Cookie Consent byPrivacyPolicies.comBridge Céramocéramique en technique pretau. - Eugenol

Bridge Céramocéramique en technique pretau.

vince34

11/12/2009 à 13h36

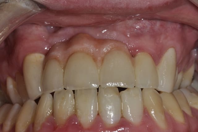
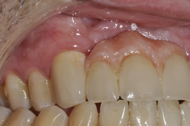
Bridge sur patient ayant une fente faciale.
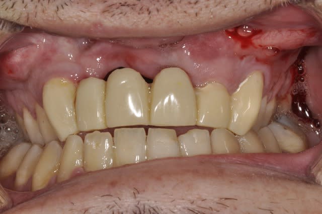
J'ai du déposé le bridge ailette et faire l'extraction de 11 et 21 pour cause resorption externe.
Puis bridge sur dent vivante avec 13/22/23 comme pilier.
Désolé pour les fichiers ils sont en sens inverse.

Pose bridge 1 hz9zu6 - Eugenol
Pose bridge 3 xinu2y - Eugenol
Bridge 1 zf53z2 - Eugenol
Bridge provisoire boczyj - Eugenol
Pose bridge 2 fnc1y0 - Eugenol
Bridge 2 mzwafj - Eugenol
Essayage armature m tallique mngdx1 - Eugenol
Prepa 1 atgmpg - Eugenol
Prepa 2 pkwuvc - Eugenol
Situation initiale rz0zjn - Eugenol

S2y2o1v7q53ws4r5wy6ou8czrpom - Eugenol
pxav

11/12/2009 à 13h54

mis à part la ceram rose que je n'aime pas (par gout perso)le travail est bien propre, félicitations!
pour ma culture perso qu'appelles tu la méthode pretau?
--
xbk


Avatarfac v6b7jd - Eugenol
DCDV

11/12/2009 à 14h11

j'aurais pris plus de piliers (surement une PM en plus... car juste sur une canine je ne sais pas trop... surtout si FLAP) peut etre ! non ?!

--
dcdv !


vince34

11/12/2009 à 14h13

Méthode développée par mr pretau en italie et maintenant commercialisée par Zirkonzhan.
Voir leur site : http://www.zirkonzahn.com/fr/Default.aspx
Plein de belle chose à voir.


S8ysxdzhdqgw00w4q6m07a5d47q2 - Eugenol
gai-luron

11/12/2009 à 14h53

c'est pas du céramo-céramique, ça, si????


vince34

11/12/2009 à 16h47

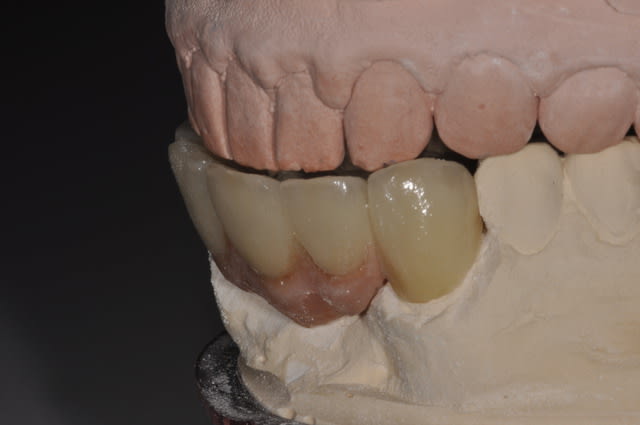
si,
l'armature metallique ne sert que pour l'essayage et après elle est dupliquée en armature zircone et enfin montage du cosmetique.


S8ysxdzhdqgw00w4q6m07a5d47q2 - Eugenol
gai-luron

11/12/2009 à 18h01

ok, merci de la précision.


Zoe   son arriv e whwqpj - Eugenol
emma

11/12/2009 à 18h28

beau travail, peux tu nous poster une photos de la réalisation définitive sans écarteurs afin de voir le sourire du patient non contraint.

ton travail montre que la prothèse sur dents vivantes est tout à fait réalisable, félicitations.

--
Emma


cocobret

11/12/2009 à 23h14

il me semble que les dents sont dévitalisées... On voit des composites pour fermer les cavités d'accès.
Beau travail. Je pense que l'utilisation de fausse gencive est un choix judicieux ici et même si pas toujours évident.


3f3boxni50k58rq7e9ce9ddqrxgk - Eugenol
dentiste57

12/12/2009 à 00h40

merci vince de nous faire partager ton cas!

ça fait un moment que personne ne poste plus rien de sympa.
(pardon si j'ai loupé des postes, je bosse trop pour pxav, il me fait travailler comme un esclave sur notre présentation du 17/12)

c'est vraiment un cas intéressant.
merci encore

les autres,... lâchez vous! postez non de Dieu! on s'emmerde sur Eugénol.


Blue eye thumb medium dx1i0w - Eugenol
bill

12/12/2009 à 00h45

dentiste57 écrivait:
--------------------

> les autres,... lâchez vous! postez non de Dieu! on s'emmerde sur Eugénol.


Après Noël il y aura des appareils photos.... ;-)


vince34

12/12/2009 à 02h22

Pas de composite, c'est surement des restes d'émail car j'ai fait des prepa à minima sur certaine face pour récuperer les axes.
Et s'est vraiment sur dent vivante, je mettrais des radios plus tard.


l adan

12/12/2009 à 10h46

J'ai assisté à une conf à l'adf sur des cas de bridge avec de la céramique rose .Cela me semble interressant pour certains cas .
Pour ceux qui utilise cette technique comment gérez vous la teinte de la fausse gencive ?teintier, transfert au labo,hygiene ...


Tozzi

12/12/2009 à 21h25

La portée n'est-elle pas trop longue pour faire du tout céramique ?
Pourquoi du tout céramique plutôt que du céramo-métallique dans ce cas où l'esthétique n'est pas un élément vital ?


Smile beach jgh0a1 - Eugenol
Céramik

13/12/2009 à 01h46

dentiste57 écrivait:
--------------------

> les autres,... lâchez vous! postez non de Dieu! on s'emmerde sur Eugénol.


OK D-57

Voici un de mes petits trucs.
Après ça, c'est à ton tour...


Histoire du cas:
Pont 13-x-11-x-x-23 et couronne 24 fait en 1997 (par moi-même)
Carie et fracture de la 23, patient avait aussi perdu couronne 24, mais pas consulté de dentiste depuis la pose du pont, il y a 10 ans !
Bref, j'ai coupé le pont entre 11 et 21.
Perte osseuse majeure région 21-22-23 (attrophie crête 21-22 du à la perte des dents il y a 20 ans et aussi fracture verticale de la 23).

Greffe osseuse fin 2006 et pose de 3 implants en 2007 (un de mes 1er cas du genre).Pose du pont en 2008.

Plusieurs compromis... (c'est pas le but du fil...;-) )

Technique Zirkon Zahn, zircone monobloc, vissé.
J'ai pas fait d'essai de la «structure en métal» comme le cas précédent, empreinte,photo, visite au labo pour la teinte, et hop, vissage.

Ligne de sourire assez basse, mais rendu très bien.


Photo
1-Montage
2-La différence de translucidité entre le céramo-métal 11 et zircone 21

A+


--
Céramik

Montage final 2 leczwb - Eugenol
Lumi re xqxlma - Eugenol

S2y2o1v7q53ws4r5wy6ou8czrpom - Eugenol
pxav

13/12/2009 à 07h47

Ligne de sourire assez basse, mais rendu très bien.

Photo
1-Montage
2-La différence de translucidité entre le céramo-métal 11 et zircone 21

A+
--
Céramik

il sont bizarre tes patients céramik, les miens ne se baladent pas avec un lumière bleue dans la bouche!..:-))
sinon, joli cas, difficile aussi.
une distraction osseuse?

--
xbk


Smile beach jgh0a1 - Eugenol
Céramik

13/12/2009 à 16h17

pxav écrivait:
--------------


> une distraction osseuse?
>
> --
> xbk
>


Oui en théorie, mais plutôt difficile et long pour le patient, non ?
C'est une technique que je ne maitrise pas.
Comme memtionné, un de mes 1er cas implanto .
On apprend de nos difficultés et de celles des autres...

Au final, patient satisfait.
Je ferai mieux la prochaine fois.
--
Céramik


vince34

08/10/2010 à 02h10

Bonsoir,
J'ai revu le patient au bout d'un an.
Hygiéne approximative mais pas évidente en même temps.
Je vous ai mis des photos du labo, puis 1 semaine après la pause et enfin celles de la semaine dernière.

2009 12 08  070 oyc9gz - Eugenol
2009 12 08  071 hepooa - Eugenol
2009 12 09  074 ztwl0p - Eugenol
2009 12 09  075 kq3c2h - Eugenol
2009 12 09  076 ulkyg0 - Eugenol
2009 12 09  077 gcejtr - Eugenol
2009 12 09  078 ak1qfp - Eugenol
2009 12 09  079 ius2m7 - Eugenol
2009 12 09  080 d3pq09 - Eugenol
2009 12 08  072 wwjfc2 - Eugenol
2009 12 08  073 gqre7j - Eugenol
2009 12 09  081 pxzzv3 - Eugenol

vince34

08/10/2010 à 02h19

et la suite.
On constate des petites zones inflammatoires au niveau des piliers et une légére perte d'attache sur la 23.
Photo prise juste après le détartrage, mais n'excuse pas tous.

2009 12 09  082 pakvlh - Eugenol
2009 12 19  083 grty5r - Eugenol
2009 12 19  084 wuh0rd - Eugenol
2010 09 29  088 j4xfhh - Eugenol
2009 12 19  085 yboeak - Eugenol
2010 09 29  086 fn0q0v - Eugenol
2010 09 29  087 zyoira - Eugenol
2010 09 29  089 xgguqm - Eugenol
2010 09 29  090 xpmv8z - Eugenol

Smile beach jgh0a1 - Eugenol
Céramik

08/10/2010 à 03h47

Le fini de la céram semble rugueux ?
Avec sa belle gingivite/paro...le patient aura des ennuis...je pense...



--
Céramik