav

16/11/2009 à 07h35

dentiste57 écrivait:
--------------------
>
>
> l'occlusion est CATASTROPHIQUE! bruxisme de folie et effondrement de la DV
>
> voyez plutôt...
>
>
> la suite demain.... (oui à Sallanches n'arrive pas en retard, comme d'ab, sinon je commence sans toi.)

je ne parlerais pas de ton rouleau, mais du bruxisme.
compte tenu du gros travail que tu as fait, pourquoi ne pas avoir corrigé l'occlusion de 16?
le bruxisme est causé par de multiples facteurs, et je pense que l'inversé de la molaire, peut etre néfaste à la pérénité du tres beau travail que tu as fait.


--
xbk

Planche contact 017 copie thumb n85xgz - Eugenol

henri

16/11/2009 à 09h48

dentiste57 écrivait:
--------------------

>
> mise en place d'une résine type protemp 4 ou luxacore sur l'ensemble des dents
> du stellite



comment fait tu pour faire tenir le luxacore sur des dents d'un stellite ?


henri

16/11/2009 à 09h49

pardon j'avais oublié :superbe boulot


Img 8465 fqhxid - Eugenol
noahaxeltiger-olivier

16/11/2009 à 12h17

dentiste57 écrivait:
--------------------
> je ne sais si ça pourra vous contenter mais voici un schéma de ce
> que j'ai fait ce jour là.
>
> merci de me donner vos commentaires, je suis là pour apprendre et
> la chir mucco-gingivale garde encore beaucoup de secrets pour moi.

Effectivement si tu as fait ce que tu as dessiné, je te suis.
C'est l'élévation du lambeau palatinal malgré la presence du conjonctif supracrestal qui m'a fait réfléchir :

Rouleau dentiste57 x8191y - Eugenol

alhoun

16/11/2009 à 12h21

palatinal? c'est réservé aux professionnels ici.


Img 8465 fqhxid - Eugenol
noahaxeltiger-olivier

16/11/2009 à 13h12

alhoun écrivait:
----------------
> palatinal? c'est réservé aux professionnels ici.

oups !! Ma tête pensait francais mais mon doigt a tapé en suedois! Désolé Alhoun! C'est bien sûr palatin que l'on dit en bon francais.


alhoun

16/11/2009 à 15h07

;)


Avatar transparent iqadnc - Eugenol
adhoc

16/11/2009 à 18h40

Ces suedois, ils n'y connaissent vraiment rien en implanto !!


periodentist

17/11/2009 à 20h03

dentiste57 écrivait:
--------------------
> je ne sais si ça pourra vous contenter mais voici un schéma de ce que j'ai fait
> ce jour là.
>
> merci de me donner vos commentaires, je suis là pour apprendre et la chir
> mucco-gingivale garde encore beaucoup de secrets pour moi.

J'ai pas compris comment on désepithélialise au ZOE , si tu peux m'expliquer ca serait gentil :)


3f3boxni50k58rq7e9ce9ddqrxgk - Eugenol
dentiste57

17/11/2009 à 21h05

noahaxeltiger-olivier écrivait:
-------------------------------
> dentiste57 écrivait:
> --------------------
> > je ne sais si ça pourra vous contenter mais voici un schéma de ce
> > que j'ai fait ce jour là.
> >
> > merci de me donner vos commentaires, je suis là pour apprendre et
> > la chir mucco-gingivale garde encore beaucoup de secrets pour moi.
>
> Effectivement si tu as fait ce que tu as dessiné, je te suis.
> C'est l'élévation du lambeau palatinal malgré la presence du conjonctif
> supracrestal qui m'a fait réfléchir :

en zone 2, c'est de l'os


periodentist

18/11/2009 à 18h47

désolé de te redemander Dentiste57 est ce que le ZOE désepithélialise?


Img 8465 fqhxid - Eugenol
noahaxeltiger-olivier

19/11/2009 à 18h18

periodentist écrivait:
----------------------
> désolé de te redemander Dentiste57 est ce que le ZOE désepithélialise?

je sais pas si tu fais de l'humour periodontist. Mais si tu es sérieux, alors sur le dessin de dentiste57 il n'y a pas marqué ZOE mais ZDE que tu peux aussi traduire par Zone DésEpithélialisée. ;)))


leonardo

13/12/2009 à 00h26

Bravo,
Bien pensé. Bien exécuté. Bien documenté.
Bravo.
Bravo.
Bravo.
Mais surtout continue ton chemin et continue a montrer.
Longue vie a toi.


Amibien

13/12/2009 à 08h08

pxav écrivait:
--------------
le bruxisme est causé par de multiples facteurs

********************************************************


justement, lesquels et quel traitement étiologique est-il possible de proposer maintenant ?

en l'absence de ce dernier les prothèses et l'implant vont gicler


3f3boxni50k58rq7e9ce9ddqrxgk - Eugenol
dentiste57

13/12/2009 à 16h50

Amibien écrivait:
-----------------
> pxav écrivait:
> --------------
> le bruxisme est causé par de multiples facteurs
>
> ********************************************************
>
>
> justement, lesquels et quel traitement étiologique est-il possible de proposer
> maintenant ?
>
> en l'absence de ce dernier les prothèses et l'implant vont gicler

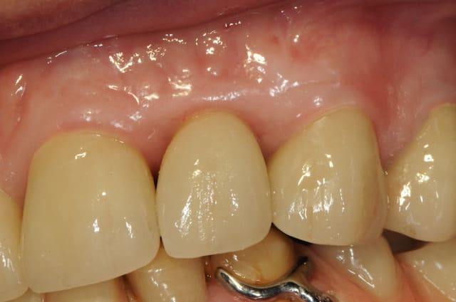
déjà, le bé à ba c'est de corriger la DV (ici en la remontant), ré-équilibrer son appareil, faire sauter les verrous (meulage canine 33 egressée)

je profite de l'occasion pour vous montrer la cicatrisation gingivale autour de 22 à j+15

Dsc 5506 hi03ya - Eugenol

Blason dql7mj - Eugenol
growler

13/12/2009 à 17h06

çà se passe plutôt très bien! si tu peux, fais-nous un petit suivi photographique de l'évolution des papilles.

@+


Amibien

14/12/2009 à 08h54

dentiste57 écrivait:
--------------------
> déjà, le bé à ba c'est de corriger la DV (ici en la remontant), ré-équilibrer
> son appareil, faire sauter les verrous (meulage canine 33 egressée)

***********************************************************



j'ai dit étiologique...


200106 10150128247663588 709988587 6466236 5598391 n d7mksb - Eugenol
hallboy

14/12/2009 à 11h14

Tu t'y prendrai comment?


Grueavatar nptrc9 - Eugenol
Le Choixpeau magique

14/12/2009 à 11h55

noahaxeltiger-olivier écrivait:
-------------------------------
> oups !! Ma tête pensait francais mais mon doigt a tapé en suedois! Désolé
> Alhoun! C'est bien sûr palatin que l'on dit en bon francais.

En fait en toute rigueur c'est lingual, le terme "palatin" est une mauvaise habitude de la profession.


1 p3qrc4 - Eugenol
Bjc.

14/12/2009 à 20h28

""déjà, le bé à ba c'est de corriger la DV (ici en la remontant), ré-équilibrer son appareil, faire sauter les verrous (meulage canine 33 egressée)""

tu compte faire comment?
on a tous buté sur le Pb.

@+ Bjc.





3f3boxni50k58rq7e9ce9ddqrxgk - Eugenol
dentiste57

14/12/2009 à 23h02

je regrette de ne pas avoir fait suffisamment de photos avant d'entreprendre le cas on aurait mieux vu la perte de DV.

j'ai expliqué comment remonter la DV en ajoutant de la résine sur la partie occlusale et après rebasage de son vieux satellite.
j'ai laissé trois mois en provisoire sup et inf en attendant si oui ou non, il y avait de la casse. aucune casse depuis le jour où j'ai remonté la DV et mis des couronnes provisoires sup et meulé la 33 super egressée.
les dents egressées se comportent comme des verrous, il faut les détecter et corriger par ccm ou coronoplastie.


Ylfwcw979cz1jnx9gfqeaxndiuzk - Eugenol
Algi

16/12/2009 à 10h01

Beau boulot, j'espere aussi que ça tiendra.

Concernant les remarques d'amibien, elles sont volontairement embetantes car lui il sait comment minimiser le risque de casse, je sais moi aussi que si les elevateurs de la mandibule sont spasmés tu risques gros sur le moyen terme.

Ma question est donc la suivante: as-tu un protocole pour tester le bon fonctionnement des elevateurs (masseters et temporaux principalement) ou alors, comme beaucoup tu te fies à ton pifometre dans ce cas?

Un chose encore: des cas similaires j'en ai fait (pas avec implants) et ce qui fait que ça coince ou que ça casse c'est pas un erreur de dv ou de centrage de l'oclusion, en général ce sont des evenemnts independants de notre volonté comme un décés, une perte d'emploi ou une rupture sentimentale difficle qui reactivent le bruxisme.... et c'est là qu'il faut travailler, en amont, sur ces fichues emotions qui sont le propre de l'homme et la misere pour les dentistes, travailler sur le mecanisme qui fait que broyer du noir amene à broyer ses dents.

Attention, ne pas croire que je fais le malin ou que j'ai LA réponse à tous nos problemes..... hier encore j'ai revu une mamie que j'avais equilibrée aprés remplacement d'un bridge 13/23 farcturé avec perte de certaines racines+dv tres tres faible, là aussi j'avais surelevé pour gagner de la dv avec port de ppa remontée sur 2 mois, donc hier elle revient avec la 21 de son stellite dans la main.... on a réparé puis je l'ai un peu interrogée sur ce qui n'allait pas.... son mari est décédé il y un peu moins d'un an, la perte, le chagrin, tout ça, on les avait neutralisés en mai et depuis tout allait bien mais voilà que les fetes approchent et qu'elle se rend compte que ce sera son premier noel sans lui.... evidemment à l'evocation de cette situation elle est musculairement bloquée et donc j'ai aidé à faire lâcher ces tensions et j'espere ne pas la revoir rapidement.

--
"On a toujours le choix! Mais entre quoi et quoi?
Vas-y boulégue et l'avenir te le dira!"


200106 10150128247663588 709988587 6466236 5598391 n d7mksb - Eugenol
hallboy

16/12/2009 à 10h13

mobilis in mobile.

Alain, c'est de l'enfoncement de porte ouvertes. Ce genre de superbes declarations revelatrices etaient deja ds ma these en 81 et ce n'etait mm pas moi qui l'avait touvé...

A cette epoque, cela avait au moins l'avantage d'etre une casi nouveauté..

Un traitement operateur dependant qui marche qq mois tant que le patient va bien, c'est pas non plus une nouveauté.

Donc jusqu'a preuve du contraire, ce serait reposant de ne pas etaler de certitudes en ( de plus ) avançant masqué.


Amibien

22/12/2009 à 15h25

opérateur dépendant ?

trouve-moi un seul truc en dentisterie qui ne soit pas opérateur dépendant... là, tu es mal, vraiment très mal.

c'est bien de faire le modo-gendarme-redresseur de demi-vérités mensongères mais il faut argumenter avec des trucs valables et pas avec des phrases creuses, oui creuses.

Notre bagage clinique devient considérable que tu le veuilles ou non.

Alain a bien travaillé avec la vieille dame et il vient d'apprendre ici qu'il faut éduquer le patient traité à se surveiller, à surveiller ses évocations mentales et à ressentir les effets d'un émotionnel pourri. Personnellement j'y parviens et mes patients me consultent alors rapidement. D'autres sont devenus capables de se traiter eux-mêmes. Si on m'en donne la permission j'expliquerai un jour comment. Toute cette stratégie me permet de proposer la mise en vitrine/charge sur implants beaucoup plus vite que les délais généralement conseillés, ceci même sur sinus fraîchement greffés. Je comprends ta réaction de modérateur mais ce dont parle Alain tient sérieusement la route. On ne peut pas en dire autant de l'augmentation de la DV qui pour moi est une hérésie sans un traitement étiologique de fond.


1 p3qrc4 - Eugenol
Bjc.

22/12/2009 à 16h00

Quand on parle d’opérateur dépendant, on ne perle pas d’un acte humain, mais d’une décision humaine au Nose Navigation System