Cookie Consent byPrivacyPolicies.comresorption radiculaire - Eugenol

resorption radiculaire

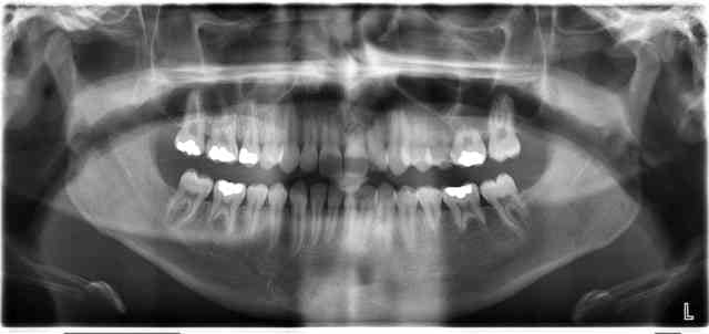
Ice age sid ocgtqj - Eugenol
VAURY

25/11/2009 à 11h56

Bonjour
que pensez vous de ce cas ?
avec atteinte des 15/16/25/26/35/36/45/46

Export copy hmz2mr - Eugenol

Grueavatar nptrc9 - Eugenol
Le Choixpeau magique

25/11/2009 à 12h39

L'ortho est passé par là ?


Ice age sid ocgtqj - Eugenol
VAURY

25/11/2009 à 12h50

pardon j'avais oublié de préciser
pas de traitement d'ortho
enfant de 17 ans avec des problèmes fonctionnels et moteurs
il est dans une institution pour enfants déséquilibrés
voila
j'ai cherché d'autres symptomes, kératose, dermite,ou malformations, mais je n'ai pour l'instant rien trouvé


Image odged8 - Eugenol
ploc

25/11/2009 à 18h14

il grince des dents en permanence depuis tout petit?
(plus en diurne qu'en nocturne d'ailleurs chez ce type d'enfant)
mais c'est sans doute lié à son handicap:lequel?


Ice age sid ocgtqj - Eugenol
VAURY

25/11/2009 à 18h47

quelques facettes d'abrasion certes
mais pourquoi sur les 6 et les 5?
handicap neuro léger et moteur léger enfant très désorienté et déséquilibré avec une famille inexistante


marcus

25/11/2009 à 22h32

hygiène , hygiène et prier pour qu'il n'y ait pas d'endo car certains apex sont bien ouverts


Mmmm

27/11/2009 à 00h58

Interposition latérale de la langue?