Cookie Consent byPrivacyPolicies.comBord incisif, composites et occlusion - Eugenol

Bord incisif, composites et occlusion

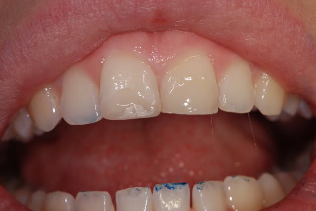
Grueavatar nptrc9 - Eugenol
Le Choixpeau magique

08/12/2009 à 18h33

Bonjour,
quand vous devez refaire au composite le bord incisif d'un patient, mais que son occlusion contre indique l'obtention d'un résultat idéal, comment faites vous ?
Ca fait plusieurs fois que des patients me cassent les bonbons après une séance longue et appliquée, en trouvant que la forme du bord ne leur plaît pas.

Exemple ici sur la 21 de cette jeune patiente bruxomane notoire, qui m'a pété un cable dans le cabinet devant le résultat "je ne vais pas sortir comme ça dans la rue", alors qu'elle avait bien supporté d'avoir une dent avec plusieurs mm en moins pendant plusieurs jours...

Quelle conduite adopter, à la fois sur le plan technique que de la communication ?

Dsc 8172s ofleeg - Eugenol

belette

08/12/2009 à 18h55

Communiquons donc ...tu parles de la 11 ou de la 21 ?

^ ... ^
Ô"""Ô
= o =


Grueavatar nptrc9 - Eugenol
Le Choixpeau magique

08/12/2009 à 19h08

Bah, comme je l'ai écrit, de la 21 :)


Avatar 46 aoi1yc - Eugenol
HononLulu

08/12/2009 à 23h23

En fait, quand elle dit " je ne vais pas sortir comme ça"
Qu'est ce qu'elle veut dire ?
Perso je ne comprends pas trop , il aurait fallu voir la photo avant.
Et surtout développer les arguments d'un éventuel mécontentement.


Avatar 46 aoi1yc - Eugenol
HononLulu

08/12/2009 à 23h25

Je sais ---> t'as oublié l'incisal
excuse c'est la fin de journée...


zuka

09/12/2009 à 00h08

perso, je donne un petit coup de fraise sur l'insisive mandibulaire pour laisser un peu de place à la 21...mais tu t'exposes au mécontentement de la patiente qui ne comprend pas pourquoi tu lui abîmes une dent saine, il faut donc lui expliquer (en lui montrant avec le miroir) avant de sauter sur la turbine.


Grueavatar nptrc9 - Eugenol
Le Choixpeau magique

09/12/2009 à 00h13

Elle trouve que sa 21 est trop courte...
Dans l'absolu le bord incisif n'est pas parfait, mais il me semble que c'est l'occlusion donc la pérennité qui doit compter en premier, non ?
Comment vous faites vous ?


Avatar 46 aoi1yc - Eugenol
HononLulu

09/12/2009 à 00h25

Dis donc, tu es plutôt sobre point de vue explications.
Explore l'hypothèse qu'elle bute sur le fait que les angles incisifs ne soient pas à la même hauteur.


Grueavatar nptrc9 - Eugenol
Le Choixpeau magique

09/12/2009 à 00h30

Oui, c'était ça son problème.
Mais comment fais-tu pour avoir des bords incisifs à la même hauteur si pour ce faire tes contacts au lieu d'être bien répartis se retrouvent tous sur la zone en compo de la dent reconstituée ?


Avatar 46 aoi1yc - Eugenol
HononLulu

09/12/2009 à 11h48

Le Choixpeau magique écrivait:
------------------------------
> Oui, c'était ça son problème.
> Mais comment fais-tu pour avoir des bords incisifs à la même hauteur si pour ce
> faire tes contacts au lieu d'être bien répartis se retrouvent tous sur la zone
> en compo de la dent reconstituée ?
____________________________________________

Ben , puisque tu sais que tu ne peux faire le bord + long à cause de l'occlusion,que c'est pour cela que la 22 est dans cet état ---> admets le et montre à ta patiente l'impossibilité de cette réalisation et propose lui pour améliorer éventuellement la différence de niveau de passer un infime coup de fraise pour casser l'angle de la 11.
Il me semble que cette solution pourrait la séduire et c'est vraiment rien.


S8ysxdzhdqgw00w4q6m07a5d47q2 - Eugenol
gai-luron

09/12/2009 à 12h16

Elle doit être traitée, sa 21, non? vue la coloration...

Donc peut-être lui proposer une zolie céramique... :)


200106 10150128247663588 709988587 6466236 5598391 n d7mksb - Eugenol
hallboy

09/12/2009 à 12h33

c'est plus simple de retoucher la 31 ;)

mais faut lui expliquer pourquoi.


Avatar 46 aoi1yc - Eugenol
HononLulu

09/12/2009 à 13h14

Bon en résumé, on retouche l'angle de la 11; on diminue la 31,on fait une céramique sur la 21.
Tu vois choixpeau c'est simple, demande nous quand tu es perdu ;-)))))


Avatar 46 aoi1yc - Eugenol
HononLulu

09/12/2009 à 13h15

HononLulu écrivait:
-------------------
> Bon en résumé, on retouche l'angle de la 11; on diminue la 31,on fait une
> céramique sur la 21.
> Tu vois choixpeau c'est simple, demande nous quand tu es perdu ;-)))))


Personne pour proposer une extraction -implantation immédiate ??


ad-hugo

09/12/2009 à 13h44

si la 31 était parfaitement identique à la 41, on pourrait avoir des scrupules; mais là, la 31 est égréssée donc tu faits d'une pierre deux coups et tu égalise 31 et 41 et tu refais un beau compo sur la 21 car c'est vrai que le bord manque de translucidité en plus de la longueur


zuka

09/12/2009 à 14h39

HononLulu écrivait:
-------------------
> HononLulu écrivait:
> -------------------
>
> Personne pour proposer une extraction -implantation immédiate ??

extraction des 4 incisives mandibulaires, pose de deux implants supports de bridge 32-42 en laissant de la place pour refaire le compo sur la 21 :-)


ad-hugo

09/12/2009 à 15h05

chirurgie type Lefort pour remonter tout le bloc incisif afin qu'il soit caché par la levre sup et si on voit encore les dents: suture de la levre sup avec la levre inf (je parle de la levre inf des levres sup (horizontales) et non pas pas des levres verticales mais tu peux aussi essayer ça si ton fil de suture est assez long)


alhoun

09/12/2009 à 17h16

Le Choixpeau magique écrivait:
qui m'a pété un
> cable dans le cabinet devant le résultat "je ne vais pas sortir comme ça dans la
> rue",


ça fait tant, au revoir madame, pour les plaintes, voilà le numéro du conseil de l'ordre.
ta question est tout à fait légitime d'un point de vue technique, mais à se faire chier la vie nul n'est tenu.


poilde

09/12/2009 à 17h22

alhoun écrivait:
----------------
>
mais à se faire chier la vie nul n'est tenu.

Exact: "j'ai fait de mon mieux, je vous prie de trouver un de mes confrères plus compétent"

De plus elle ne sera jamais contente. Perte de temps...stress inutile.


Avatar 46 aoi1yc - Eugenol
HononLulu

09/12/2009 à 17h45

Mais pourquoi c'est toujours les nanas qui sont chiantes ???????


Kon nx3ojp - Eugenol
Kon

09/12/2009 à 22h52

HononLulu écrivait:
-------------------
> Mais pourquoi c'est toujours les nanas qui sont chiantes ???????

La réponse est dans la question


Smile beach jgh0a1 - Eugenol
Céramik

10/12/2009 à 00h00

HononLulu écrivait:
-------------------
> HononLulu écrivait:
> -------------------
> > Bon en résumé, on retouche l'angle de la 11; on diminue la 31,on fait une
> > céramique sur la 21.
> > Tu vois choixpeau c'est simple, demande nous quand tu es perdu ;-)))))
>
>
> Personne pour proposer une extraction -implantation immédiate ??

Vous zavé rien pigé...
Pffft, enlever des dents, c'est n'importe quoi...
14 céram en haut, tu ouvres l'occlusion, super simple.
Si elle désire blanc partout, 14 autres céram en bas.
Alors 14 ou 28 ;-)


--
Céramik


Grueavatar nptrc9 - Eugenol
Le Choixpeau magique

10/12/2009 à 00h26

alhoun écrivait:
----------------
> ça fait tant, au revoir madame, pour les plaintes, voilà le numéro du conseil de
> l'ordre.
> ta question est tout à fait légitime d'un point de vue technique, mais à se
> faire chier la vie nul n'est tenu.

Je lui ai conseillé d'aller voir un autre dentiste en urgence...


Images eb1m5g - Eugenol
tonio

10/12/2009 à 01h43

essaye l'estelite quick de chez Pred. Surprenant de mimétisme pour la teinte. très bien en antérieur. Alors que j'étais un fada du filtek supreme XT. Et beaucoup plus simple à gérer et à manipuler que le compo de dietschi (je trouve plus le nom).

Ton compo est peut être un peu trop translucide. Je l'aurais arrondi un chouilla moins et fait un poil moins long.

Après comme dit alhoun, nul n'est tenu...


Grueavatar nptrc9 - Eugenol
Le Choixpeau magique

10/12/2009 à 09h55

tonio écrivait:
---------------
> essaye l'estelite quick de chez Pred. Surprenant de mimétisme pour la teinte.
> très bien en antérieur. Alors que j'étais un fada du filtek supreme XT. Et
> beaucoup plus simple à gérer et à manipuler que le compo de dietschi (je trouve
> plus le nom).

En fait elle ne se plaignait pas de l'esthétique (hautement perfectible), mais juste de la longueur.
>
> Ton compo est peut être un peu trop translucide. Je l'aurais arrondi un chouilla
> moins et fait un poil moins long.

Elle le trouve déjà trop court.
Les "arrondis" m'ont été imposés par l'occlusion, d'où le sens de ma question.


12