Cookie Consent byPrivacyPolicies.comCone Beam - Eugenol
003 penrd2 - Eugenol
Cingulum

14/12/2009 à 12h45

Je voudrais ici, regrouper les données sur les panoramiques 3D disponible. Afin de comparer les technologies et les prix, les points forts et points faibles...
Les données sont celles que j'ai pu glaner si vous en avez d'autres....hésitez pas.


Je complèterais le sujet au fur et à mesure...

-> Planmeca:
+Différentes tailles de Champ
+Trés bonne définition
+Panoramique de bonne qualité
+partie logiciel bonne
-irradiation au dessus de la moyenne
Promax 3ds : Environ 80000€ pour un champ de 5*8cm, possibilité de regrouper 3 acquisitions pour reconstruire les maxillaires en entier. Mais incompatible avec Guide Chir de type NobelGuide ou Simplant...

Promax 3D: environ 140000€ grand champ 14*8cm.


-> Gendex
+grand champ 8*14cm
+qualité d'image bonne
+irradiation plus faible
- panoramique pas terrible
- logiciel austère
prix environ 90000€

-> Instrumentarium
Dispo en juin
+ Champ de 6*4 - 6*8 cm technologie issue du scanora
+ Vraie panoramique avec capteur dédié
+ Trés bonne qualité de la panoramique
+ suite logiciel avec planification (ondemand3D)
- Nouvelle sur le marché
Prix environ 95000€

-> Kodak
modèle 9000D :
+trés bonne image, une des plus fine
+bonne pano
+bonne interface logiciel
+faible irradiation
+possibilité de stitcher 3 volumes pour reconstruire une arcade...
-champ le plus petit, 4*5cm... trop petit ?
prix 84000€

EMS owandy
+ le design
- qualité pano et 3D moyenne
- concept aberrant ou le patient tourne assis (bonjour le flou de bougé!)
autour de 100000€ je crois

Ewoo/vatech
+ qualité pano incroyable
+ existe en 3 en 1 avec téléradio
+ divers taille de champs
en 5x5 79000€, 110000€ pour 8,5x12, 220000€ pour 15x15 avec téléradio


--
Dr Cingulum
-----Ancien interné----
----Attaché à l'apex----
www.clinic-all.fr formation par passion

Conebeamct xray2 rg1mng - Eugenol

Grueavatar nptrc9 - Eugenol
Le Choixpeau magique

14/12/2009 à 13h33

Il me semble que sur la kodak tu peux regrouper trois champs, à vérifier.


003 penrd2 - Eugenol
Cingulum

14/12/2009 à 13h34


oui tu peux... corrigé

--
Dr Cingulum
-----Ancien interné----
----Attaché à l'apex----
www.clinic-all.fr formation par passion


Logo vuaztn - Eugenol
mac

14/12/2009 à 13h45

la 9000 3D est à 84 000€ prix catalogue.


Little shop of horrors brzqjx - Eugenol
chatondecarte

14/12/2009 à 14h33

EMS owandy
+ le design
- qualité pano et 3D moyenne
autour de 100000€ je crois


Ewoo/vatech
+ qualité pano incroyable
+ existe en 3 en 1 avec téléradio
+ divers taille de champs
j'ai pas le prix en 5x5, 110000 pour 8,5x12, 220000 pour 15x15 avec téléradio


Blason dql7mj - Eugenol
growler

14/12/2009 à 14h43

vite fait quelques copies d'écran de la Gendex CB 500 acquise il y a un an (avec le capteur de 1 ere génération)

Les modèles vendus actuellement ont un capteur optimisé pour les panos

Capture gendex 1 whnyym - Eugenol
Resolution moyenne to4tzz - Eugenol
Resolution moyenne krflxf - Eugenol
Exemple pano 4 vyftad - Eugenol
Exemple pano 1 xdhhsl - Eugenol
Exemple pano 2 nvjrd6 - Eugenol
Exemple pano 3 g3nfut - Eugenol

Blason dql7mj - Eugenol
growler

14/12/2009 à 16h13

pour les secteurs molaires

Secteur molaire qo0qll - Eugenol
Emergence sscx71 - Eugenol
Emergence 2 vzpkps - Eugenol
Molaire nldhct - Eugenol

Fouilla h6plsy - Eugenol
fouilla

14/12/2009 à 16h39

pour te permettre d'avoir la seconde génération je te fais une proposition à 25% pour le rachat de la première génération

sans rajouter de l'huile (-:) sur le feu !

le truc important : manipulation du logiciel ++++ j'ai vu growler en action fastoche ...


croc1765

14/12/2009 à 17h32

pour vatech 5x5 c'est 79ke avant nego


Logo vuaztn - Eugenol
mac

14/12/2009 à 17h47

croc1765 écrivait:
------------------
> pour vatech 5x5 c'est 79ke avant nego


et après?


cyber 88

15/12/2009 à 00h02

N'oublions pas MORITA dans tout cela ?C'est le tout dessus du panier

C'est une machine de référence ,peut étre chére!

Mais Le Cone Beam a t'il un avenir en cabinet dentaire ?

En cabinet de Radiologie oui ...,pour quelques années!

C'est ce que j'ai appris à l'ADF (Séance sur le CONE BEAM)


Humator t9r5wy - Eugenol
humator

15/12/2009 à 07h51

cyer88, peux tu préciser ta pensée?

--
N.Hum


003 penrd2 - Eugenol
Cingulum

15/12/2009 à 10h07

cyber 88 connais tu les tarifs des produits morita et leur taille de champ ?


--
Dr Cingulum
-----Ancien interné----
----Attaché à l'apex----
www.clinic-all.fr formation par passion


Little shop of horrors brzqjx - Eugenol
chatondecarte

15/12/2009 à 10h25

Je croyais qu'on intéressait uniquement aux cone beam avec pano intégrée. L'accuitomo de morita et le newtom vg sont d'excellents cone beam, mais je pense qu'ils sont inexploitables en cabinet du fait de l'absence e la fonction panoramique 2D.

Après on peut rajouter dans la liste le scanora 3D de soredex, mais g pas de renseignements.

Y a aussi la merde de sirona dont je me souviens plus du nom mais elle fait pas pano 2D non plus.


003 penrd2 - Eugenol
Cingulum

15/12/2009 à 10h45

Sirona : Gallileos... faut pas dire que c'est une merde...

Produit qui fait de fausse pano a partir de l'acquisition 3D.
Et tube a amplificateur de brillance, ancienne technologie mais qui irradie moins...

--
Dr Cingulum
-----Ancien interné----
----Attaché à l'apex----
www.clinic-all.fr formation par passion


Little shop of horrors brzqjx - Eugenol
chatondecarte

15/12/2009 à 10h55

Cingulum écrivait:
------------------
> Sirona : Gallileos... faut pas dire que c'est une merde...
>
> Produit qui fait de fausse pano a partir de l'acquisition 3D.
> Et tube a amplificateur de brillance, ancienne technologie mais qui irradie
> moins...
>


c'était une boutade en rapport avec le sujet de N. BELLAICHE qui comparait les cbvt sur dentalespace, le Gallileos faisait office de mauvais élève.

Après je veux pas me facher avec ceux qui en possèdent un...


003 penrd2 - Eugenol
Cingulum

13/02/2010 à 10h10

mise à jour pour instrumentarium page 1.


--
Dr Cingulum
-----Ancien interné----
----Attaché à l'apex----
www.clinic-all.fr formation par passion


Logo vuaztn - Eugenol
mac

13/02/2010 à 10h28

alors t'en es où de tes réflexions?


003 penrd2 - Eugenol
Cingulum

13/02/2010 à 11h52

bientot au bout...

Ce sera un champ moyen permettant d'avoir une arcade complete, de faire des guides et dans le budget que je m'etais fixé... autour de 85000€

--
Dr Cingulum
-----Ancien interné----
----Attaché à l'apex----
www.clinic-all.fr formation par passion


Utilisateur banni

13/02/2010 à 12h38

Certain con Bean ont une mauvaise définition entre l’os et la gencive et ne permettent pas de faire des guides, le kodak ne fournit pas des images natives au format DICOM.


003 penrd2 - Eugenol
Cingulum

30/04/2010 à 00h49

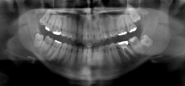
Bon finalement j'ai fait mon choix, cone beam installé hier !
Vatech Ewoo.
Pour moi les plus :
- taille de champ variable: 5*5 8*5 8*8 12.5*8
- vraie combo pano/cone beam
- interface sympa
- artefact métallique limité
- Logiciel d'imagerie et planification implantaire très bien
(pour info c'est une version d'Ondemand3D à l'essaie pour 90j ici:
http://www.ondemand3d.com/Content/Download/Trial.aspx prix du soft environ 5000$)
- budget compétitif

quelques clichés d'essais




--
Dr Cingulum
-----Ancien interné----
----Attaché à l'apex----
www.clinic-all.fr formation par passion

So2 elganc - Eugenol
So3 naunea - Eugenol
So bmslxj - Eugenol
So4 dfimki - Eugenol

Little shop of horrors brzqjx - Eugenol
chatondecarte

30/04/2010 à 00h56

justement celui que je veux prendre!
C'est le duo3D?

Tu peux mettre une coupe de zone molaire en gros plan pour voir si on voit bien le canal mandibulaire?


003 penrd2 - Eugenol
Cingulum

30/04/2010 à 01h00

je te ferais ça dés que je retourne au cab.

--
Dr Cingulum
-----Ancien interné----
----Attaché à l'apex----
www.clinic-all.fr formation par passion


Smile beach jgh0a1 - Eugenol
Céramik

30/04/2010 à 04h29

Très belle image.
Le tarif ?

--
Céramik


003 penrd2 - Eugenol
Cingulum

30/04/2010 à 10h41

mieux placé que la concurrence en terme de prix.
Prix catalogue environ 115000

--
Dr Cingulum
-----Ancien interné----
----Attaché à l'apex----
www.clinic-all.fr formation par passion


12...