Cookie Consent byPrivacyPolicies.comJe fais quoi à votre avis? - Eugenol

Je fais quoi à votre avis?

Mnémosyne

15/11/2009 à 09h46

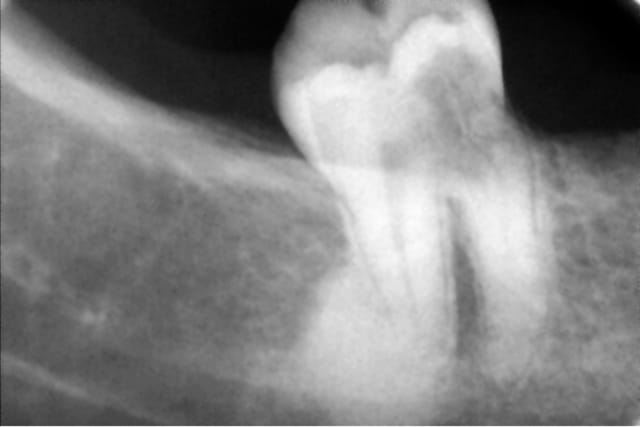
Une patiente se présente avec un abcès paro en vestibulaire de 47, elle prend des antibios depuis 5 jours. Pour le reste tout va bien et elle a une hygiène correcte.

Voilà les radios, dont une trouvée dans son dossier, qui date de 3-4 ans.
Sous la gencive, il y a un petit trou au collet de la dent, en vestibulaire. Mais la sonde s'enfonce et c'est douloureux.

Impossible d'anesthésier. (du moins, je n'ai pas réussi...hem)

Je revois la patiente lundi, mais pour faire quoi à votre avis?

002 ock7cc - Eugenol
003 lhx3dd - Eugenol
Il y a 3 ans pzfcym - Eugenol

Marque a3 orange fyvhyq - Eugenol
Marc Apap

15/11/2009 à 10h00

IL y a une résorption peut être externe au niveau cervical mésial, et une pulpite chronique qui provoque une ostéite condensante apicale sur la racine distale. Ca fait beaucoup pour pouvoir conserver cette dent dans de bonnes conditions.
C'est la résorption qui est préoccupante : en général, ça détruit la dent en faisant de minuscules micro canaux sanguinolents. Impossible d'éradiquer ça.


Mnémosyne

15/11/2009 à 10h09

Je pensais bien que conserver la dent serait très difficile...
Mais même pour l'extraire, je ne sais pas trop à quoi m'attendre. Avec en bonus la proximité du nerf.


Blason dql7mj - Eugenol
growler

15/11/2009 à 10h33

faut t'attendre probablement à ce que çà casse au niveau de la résorption. à ce moment là, tu sépares et sors la racine distale puis avec une fraise fine type zekrya tu élargis le ligament en fraisant plaqué contre la racine de façon à pouvoir y glisser un élévateur très fin et tu mobilise tout doucement. En tout cas, essaye de conserver le max d'os.


S2y2o1v7q53ws4r5wy6ou8czrpom - Eugenol
pxav

15/11/2009 à 10h55

growler écrivait:
-----------------
> faut t'attendre probablement à ce que çà casse au niveau de la résorption. à ce
> moment là, tu sépares et sors la racine distale puis avec une fraise fine type
> zekrya tu élargis le ligament en fraisant plaqué contre la racine de façon à
> pouvoir y glisser un élévateur très fin et tu mobilise tout doucement. En tout
> cas, essaye de conserver le max d'os.

une solution qui est en générale pour les sagesses, tu fraise la racine qui est près du V et tu laisse 1/3 en place, sans chercher à le mobiliser.
Les suites sont moins douloureuses que si tu enleve tout et la nature fera le reste (en général l'apex "remonte" et devient facile)
--
xbk


Mnémosyne

15/11/2009 à 19h28

Wow...
Merci de vos réponses.
Je verrai ce que je peux faire si vraiment je suis obligée (pas vraiment de possibilités de référer dans la région), mais si la patiente peut attendre, je crois que je choisirai l'option "laisser ça au titulaire"...