Cookie Consent byPrivacyPolicies.comaïe ! - Eugenol
leleth

14/12/2009 à 18h23

extraction difficile sur 25, avec sinus volumineux,
bout de racine pété parti dans le sinus..

première fois que ça m'arrive, que faire ?


Nounours 2010 002 frkvqz - Eugenol
tarin

14/12/2009 à 18h25

envoie le chez un ORL. pas de honte à avoir , ya de sfois où l'apex semble aspiré par le sinus!


alhoun

14/12/2009 à 18h36

tu aimes bien les ORL, toi.


Humator t9r5wy - Eugenol
humator

15/12/2009 à 07h56

ben oui, avec un pseudo pareil!
cela dit, c'est peut etre le mieux à faire.

--
N.Hum


leleth

15/12/2009 à 10h48

j'ai colmaté la comunication bucco-sinusienne, il n'y a pas de passage, mais quant au devenir du petit bout de racine je me pose des questions

- quel risque si on ne fait rien ?

- que pourra faire un ORL ?


Humator t9r5wy - Eugenol
humator

15/12/2009 à 11h25

si on ne fait rien:
si le fragment est petit, théoriquement le revêtement cilié du sinus le pousse vers la porte de sortie (méat).
il peut être ainsi expulsé et "mouché" par le patient.
il peut aussi boucher l'orifice et entrainer des troubles.
si le fragment est + gros, il peut rester sur place, et générer une sinusite +/- importante.
si le fragment est sceptique, le risque est plus important bien sur!
cause de l'extraction? dent vitale? t'as un cliché de ton intrus?
--
N.Hum


leleth

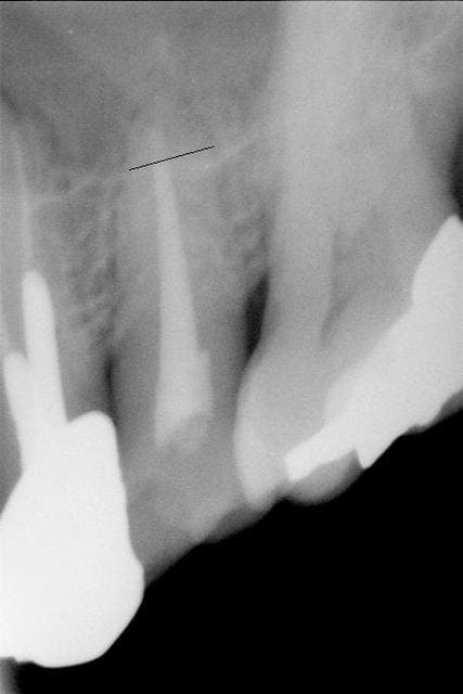
15/12/2009 à 12h53

ci joint RX, je pense que c'est à peu près cette taille
du trait noir à l'apex au maximum peut être moins,

par contre j'ai fait une pano mais on ne voit rien au niveau
du sinus...

35ffp700 yvmbsw - Eugenol

leleth

15/12/2009 à 12h55

extraction car fêlure longitudinale de la dent
qui se brise comme du verre, d'ou le pb...


Smile beach jgh0a1 - Eugenol
Céramik

15/12/2009 à 16h03

Radio 3D
C'est gros comme morceau...faut enlever.


--
Céramik


Blondie

15/12/2009 à 17h01

Tu adresses... pas forcement à un orl d'ailleurs. N'importe quel sto ou un maxillo fera une voie latérale pour sortir l'apex.


Avatar transparent iqadnc - Eugenol
adhoc

15/12/2009 à 17h58

Faudra peut etre ben implant... faudra peut etre ben (surement d'ailleurs) un sinus lift...
Comme il ne FAUT PAS laisser et prévoir le futur, la combinazione!


Zoe   son arriv e whwqpj - Eugenol
emma

15/12/2009 à 19h04

leleth écrivait:
----------------
> extraction car fêlure longitudinale de la dent
> qui se brise comme du verre, d'ou le pb...

c'est un IC qui a provoqué la fracture?


--
Emma


Logo vuaztn - Eugenol
mac

15/12/2009 à 19h13

Blondie écrivait:
-----------------
> Tu adresses... pas forcement à un orl d'ailleurs. N'importe quel sto ou un
> maxillo fera une voie latérale pour sortir l'apex.


et pourquoi pas un dentiste!


55 s2ba7n - Eugenol
Sid

15/12/2009 à 21h39

Parce que si tu adresses à un autre dentiste parce que tu as "raté" (dans la tête du patient) un acte, le patient va penser que tu es nul et qu'il aurait mieux fait de consulter ce praticien en première intention.

Pourquoi tu penses que tant de dentistes adressent à des stomato leurs cas chirurgicaux?


Logo vuaztn - Eugenol
mac

15/12/2009 à 22h10

Sid écrivait:
-------------
> Parce que si tu adresses à un autre dentiste parce que tu as "raté" (dans la
> tête du patient) un acte, le patient va penser que tu es nul et qu'il aurait
> mieux fait de consulter ce praticien en première intention.
>
> Pourquoi tu penses que tant de dentistes adressent à des stomato leurs cas
> chirurgicaux?


Parce que les stomatos s'y connaissent mieux que les dentistes dans les dents?


55 s2ba7n - Eugenol
Sid

15/12/2009 à 22h12

Ben non!


Logo vuaztn - Eugenol
mac

15/12/2009 à 22h23

Sid écrivait:
-------------
> Ben non!


On m'aurait menti!


Canin

15/12/2009 à 22h51

ça dépend si c'est une chir-dent exclusif ça passe

--
Canin


S2y2o1v7q53ws4r5wy6ou8czrpom - Eugenol
pxav

22/12/2009 à 14h06

copié/collé d'un autre post:

pour quelqu'un qui n'a pas besoin d'avis extérieurs, je pense que tu vas bien!!!!

pour infos, une racine dans le sinus en première intention, ça peut se récupérer avec une aspiration chirurgicale stérile (c'est un truc que j'ai appris en discutant avec Duriff, lors d'une démo de chir avec soulevé de sinus)

en deuxième intention, sauf erreur de ma part le dentiste, même supérieur n'a pas la compétence pour aller dans le sinus.
--
xbk